-
中文名稱:P4HB兔多克隆抗體
-
貨號:CSB-PA00254A0Rb
-
規格:¥440
-
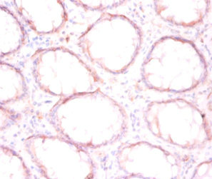
圖片:
-
Immunohistochemistry of paraffin-embedded human colon cancer using CSB-PA00254A0Rb at dilution of 1:50
-
Western blot
All lanes: P4HB antibody at 1.8µg/ml
Lane 1: Mouse brain tissue
Lane 2: Colo320 whole cell lysate
Lane 3: HepG2 whole cell lysate
Lane 4: 293T whole cell lysate
Lane 5: Hela whole cell lysate
Lane 6: MCF-7 whole cell lysate
Secondary
Goat polyclonal to rabbit IgG at 1/10000 dilution
Predicted band size: 58 kDa
Observed band size: 58 kDa
-
-
其他:
產品詳情
-
產品名稱:Rabbit anti-Homo sapiens (Human) P4HB Polyclonal antibody
-
Uniprot No.:
-
基因名:
-
別名:Cellular thyroid hormone binding protein antibody; Cellular thyroid hormone-binding protein antibody; Collagen prolyl 4 hydroxylase beta antibody; Disulphide Isomerase antibody; DSI antibody; EC 5.3.4.1 antibody; Endoplasmic reticulum resident protein 59 antibody; ER protein 59 antibody; ERBA2L antibody; ERp59 antibody; GIT antibody; Gltathione insulin transhydrogenase antibody; Glutathione insulin transhydrogenase antibody; P4HB antibody; P4Hbeta antibody; p55 antibody; PDI antibody; PDIA1 antibody; PDIA1_HUMAN antibody; PDIR antibody; PHDB antibody; PO4DB antibody; PO4HB antibody; Procollagen proline 2 oxoglutarate 4 dioxygenase (proline 4 hydroxylase) beta polypeptide (protein disulfide isomerase associated 1) antibody; Procollagen proline 2 oxoglutarate 4 dioxygenase beta subunit antibody; PROHB antibody; Prolyl 4 hydroxylase beta polypeptide antibody; Prolyl 4 hydroxylase beta subunit antibody; Prolyl 4 hydroxylase subunit beta antibody; Prolyl 4-hydroxylase subunit beta antibody; Protein disulfide isomerase associated 1 antibody; Protein disulfide isomerase, family A, member 1 antibody; Protein disulfide isomerase/oxidoreductase antibody; Protein disulfide-isomerase antibody; Protocollagen hydroxylase antibody; Thbp antibody; Thyroid hormone binding protein p55 antibody; Thyroid hormone binding protein p55 cellular antibody; V erb a avian erythroblastic leukemia viral oncogene homolog 2 like antibody
-
宿主:Rabbit
-
反應種屬:Human, Mouse
-
免疫原:Recombinant Human Protein disulfide-isomerase protein (29-508AA)
-
免疫原種屬:Homo sapiens (Human)
-
標記方式:Non-conjugated
本頁面中的產品,P4HB Antibody (CSB-PA00254A0Rb),的標記方式是Non-conjugated。對于P4HB Antibody,我們還提供其他標記。見下表:
-
克隆類型:Polyclonal
-
抗體亞型:IgG
-
純化方式:>95%, Protein G purified
-
濃度:It differs from different batches. Please contact us to confirm it.
-
保存緩沖液:Preservative: 0.03% Proclin 300
Constituents: 50% Glycerol, 0.01M PBS, PH 7.4 -
產品提供形式:Liquid
-
應用范圍:ELISA, WB, IHC
-
推薦稀釋比:
Application Recommended Dilution WB 1:500-1:5000 IHC 1:20-1:200 -
Protocols:
-
儲存條件:Upon receipt, store at -20°C or -80°C. Avoid repeated freeze.
-
貨期:Basically, we can dispatch the products out in 1-3 working days after receiving your orders. Delivery time maybe differs from different purchasing way or location, please kindly consult your local distributors for specific delivery time.
-
用途:For Research Use Only. Not for use in diagnostic or therapeutic procedures.
引用文獻
- Potential role of P4HB in the tumor microenvironment and its clinical prognostic value: a comprehensive pan-cancer analysis and experimental validation with a focus on KIRC L Zhang, Y Li, T Xie, K Sun, X Huang, W Xiong,Cancer Cell International,2025
相關產品
靶點詳情
-
功能:This multifunctional protein catalyzes the formation, breakage and rearrangement of disulfide bonds. At the cell surface, seems to act as a reductase that cleaves disulfide bonds of proteins attached to the cell. May therefore cause structural modifications of exofacial proteins. Inside the cell, seems to form/rearrange disulfide bonds of nascent proteins. At high concentrations, functions as a chaperone that inhibits aggregation of misfolded proteins. At low concentrations, facilitates aggregation (anti-chaperone activity). May be involved with other chaperones in the structural modification of the TG precursor in hormone biogenesis. Also acts a structural subunit of various enzymes such as prolyl 4-hydroxylase and microsomal triacylglycerol transfer protein MTTP. Receptor for LGALS9; the interaction retains P4HB at the cell surface of Th2 T helper cells, increasing disulfide reductase activity at the plasma membrane, altering the plasma membrane redox state and enhancing cell migration.
-
基因功能參考文獻:
- Peroxynitrite preferentially oxidizes the dithiol redox motifs of protein-disulfide isomerase. PMID: 29191937
- Overexpression of HIF-1alpha and P4HB is associated with poor prognosis in patients with gastric cancer. PMID: 29904245
- Study demonstrated that the expression of P4HB is frequently upregulated at the mRNA and protein levels in diffuse gliomas. Its high expression was significantly correlated with high Ki-67, more TP53 mutations and poor survival outcome. These findings imply that high expression of P4HB plays an important role in diffuse glioma progression. PMID: 29207176
- identify a potent and selective PDIA1 inhibitor, KSC-34, with 30-fold selectivity for the a site over the a' site. KSC-34 displays time-dependent inhibition of PDIA1 reductase activity in vitro with a kinact/ KI of 9.66 x 10(3) M(-1) s(-1) and is selective for PDIA1 over other members of the PDI family, and other cellular cysteine-containing proteins. PMID: 29521097
- P4HB promotes hepatocellular carcinoma progression by down-regulating GRP78 expression and subsequently promoting epithelial-to-mesenchymal transition. PMID: 28052026
- analysis of antiplatelet activity of CxxC through binding to Cys400 in the PDI a0 domain, which can be further exploited as a model for sitedriven antithrombotic agent development PMID: 28109047
- Current findings indicate that thiol isomerase-mediated disulfide bond modification in receptors and plasma proteins is an important layer of control of thrombosis and vascular function more generally. PMID: 28598864
- DIA1 was robustly secreted by physiological levels of arterial laminar shear in endothelial cells and supported alpha 5 integrin thiol oxidation. PMID: 28034831
- Kinetic-based trapping by intervening sequence variants of the active sites of protein-disulfide isomerase identifies platelet protein substrates. PMID: 28364042
- a mechanism of dual Ero1alpha regulation by dynamic redox interactions between PDI and the two Ero1alpha flexible loops that harbor the regulatory cysteines. PMID: 27703014
- analysis of how redox affects human protein disulfide isomerase regulate binding affinity of 17 beta-estradiol PMID: 28257787
- These findings improve our understanding of PDI-protected aggregation of wild-type alpha-Syn and its H50Q familial mutant. PMID: 27142583
- Association of P4HB polymorphisms with sporadic amyotrophic lateral sclerosis susceptibility in the Chinese Han population. PMID: 26000911
- the effect of the endoplasmic reticulum chaperone protein disulfide isomerase (PDI) on beta-cell dysfunction, was examined. PMID: 26607804
- Amyotrophic lateral sclerosis-linked PDIA1 mutations disrupt motor neuron connectivity. PMID: 26869642
- direct binding of PDIA1 to VWF, is reported. PMID: 26670633
- Selective sequestration of PDI1A in a calcium depletion-mediated complex with the abundant chaperone calreticulin attenuates the effective concentration of this major lumenal thiol oxidant. PMID: 25575667
- Cole-Carpenter syndrome is caused by a specific de novo mutation in P4HB that impairs the disulfide isomerase activity of protein disulfide isomerase. PMID: 25683117
- PDI has a role as a competent regulator and a specific substrate of Ero1alpha govern efficient and faithful oxidative protein folding and maintain the ER redox homeostasis PMID: 25258311
- The crystal structure of the dimeric form of noncatalytic bb' domains of human PDIA1 determined to 2.3 A resolution revealed that the formation of dimers occludes the substrate binding site. PMID: 24549644
- Elevated P4HB expression is associated with temozolomide resistance in malignant glioma. PMID: 23444257
- ). The results suggest that P4HB is a modifier gene inamyotrophic lateral sclerosis susceptibility and may represent a potential therapeutic target for amyotrophic lateral sclerosis . PMID: 23337974
- A mixed disulfide complex was formed with the catalytic domain A1 from human PDI consistent with a model for cotranslational oxidative protein folding wherein PDI acts as a placeholder that is relieved by the pairing of cysteines caused by substrate folding. PMID: 23141538
- TPM4, PDIA and SRC8 were also localized to the trophoblast cells, further highlighting the importance of these cytoskeletal remodelling proteins in early pregnancy PMID: 21373848
- these data revealed a redox-regulated chaperone function of PDI in delivering antigenic peptides from TAP to MHC-I. PMID: 21299467
- Functional PDI is rapidly secreted from human umbilical vein endothelial cells in culture upon activation with thrombin or after laser-induced stimulation. PMID: 20668226
- domain c is required for the stabilization and maintenance of the chaperone function of PDI under extreme conditions PMID: 15358778
- data indicate that binding sites in three PDI domains, a, b', and a', contribute to efficient C-P4H tetramer assembly PMID: 15590633
- PDI can be S-nitrosated and PDI-SNO can be denitrosated by PDI suggesting that this enzyme could be intimately involved in the transport of intracellular NO equivalents to the cell surface. PMID: 15611098
- Data show that protein disulfide isomerase can switch its conformation from dimer to tetramer in its functions as a foldase. PMID: 15695804
顯示更多
收起更多
-
相關疾病:Cole-Carpenter syndrome 1 (CLCRP1)
-
亞細胞定位:Endoplasmic reticulum. Endoplasmic reticulum lumen. Melanosome. Cell membrane; Peripheral membrane protein.
-
蛋白家族:Protein disulfide isomerase family
-
數據庫鏈接:
Most popular with customers
-
-
YWHAB Recombinant Monoclonal Antibody
Applications: ELISA, WB, IHC, IF, FC
Species Reactivity: Human, Mouse, Rat
-
Phospho-YAP1 (S127) Recombinant Monoclonal Antibody
Applications: ELISA, WB, IHC
Species Reactivity: Human
-
-
-
-
-















