PDGFA Antibody
-
中文名稱:PDGFA兔多克隆抗體
-
貨號:CSB-PA041073
-
規格:¥1100
-
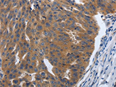
圖片:
-
The image on the left is immunohistochemistry of paraffin-embedded Human colon cancer tissue using CSB-PA041073(PDGFA Antibody) at dilution 1/70, on the right is treated with synthetic peptide. (Original magnification: ×200)
-
The image on the left is immunohistochemistry of paraffin-embedded Human ovarian cancer tissue using CSB-PA041073(PDGFA Antibody) at dilution 1/70, on the right is treated with synthetic peptide. (Original magnification: ×200)
-
-
其他:
產品詳情
-
Uniprot No.:
-
基因名:
-
別名:PDGF A antibody; PDGF A chain antibody; PDGF subunit A antibody; PDGF-1 antibody; PDGF1 antibody; PDGFA antibody; PDGFA_HUMAN antibody; Platelet derived growth factor alpha chain antibody; Platelet derived growth factor alpha isoform 2 preproprotein antibody; Platelet derived growth factor alpha polypeptide antibody; Platelet-derived growth factor A chain antibody; Platelet-derived growth factor alpha polypeptide antibody; Platelet-derived growth factor subunit A antibody
-
宿主:Rabbit
-
反應種屬:Human,Mouse,Rat
-
免疫原:Synthetic peptide of Human PDGFA
-
免疫原種屬:Homo sapiens (Human)
-
標記方式:Non-conjugated
-
抗體亞型:IgG
-
純化方式:Antigen affinity purification
-
濃度:It differs from different batches. Please contact us to confirm it.
-
保存緩沖液:-20°C, pH7.4 PBS, 0.05% NaN3, 40% Glycerol
-
產品提供形式:Liquid
-
應用范圍:ELISA,IHC
-
推薦稀釋比:
Application Recommended Dilution ELISA 1:2000-1:10000 IHC 1:100-1:300 -
Protocols:
-
儲存條件:Upon receipt, store at -20°C or -80°C. Avoid repeated freeze.
-
貨期:Basically, we can dispatch the products out in 1-3 working days after receiving your orders. Delivery time maybe differs from different purchasing way or location, please kindly consult your local distributors for specific delivery time.
-
用途:For Research Use Only. Not for use in diagnostic or therapeutic procedures.
相關產品
靶點詳情
-
功能:Growth factor that plays an essential role in the regulation of embryonic development, cell proliferation, cell migration, survival and chemotaxis. Potent mitogen for cells of mesenchymal origin. Required for normal lung alveolar septum formation during embryogenesis, normal development of the gastrointestinal tract, normal development of Leydig cells and spermatogenesis. Required for normal oligodendrocyte development and normal myelination in the spinal cord and cerebellum. Plays an important role in wound healing. Signaling is modulated by the formation of heterodimers with PDGFB.
-
基因功能參考文獻:
- High PDGF expression is associated with cardiac fibrosis. PMID: 30340644
- Hypomethylation at a CpG site in PDGFA (encoding platelet-derived growth factor alpha) and PDGFA overexpression are both associated with increased T2 diabetes risk, hyperinsulinemia, increased insulin resistance, and increased steatohepatitis risk. PMID: 29728363
- PDGFA was down-regulated in the malignant Middle Cerebral Artery Infarction. PMID: 28828208
- this study uncovers a novel mechanism of the Nrf2/PDGFA regulatory loop that is crucial for AKT-dependent hepatocellular carcinoma progression PMID: 27588483
- Tumor cell induced mesenchymal stromal cell chemotaxis appears to be mediated through paracrine secretion of PDGF-AA. PMID: 27931212
- PDGFAA in tumor drainage and HER2 in peripheral vein blood may have roles in synchronous liver metastasis of colorectal cancer PMID: 28275303
- Insulin treatment caused sustained Akt activity, whereas EGF or PDGF-AA promoted transient signaling; PDGF-BB produced sustained responses at higher concentrations.Transient responses to EGF were caused by negative feedback at the receptor level, as a second treatment yielded minimal responses, whereas parallel exposure to IGF-I caused full Akt activation PMID: 27044757
- these findings suggest that IGFBP-3 suppresses transcription of EGR1 and its target genes bFGF and PDGF through inhibiting IGF-1-dependent ERK and AKT activation. PMID: 27521890
- Based on a luciferase reporter assay, plateletderived growth factorA (PDGFA) was identified as a direct target gene of miR375. Additionally, overexpression of PDGFA significantly reversed the effect of miR375 on cell migration and invasion in oral squamous cell carcinoma cell. PMID: 28000902
- The highest PDGF AA levels were found in mothers of fetuses with hypoplastic left heart syndrome . These findings may be useful in screening for congenital heart defects (CCHDs) and offer insight into their association with nuchal translucency PMID: 28323386
- Low concentration of PDGF-AB showed synergism with IFN-alpha in IFN-beta and -gamma induction. PMID: 24063997
- downregulated Rab5a led to slowed cell growth, decreased numbers of migrated cells, decreased numbers of cells at the G0G1 phase and a higher apoptosis rate. However, PDGF significantly rescued these phenomena caused by siRNA against Rab5a PMID: 27666726
- There are four platelet-derived growth factor (PDGF) genes (PDGFA, PDGFB, PDGFC and PDGFD) that reside on chromosomes 7, 22, 4 and 11. PMID: 28267575
- TLR-stimulated pancreatic cancer cells were specifically investigated for activated signaling pathways of VEGF/PDGF and anti-apoptotic Bcl-xL expression as well as tumor cell growth. PMID: 27941651
- Nox4 and Duox1/Duox2 mediate redox activation of mesenchymal cell migration by PDGF. PMID: 27110716
- In contrast to platelet-derived growth factor, all urokinase isoforms induced secretion of MMP-9 by mesenchymal stromal cells. PMID: 27783304
- Normalization of bone marrow microenvironment is paralleled by decreased expression of TIMP and PDGFA. PMID: 26708839
- in primary cultures of glioma stemlike cells that EGR1 contributes to stemness marker expression and proliferation by orchestrating a PDGFA-dependent growth-stimulatory loop. PMID: 27002148
- These findings implicate DNA hypomethylation as a specific factor in mediating overexpression of genes associated with Biliary Atresia (BA) and identify PDGFA as a new candidate in BA pathogenesis. PMID: 27010479
- Human uPAR activation and its association with beta1-integrin are required for PDGF-AB-induced migration. PMID: 26420039
- PDGF-AA impairs endothelium-dependent vasodilation and PDGF-AA mediates BMP4-induced adverse effect on endothelial cell function through SMAD1/5- and SMAD4-dependent mechanisms. PMID: 26769046
- The development and severity of age-related cataracts was related to the secretion and expression of PDGF-alpha. PMID: 26535645
- PDGF and TGFbeta1 regulate acute respiratory distress syndrome-associated lung fibrosis through distinct signaling pathway-mediated activation of fibrosis-related proteins. PMID: 26088859
- Demonstrate a novel positive regulatory feedback loop between FoxM1 and the PDGF-A/AKT signaling pathway, which contributes to breast cancer cell growth and tumorigenesis. PMID: 25869208
- There was evidence for the involvement of PDGF, IGF-1, and EGF in primary pulmonary hypoplasia. PDGF deficiency plays a certain role in secondary pulmonary hypoplasia PMID: 26841646
- MIC-1 and PDGF-A expression is elevated in both prostate tumors and structurally intact adjacent tissues. PMID: 25767870
- review elucidates the role of tumor stroma interactions, the roles of PDGF receptor signaling in cancer-associated fibroblasts via alteration of stromal matrix composition and the mitogenic effects of cancer-derived PDGFs. PMID: 23944365
- Silencing the Col4-alpha1 gene or disrupting integrin engagement by blocking the antibody reduced the expression of platelet-derived growth factor A (PDGF-A), a potent chemotactic factor for fibroblasts. PMID: 25686533
- our findings showed how FoxM1 activates expression of PDGF-A and STAT3 in a pathway required to maintain the self-renewal and tumorigenicity of glioma stem-like cells. PMID: 25832656
- Patients with Graves ophthalmopathy had significantly higher serum levels of PDGF-AA than controls. Immunosuppressive therapy removed differences. PMID: 25140996
- AVP stimulates myofibroblast proliferation and induces PDGFA secretion, implying that PDGFA mediates local myofibroblast proliferation by an autocrine feedback loop and regulates epithelial proliferation and permeability by a paracrine mechanism. PMID: 25085844
- VEGF, PDGF, and TGF-beta1 concentrations in platelets may be associated with prognosis of breast cancer. PMID: 25379550
- both VEGF and PDGF were significantly downregulated after completing a full CMP rush IgE desensitization. PMID: 24995287
- PDGFA is a SOX11 direct target gene upregulated in MCL cells whose inhibition impaired SOX11-enhanced in vitro angiogenic effects on endothelial cells PMID: 25092176
- demonstrated that PDGFRA activation supported tumor cell proliferation PMID: 24480986
- PDGF positively modulates the TGF-beta-induced osteogenic differentiation of hMSCs through synergistic crosstalk between MEK- and PI3K/Akt-mediated signaling PMID: 24378341
- The suppressive effects of PDGF-BB on Ca(2+) overload in neurons were more potent than those of PDGF-AA. PMID: 24454980
- The mRNA expressions of the proangiogenic growth factors VEGF, PDGF, bFGF and their receptors (VEGFR1, VEGFR2, PDGFRA, PDGFRB, FGFR1, FGFR2) were measured and compared in gastric ulcers of cirrhotic patients. PMID: 23620752
- our studies establish that loss of SMAD1/5 leads to upregulation of PDGFA in ovarian granulosa cells PMID: 22964636
- Platelet-derived growth factor-A and vascular endothelial growth factor-C might induce intimal proliferation in pulmonary arteries and contribute to the development of pulmonary tumor thrombotic microangiopathy. PMID: 23536282
- show that VEGF was down-regulated while platelet-derived growth factor-A (PDGF-A) was up-regulated when IFN-alpha treatment was re-initiated. PMID: 23025904
- Findings suggest a role for brain derived neurotropic factor (BDNF) and platelet derived growth factors PDGF-AA in the patho-physiological mechanism of cerebrovascular disease in sickle cell anemia (SCA). PMID: 22704695
- Results suggest that PDGFA may be used for cholangiocarcinoma prognosis and/or as diagnostic candidate marker. PMID: 22733151
- Pdgf signaling potentiates Wnt2-Wnt7b signaling to promote high levels of Wnt activity in mesenchymal progenitors that is required for proper development of endoderm-derived organs, such as the lung PMID: 22949635
- Significant positive correlation was seen between serum PDGF-AB & microvascular density in multiple myeloma, & between pre- & post-treatment patients. PDGF-AB plays a role in a complex cytokine network inducing bone marrow neovascularization. PMID: 21919032
- Somatostatin and somatostatin analogues reduce PDGF-induced endometrial cell proliferation and motility PMID: 22588000
- The kidney takes part in the elimination of IL-6 and PDGF from systemic circulation. The kidney does not take part in the elimination of TGF-beta. PMID: 22617683
- analysis of astrocyte-specific expression patterns associated with the PDGF-induced glioma microenvironment PMID: 22393407
- Our study was the first to show that CSF PDGF-AA is related to disease duration in relapsing-remitting multiple sclerosis. PMID: 21771201
- SiO(2) may affect the expression of PDGF and synthesis of collagen through alveolar macrophage mediation and participate in the formation of lung fibrosis. PMID: 19493486
顯示更多
收起更多
-
亞細胞定位:Secreted. Note=Released by platelets upon wounding.
-
蛋白家族:PDGF/VEGF growth factor family
-
數據庫鏈接:
Most popular with customers
-
-
YWHAB Recombinant Monoclonal Antibody
Applications: ELISA, WB, IHC, IF, FC
Species Reactivity: Human, Mouse, Rat
-
Phospho-YAP1 (S127) Recombinant Monoclonal Antibody
Applications: ELISA, WB, IHC
Species Reactivity: Human
-
-
-
-
-















