PCDH10 Antibody
-
中文名稱:PCDH10兔多克隆抗體
-
貨號:CSB-PA889183ESR1HU
-
規格:¥440
-
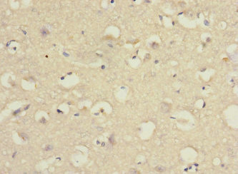
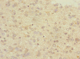
圖片:
-
其他:
產品詳情
-
產品名稱:Rabbit anti-Homo sapiens (Human) PCDH10 Polyclonal antibody
-
Uniprot No.:
-
基因名:
-
別名:DKFZp761O2023 antibody; KIAA1400 antibody; MGC133344 antibody; OL PCDH antibody; Ortholog of OL pcdh antibody; OTTHUMP00000220001 antibody; PCD10_HUMAN antibody; PCDH10 antibody; PCDH19 antibody; Protocadherin 10 antibody; Protocadherin-10 antibody
-
宿主:Rabbit
-
反應種屬:Human
-
免疫原:Recombinant Human Protocadherin-10 protein (515-715AA)
-
免疫原種屬:Homo sapiens (Human)
-
標記方式:Non-conjugated
-
克隆類型:Polyclonal
-
抗體亞型:IgG
-
純化方式:Antigen Affinity Purified
-
濃度:It differs from different batches. Please contact us to confirm it.
-
保存緩沖液:PBS with 0.02% sodium azide, 50% glycerol, pH7.3.
-
產品提供形式:Liquid
-
應用范圍:ELISA, IHC
-
推薦稀釋比:
Application Recommended Dilution IHC 1:20-1:200 -
Protocols:
-
儲存條件:Upon receipt, store at -20°C or -80°C. Avoid repeated freeze.
-
貨期:Basically, we can dispatch the products out in 1-3 working days after receiving your orders. Delivery time maybe differs from different purchasing way or location, please kindly consult your local distributors for specific delivery time.
-
用途:For Research Use Only. Not for use in diagnostic or therapeutic procedures.
相關產品
靶點詳情
-
功能:Potential calcium-dependent cell-adhesion protein.
-
基因功能參考文獻:
- PCDH10 hypermethylation were found in 54.2% (58/107) of DLBCL cases, but only 12.5% (1/8) in reactive lymph node/follicular hyperplasia. PMID: 29202805
- This study provides insights into the tumorigenesis and progression of hepatocellular carcinoma (HCC), and puts forward the novel hypothesis that PCDH10 could be a new biomarker for HCC, or that combined with other molecular markers could increase the specificity and sensitivity of diagnostic tests for HCC. Restoration of PCDH10 could be a valuable therapeutic target for HCC. PMID: 28498423
- we found that the malignant character of GISTs was initiated and amplified by PCDH10 in a process regulated by HOTAIR. In summary, our findings imply that PCDH10 and HOTAIR may be useful markers of disease progression and therapeutic targets. PMID: 27659532
- we found that long noncoding RNA (lncRNA) MALAT1 binds EZH2, suppresses the tumor suppressor PCDH10, and promotes gastric cellular migration and invasion PMID: 26871474
- These findings suggest that Pcdh10 may influence subcellular actin cytoskeletal organization and axon-axon interactions in the course of familial amyloidotic polyneuropathy PMID: 27338109
- PCDH10 methylation in serum is a potential prognostic biomarker for prostate cancer. PMID: 26881880
- Study found that hypermethylation of CpG probes in the promoter regions of HOXA9 and PCDH10 was associated with mature B-cell neoplasms. PMID: 26679037
- Data show that protocadherin 10 (PCDH10) over-expression could significantly induce cell apoptosis, and restrain proliferation, invasion and migration ability of BXPC-3 pancreatic cancer cells. PMID: 26927373
- Our present findings suggested that the hypermethylated CpG site counts of PCDH10 DNA promoter for evaluating the prognosis of GC was reasonable by using the D-BGS PMID: 26406945
- PCDH10 methylation is a potential biomarker that predicts a poor prognosis after curative resection of pathological stage I non-small-cell lung cancer. PMID: 26276761
- PCDH10 antagonized MM cell proliferation via the downregulation of Wnt/beta-catenin/BCL-9 signaling, whereas PCDH10 repressed the expression of AKT to promote the expression of GSK3beta and then to restrain the activation of beta-catenin PMID: 26081897
- These results suggest an important role of p53 in regulating tumor cell migration through activating PCDH10 expression. PMID: 25590240
- Aberrant methylation of PCDH10 predicts worse biochemical recurrence-free survival in patients with prostate cancer after radical prostatectomy. PMID: 25086586
- Gastric cancer patients with 5 or more methylated CpG sites of PCDH10 promoter had significantly poorer survival. PMID: 25260683
- Findings establish a novel PCDH10-Wnt/beta-catenin-MALAT1 regulatory axis that contributes to EEC development. PMID: 25085246
- These results indicate that promoter methylation status of PCDH10, SPARC, and UCHL1 may be used both as prognostic and predictive molecular marker for colorectal cancer patients PMID: 24309322
- Loss of PCDH10 expression is associated with metastasis in colorectal cancer. PMID: 24740680
- suppression of the expression of PCDH10 by RNA interference induces the growth arrest and apoptosis of glioblastoma cells in vitro PMID: 24406169
- study suggests that PCDH10 methylation occurs early in lymphomagenesis. PCDH10 expression was down regulated via promoter hypermethylation in T- and B-cell lymphoma cell lines PMID: 23929756
- The expression of PCDH10 was silenced in hepatocellular carcinoma via de novo DNA methylation. PMID: 22543497
- There was a significant correlation between PCDH10 methylation in cfDNA and tumour tissue in patients with early CRC. PMID: 23839493
- PCDH10 promoter methylation was detected in 59/117 (50.4%) of patients with bladder cancer, and none of 37 (0%) controls. Methylation was significantly associated with advanced stage, high grade, tumour recurrence and larger tumour size. PMID: 23321168
- Downregulated PCDH10 levels correlated with malignant behaviour and poor overall survival in patients with bladder cancer. PMID: 23569128
- PCDH10 methylation is closely associated with malignancy of bladder transitional cell carcinoma PMID: 23171734
- PCDH10 is frequently downregulated by promoter methylation and may serve as a tumor suppressor gene in non-small cell lung cancer. PMID: 23321465
- PCDH10 is an important tumor suppression gene with key roles of suppressing cell proliferation, clonogenicity, and inhibiting cell invasion in the development of colorectal cancer. PMID: 23180019
- PCDH10 gene is a target for epigenetic silencing in multiple myeloma and provides a link between the dysregulation of angiogenesis and DNA methylation. PMID: 22245948
- Data show that expression of PCDH10 is markedly reduced in gastric cancer cells and tissues, and suggest that it functions as a tumor suppressor gene in gastric cancer. PMID: 22206871
- PCDH10 promoter hypermethylation was frequent in both B-cell (81.9%) and T-cell (80%) acute lymphoblastic leukemia (ALL). PMID: 21960365
- genetic and epigenetic deregulation of PCDH10 occurs in a significant portion of medulloblastoma patients PMID: 21597995
- The decreased PCDH10 expression in prostate cancer cells was associated with the aberrant methylation of PCDH10 promoter CpG islands. PMID: 21314642
- Sp1/Sp3 and CBF/NF-Y transcription factors play a crucial role in the basal expression of the human PCDH10 gene. PMID: 21237250
- epigenetic regulation of PCDH10 was associated with carcinogenesis. PMID: 20353276
- Showed aberrant promoter hypermethylation of PCDH10 is assoc'd with downreg'n of gene expression in cervical cancer, and the promoter methylation in the PCDH10 gene occurs at an earliest identifiable stage of low-grade squamous intraepithelial lesion. PMID: 19681120
- Ectopic expression of PCDH10 strongly suppressed tumor cell growth, migration, invasion and colony formation. PMID: 16247458
- These results suggest that OL-pc remodels the motility and adhesion machinery at cell junctions by recruiting the Nap1-WAVE1 complex to these sites and, in turn, promotes the migration of cells. PMID: 18644894
- PCDH10 is a gastric tumor suppressor; its methylation at early stages of gastric carcinogenesis is an independent prognostic factor. PMID: 19084528
- The role of OL-protocadherin-dependent striatal axon growth in neural circuit formation. PMID: 19262141
- field methylation of the PCDH10 gene specifically in the invasion stage of cervical carcinogenesis, which might be used to develop a highly specific diagnostic test for cervical scrapings. PMID: 19709077
顯示更多
收起更多
-
亞細胞定位:Cell membrane; Single-pass type I membrane protein.
-
組織特異性:Moderately expressed in all regions of the brain examined, as well as in testis and ovary, and low expression in all other tissues tested.
-
數據庫鏈接:
Most popular with customers
-
-
YWHAB Recombinant Monoclonal Antibody
Applications: ELISA, WB, IHC, IF, FC
Species Reactivity: Human, Mouse, Rat
-
Phospho-YAP1 (S127) Recombinant Monoclonal Antibody
Applications: ELISA, WB, IHC
Species Reactivity: Human
-
-
-
-
-















