PFN4 Antibody
-
中文名稱:PFN4兔多克隆抗體
-
貨號:CSB-PA078303
-
規格:¥1100
-
圖片:
-
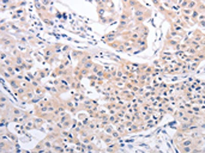
The image on the left is immunohistochemistry of paraffin-embedded Human lung cancer tissue using CSB-PA078303(PFN4 Antibody) at dilution 1/20, on the right is treated with fusion protein. (Original magnification: ×200)
-
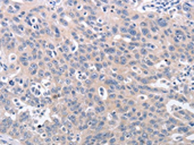
The image on the left is immunohistochemistry of paraffin-embedded Human ovarian cancer tissue using CSB-PA078303(PFN4 Antibody) at dilution 1/20, on the right is treated with fusion protein. (Original magnification: ×200)
-
-
其他:
產品詳情
-
Uniprot No.:
-
基因名:
-
別名:PFN4 antibody; Profilin-4 antibody; Profilin IV antibody
-
宿主:Rabbit
-
反應種屬:Human,Mouse,Rat
-
免疫原:Fusion protein of Human PFN4
-
免疫原種屬:Homo sapiens (Human)
-
標記方式:Non-conjugated
-
抗體亞型:IgG
-
純化方式:Antigen affinity purification
-
濃度:It differs from different batches. Please contact us to confirm it.
-
保存緩沖液:-20°C, pH7.4 PBS, 0.05% NaN3, 40% Glycerol
-
產品提供形式:Liquid
-
應用范圍:ELISA,IHC
-
推薦稀釋比:
Application Recommended Dilution ELISA 1:1000-1:5000 IHC 1:25-1:100 -
Protocols:
-
儲存條件:Upon receipt, store at -20°C or -80°C. Avoid repeated freeze.
-
貨期:Basically, we can dispatch the products out in 1-3 working days after receiving your orders. Delivery time maybe differs from different purchasing way or location, please kindly consult your local distributors for specific delivery time.
-
用途:For Research Use Only. Not for use in diagnostic or therapeutic procedures.
相關產品
靶點詳情
-
功能:Binds to phosphatidylinositol 3-phosphate (PtdIns(3)P), phosphatidylinositol 4,5-bisphosphate (PtdIns(4,5)P2), phosphatidylinositol 4-phosphate (PtdIns(4)P) and phosphatidic acid (PA). Does not bind to actin, contrary to other family members.
-
基因功能參考文獻:
- Porfilin 4 bound to selected phosphoinositides but not to poly-L-proline, proline-rich proteins, or actin. PMID: 19419568
- Observational study of gene-disease association. (HuGE Navigator) PMID: 19773279
-
亞細胞定位:Cytoplasm, cytoskeleton.
-
蛋白家族:Profilin family
-
組織特異性:Detected in testis (at protein level).
-
數據庫鏈接:
Most popular with customers
-
-
YWHAB Recombinant Monoclonal Antibody
Applications: ELISA, WB, IHC, IF, FC
Species Reactivity: Human, Mouse, Rat
-
-
-
-
-
-















