OTC Antibody
-
中文名稱:OTC兔多克隆抗體
-
貨號:CSB-PA017270LA01HU
-
規格:¥440
-
圖片:
-
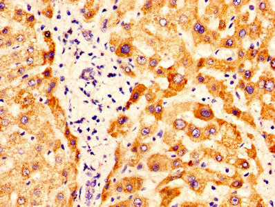
IHC image of CSB-PA017270LA01HU diluted at 1:400 and staining in paraffin-embedded human liver tissue performed on a Leica BondTM system. After dewaxing and hydration, antigen retrieval was mediated by high pressure in a citrate buffer (pH 6.0). Section was blocked with 10% normal goat serum 30min at RT. Then primary antibody (1% BSA) was incubated at 4°C overnight. The primary is detected by a biotinylated secondary antibody and visualized using an HRP conjugated SP system.
-
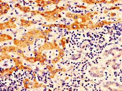
IHC image of CSB-PA017270LA01HU diluted at 1:400 and staining in paraffin-embedded human liver cancer performed on a Leica BondTM system. After dewaxing and hydration, antigen retrieval was mediated by high pressure in a citrate buffer (pH 6.0). Section was blocked with 10% normal goat serum 30min at RT. Then primary antibody (1% BSA) was incubated at 4°C overnight. The primary is detected by a biotinylated secondary antibody and visualized using an HRP conjugated SP system.
-
-
其他:
產品詳情
-
產品名稱:Rabbit anti-Homo sapiens (Human) OTC Polyclonal antibody
-
Uniprot No.:
-
基因名:
-
別名:EC 2.1.3.3 antibody; MGC129967 antibody; MGC129968 antibody; MGC138856 antibody; OCTD antibody; Ornithine Carbamoyltransferase antibody; Ornithine carbamoyltransferase mitochondrial antibody; Ornithine carbamoyltransferase, mitochondrial antibody; Ornithine transcarbamylase antibody; Otc antibody; OTC_HUMAN antibody; OTCase antibody
-
宿主:Rabbit
-
反應種屬:Human
-
免疫原:Recombinant Human Ornithine carbamoyltransferase, mitochondrial protein (33-354AA)
-
免疫原種屬:Homo sapiens (Human)
-
標記方式:Non-conjugated
本頁面中的產品,OTC Antibody (CSB-PA017270LA01HU),的標記方式是Non-conjugated。對于OTC Antibody,我們還提供其他標記。見下表:
-
克隆類型:Polyclonal
-
抗體亞型:IgG
-
純化方式:>95%, Protein G purified
-
濃度:It differs from different batches. Please contact us to confirm it.
-
保存緩沖液:Preservative: 0.03% Proclin 300
Constituents: 50% Glycerol, 0.01M PBS, PH 7.4 -
產品提供形式:Liquid
-
應用范圍:ELISA, IHC
-
推薦稀釋比:
Application Recommended Dilution IHC 1:200-1:500 -
Protocols:
-
儲存條件:Upon receipt, store at -20°C or -80°C. Avoid repeated freeze.
-
貨期:Basically, we can dispatch the products out in 1-3 working days after receiving your orders. Delivery time maybe differs from different purchasing way or location, please kindly consult your local distributors for specific delivery time.
-
用途:For Research Use Only. Not for use in diagnostic or therapeutic procedures.
相關產品
靶點詳情
-
功能:Catalyzes the second step of the urea cycle, the condensation of carbamoyl phosphate with L-ornithine to form L-citrulline. The urea cycle ensures the detoxification of ammonia by converting it to urea for excretion.
-
基因功能參考文獻:
- Whole exome sequencing successfully identified disease-causing mutations including two novel ones: the c.209_210delAA (p.Lys70Argfs*17) and the c.850T>A (p.Tyr284Asn). PMID: 30223008
- indicate that the proportion of about 20-30% of hepatocytes expressing the functional OTC protein is not sufficient to maintain metabolic stability. X-inactivation ratios assessed in liver biopsies taken from heterozygous females with X-linked disorders should not be considered representative of the whole liver PMID: 29623395
- The measurement of serum ornithine carbamoyltransferase concentration may provide a useful marker of disease severity, and thus could be a useful marker for a high risk of hepatocellular carcinoma occurrence. PMID: 28824294
- Low expression of OTC is associated with glioblastoma. PMID: 27431689
- In Korean patients with OTC deficiency, mutations in OTC are genetically heterogeneous. PMID: 25994866
- Sanger sequencing of the ornithine transcarbamylase (OTC) gene revealed a novel hemizygous deletion at the fourth nucleotide of intron 4 (c.386+4delT) in a child with hyperammonemia and his asymptomatic mother. PMID: 26446336
- Ornithine transcarbamylase deficiency was genetically heterogeneous in seven Korean patients with confirmed ornithine transcarbamylase deficiency diagnosis by biochemical findings and/or genetic analysis, together with two novel mutations in the OTC gene PMID: 25011434
- The corresponding OTC tissue enzyme activities were between 3-6% of normal control in mouse and human liver. The use of the cryptic splice sites was reproduced in minigenes carrying murine or human mutant sequences PMID: 25853564
- OTC mutation and phenotype in ornithine transcarbamylase deficiency PMID: 26059767
- aim of this study was to provide clues for recognition of OTCD in adults and analyze the environmental factors that, interacting with OTC gene mutations, might have triggered acute clinical manifestations PMID: 25026867
- HNF-4alpha most likely plays an essential role in the initiation of OTC transcription in human. PMID: 25056436
- Data indicate that all of the three patients have carried ornithine transcarbamylase gene mutations, patients 1 and 2 were both hemizygous for mutation c.586G> A(p.D196N). PMID: 25297582
- V339G and W332S mutations of OTC have been discovered for the first time PMID: 24711021
- carriers of the ornithine transcarbamylase (OTC) mutation are at risk for developing hyperammonemia coma during the postpartum period and at times of metabolic stress. PMID: 21956151
- In patients with a clinical and biochemical presentation of OTCD and negative OTC sequencing, whole genome or targeted chromosomal microarray analysis (CMA) with coverage of the OTC and neighboring genes should be performed as a reflex test. PMID: 20817516
- Mutations in the regulatory regions of OTC can lead to ornithine carbamoyltransferase deficiency and should be included in genetic testing. PMID: 20127982
- These results indicate that mutant alleles with late-onset OCT deficiency syndrome have recurrently arisen, have been retained in some populations, and some appear to hvae a common ancestor. PMID: 19893582
- deficiency in ornithine carbamoyltransferase enzymatic function conferred by the R40H mutation is likely caused by enhanced degradation of the preprotein in the cytosol. PMID: 11768581
- ornithine transcarbamylase (OTC) deficiency: review of mutations and polymorphisms in the human ornithine transcarbamylase gene PMID: 11793468
- seven novel missense mutations, two splice-site mutations, two microdeletions and a polymorphic amino acid substitution in the gene for ornithine transcarbamylase (OTC) in patients with OTC deficiency PMID: 11793483
- novel mutations in the ornithine transcarbamylase gene PMID: 12083811
- Haplotype analysis and phylogeny of polymorphisms of this protein were studied in two male populations. PMID: 12516615
- Using 2 (CA)n flanking markers of the OTC gene (DXS997 & DXS1068), the haplotypic background of 37 different mutational events was defined & compared with random control chromosomes. 1 particular haplotype is a risk factor for carrying OTC mutations. PMID: 15300856
- Mutations in the human ornithine transcarbamylase (OTC) gene is detected in patients with Hyperammonemia-induced encephalopathy due to ornithine transcarbamylase deficiency. PMID: 15692798
- Novel mutations within the OTC gene are associated with Ornithine transcarbamylase (OTC) deficiency disorder. PMID: 16786505
- Novel mutations p.Leu9X, p.Arg26Pro, p.Gly100Arg, p.Met205Thr, p.Lys221Asn, p.Asp249Gly, p.Phe281Ser, p.Val323Met, c.571delC, c.853delC, and c.796-805del are associated with OTC deficiency. PMID: 17041896
- Describe a contiguous gene syndrome involving the RPGR, OTC and TM4SF2 genes in a male patient with severe neonatal ornithine transcarbamylase deficiency. PMID: 17570074
- Data show that OCT/ALT is a potent indicator for the diagnosis and the prognosis of hepatocellular carcinoma. PMID: 17570354
- our results suggest the involvement of a new pathway in AD brains involving the urea cycle. PMID: 17893704
- In ten families with late-onset ornithine transcarbamylase (OTC) deficiency in male patients, three mutant alleles-R40H, R277W, and Y55D-were identified. PMID: 18030415
- Two known and three novel mutations of the ornithine transcarbamylase (OTC) gene are reported in five Japanese patients with OTC deficieny including two neonatal-onset, one late-onset, and two symptomatic female patients. PMID: 18204299
- The rs5963409 minor allele was weakly but significantly associated with an increased risk of developing AD. PMID: 18983895
- Deletions and gene rearrangements of OTC gene are associated with Ornithine Carbamoyltransferase Deficiency Disease. PMID: 19138872
- Hypocitrullinemia in expanded newborn screening is not a reliable marker for OTCD. PMID: 19359120
- the identification of novel disease-causing mutations in Ornithine transcarbamylase deficiency and increases the knowledge on possible mutational mechanisms generating deletions in ornithine transcaramylase. PMID: 19475717
- OTC rs5963409 polymorphism may be associated with hypertension and coronary vasomotion in males PMID: 19574962
顯示更多
收起更多
-
相關疾病:Ornithine carbamoyltransferase deficiency (OTCD)
-
亞細胞定位:Mitochondrion matrix.
-
蛋白家族:ATCase/OTCase family
-
組織特異性:Mainly expressed in liver and intestinal mucosa.
-
數據庫鏈接:
Most popular with customers
-
-
YWHAB Recombinant Monoclonal Antibody
Applications: ELISA, WB, IHC, IF, FC
Species Reactivity: Human, Mouse, Rat
-
Phospho-YAP1 (S127) Recombinant Monoclonal Antibody
Applications: ELISA, WB, IHC
Species Reactivity: Human
-
-
-
-
-















