PDIA6 Antibody
-
中文名稱:PDIA6兔多克隆抗體
-
貨號:CSB-PA622988DSR1HU
-
規格:¥440
-
圖片:
-
Western blot
All lanes: PDIA6 antibody at 5.9µg/ml
Lane 1: Mouse heart tissue
Lane 2: Mouse lung tissue
Lane 3: Mouse liver tissue
Lane 4: 293T whole cell lysate
Lane 5: Hela whole cell lysate
Lane 6: HL60 whole cell lysate
Lane 7: HepG2 whole cell lysate
Lane 8: THP-1 whole cell lysate
Secondary
Goat polyclonal to rabbit IgG at 1/10000 dilution
Predicted band size: 49, 54, 48 kDa
Observed band size: 54 kDa -
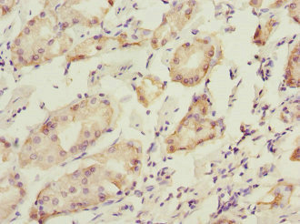
Immunohistochemistry of paraffin-embedded human gastric cancer using CSB-PA622988DSR1HU at dilution of 1:100
-
-
其他:
產品詳情
-
產品名稱:Rabbit anti-Homo sapiens (Human) PDIA6 Polyclonal antibody
-
Uniprot No.:
-
基因名:
-
別名:Endoplasmic reticulum protein 5 antibody; ER protein 5 antibody; ERp5 antibody; P5 antibody; Pdia6 antibody; PDIA6_HUMAN antibody; Protein disulfide isomerase A6 antibody; Protein disulfide isomerase associated 6 antibody; Protein disulfide isomerase family A member 6 antibody; Protein disulfide isomerase P5 antibody; Protein disulfide isomerase related protein antibody; Protein disulfide-isomerase A6 antibody; Thioredoxin domain containing 7 (protein disulfide isomerase) antibody; Thioredoxin domain containing protein 7 antibody; Thioredoxin domain-containing protein 7 antibody; TXNDC7 antibody
-
宿主:Rabbit
-
反應種屬:Human, Mouse
-
免疫原:Recombinant Human Protein disulfide-isomerase A6 protein (20-300AA)
-
免疫原種屬:Homo sapiens (Human)
-
標記方式:Non-conjugated
-
克隆類型:Polyclonal
-
抗體亞型:IgG
-
純化方式:Antigen Affinity Purified
-
濃度:It differs from different batches. Please contact us to confirm it.
-
保存緩沖液:PBS with 0.02% sodium azide, 50% glycerol, pH7.3.
-
產品提供形式:Liquid
-
應用范圍:ELISA, WB, IHC
-
推薦稀釋比:
Application Recommended Dilution WB 1:1000-1:5000 IHC 1:20-1:200 -
Protocols:
-
儲存條件:Upon receipt, store at -20°C or -80°C. Avoid repeated freeze.
-
貨期:Basically, we can dispatch the products out in 1-3 working days after receiving your orders. Delivery time maybe differs from different purchasing way or location, please kindly consult your local distributors for specific delivery time.
-
用途:For Research Use Only. Not for use in diagnostic or therapeutic procedures.
相關產品
靶點詳情
-
功能:May function as a chaperone that inhibits aggregation of misfolded proteins. Negatively regulates the unfolded protein response (UPR) through binding to UPR sensors such as ERN1, which in turn inactivates ERN1 signaling. May also regulate the UPR via the EIF2AK3 UPR sensor. Plays a role in platelet aggregation and activation by agonists such as convulxin, collagen and thrombin.
-
基因功能參考文獻:
- Results indicate that protein disulfide isomerase family 6 (PDIA6) overexpression promoted the proliferation of HeLa cells by suppressing the phosphorylation of beta-catenin, thereby inhibiting the degradation of beta-catenin through the ubiquitin-proteasome pathway. PMID: 27462866
- the chaperone 78-kDa glucose-regulated protein (GRP78) protects the MPD against PDI-dependent disulfide-bond isomerization by binding to this domain and, thereby, preventing ADAM17 inhibition. PMID: 28949004
- Downregulation of PDIA6 inhibited BC cell proliferation and invasion in vitro as well as tumor growth and metastasis in vivo. In addition, PDIA6 downregulation suppressed the Wnt/beta-catenin signaling pathway. PMID: 27760590
- Results indicate that re-expression of miR-127-3p and miR-376a-3p induces a strong tumor suppressor effect in GCTSC, which is partially mediated via COA1 and PDIA6. PMID: 28866093
- ACE and PDIA6 were identified as potential HSPA2-interacting proteins; this assemblage resides in membrane raft microdomains located in the peri-acrosomal region of the sperm head. PMID: 26676989
- Restoration of miR-127-3p and miR-376a-3p counteracts the neoplastic phenotype of giant cell tumor of bone derived stromal cells by targeting COA1, GLE1 and PDIA6. PMID: 26655997
- PDIA3 and PDIA6 gene expression is a neoplasm aggressiveness marker in primary ductal breast cancer. PMID: 26125904
- CDDP-resistant non-small lung cancer cells undergo profound remodeling of their endoplasmic reticulum (ER) proteome (>80 proteins identified by proteomics) and exhibit a dramatic overexpression of two protein disulfide isomerases, PDIA4 and PDIA6. PMID: 24464223
- Txnip is located in the endoplasmic reticulum and interacts with endogenous PDIA6. Txnip increases PDI activity. PMID: 24843047
- levels of expression of ERp5 and GRP78 correlated with the level of expression of membrane-bound MICA in chronic lymphocytic leukemia patients. PMID: 22215138
- Data show that the lymph node (LN) stroma displayed in situ high levels of transcription and expression of the disulfide-isomerase ERp5 and of the disintegrin-metalloproteinase ADAM10, able to shed the ligands for NKG2D (NKG2D-L) from the cell membrane. PMID: 22167753
- P5 forms a non-covalent complex with immunoglobulin heavy chain binding protein (BiP) and shows specificity towards BiP client proteins. PMID: 19887585
- observed to have peptide-binding ability, and chaperone activity was confirmed with rhodanese and citrate synthase as substrates, but not with D-glyceraldehyde-3-phosphate dehydrogenase, showing substrate specificity with respect to chaperone activity PMID: 12204115
- ERP5 regulates the binding of fibrinogen, cell-surface exposure of P-selectin, and coassociation of beta 3 integrin in stimulated platelets. PMID: 15466936
- Pharmacological inhibition of thioreductase activity and ERp5 gene silencing revealed that cell-surface ERp5 function is required for MICA shedding PMID: 17495932
顯示更多
收起更多
-
亞細胞定位:Endoplasmic reticulum lumen. Cell membrane. Melanosome.
-
蛋白家族:Protein disulfide isomerase family
-
組織特異性:Expressed in platelets (at protein level).
-
數據庫鏈接:
Most popular with customers
-
-
YWHAB Recombinant Monoclonal Antibody
Applications: ELISA, WB, IHC, IF, FC
Species Reactivity: Human, Mouse, Rat
-
Phospho-YAP1 (S127) Recombinant Monoclonal Antibody
Applications: ELISA, WB, IHC
Species Reactivity: Human
-
-
-
-
-















