PAX5 Antibody
-
中文名稱:PAX5兔多克隆抗體
-
貨號:CSB-PA295467
-
規格:¥1100
-
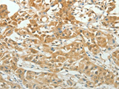
圖片:
-
The image on the left is immunohistochemistry of paraffin-embedded Human lung cancer tissue using CSB-PA295467(PAX5 Antibody) at dilution 1/20, on the right is treated with synthetic peptide. (Original magnification: ×200)
-
Gel: 10%SDS-PAGE, Lysate: 40 μg, Lane: Jurkat cells, Primary antibody: CSB-PA295467(PAX5 Antibody) at dilution 1/550, Secondary antibody: Goat anti rabbit IgG at 1/8000 dilution, Exposure time: 1 minute
-
-
其他:
產品詳情
-
Uniprot No.:
-
基因名:
-
別名:B cell lineage specific activator antibody; B cell lineage specific activator protein antibody; B cell specific activator protein antibody; B cell specific transcription factor antibody; B-cell-specific transcription factor antibody; BSAP antibody; EBB-1 antibody; KLP antibody; Paired box 5 antibody; Paired box gene 5 (B cell lineage specific activator protein) antibody; Paired box gene 5 (B cell lineage specific activator) antibody; Paired box gene 5 antibody; Paired box homeotic gene 5 antibody; Paired box protein Pax 5 antibody; Paired box protein Pax-5 antibody; Paired domain gene 5 antibody; PAX 5 antibody; PAX5 antibody; PAX5_HUMAN antibody; Transcription factor PAX 5 antibody
-
宿主:Rabbit
-
反應種屬:Human,Mouse
-
免疫原:Synthetic peptide of Human PAX5
-
免疫原種屬:Homo sapiens (Human)
-
標記方式:Non-conjugated
-
抗體亞型:IgG
-
純化方式:Antigen affinity purification
-
濃度:It differs from different batches. Please contact us to confirm it.
-
保存緩沖液:-20°C, pH7.4 PBS, 0.05% NaN3, 40% Glycerol
-
產品提供形式:Liquid
-
應用范圍:ELISA,WB,IHC
-
推薦稀釋比:
Application Recommended Dilution ELISA 1:1000-1:5000 WB 1:500-1:2000 IHC 1:25-1:100 -
Protocols:
-
儲存條件:Upon receipt, store at -20°C or -80°C. Avoid repeated freeze.
-
貨期:Basically, we can dispatch the products out in 1-3 working days after receiving your orders. Delivery time maybe differs from different purchasing way or location, please kindly consult your local distributors for specific delivery time.
-
用途:For Research Use Only. Not for use in diagnostic or therapeutic procedures.
相關產品
靶點詳情
-
功能:Transcription factor that plays an essential role in commitment of lymphoid progenitors to the B-lymphocyte lineage. Fulfills a dual role by repressing B-lineage inappropriate genes and simultaneously activating B-lineage-specific genes. In turn, regulates cell adhesion and migration, induces V(H)-to-D(H)J(H) recombination, facilitates pre-B-cell receptor signaling and promotes development to the mature B-cell stage. Repression of the cohesin-release factor WAPL causes global changes of the chromosomal architecture in pro-B cells to facilitate the generation of a diverse antibody repertoire.; (Microbial infection) Plays an essential role in the maintenance of Epstein-Barr virus genome copy number within the host cell by promoting EBNA1/oriP-dependent binding and transcription. Participates also in the inhibition of lytic EBV reactivation by modulating viral BZLF1 activity.
-
基因功能參考文獻:
- The functional role of PAX5-ELN as a potent oncoprotein in B-cell acute lymphoblastic leukemia development. PMID: 30257940
- PAX5 gene methylation can predict poor survival outcomes and cisplatin sensitivity in esophageal squamous cell carcinomaand could be a useful diagnostic tool for cancer therapy selection PMID: 29099287
- Study demonstrated that Pax-5 regulates numerous miRNAs including miR-215 which is aberrantly under-expressed in breast cancer tumors. Pax-5 was found to inhibit aggressive features of breast cancer cells in a miR-215- dependent manner. PMID: 30194145
- The correlation between Pax5 deletion and patients survival in Iranian children with precursor B-cell acute lymphocytic leukemia hs been reported. PMID: 28886309
- this study demonstrates a role for the AHR in regulating human B cell development, and it suggests that transcriptional alterations of PAX5 by the AHR are involved in the underlying mechanism PMID: 28978690
- These findings suggested that pax5 is critically important for the proliferation and survival of pre-B cells. PMID: 27016671
- a mechanism of transcriptional regulation mediated by p27, Pax5, and PCAF PMID: 28158851
- Data show that paired box gene 5 (B-cell lineage specific activator) protein (Pax-5) induces E-cadherin expression in breast cancer cells. PMID: 28076843
- PAX5-KIDINS220 fusion is associated with Philadelphia-like acute lymphoblastic leukemia. PMID: 27870151
- this study shows that Pax5 expression is lower in antibody-secreting cells than in naive B cells or plasmablasts PMID: 27525369
- The histological observations suggested that the patients represent diverse cases of NHL like mature B-cell type, mature T-cell type and high grade diffuse B-cell type NHL. The findings indicate that patients with NHL may also be analyzed for status of PAX5, CD19 and ZAP70, and their transcriptional and post-translational variants for the differential diagnosis of NHL and therapy. PMID: 27748274
- B cell receptor signaling component, SYK, caused PAX5 tyrosine phosphorylation in vitro and in cells. Transcriptional repression on the BLIMP1 promoter by PAX5 was attenuated by this phosphorylation. PMID: 27181361
- PAX5 haploinsufficiency promotes tumorigenesis and may be related to genomic instability, immune tolerance, and tumor pathways PMID: 28316978
- FISH studies showed false-negative results in 10, 40, and 28% of the samples tested for the IKZF1,PAX5, and CDKN2A/B gene deletions, respectively. The PAX5 and IKZF1 abnormalities are highly specific to B-ALL and can be used as diagnostic markers PMID: 28214896
- The Correlation between GATA5, WT1 and PAX5 methylation and clinical/histological parameters is suggestive of applicability of these markers in non-invasive (epi)genetic testing in hepatocellular carcinoma (HCC). PMID: 27171388
- we identified gene promoter methylation signatures (WT1, MSH6, GATA5 and PAX5) that are strongly correlated to, and can have a predictive value for the clinical outcome of oral squamous cell carcinoma patients PMID: 27491556
- PAX5 expression is infrequent (27.27%) in Olfactory neuroblastoma; however, if present it can be associated with a very aggressive clinical course. PMID: 27543867
- Report Pax5 expression is common in combined Merkel cell carcinoma. PMID: 27322785
- PAX5 was found to be an epigenetically inactivated tumor suppressor that inhibited non-small-cell lung proliferation and metastasis, through down-regulating the beta-catenin pathway and up-regulating GADD45G expression. PMID: 26843424
- Our findings suggest that this mutation in a single allele of the PAX5 gene is not sufficient to cause disease, and it is possible that other alleles are also involved in the onset of B-ALL. PMID: 26782422
- PAX5 methylated imprint margins may signify recurrence in head and neck squamous cell carcinoma PMID: 26304463
- Authors demonstrate leukemogenicity of PAX5-PML by introducing it into normal mouse pro-B cells; B-cell linker protein (Blnk) is repressed by PAX5-PML in leukemia cells; enforced expression of Blnk increases survival despite introduction of PAX5-PML. PMID: 26703467
- PAX5 deletion is an independent risk factor for DFS in B-ALL children. PMID: 27097569
- Differential PAX5 levels promote malignant B-cell infiltration, progression and drug resistance, and predict a poor prognosis in mantle cell lymphoma patients independent of CCND1. PMID: 26073757
- This is the first reported case of a novel complex variant translocation of t(11;14)(q13;q32) and t(9;14)(p13;q32)in PAX5-positive plasma cell myeloma. PMID: 25633778
- Cells from PAX5 translocated patients show LCK up-regulation and over-activation, as well as STAT5 hyper-phosphorylation, compared to PAX5 wt and PAX5 deleted cases. PMID: 25595912
- Increased hypermethylation of PAX5 is associated with Triple negative breast cancer. PMID: 25684485
- PAX5 gene translocation is associated with B-cell precursor acute lymphoblastic leukemia. PMID: 25304615
- These findings indicated that the methylated CpG -236 of PAX5 promoter has the potential applicability for clinical evaluation the prognosis of gastric cancer PMID: 25277182
- We report the immunoreactivity expression patterns of three PAX genes (PAX2, PAX5 and PAX8) in poorly differentiated small round cell tumors of childhood for possible useful diagnostic applications. PMID: 24897005
- PAX5-JAK2 simultaneously deregulates the PAX5 downstream transcriptional program and activates the Janus kinase-STAT signaling cascade and thus, by interfering with these two important pathways, may promote leukemogenesis. PMID: 25515960
- a novel link wherein placenta growth factor-mediated downregulation of paired box protein 5 attenuates miR-648 expression leading to increased endothelin-1 levels that are known to induce Pulmonary hypertension in sickle cell anemia PMID: 25403488
- Study identified PAX5 as a novel EBER2-interacting protein, prompted by the observation that this transcription factor and the viral noncoding RNA co-localize at the tandem repeats, interaction appears to be indirect, based on the negative results of electrophoretic mobility shift assays and UV crosslinking experiments. PMID: 25662012
- Data show that leukemia-associated PAX5 fusion proteins share some dominating characteristics such as nuclear localization and DNA binding but also show distinctive features. PMID: 24435167
- MCOLN2 is transcriptionally activated by PAX5 and has roles in B cell development and function PMID: 25445271
- Downregulation of PAX6 in SS patients was highly associated with ocular surface damage and largely dependent on the level of inflammation. PMID: 25228544
- Data indicate that somatic PAX5 mutation may be a rare event in multiple myelomas and DLBCL, and may not contribute to development of these malignancies of Korean patients. PMID: 23737402
- Low PAX5 expression is associated with atypical non-Langerhans cell histiocytic tumor post acute lymphoblastic leukemia. PMID: 24569775
- data clearly demonstrate that the expression of PAX5 with or without global DNA demethylation/histone acetylation is not sufficient to induce a B-cell phenotype in HRS cells. PMID: 23842424
- The frequency of PAX5 gene alterations in B cell acute lymphoblastic leukemia harboring 9p abnormalities was 52%. PMID: 24078568
- data extend the role of PAX5 alterations in the pathogenesis of pre-B cell ALL and implicate PAX5 in a new syndrome of susceptibility to pre-B cell neoplasia PMID: 24013638
- Deregulated MAP kinase signaling in t(8;21) Acute myeloid leukemia abrogates the association of polycomb complexes to PAX5 and leads to aberrant gene activation. PMID: 23616623
- The B-cell-specific transcription factor and master regulator Pax5 promotes Epstein-Barr virus latency by negatively regulating the viral immediate early protein BZLF1. PMID: 23678172
- The purpose of this study was to evaluate the expression patterns of B-cell specific activator protein (BSAP)/PAX5 and PAX8 in a wide variety of B-cell and T-cell neoplasms PMID: 23163626
- Our study confirms that PAX5 and TdT expression can be expressed in a high percentage of Merkel cell carcinomas and so when positive are not diagnostic of lymphoblastic leukemia/lymphoma. PMID: 23329999
- first, PAX5/ETV6 determines a PAX5 haploinsufficiency setting; second, the fusion protein could be responsible for the B-cell development block PMID: 23090680
- PAX5 emerges as one of the major SOX11 direct targets. SOX11 silencing downregulates PAX5. PMID: 23321250
- reduced expression of huPax5 during the induction of early lymphoid progenitors to B-lineage-committed cells can fix this cellular development at a stage that has previously been seen during embryonic development PMID: 22927250
- Pax-5 plays a key role in phenotypic transitioning during metastasis through the regulation of FAK1 activity. (Review) PMID: 21707507
- PAX5 is a novel functional tumor suppressor in gastric carcinogenesis PMID: 22105368
顯示更多
收起更多
-
相關疾病:Leukemia, acute lymphoblastic, 3 (ALL3)
-
亞細胞定位:Nucleus.
-
數據庫鏈接:
Most popular with customers
-
-
YWHAB Recombinant Monoclonal Antibody
Applications: ELISA, WB, IHC, IF, FC
Species Reactivity: Human, Mouse, Rat
-
Phospho-YAP1 (S127) Recombinant Monoclonal Antibody
Applications: ELISA, WB, IHC
Species Reactivity: Human
-
-
-
-
-















