PAX6 Antibody
-
中文名稱:PAX6兔多克隆抗體
-
貨號:CSB-PA017492DSR2HU
-
規格:¥440
-
圖片:
-
Western blot
All lanes: Paired box protein Pax-6 antibody at 1μg/ml
Lane 1: Mouse stomach tissue
Lane 2: Mouse eye tissue
Secondary
Goat polyclonal to rabbit IgG at 1/10000 dilution
Predicted band size: 47, 49 kDa
Observed band size: 47 kDa -
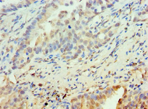
Immunohistochemistry of paraffin-embedded human lung cancer using CSB-PA017492DSR2HU at dilution of 1:100
-
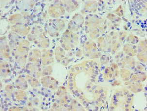
Immunohistochemistry of paraffin-embedded human pancreatic tissue using CSB-PA017492DSR2HU at dilution of 1:100
-
-
其他:
產品詳情
-
產品名稱:Rabbit anti-Homo sapiens (Human) PAX6 Polyclonal antibody
-
Uniprot No.:
-
基因名:
-
別名:AN 2 antibody; AN antibody; AN2 antibody; Aniridia type II protein antibody; D11S812E antibody; FVH1 antibody; KIAA0552 antibody; Leucine zipper putative tumor suppressor 3 antibody; LZTS3 antibody; MGC17209 antibody; MGDA antibody; Oculorhombin antibody; Paired box 6 antibody; Paired box gene 6 (aniridia keratitis) antibody; Paired Box Gene 6 antibody; Paired box homeotic gene 6 antibody; Paired box protein Pax-6 antibody; Paired box protein Pax6 antibody; PAX 6 antibody; PAX6 antibody; PAX6_HUMAN antibody; ProSAP-interacting protein 1 antibody; PROSAPIP1 antibody; Sey antibody; WAGR antibody
-
宿主:Rabbit
-
反應種屬:Human, Mouse
-
免疫原:Recombinant Human Paired box protein Pax-6 protein (1-300AA)
-
免疫原種屬:Homo sapiens (Human)
-
標記方式:Non-conjugated
-
克隆類型:Polyclonal
-
抗體亞型:IgG
-
純化方式:Antigen Affinity Purified
-
濃度:It differs from different batches. Please contact us to confirm it.
-
保存緩沖液:PBS with 0.02% sodium azide, 50% glycerol, pH7.3.
-
產品提供形式:Liquid
-
應用范圍:ELISA, WB, IHC
-
推薦稀釋比:
Application Recommended Dilution WB 1:500-1:2000 IHC 1:20-1:200 -
Protocols:
-
儲存條件:Upon receipt, store at -20°C or -80°C. Avoid repeated freeze.
-
貨期:Basically, we can dispatch the products out in 1-3 working days after receiving your orders. Delivery time maybe differs from different purchasing way or location, please kindly consult your local distributors for specific delivery time.
-
用途:For Research Use Only. Not for use in diagnostic or therapeutic procedures.
相關產品
靶點詳情
-
功能:Transcription factor with important functions in the development of the eye, nose, central nervous system and pancreas. Required for the differentiation of pancreatic islet alpha cells. Competes with PAX4 in binding to a common element in the glucagon, insulin and somatostatin promoters. Regulates specification of the ventral neuron subtypes by establishing the correct progenitor domains. Acts as a transcriptional repressor of NFATC1-mediated gene expression.
-
基因功能參考文獻:
- we have established that PAX6 influence the cell cycle distribution, and renders U251 cells more sensitive to oxidative stress. Importantly, we discovered differences in the sensitivity to established chemotherapeutic drugs between the PAX6 expressing (WT) cells and the PAX6 KO cells. PMID: 29716531
- Familial congenital cataract, coloboma, and nystagmus phenotype with variable expression caused by mutation in PAX6 in a South African family have been reported. PMID: 29930474
- PAX6 variants and deletions were identified in 94% of patients with aniridia from Australasia and Southeast Asia. PMID: 29618921
- High PAX6 expression is associated with retinoblastoma. PMID: 30015924
- Knock-in 2A-EGFP cassette into PAX6 exon of embryonic stem cells H1 with TALEN-based homology recombination could establish PAX6(WT/EGFP) H1 reporter cell line fast and efficiently. This reporter cell line could differentiate into PAX6 and EGFP double positive neural progenitor/stem cells (NPCs/NSCs) after neural induction. PMID: 29807013
- This study revealed an outstanding mutation pattern in non-coding PAX6 regions confirming that PAX6 remains the major gene for aniridia. PMID: 30291432
- This is the first report on the mutational spectrum of PAX6 in aniridia patients of Cypriot ancestry. PMID: 29901133
- Deletions of the 3 ' regulatory regions downstream of paired box protein (PAX6) abrogate its expression leading to aniridia due to PAX6 haploinsufficiency in a 44-year-old mother and her 13-year-old son. PMID: 29932076
- The results demonstrated that miR874 may serve tumor suppressive roles in pancreatic ductal adenocarcinoma (PDAC) by directly targeting PAX6. Therefore, miR874 may exhibit potential applications for treatment of patients with PDAC. PMID: 29845293
- PAX6 was upregulated in Colorectal cancer tissues and was negatively correlated with miR383 expression. PMID: 29512711
- PAX6 knockdown recapitulated effects similar to those observed following miR-655 overexpression regarding the proliferation, invasion and apoptosis of retinoblastoma (RB)cells. Rescue experiments demonstrated that restoration of PAX6 expression reversed the tumour-suppressing roles of miR-655 in RB cells PMID: 29436689
- excessive PAX6 expression in insulin-challenged endometrial epithelial cells may contribute to the uncontrollable endometrial epithelial proliferation in polycystic ovarian syndrome PMID: 29112933
- overexpression of CHD1L in embryonic cells upregulated the expression of ectoderm genes, especially PAX6 PMID: 28946814
- PAX6 mutations explained 96.7% of aniridia phenotypes in this study with only 3 of 91 probands lacking pathogenic variants in the gene. PMID: 28321846
- Mutation screening of PAX6 gene helped in identifying a novel heterozygous pathogenic variation g. 31801757dupG (c. 216-19dupG) that resulted in a frameshift mutation that extended into exon 7. PMID: 29380764
- it was suggested that miR-19, upregulated in osteosarcoma cells, negatively regulated the expression of Pax6, which can promote the malignant phenotypes of osteosarcoma cells via activation of the extracellular signal-regulated kinase signaling pathways PMID: 29345189
- Molecular genetic defects involving PAX6 were identified in 30 participants (91%), including 4 novel PAX6 mutations (Gly18Val; Ser65ProfsX14; Met337ArgfsX18; Ser321CysfsX34) and 4 novel chromosome 11p deletions inclusive of PAX6 or a known PAX6 regulatory region. PMID: 29217025
- findings shed new light on the miR-223/PAX6 pathway in glioma and this pathway might modulate the sensitivity of glioma to TMZ via regulating PI3K/Akt signaling pathway. PMID: 28332226
- Our study identified two novel PAX6 variants in two families with aniridia and revealed the pathogenicity of the variants; this would expand the variant spectrum of PAX6 and help us better understand the molecular basis of aniridia, thus facilitating genetic counseling. PMID: 28157223
- highly conserved Sox2/Pax6 bound site near the Sprouty2 locus was verified to promote cooperative dimerization designating Sprouty2 as a potential target reliant on Sox2/Pax6 cooperativity in several neural cell types. PMID: 29050852
- It is important to establish the molecular diagnosis early to avoid repeated and long-term screening for Wilms tumor. Our work further emphasizes that a wide range of ocular phenotypes are associated with loss of function PAX6 mutations. PMID: 26849621
- A novel mutation (c.1033-1_1033delinsCT) and a reported mutation (c.1183 + 1G > A) within PAX6 gene were identified in two families with aniridia. The PAX6 mutations caused aberrant patterns of RNA splicing. PMID: 28760551
- reduced expression of PAX6 in metabolically stressed beta cells may contribute to beta cell failure and alpha cell dysfunction in diabetes. PMID: 27941241
- variant aniridia, congenital iris ectropion associated with foveal hypoplasia in both a woman and her son with a mutation of PAX6 gene. To our knowledge, deletion c. 936delC in exon 8 of PAX6 gene has not been reported until now. PMID: 28300742
- epigenetic factor CTCF-mediated chromatin remodeling regulates interactions between eye-specific PAX6 and those genes that are induced/associated with cell differentiation to modulate corneal epithelial cell-specific differentiation PMID: 27583466
- PAX6-depleted CECs maintained the epithelial morphology, but became larger. Global analyses using microarray revealed that down-regulated genes were primarily CEC-specific PMID: 27818314
- photoinduced excess electron transfer assay can be used for analysing cooperativity of proteins in transcription complex using cooperative binding of Pax6 to Sox2 on the regulatory DNA element (DC5 enhancer) as an example. PMID: 27229137
- Data indicate paired box gene 6 (aniridia, keratitis) protein (PAX6) haploinsufficiency as causal for aniridia. PMID: 26661695
- Downregulation of PAX6 is associated with glioma progression. PMID: 28184912
- Overexpression of paired box 6 increased the inhibitory effect of temozolomide on GBM cell proliferation; on the other hand, knockdown of paired box 6 abolished the inhibitory effect of temozolomide on GBM cell proliferation. PMID: 28035389
- the present study identified a heterozygous deletion and a run-on mutation in PAX6 in two families with autosomal dominant aniridia. PMID: 27431685
- Fourteen of these mutations presented in the known aniridia genes; PAX6, FOXC1 and PITX2. PMID: 27124303
- we show that the two PAX6 isoforms differentially and cooperatively regulate the expression of genes specific to the structure and functions of the corneal epithelium, particularly keratin 3 (KRT3) and keratin 12 (KRT12). PAX6 isoform-a induced KRT3 expression by targeting its upstream region. KLF4 enhanced this induction. A combination of PAX6 isoform-b, KLF4, and OCT4 induced KRT12 expression PMID: 26899008
- We report the first association study of the transcription factor PAX6 with HSCR and that its low expression levels may result in an aberrant neurogenesis, which is directly related with manifestation of HSCR phenotype. PMID: 26879676
- Data suggest that promoter hypermethylation of PAX6 is a common event in hepatocellular carcinoma and the association of PAX6 methylation in clinicopathological features is divergent with different viral status. PMID: 27110298
- congenital primary aphakia is associated with PAX6 mutation. PMID: 26130484
- We found that PAX6 gene was specifically methylated in non small cell lung cancer PMID: 26617874
- findings suggest that PAX6+/- is associated with smaller pineal size, lower melatonin secretion and greater parental report of sleep disturbances in children; further studies are needed to explore the potential use of melatonin replacement for improving sleep quality in patients with PAX6+/- PMID: 26439359
- In post-mortem substantia nigra from Parkinson's disease patients, a reduced number of PAX6 expressing cells were found. PMID: 26295830
- We analyzed the PAX6 gene in a Bosma arrhinia microphthalmia syndrome patient but found no variation or mutation that could constitute or establish a causal association in our patient PMID: 26440771
- Variants in TRIM44 Cause Aniridia by Impairing PAX6 Expression PMID: 26394807
- MicroRNA-7 inhibits the malignant phenotypes of nonsmall cell lung cancer in vitro by targeting Pax6 PMID: 26135959
- ChIP experiments confirmed that Pdx1 activates the expression of the downstream transcription factors, Ngn3 and Pax6, by combined with the promoter regions of insulin (Insulin-P), Ngn3 (Ngn3-P), and Pax6 (Pax6-P). PMID: 26345820
- we reported the results of the clinical and molecular evaluation of a threegeneration Chinese family with aniridia and identified a rare heterozygous M1K mutation in PAX6. PMID: 26535646
- Trans-placental BPA exposure down-regulated gene expression of Sox2 and Pax6 potentially underlying the adverse effect on childhood neuronal development. [Meta-analysis] PMID: 25051057
- Molecular analysis identified two compound heterozygous TYR mutations known to cause OCAIA and cosegregate with oculocutaneous albinism. In addition, we identified a novel heterozygous PAX6 mutation confirming the atypical aniridia phenotype. PMID: 25687215
- SOX4, SOX11, and PAX6 were significant for tumor type. PMID: 25804118
- the case of a Korean family with novel splice site mutation in the PAX6 gene in isolated aniridia inherited in an autosomal dominant manner, is reported. PMID: 25696017
- loss of PAX6 converts LSCs to epidermal stem cells, as demonstrated by a switch in the keratin gene expression profile and by the appearance of congenital dermoid tissue PMID: 26045558
- Dkk3/REIC3 expression is regulated by PAX6 in several human cell lines. PMID: 25029272
顯示更多
收起更多
-
相關疾病:Aniridia 1 (AN1); Anterior segment dysgenesis 5 (ASGD5); Foveal hypoplasia 1 (FVH1); Keratitis hereditary (KERH); Coloboma, ocular, autosomal dominant (COAD); Coloboma of optic nerve (COLON); Bilateral optic nerve hypoplasia (BONH); Aniridia 2 (AN2)
-
亞細胞定位:Nucleus.; [Isoform 1]: Nucleus.; [Isoform 5a]: Nucleus.
-
蛋白家族:Paired homeobox family
-
組織特異性:[Isoform 1]: Expressed in lymphoblasts.; [Isoform 5a]: Weakly expressed in lymphoblasts.
-
數據庫鏈接:
Most popular with customers
-
-
YWHAB Recombinant Monoclonal Antibody
Applications: ELISA, WB, IHC, IF, FC
Species Reactivity: Human, Mouse, Rat
-
Phospho-YAP1 (S127) Recombinant Monoclonal Antibody
Applications: ELISA, WB, IHC
Species Reactivity: Human
-
-
-
-
-















