PDHB Antibody
-
中文名稱:PDHB兔多克隆抗體
-
貨號:CSB-PA017717ESR2HU
-
規格:¥440
-
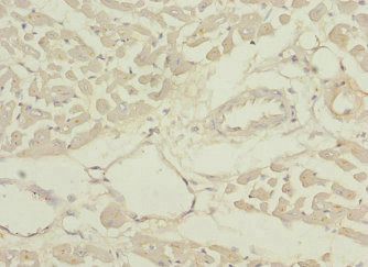
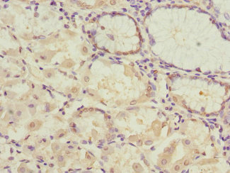
圖片:
-
其他:
產品詳情
-
產品名稱:Rabbit anti-Homo sapiens (Human) PDHB Polyclonal antibody
-
Uniprot No.:
-
基因名:
-
別名:DKFZp564K0164 antibody; mitochondrial antibody; ODPB_HUMAN antibody; pdhB antibody; PDHBD antibody; PDHE1 B antibody; PDHE1-B antibody; PHE1B antibody; Pyruvate dehydrogenase (lipoamide) beta antibody; Pyruvate dehydrogenase E1 beta polypeptide antibody; Pyruvate dehydrogenase E1 component subunit beta antibody; Pyruvate dehydrogenase E1 component subunit beta mitochondrial antibody
-
宿主:Rabbit
-
反應種屬:Human
-
免疫原:Recombinant Human Pyruvate dehydrogenase E1 component subunit beta, mitochondrial protein (1-300AA)
-
免疫原種屬:Homo sapiens (Human)
-
標記方式:Non-conjugated
-
克隆類型:Polyclonal
-
抗體亞型:IgG
-
純化方式:Antigen Affinity Purified
-
濃度:It differs from different batches. Please contact us to confirm it.
-
保存緩沖液:PBS with 0.02% sodium azide, 50% glycerol, pH7.3.
-
產品提供形式:Liquid
-
應用范圍:ELISA, IHC
-
推薦稀釋比:
Application Recommended Dilution IHC 1:20-1:200 -
Protocols:
-
儲存條件:Upon receipt, store at -20°C or -80°C. Avoid repeated freeze.
-
貨期:Basically, we can dispatch the products out in 1-3 working days after receiving your orders. Delivery time maybe differs from different purchasing way or location, please kindly consult your local distributors for specific delivery time.
-
用途:For Research Use Only. Not for use in diagnostic or therapeutic procedures.
相關產品
靶點詳情
-
功能:The pyruvate dehydrogenase complex catalyzes the overall conversion of pyruvate to acetyl-CoA and CO(2), and thereby links the glycolytic pathway to the tricarboxylic cycle.
-
基因功能參考文獻:
- PDHB was downregulated in nasopharyngeal carcinoma cells. Forced expression of PDHB in NPC cells inhibited cell growth and migration, while knocking down the expression of PDHB promoted the growth, migration, and tumorigenesis of NPC cells. PDHB inhibited ERK signaling and cell growth driven by RasV12. PMID: 26857147
- Data indicate that (pro)renin receptor ATP6PA2 interacts with the E1 beta subunit of pyruvate dehydrogenase and controlling its protein stability PMID: 25720494
- PHD3 depletion did not affect the expression of the PDH-E1alpha, E1beta, and E2 subunits, or the phosphorylation status of E1alpha, but destabilized the PDH complex (PDC), resulting in less functional PDC. PMID: 25088999
- Sequencing of PDHB reveals a homozygous point mutation (c.302T>C), causing a predicted amino acid change in patient 1. Patient 2 is compound heterozygote for mutations c.301A>G (p.M101V) and c.313G>A (p.R105Q). PMID: 19924563
- Data indicate that PDH deficiency in our patient involves a post-translational modification in which EGFR-PTK-mediated tyrosine phosphorylation of the E1beta protein leads to enhanced ubiquitination followed by proteasome-mediated degradation. PMID: 17923481
- clinical findings are similar to those of PDHA1 deficiency, except that ataxia was more frequent in PDHA1 cases and consanguinity was found only in PDHB families. PMID: 18164639
- Species specificity in the interaction between hE1beta and hE2 in pyruvate dehydrogenase complex. PMID: 18206651
顯示更多
收起更多
-
相關疾病:Pyruvate dehydrogenase E1-beta deficiency (PDHBD)
-
亞細胞定位:Mitochondrion matrix.
-
數據庫鏈接:
Most popular with customers
-
-
YWHAB Recombinant Monoclonal Antibody
Applications: ELISA, WB, IHC, IF, FC
Species Reactivity: Human, Mouse, Rat
-
Phospho-YAP1 (S127) Recombinant Monoclonal Antibody
Applications: ELISA, WB, IHC
Species Reactivity: Human
-
-
-
-
-















