P2RY2 Antibody
-
中文名稱:P2RY2兔多克隆抗體
-
貨號:CSB-PA972644
-
規格:¥1100
-
圖片:
-
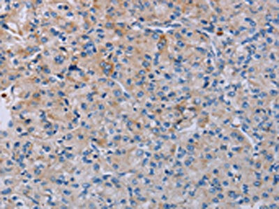
The image on the left is immunohistochemistry of paraffin-embedded Human ovarian cancer tissue using CSB-PA972644(P2RY2 Antibody) at dilution 1/40, on the right is treated with synthetic peptide. (Original magnification: ×200)
-
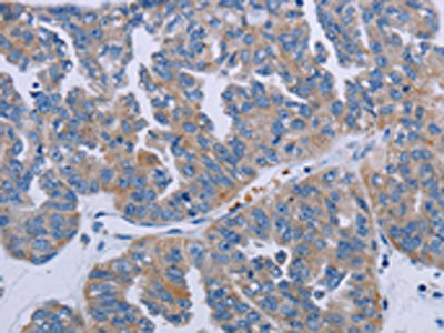
The image on the left is immunohistochemistry of paraffin-embedded Human prostate cancer tissue using CSB-PA972644(P2RY2 Antibody) at dilution 1/40, on the right is treated with synthetic peptide. (Original magnification: ×200)
-
-
其他:
產品詳情
-
Uniprot No.:
-
基因名:
-
別名:P2RY2; P2RU1; P2Y purinoceptor 2; P2Y2; ATP receptor; P2U purinoceptor 1; P2U1; P2U receptor 1; Purinergic receptor
-
宿主:Rabbit
-
反應種屬:Human,Mouse,Rat
-
免疫原:Synthetic peptide of Human P2RY2
-
免疫原種屬:Homo sapiens (Human)
-
標記方式:Non-conjugated
-
抗體亞型:IgG
-
純化方式:Antigen affinity purification
-
濃度:It differs from different batches. Please contact us to confirm it.
-
保存緩沖液:-20°C, pH7.4 PBS, 0.05% NaN3, 40% Glycerol
-
產品提供形式:Liquid
-
應用范圍:ELISA,IHC
-
推薦稀釋比:
Application Recommended Dilution ELISA 1:1000-1:2000 IHC 1:25-1:100 -
Protocols:
-
儲存條件:Upon receipt, store at -20°C or -80°C. Avoid repeated freeze.
-
貨期:Basically, we can dispatch the products out in 1-3 working days after receiving your orders. Delivery time maybe differs from different purchasing way or location, please kindly consult your local distributors for specific delivery time.
-
用途:For Research Use Only. Not for use in diagnostic or therapeutic procedures.
相關產品
靶點詳情
-
功能:Receptor for ATP and UTP coupled to G-proteins that activate a phosphatidylinositol-calcium second messenger system. The affinity range is UTP = ATP > ATP-gamma-S >> 2-methylthio-ATP = ADP.
-
基因功能參考文獻:
- Study demonstrated that the P2Y2 receptor was highly expressed in MCF7 and Hs578T breast cancer cells and indicated that the P2Y2 receptor promoted cell migration and invasion in breast cancer cells via EMT-related genes Snail and E-cadherin. PMID: 29115551
- Our results clearly demonstrate the involvement of P2Y2R subtypes in the pathogenesis of fibrotic lung diseases in humans and mice and hence support the development of selective P2Y2R antagonists for the treatment of IPF. PMID: 28415591
- Proliferation and migration of functionally impaired cardiac progenitor cells are enhanced by P2Y2R-mediated YAP activation, revealing a novel link between extracellular nucleotides released during injury/stress and Hippo signaling-a central regulator of cardiac regeneration. PMID: 28923792
- nterleukin-8 release after purinergic stimulation in ALI-cultured HEECs is mediated through P2Y2 receptor activation. PMID: 27977904
- Human umbilical vein endothelial cells exposed to either P2Y2 receptor antagonists or siRNA showed impaired fluid shear stress-induced cell alignment, and actin stress fiber formation as early as 6 h. PMID: 27652381
- There is increased expression of P2Y2 receptors in the rectosigmoid mucosa of diarrhea-predominant irritable bowel syndrome patients. P2Y2 correlated with abdominal pain. PMID: 27250983
- A novel SNP-systemic lupus erythematosus association was identified between FCHSD2 and P2RY2, peaking at rs11235667 on a 33-kb haplotype upstream of ATG16L2. PMID: 26663301
- Hypoxia and upregulated HIF-1a both upregulated the P2Y2 levels in hepatocellular carcinoma cells and increased their survival. PMID: 27807254
- Results show that purinergic receptor P2Y2 (P2Y2R) requires N-glycosylation for expression on the cell surface. PMID: 28209512
- Data indicate that knockdown of caveolin-1 (Cav-1) expression causes redistribution of the P2Y2 nucleotide receptor (P2Y2R) from membrane rafts. PMID: 27129210
- The P2RY2 receptor induces carcinoma cell migration and epithelial-mesenchymal transition through cross-talk with EGFR. PMID: 26443721
- Activation of P2Y2R increased TF promoter activity and mRNA expression in coronary artery endothelial cells. PMID: 26631725
- Data show that the purinergic receptor P2Y2 (P2Y2R) pepducin activates neutrophils through formyl peptide receptor 2 (FPR2), and ATP is turned into an activating agonist through a receptor cross-talk mechanism that involves both FPR2 and P2Y2R. PMID: 26996596
- P2Y2 receptor and EGFR cooperate to promote prostate cancer cell invasion via ERK1/2 pathway. PMID: 26182292
- These results indicate that B2R couples with P2Y2R and that these G-protein-coupled receptors act together to fine-tune cellular responsiveness. PMID: 25713410
- These results suggest that over-activated ERK and PKC pathways are involved in the P2Y2R-mediated invasion of breast cancer cells. PMID: 26063340
- P2Y2 and Gq/G11 are required for basal endothelial NO formation, vascular tone, and blood pressure. PMID: 26168216
- P2Y2R may play an important role in cancer metastasis via modulation of the crosstalk between cancer cells and endothelial cells. PMID: 25156554
- These results demonstrate that P2Y2R plays an important role in activation of the HIF-1alpha-LOX axis, the induction of collagen crosslinking and the recruitment of CD11b+ hematopoietic bone marrow-derived cells. PMID: 25238333
- ATP increased P2Y-mediated upregulation of MUC8 expression; however, IL-1alpha significantly decreased the extent to which ATP/P2Y upregulated MUC8 expression. PMID: 25575516
- Signaling cascades evoked by P2Y2 receptor plays an important role in the phenomena dependent on the actin cytoskeleton dynamics endocy-tosis, cell division, adhesion, intracellular transport and migration.(review) PMID: 25807824
- P2Y2 receptor fails to repress IL-6 expression by valve interstitial cells through Akt in calcific aortic valve disease. PMID: 24631773
- The genes CD248, Ephb1 and P2RY2 were detected as the top overexpressed in GC biopsies. PMID: 24716914
- siRNA against P2Y2R or RAGE, suggesting that P2Y2R is an important mediator in oxLDL-mediated monocyte adhesion to ECs through the regulation of ROS-dependent adhesion molecule expression in ECs. PMID: 24486339
- P2Y2 receptor deletion in transgenic mice increased Beta-amyloid plaque load and soluble AB1-42 levels in brain from Alzheimer's disease model animals. PMID: 24193664
- P2Y2R mediated the action of ATP on the cellular behavior of HCC cells through store-operated calcium channel-mediated Ca(2+) signaling PMID: 24847054
- reflected in the immunoblotting data P2RY2 receptors were detected at higher levels of expression in patient with cortical dysplasia with intractable epilepsy. PMID: 25003238
- P2Y2 overexpression elevates the inhibitory effect of extracellular ATP on the proliferation of nasopharyngeal carcinoma cells. PMID: 24961145
- The activation of P2Y2 receptors increases MCF-7 breast cancer cells migration through the MEK-ERK1/2 signalling pathway. PMID: 24390819
- decrease in Src Y421 and Y446 and paxillin Y118 was detected, indicating the far-reaching importance of the P2Y2 receptor in mediating migration. PMID: 24095926
- signals generated by the receptor for ATP (P2Y2) reactivate desensitized formyl peptide receptors (FPRs) so that these ligand-bound inactive FPRs resume signaling. PMID: 24491917
- Results suggest that P2Y2 receptor desensitization protects airways against the deleterious effects of persistent fluid secretion. PMID: 23757023
- Uridine triphosphate increases proliferation of cancerous pancreatic duct epithelial cells by activation of P2Y2 receptor and PI3K/Akt pathway. PMID: 23462325
- suggest the P2Y2 receptor and its endothelial downstream signaling mechanisms as a target for antimetastatic therapies PMID: 23810565
- In women, bone mineral density values at all sites were significantly different between the genotypes for the Leu46Pro polymorphism of the p2y2 receptor PMID: 22773251
- Activation of P2Y2R and Galphaq by uridine triphosphate promotes hemidesmosome formation. PMID: 22718344
- IL-8 and IL-6 release after purinergic stimulation in uroepithelial cells is mediated through P2V2 receptors activation. PMID: 23088987
- Data define the expression profile of P2Y receptors on human biliary epithelial cancer cells and indicate P2Y2 receptors as being potential targets in new treatment strategies for biliary cancer. PMID: 22993317
- Upon activation by ursolic acid , P2Y2 activated Src which in turn phosphorylated p38 leading to COX-2 overexpression which induced resistance to apoptosis in both colorectal and prostate cancer cells PMID: 22521508
- Adenosine triphosphate (ATP) enhances proliferation, adhesion, and migration via P2Y2R activation and the immunosuppressive ability of regulatory T (Treg) cells. PMID: 22753942
- estrogen, via estrogen alpha receptors, promotes proliferation of breast cancer cells by down-regulating purinergic receptor P2Y receptor expression thereby attenuating calcium signaling PMID: 21356271
- Inhibition of any of the constituents of this cascade (pannexin-1, ATP, P2Y2, and Pyk2) impairs the replication of HIV-1 mutant viruses that are resistant to conventional antiretroviral agents. PMID: 21859844
- P2Y(2) receptor mediates TF expression in HCAEC through new mechanisms involving Src/p38 and Rho/JNK pathways, possibly contributing to a pro-thrombotic status after vascular injury. PMID: 21652710
- A P2Y2 isoform represents the predominant purinergic receptor underlying ATP-evoked Ca2+ mobilization, membrane hyperpolarization and de novo synthesis of nitric oxide. PMID: 21414662
- P2Y(2) R appears to be involved in asthmatic airway inflammation PMID: 20880147
- Purinergic receptors might represent important new set of molecular targets for theca hyperplasia and polycystic ovarian syndrome. PMID: 20630102
- Data report that activation of P2Y(2) receptors by extracellular UTP inhibits the IGF-I-induced p110alpha-PI3K activation. PMID: 20089844
- P2Y2 is the key player in the response of corneal epithelial cells to cell damage and subsequent repair events. PMID: 20427708
- The rs4944831 and the T-A-G haplotype of the human P2RY2 gene might be genetic markers for essential hypertension in Japanese men. PMID: 19710694
- These results suggest that P2Y(2)R activation in salivary gland cells promotes the formation of EGFR/ErbB3 heterodimers and metalloprotease-dependent neuregulin 1 release, resulting in the activation of both EGFR and ErbB3. PMID: 20064929
顯示更多
收起更多
-
亞細胞定位:Cell membrane; Multi-pass membrane protein.
-
蛋白家族:G-protein coupled receptor 1 family
-
組織特異性:Spleen, testis, kidney, liver, lung, heart and brain.
-
數據庫鏈接:
Most popular with customers
-
-
YWHAB Recombinant Monoclonal Antibody
Applications: ELISA, WB, IHC, IF, FC
Species Reactivity: Human, Mouse, Rat
-
Phospho-YAP1 (S127) Recombinant Monoclonal Antibody
Applications: ELISA, WB, IHC
Species Reactivity: Human
-
-
-
-
-















