P2RY1 Antibody
-
中文名稱:P2RY1兔多克隆抗體
-
貨號:CSB-PA548912
-
規格:¥1100
-
圖片:
-
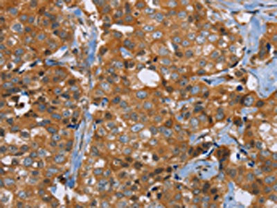
The image on the left is immunohistochemistry of paraffin-embedded Human breast cancer tissue using CSB-PA548912(P2RY1 Antibody) at dilution 1/40, on the right is treated with synthetic peptide. (Original magnification: ×200)
-
The image on the left is immunohistochemistry of paraffin-embedded Human colon cancer tissue using CSB-PA548912(P2RY1 Antibody) at dilution 1/40, on the right is treated with synthetic peptide. (Original magnification: ×200)
-
Gel: 10%SDS-PAGE, Lysate: 40 μg, Lane 1-2: A549 cells, mouse liver tissue, Primary antibody: CSB-PA548912(P2RY1 Antibody) at dilution 1/200, Secondary antibody: Goat anti rabbit IgG at 1/8000 dilution, Exposure time: 30 seconds
-
-
其他:
產品詳情
-
Uniprot No.:
-
基因名:
-
別名:P2RY1; P2Y purinoceptor 1; P2Y1; ADP receptor; Purinergic receptor
-
宿主:Rabbit
-
反應種屬:Human,Mouse,Rat
-
免疫原:Synthetic peptide of Human P2RY1
-
免疫原種屬:Homo sapiens (Human)
-
標記方式:Non-conjugated
-
抗體亞型:IgG
-
純化方式:Antigen affinity purification
-
濃度:It differs from different batches. Please contact us to confirm it.
-
保存緩沖液:-20°C, pH7.4 PBS, 0.05% NaN3, 40% Glycerol
-
產品提供形式:Liquid
-
應用范圍:ELISA,WB,IHC
-
推薦稀釋比:
Application Recommended Dilution ELISA 1:1000-1:2000 WB 1:200-1:1000 IHC 1:50-1:200 -
Protocols:
-
儲存條件:Upon receipt, store at -20°C or -80°C. Avoid repeated freeze.
-
貨期:Basically, we can dispatch the products out in 1-3 working days after receiving your orders. Delivery time maybe differs from different purchasing way or location, please kindly consult your local distributors for specific delivery time.
-
用途:For Research Use Only. Not for use in diagnostic or therapeutic procedures.
相關產品
靶點詳情
-
功能:Receptor for extracellular adenine nucleotides such as ADP. In platelets, binding to ADP leads to mobilization of intracellular calcium ions via activation of phospholipase C, a change in platelet shape, and ultimately platelet aggregation.
-
基因功能參考文獻:
- Genomic association study identified deleterious rare variants in P2RY1 in patients with ischemic stroke. PMID: 29232918
- Pin1 induces the ADP-induced migration of human dental pulp cells through P2Y1 stabilization. PMID: 27863418
- predominant role of P2Y1 receptors in human embryonic stem cells and a transition of P2Y-IP3R coupling in derived cardiovascular progenitor cells are responsible for the differential Ca(2+) mobilization between these cells. PMID: 27098757
- The negative feedback modulation between LncRNA-SARCC/AR complex and HIF-2alpha signaling may then lead to differentially modulated RCC progression in a VHL-dependent manner. Together, these results may provide us a new therapeutic approach via targeting this newly identified signal from LncRNA-SARCC to AR-mediated HIF-2alpha/C-MYC signals against RCC progression. PMID: 26973243
- these data highlight a key role of the P2Y1/PI3Kbeta axis in endothelial cell proliferation downstream of ecto-F1-ATPase activation by apoA-I. Pharmacological targeting of this pathway could represent a promising approach to enhance vascular endothelial protection. PMID: 28578353
- ALIX regulates P2Y1 degradation. PMID: 27301021
- There is increased expression of P2Y1 receptors in the rectosigmoid mucosa of diarrhea-predominant irritable bowel syndrome patients. PMID: 27250983
- High extracellular NaCl induces priming of the NLRP3 inflammasome in RPE cells, in part via P2Y1 receptor signaling PMID: 27788256
- aim of this study was to evaluate the effects of platelet receptor gene (P2Y12, P2Y1) and glycoprotein gene (GPIIIa) polymorphisms, as well as their interactions, on antiplatelet drug responsiveness and clinical outcomes in patients with acute MIS PMID: 28091702
- Early neurological deterioration (END) occurred significantly more frequently in patients with aspirin resistance (AR) or high-risk interactive genotypes. Moreover, AR and high-risk interactive genotypes were independently associated with END. PMID: 28068952
- Synergistic inhibition of both P2Y1 and P2Y12 adenosine diphosphate receptors by GLS-409 immediately attenuates platelet-mediated thrombosis and effectively blocks agonist-stimulated platelet aggregation irrespective of concomitant aspirin therapy. PMID: 26743169
- Antibody EL2Ab binds to and exhibits P2Y1R-dependent function-blocking activity in the context of platelets. PMID: 25593131
- P2Y1 couples to and activates TRPV4. PKC inhibitors prevented P2Y1 receptor activation of TRPV4. PMID: 26475857
- P2Y1 receptors are a potential pharmacological target leading smooth muscle relaxation to treat spasticity in colonic motor disorders. PMID: 24998877
- crystal structures of the human P2Y1R in complex with a nucleotide antagonist MRS2500 at 2.7 A resolution, and with a non-nucleotide antagonist BPTU at 2.2 A resolution PMID: 25822790
- Data indicate that ATP-evoked Hoechst 33258 uptake was dependent on activation of P2Y receptors P2Y1 and P2Y2. PMID: 25937122
- This study shows that Up4A is a potent native agonist for P2Y1R and SK-channel activation in human and mouse colon. PMID: 25341729
- These studies demonstrate a role for P2Y receptor activation in stimulation of ATP release. PMID: 24829920
- The immunohistochemical results were reflected in the immunoblotting data P2RY1 receptors were detected at higher levels of expression in patient with cortical dysplasia with intractable epilepsy. PMID: 25003238
- P2Y1 and P2Y12 genes were polymorphic in a Korean population; 3 intronic P2Y12 polymorphisms (i-139C>T, i-744T>C, i-801insA) were in complete linkage disequilibrium but not with the c.52C>T polymorphism; platelet aggregation in response to ADP associated with c.52C>T polymorphism but not with the 3 intronic polymorphisms or the P2Y1 c.1622A>T polymorphism PMID: 23849096
- We think that allele G provides a protective effect in events of ventilatory stress. Moreover, the significant lack of P2Y1 G allele homozygotes in the SIDS group shows that respiratory response plays an important role in the etiology of SIDS PMID: 23828624
- The physiological impact of A87T mutation of the P2Y11 receptor derives from detrimental effects on P2Y1-P2Y11 receptor interaction. PMID: 24524250
- Low ATP concentrations potentiated epinephrine-induced platelet aggregation that was abolished by P2Y1 antagonist MRS2500 suggesting P2Y1 receptor activation due to contaminating ADP. PMID: 24071464
- H295R, a human adrenal cortex-derived cell line expresses a functional P2Y purinergic receptor for intracellular Ca(2)-mobilization. P2Y is linked to store-operated calcium entry activation, leading to Ca(2)-influx and cortisol secretion. PMID: 23951072
- Clopidogrel resistance was not associated with ADP receptor P2Y1 and P2Y12 gene polymorphisms. PMID: 22721490
- ATPgammaS induced COX-2 expression and PGE(2) production via a P2 receptor/PKC/NADPH oxidase/ROS/Jak2/STAT3/cPLA(2) signaling pathway in A549 cells. PMID: 23326583
- P2Y1 receptors are expressed in intracellular vesicles and sarcolemma of skeletal muscle fibers. PMID: 22052557
- Data indicate that single nucleotide polymorphisms (SNPs) in P2RY1 and P2RY12 are associated with on-aspirin platelet reactivity in patients with coronary artery disease (CAD). PMID: 22574824
- Data describe a novel function of ARF6 in the internalization of P2Y purinoceptors and demonstrate the integral importance of this small GTPase upon platelet ADP receptor function. PMID: 22916275
- Combined blockade of P2Y12, P2Y1 and PI3-kinase p110beta fully prevents platelet and leukocyte activation during hypothermic extracorporeal circulation. PMID: 22701645
- Results indicate involvement of P2Y purinoceptors P2Y(1) and P2Y(6) receptors in ADP- and UDP-stimulated proliferation. PMID: 22249129
- The role of P2RY1 in individuals from Latvian population is likely to be in platelet aggregation and thromboembolic diseases, and not as a significant contributing factor to the global metabolic syndrome, nor any association with myocardial infarction. PMID: 21643756
- functional interaction of A2A and P2Y12 receptors on P2Y1 receptor PMID: 22079667
- Activation of the P2Y1 receptor induces apoptosis and inhibits cell proliferation, implying a potentially novel target for prostate cancer. PMID: 21632028
- P2Y1 expression plays an important role in ectopic bone formation in the spinal ligaments of patients with ossification of the posterior longitudinal ligament of the spine (OPLL) PMID: 21210088
- analysis of a novel Gi, P2Y-independent signaling pathway mediating Akt phosphorylation in response to thrombin receptors PMID: 20586915
- Adenosine triphosphate (ATP) acts trophically in brain neurons via its purinergic receptor P2Y1 to regulate gene expression of synaptic transmission and transduction. PMID: 20847060
- Evaluation of antiplatelet agents in open flow systems demonstrates that inhibition of either ADP by apyrase or antagonism of P2X(1) signaling had no inhibitory effect on platelet accumulation. PMID: 20473398
- These data describe a novel function of SNX1 in the regulation of P2Y(1) receptor recycling and suggest that SNX1 plays multiple roles in endocytic trafficking of G-protein coupled receptors. PMID: 20070609
- Data show that ADP significantly increased VEGF, but not endostatin, release from platelets, and that both P2Y(1) and P2Y(12) receptor antagonism inhibited this release. PMID: 20063989
- Data show that compound 3 was active in changing intracelluular calcium in 1321N1 human astrocytoma cells stably expressing the hP2Y1 receptor. PMID: 20192270
- genetic polymorphisms in ITGA2 and P2RY1 combine with plasma VWF:Ag levels to modulate baseline platelet reactivity in response to collagen plus EPI, while genetic differences in P2RY1 and GP1BA significantly effect platelet responses to collagen plus ADP PMID: 19740098
- expression profile in human peripheral tissues and brain regions using PCR PMID: 11690642
- Inhibition of platelet P2Y12 and alpha2A receptor signaling by cGMP-dependent protein kinase. PMID: 12147294
- immunolocalization of P2Y1 and TPalpha receptors in platelets revealed that while present at the platelet surface, both receptors were abundantly represented inside the platelet - in membranes of alpha-granules and elements of the open-canalicular system PMID: 12393588
- Human keratinocytes express multiple P2Y-receptors: evidence for functional P2Y1, P2Y2, and P2Y4 receptors. PMID: 12603858
- the P2Y(1) purinoceptor and the P2Y(12)receptor appear to be involved in ADP-induced platelet shape change, an early phase of platelet activation that precedes aggregation PMID: 12623443
- Supports P2Y(12) as a drug target compared with P2Y(1). PMID: 14644082
- Whereas P2RY1 antagonism did not affect collagen or thrombin-induced thrombin generation, P2RY12 antagonism did decrease both, suggesting that P2RY12, but not P2RY1, is responsible for the potentiation of agonist-induced platelet procoagulant activity. PMID: 15099288
- Src kinase is activated through P2Y(1) but not P2Y(12) PMID: 15187029
顯示更多
收起更多
-
亞細胞定位:Cell membrane; Multi-pass membrane protein.
-
蛋白家族:G-protein coupled receptor 1 family
-
數據庫鏈接:
Most popular with customers
-
-
YWHAB Recombinant Monoclonal Antibody
Applications: ELISA, WB, IHC, IF, FC
Species Reactivity: Human, Mouse, Rat
-
Phospho-YAP1 (S127) Recombinant Monoclonal Antibody
Applications: ELISA, WB, IHC
Species Reactivity: Human
-
-
-
-
-















