PARP1 Antibody
-
中文名稱:PARP1兔多克隆抗體
-
貨號:CSB-PA017457LA01HU
-
規格:¥440
-
圖片:
-
Western Blot
Positive WB detected in: K562 whole cell lysate, Raji whole cell lysate, Hela whole cell lysate, A549 whole cell lysate, NTERA-2 whole cell lysate
All lanes: PARP1 antibody at 1:2000
Secondary
Goat polyclonal to rabbit IgG at 1/50000 dilution
Predicted band size: 114 kDa
Observed band size: 114 kDa -
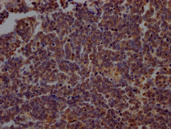
IHC image of CSB-PA017457LA01HU diluted at 1:200 and staining in paraffin-embedded human lung cancer performed on a Leica BondTM system. After dewaxing and hydration, antigen retrieval was mediated by high pressure in a citrate buffer (pH 6.0). Section was blocked with 10% normal goat serum 30min at RT. Then primary antibody (1% BSA) was incubated at 4°C overnight. The primary is detected by a Goat anti-rabbit polymer IgG labeled by HRP and visualized using 0.05% DAB.
-
Immunofluorescence staining of Hela cells with CSB-PA017457LA01HU at 1:100, counter-stained with DAPI. The cells were fixed in 4% formaldehyde and blocked in 10% normal Goat Serum. The cells were then incubated with the antibody overnight at 4°C. The secondary antibody was Alexa Fluor 488-congugated AffiniPure Goat Anti-Rabbit IgG(H+L).
-
-
其他:
產品詳情
-
產品名稱:Rabbit anti-Homo sapiens (Human) PARP1 Polyclonal antibody
-
Uniprot No.:
-
基因名:
-
別名:ADP ribosyltransferase (NAD+; poly (ADP ribose) polymerase) antibody; ADP ribosyltransferase antibody; ADP ribosyltransferase diphtheria toxin like 1 antibody; ADP ribosyltransferase NAD(+) antibody; ADPRT 1 antibody; ADPRT antibody; ADPRT1 antibody; ARTD1 antibody; msPARP antibody; NAD(+) ADP ribosyltransferase 1 antibody; NAD(+) ADP-ribosyltransferase 1 antibody; pADPRT 1 antibody; pADPRT-1 antibody; pADPRT1 antibody; PARP 1 antibody; PARP antibody; PARP-1 antibody; PARP1 antibody; PARP1_HUMAN antibody; Poly (ADP ribose) polymerase 1 antibody; poly (ADP ribose) polymerase family; member 1 antibody; Poly (ADP-ribose) polymerase 1 antibody; Poly [ADP-ribose] polymerase 1 antibody; Poly(ADP ribose) polymerase antibody; poly(ADP ribose) synthetase antibody; poly(ADP ribosyl)transferase antibody; Poly(ADP-ribosyl)transferase antibody; Poly[ADP ribose] synthetase 1 antibody; Poly[ADP-ribose] synthase 1 antibody; PPOL antibody; sPARP 1 antibody; sPARP1 antibody
-
宿主:Rabbit
-
反應種屬:Human
-
免疫原:Recombinant Human Poly [ADP-ribose] polymerase 1 protein (324-541aa)
-
免疫原種屬:Homo sapiens (Human)
-
標記方式:Non-conjugated
本頁面中的產品,PARP1 Antibody (CSB-PA017457LA01HU),的標記方式是Non-conjugated。對于PARP1 Antibody,我們還提供其他標記。見下表:
-
克隆類型:Polyclonal
-
抗體亞型:IgG
-
純化方式:Antigen Affinity Purified
-
濃度:It differs from different batches. Please contact us to confirm it.
-
保存緩沖液:Preservative: 0.03% Proclin 300
Constituents: 50% Glycerol, 0.01M PBS, PH 7.4 -
產品提供形式:Liquid
-
應用范圍:ELISA, WB, IHC, IF
-
推薦稀釋比:
Application Recommended Dilution WB 1:1000-1:5000 IHC 1:100-1:500 IF 1:100-1:500 -
Protocols:
-
儲存條件:Upon receipt, store at -20°C or -80°C. Avoid repeated freeze.
-
貨期:Basically, we can dispatch the products out in 1-3 working days after receiving your orders. Delivery time maybe differs from different purchasing way or location, please kindly consult your local distributors for specific delivery time.
-
用途:For Research Use Only. Not for use in diagnostic or therapeutic procedures.
相關產品
靶點詳情
-
功能:Poly-ADP-ribosyltransferase that mediates poly-ADP-ribosylation of proteins and plays a key role in DNA repair. Mediates glutamate, aspartate, serine or tyrosine ADP-ribosylation of proteins: the ADP-D-ribosyl group of NAD(+) is transferred to the acceptor carboxyl group of target residues and further ADP-ribosyl groups are transferred to the 2'-position of the terminal adenosine moiety, building up a polymer with an average chain length of 20-30 units. Serine ADP-ribosylation of proteins constitutes the primary form of ADP-ribosylation of proteins in response to DNA damage. Mainly mediates glutamate and aspartate ADP-ribosylation of target proteins in absence of HPF1. Following interaction with HPF1, catalyzes serine ADP-ribosylation of target proteins; HPF1 conferring serine specificity by completing the PARP1 active site. Also catalyzes tyrosine ADP-ribosylation of target proteins following interaction with HPF1. PARP1 initiates the repair of DNA breaks: recognizes and binds DNA breaks within chromatin and recruits HPF1, licensing serine ADP-ribosylation of target proteins, such as histones, thereby promoting decompaction of chromatin and the recruitment of repair factors leading to the reparation of DNA strand breaks. In addition to base excision repair (BER) pathway, also involved in double-strand breaks (DSBs) repair: together with TIMELESS, accumulates at DNA damage sites and promotes homologous recombination repair by mediating poly-ADP-ribosylation. Mediates the poly(ADP-ribosyl)ation of a number of proteins, including itself, APLF and CHFR. In addition to proteins, also able to ADP-ribosylate DNA: catalyzes ADP-ribosylation of DNA strand break termini containing terminal phosphates and a 2'-OH group in single- and double-stranded DNA, respectively. Required for PARP9 and DTX3L recruitment to DNA damage sites. PARP1-dependent PARP9-DTX3L-mediated ubiquitination promotes the rapid and specific recruitment of 53BP1/TP53BP1, UIMC1/RAP80, and BRCA1 to DNA damage sites. Acts as a regulator of transcription: positively regulates the transcription of MTUS1 and negatively regulates the transcription of MTUS2/TIP150. Plays a role in the positive regulation of IFNG transcription in T-helper 1 cells as part of an IFNG promoter-binding complex with TXK and EEF1A1. Involved in the synthesis of ATP in the nucleus, together with NMNAT1, PARG and NUDT5. Nuclear ATP generation is required for extensive chromatin remodeling events that are energy-consuming.
-
基因功能參考文獻:
- elevated expression of PARP-1 mRNA and miR-223, with a reduction of PARP-1 protein level and enzyme activity in colonic tissue of pediatric patients with Crohn's disease PMID: 30299179
- miR-7-5p reduced energy consumption via inhibiting PARP-1 expression, and miR-7-5p increased energy generation by suppressing the expression of Bcl-2. PMID: 30219819
- Study finds that PARP1 mutations caused a distinct set of drug sensitivities when compared to other known forms of PARPi resistance (loss of REV7 (MAD2L2) or TP53BP1, or BRCA1 reversion mutants), suggesting that knowledge of the molecular mechanism of resistance in individual patients could inform decisions on further treatment. PMID: 29748565
- Results suggest that RNF168 acts as a counterpart of PARP1 in DDR and regulates the HR/NHEJ repair processes through the ubiquitination of PARP1. PMID: 30037213
- two-step mechanism activates and then stabilizes PARP-1 on a DNA break, indicating that PARP-1 allostery influences persistence on DNA damage, with important implications for PARP inhibitors that engage the NAD(+) binding site PMID: 29487285
- PARP-1, via manipulating the binding of NF-kB/AP-1 at the MMP-9 promoter, regulates MMP-9 expression, which helps maintain mitochondrial homeostasis. PMID: 28478229
- Cell proliferation determines PARP1 transcription and production of electrophiles. PARP1 contributes to cell protection against electrophiles. PARP1 controls transcription of redox-sensitive kinases, antioxidants and detoxifying enzymes. [review] PMID: 29886395
- interactive domains between Ets-1 and PARP-1 have been mapped to the C-terminal region of Ets-1 and the BRCA1 carboxy-terminal (BRCT) domain of PARP-1 PMID: 29912634
- depletion of NOX1 and NOX4 partially rescued the growth inhibition of PARP1-deficient tumor xenografts. Our findings suggest that in addition to compromising the repair of DNA damage, PARP inhibition or depletion may exert extra antitumor effect by elevating oxidative stress in ovarian cancer cells PMID: 29684820
- CDK4/6 inhibitors also lead to accumulation of DNA damage by repressing PARP1 in oxidatively stressed cells. Thus, CDK4/6 inhibitors sensitize G1-arrested cells to anticancer drugs, since these cells require PARP1-OGG1 functional interaction for cell survival PMID: 29306194
- Low PARP expression is associated with mouth Cancer. PMID: 30275188
- The dysfunction of PARP1 in esophageal epithelial cells increases the levels of ROS and oxidative DNA damage in Barrett's esophagus. PMID: 29531462
- results suggest that PARP-1 overexpression may define an important risk factor in non-M3 AML patients and PARP-1 is a potential therapeutic target for AML treatment PMID: 29812960
- polymorphism of PARP-1 gene is more likely responsible for development of GD in Chinese individuals PMID: 28177666
- In response to DNA damage, activated and auto-poly-ADP-ribosylated PARP1 dissociates from HSF1-PARP13, and redistributes to DNA lesions and DNA damage-inducible gene loci. PMID: 29158484
- Results show that Rpp29 and Rpp21 bind poly ADP-ribose moieties and are recruited to DNA damage sites in a PARP1-dependent manner. PMID: 28432356
- PARP1 inhibitor also suppressed the aldosterone secretion in response to the angiotensin II. Together, these results suggest PARP1 is a prime coregulator for Nurr1. PMID: 29738496
- Here, we show that PARP1 and host insulator protein CTCF colocalize at specific sites throughout the EBV genome and provide evidence to suggest that PARP1 acts to stabilize CTCF binding and maintain the open chromatin landscape at the active Cp promoter during type III latency. Further, PARP1 activity is important in maintaining latency type-specific viral gene expression. PMID: 29976663
- Our findings showed that PARP-1 polymorphisms are involved in the development of glioma in Chinese individuals. PMID: 28777431
- Our results indicated that PARP1-siRNA can suppress the growth and invasion capacity of prostate cancer cells, thereby suggesting that PARP1-siRNA, which is different from PARP inhibitors , may provide a potential treatment method for prostate cancer . PMID: 29393407
- findings reveal PARP-1 as a double-edged sword in colorectal carcinogenesis, which suppresses tumor initiation following DNA alkylation in a MGMT-dependent manner, but promotes inflammation-driven tumor progression. PMID: 29632181
- data indicate that RNF20 and PARP1 are synthetic lethal interactors PMID: 28462496
- High PARP1 expression is associated with colonic neoplasms. PMID: 29590171
- On DNA damage, CIRBP temporarily accumulates at the damaged regions and is poly(ADP ribosyl)ated by poly(ADP ribose) polymerase-1 (PARP-1). PMID: 29432179
- The study suggests that PARP-1 polymorphisms are involved in the development of SCI in Chinese individuals. Thus, PARP-1 polymorphisms can be considered as one of the potential risk factors for developing SCI. PMID: 29255350
- this study identifies the importance of TDP1 as a novel determinant of response to CNDAC across various cancer types (especially non-small cell lung cancers), and demonstrates the differential involvement of BRCA2, PARP1, and TDP1 in the cellular responses to CNDAC, AraC, and CPT PMID: 28802254
- Variations in potential miRNA-binding target sites in the 3' UTR of PARP1 gene may modulate colorectal cancer risk and prognosis after therapy. PMID: 29048575
- Three-locus model of gene-gene interactions OGG1 (rs1052133) * ADPRT (rs1136410) * XRCC4 (rs6869366) was associated with high genotoxic risk in coal miners. PMID: 28992182
- Observations suggest that IER5 is a novel regulator of the non-homologous end-joining pathway pathway for DNA double-strand breaks repair, possibly through its interaction with PARP1 and Ku70. PMID: 29104487
- This study identified the involvement of two SNPs of PARP-1 (C410T and G1672A) in development of acute renal injury among Chinese diabetic patients. PMID: 29238179
- Studies indicate that post-translational modifications (PTMs) such as phosphorylation, acetylation, and methylation are crucial for the regulation of PARP1 activity, and dysregulation of modifications on PARP1 is observed in cancer [Review]. PMID: 28930534
- Poly(ADP-ribose) polymerase-1 (PARP1) interacts with xeroderma pigmentosum, complementation group C protein (XPC) in the nucleoplasmic and chromatin fractions in UV irradiated HEK293 cells. PMID: 28760956
- The phosphorylation level of p38 was upregulated by MA1 treatment, and the inhibitor of p38, SB203580, attenuated the MA1-induced p38 phosphorylation as well as caspase3 and PARP activation. These results indicate that MA1 treatment alters invasive and oncogenic phenotypes of human colorectal cancer cells through the stimulation of the p38 signaling pathway PMID: 28713983
- this study demonstrates that PARP inhibition protects mitochondria and reduces ROS production via PARP-1-ATF4-MKP-1-MAPK retrograde pathway PMID: 28457938
- Arsenite-loaded nanoparticles inhibit PARP-1 to overcome multidrug resistance in hepatocellular carcinoma cells. PMID: 27484730
- NR1D1 interacted with poly(ADP-ribose) polymerase 1 (PARP1) and subsequently inhibited catalytic activity of PARP1. PMID: 28599788
- IGH/MYC-positive Burkitt lymphoma/leukemia cells have decreased BRCA2 and are sensitive to PARP1 inhibition alone or in combination with other chemotherapies. This study postulates that IGH/MYC-induced BRCA2 deficiency may predispose Burkitt lymphoma cells to synthetic lethality triggered by PARP1 inhibitors. PMID: 28634224
- Our study demonstrates a cross-talk between PARPi and tumor-associated immunosuppression and provides evidence to support the combination of PARPi and PD-L1 or PD-1 immune checkpoint blockade as a potential therapeutic approach to treat breast cancer PMID: 28167507
- PARP1 expression was increased in GBM at both mRNA and protein levels. increased PARP1 levels show positive correlation with increasing tumour grades in gliomas Higher PARP1 mRNA expression levels were associated with ATRX and TP53 mutations. PMID: 28654422
- Existence of a kinase-independent role of nuclear RIPK1 in the regulation of PARP1. PMID: 28993228
- The observed incomplete sister chromatid disjunction may be due to the accumulation of unreplicated DNA during mitosis in CDA-deficient cells, as reflected in the changes in centromeric DNA structure associated with the decrease in basal PARP-1 activity. PMID: 28463527
- Studied role of PARP1 regulation and senescence by melatonin. PMID: 28247536
- Report a requirement for PARP2 in stabilizing replication forks that encounter base excision repair (BER) intermediates through Fbh1-dependent regulation of Rad51. Whereas PARP2 is dispensable for tolerance of cells to single stranded breaks or homologous recombination dysfunction, it is redundant with PARP1 in BER. PMID: 29467415
- Potential high binding affinity compounds that are predicted by molecular simulations were then tested by in vitro methods. Computationally proposed compounds as PARP-1 inhibitors were confirmed by in vitro studies. In vitro results showed that compounds 7111620047 and 7119980926 have IC50 values of 0.56 and 63 muM against PARP-1 target, respectively PMID: 27315035
- The impairment of PARP-dependent DNA damage response (DDR) signaling due to mutations in the FUS nuclear localization sequence induces additional cytoplasmic FUS mislocalization which in turn results in neurodegeneration and FUS aggregate formation in amyotrophic lateral sclerosis. PMID: 29362359
- Septin4 is a novel essential factor involved in oxidative stress induced vascular endothelial cell injury by interacting with apoptosis-related protein PARP1. PMID: 29366480
- Data show that the mRNA level of poly(ADP-ribose) polymerase (PARP)-1 was significantly regulated by miR-216b. PMID: 28281524
- The Gene expression levels of PARP1 was robustly elevated in oligodendrocytes laser captured from BA10 and amygdala white matter of Major Depressive Disorder. PMID: 28034960
- PARP-1 activates prothrombin gene transcription and that the excessive prothrombin gene transcription induces des-gamma-carboxy prothrombin (DCP) production in DCP-producing hepatocellular carcinoma cells. PMID: 28384634
- Sodium arsenite induces S-nitrosation on PARP-1 zinc finger DNA binding domain by generating NO through iNOS activation, leading to zinc loss and inhibition of PARP-1 activity, thereby increasing retention of damaged DNA. PMID: 27741521
顯示更多
收起更多
-
亞細胞定位:Nucleus. Nucleus, nucleolus. Chromosome.
-
數據庫鏈接:
Most popular with customers
-
-
YWHAB Recombinant Monoclonal Antibody
Applications: ELISA, WB, IHC, IF, FC
Species Reactivity: Human, Mouse, Rat
-
Phospho-YAP1 (S127) Recombinant Monoclonal Antibody
Applications: ELISA, WB, IHC
Species Reactivity: Human
-
-
-
-
-















