PARP3 Antibody
-
中文名稱:PARP3兔多克隆抗體
-
貨號:CSB-PA017467EA01HU
-
規格:¥440
-
圖片:
-
Western Blot
Positive WB detected in: A549 whole cell lysate, LO2 whole cell lysate
All lanes: PARP3 antibody at 3.5µg/ml
Secondary
Goat polyclonal to rabbit IgG at 1/50000 dilution
Predicted band size: 61 kDa
Observed band size: 61 kDa -
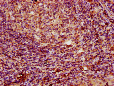
IHC image of CSB-PA017467EA01HU diluted at 1:100 and staining in paraffin-embedded human tonsil tissue performed on a Leica BondTM system. After dewaxing and hydration, antigen retrieval was mediated by high pressure in a citrate buffer (pH 6.0). Section was blocked with 10% normal goat serum 30min at RT. Then primary antibody (1% BSA) was incubated at 4°C overnight. The primary is detected by a biotinylated secondary antibody and visualized using an HRP conjugated SP system.
-
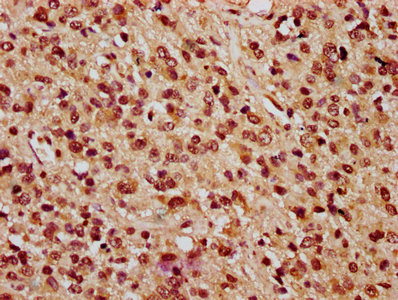
IHC image of CSB-PA017467EA01HU diluted at 1:100 and staining in paraffin-embedded human glioma performed on a Leica BondTM system. After dewaxing and hydration, antigen retrieval was mediated by high pressure in a citrate buffer (pH 6.0). Section was blocked with 10% normal goat serum 30min at RT. Then primary antibody (1% BSA) was incubated at 4°C overnight. The primary is detected by a biotinylated secondary antibody and visualized using an HRP conjugated SP system.
-
-
其他:
產品詳情
-
產品名稱:Rabbit anti-Homo sapiens (Human) PARP3 Polyclonal antibody
-
Uniprot No.:
-
基因名:
-
別名:ADP ribosyltransferase (NAD+, poly (ADP ribose) antibody; ADP ribosyltransferase diphtheria toxin like 3 antibody; ADPRT-3 antibody; ADPRT3 antibody; ADPRTL2 antibody; ADPRTL3 antibody; ARTD3 antibody; hPARP 3 antibody; hPARP-3 antibody; hPARP3 antibody; IRT 1 antibody; IRT1 antibody; NAD(+) ADP ribosyltransferase 3 antibody; NAD(+) ADP-ribosyltransferase 3 antibody; NAD+ ADP ribosyltransferase 3 antibody; pADPRT 3 antibody; pADPRT-3 antibody; pADPRT3 antibody; PARP 3 antibody; PARP-3 antibody; PARP3 antibody; PARP3_HUMAN antibody; Poly (ADP ribose) polymerase family, member 3 antibody; Poly (ADP ribose) synthetase 3 antibody; Poly [ADP-ribose] polymerase 3 antibody; Poly[ADP ribose] synthetase 3 antibody; Poly[ADP-ribose] synthase 3 antibody
-
宿主:Rabbit
-
反應種屬:Human
-
免疫原:Recombinant Human Poly [ADP-ribose] polymerase 3 protein (1-240AA)
-
免疫原種屬:Homo sapiens (Human)
-
標記方式:Non-conjugated
本頁面中的產品,PARP3 Antibody (CSB-PA017467EA01HU),的標記方式是Non-conjugated。對于PARP3 Antibody,我們還提供其他標記。見下表:
-
克隆類型:Polyclonal
-
抗體亞型:IgG
-
純化方式:>95%, Protein G purified
-
濃度:It differs from different batches. Please contact us to confirm it.
-
保存緩沖液:Preservative: 0.03% Proclin 300
Constituents: 50% Glycerol, 0.01M PBS, pH 7.4 -
產品提供形式:Liquid
-
應用范圍:ELISA, WB, IHC
-
推薦稀釋比:
Application Recommended Dilution WB 1:500-1:5000 IHC 1:20-1:200 -
Protocols:
-
儲存條件:Upon receipt, store at -20°C or -80°C. Avoid repeated freeze.
-
貨期:Basically, we can dispatch the products out in 1-3 working days after receiving your orders. Delivery time maybe differs from different purchasing way or location, please kindly consult your local distributors for specific delivery time.
-
用途:For Research Use Only. Not for use in diagnostic or therapeutic procedures.
相關產品
靶點詳情
-
功能:Mono-ADP-ribosyltransferase that mediates mono-ADP-ribosylation of target proteins and plays a key role in the response to DNA damage. Mediates mono-ADP-ribosylation of glutamate, aspartate or lysine residues on target proteins. In contrast to PARP1 and PARP2, it is not able to mediate poly-ADP-ribosylation. Associates with a number of DNA repair factors and is involved in the response to exogenous and endogenous DNA strand breaks. Together with APLF, promotes the retention of the LIG4-XRCC4 complex on chromatin and accelerate DNA ligation during non-homologous end-joining (NHEJ). Cooperates with the XRCC5-XRCC6 (Ku80-Ku70) heterodimer to limit end-resection thereby promoting accurate NHEJ. Involved in DNA repair by mediating mono-ADP-ribosylation of a limited number of acceptor proteins involved in chromatin architecture and in DNA metabolism, such as XRCC5 and XRCC6. ADP-ribosylation follows DNA damage and appears as an obligatory step in a detection/signaling pathway leading to the reparation of DNA strand breaks. May link the DNA damage surveillance network to the mitotic fidelity checkpoint. In addition to proteins, also able to ADP-ribosylate DNA: mediates DNA mono-ADP-ribosylation of DNA strand break termini via covalent addition of a single ADP-ribose moiety to a 5'- or 3'-terminal phosphate residues in DNA containing multiple strand breaks. Acts as a negative regulator of immunoglobulin class switch recombination, probably by controlling the level of AICDA /AID on the chromatin.
-
基因功能參考文獻:
- These data identify PARP3 as a molecular sensor of nicked nucleosomes. PMID: 27530147
- PARP3 controls of TGFbeta-induced epithelial mesenchymal transformation and acquisition of stem-like cell features by stimulation transglutaminase 2/SNAI1 signaling. PMID: 27579892
- Data indicate that PARP3, a DNA damage-activated ADP-ribosyltransferase, can mono-ADP-ribosylate double-stranded DNA ends. PMID: 29054115
- In a process of single-strand DNA repair, PARP3 mono-ADP-ribosylates nucleosomal histone H2B. PMID: 27716488
- we found that PARP3 interacted with FoxM1 to enhance its transcriptional activity and conferred glioblastoma cell radioresistance. Thus, our data suggest that PARP3 could be a therapeutic target to overcome radioresistance in glioblastoma PMID: 26040766
- Identification of ADP-ribosylation sites in PARP3 and the determination of the extent ofpoly(ADP-ribosyl)ated residues in this protein was performed. PMID: 25800440
- MiR-630 reduced apoptosis by downregulating several apoptotic modulators, PARP3, DDIT4, and EP300. PMID: 25255219
- In some cancer cells, repression of PARP3 could be responsible for an increased telomerase activity. PMID: 24528514
- PARP3 likely facilitates the recruitment of Ku80 to double strand breaks to antagonize DNA end resection but facilitate Ku-mediated accurate classical non-homologous end-joining. PMID: 24598253
- PARP3 gene occupancy in the human neuroblastoma cell line SK-N-SH occurs preferentially with developmental genes regulating cell fate specification, tissue patterning, craniofacial development and neurogenesis. PMID: 21264220
- PARP3 is a critical player in the stabilization of the mitotic spindle and in telomere integrity by associating and regulating the mitotic components NuMA and tankyrase 1. PMID: 21270334
- PARP-3 has a role in chromosomal DNA double-strand break repair. PMID: 21211721
- the interaction between PARP-1 and PARP-3 is unrelated to DNA single-strand break repair PMID: 20064938
- PARP-3 is a nuclear protein involved in transcriptional silencing and in the cellular response to DNA damage PMID: 16924674
顯示更多
收起更多
-
亞細胞定位:Nucleus. Chromosome. Cytoplasm, cytoskeleton, microtubule organizing center, centrosome. Cytoplasm, cytoskeleton, microtubule organizing center, centrosome, centriole.
-
組織特異性:Widely expressed; the highest levels are in the kidney, skeletal muscle, liver, heart and spleen; also detected in pancreas, lung, placenta, brain, leukocytes, colon, small intestine, ovary, testis, prostate and thymus.
-
數據庫鏈接:
Most popular with customers
-
-
YWHAB Recombinant Monoclonal Antibody
Applications: ELISA, WB, IHC, IF, FC
Species Reactivity: Human, Mouse, Rat
-
Phospho-YAP1 (S127) Recombinant Monoclonal Antibody
Applications: ELISA, WB, IHC
Species Reactivity: Human
-
-
-
-
-















