ORAI1 Antibody
-
中文名稱:ORAI1兔多克隆抗體
-
貨號:CSB-PA280621
-
規格:¥1100
-
圖片:
-
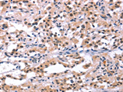
The image on the left is immunohistochemistry of paraffin-embedded Human thyroid cancer tissue using CSB-PA280621(ORAI1 Antibody) at dilution 1/25, on the right is treated with synthetic peptide. (Original magnification: ×200)
-
The image on the left is immunohistochemistry of paraffin-embedded Human brain tissue using CSB-PA280621(ORAI1 Antibody) at dilution 1/25, on the right is treated with synthetic peptide. (Original magnification: ×200)
-
-
其他:
產品詳情
-
Uniprot No.:
-
基因名:
-
別名:ORAI1; CRACM1; TMEM142A; Calcium release-activated calcium channel protein 1; Protein orai-1; Transmembrane protein 142A
-
宿主:Rabbit
-
反應種屬:Human
-
免疫原:Synthetic peptide of Human ORAI1
-
免疫原種屬:Homo sapiens (Human)
-
標記方式:Non-conjugated
-
抗體亞型:IgG
-
純化方式:Antigen affinity purification
-
濃度:It differs from different batches. Please contact us to confirm it.
-
保存緩沖液:-20°C, pH7.4 PBS, 0.05% NaN3, 40% Glycerol
-
產品提供形式:Liquid
-
應用范圍:ELISA,IHC
-
推薦稀釋比:
Application Recommended Dilution ELISA 1:1000-1:2000 IHC 1:25-1:100 -
Protocols:
-
儲存條件:Upon receipt, store at -20°C or -80°C. Avoid repeated freeze.
-
貨期:Basically, we can dispatch the products out in 1-3 working days after receiving your orders. Delivery time maybe differs from different purchasing way or location, please kindly consult your local distributors for specific delivery time.
-
用途:For Research Use Only. Not for use in diagnostic or therapeutic procedures.
相關產品
靶點詳情
-
功能:Ca(2+) release-activated Ca(2+) (CRAC) channel subunit which mediates Ca(2+) influx following depletion of intracellular Ca(2+) stores and channel activation by the Ca(2+) sensor, STIM1. CRAC channels are the main pathway for Ca(2+) influx in T-cells and promote the immune response to pathogens by activating the transcription factor NFAT. Plays a prominent role in Ca(2+) influx at the basolateral membrane of mammary epithelial cells independently of the Ca(2+) content of endoplasmic reticulum or Golgi stores. May mediate transepithelial transport of large quantities of Ca(2+) for milk secretion.
-
基因功能參考文獻:
- this study demonstrates that ORAI1 gene SNPs rs12320939 and rs3741596 are associated with the risk of chronic spontaneous urticaria PMID: 27864023
- Pore helix rotation by stromal interaction molecule 1 (STIM1) indicates the dynamic coupling between CRAC channel Orai1 gating and ion selectivity. PMID: 28220789
- discovered that it was not the N termini, but the loop2 regions connecting TM2 and TM3 of Orai1 and Orai3 that featured distinct properties, which explained the different, isoform-specific behavior of Orai N-truncation mutants. PMID: 29237733
- the conserved portion of the Orai N terminus is essential for STIM1, as it fine-tunes the open Orai channel gating, thereby establishing authentic CRAC channel activity. PMID: 29237734
- The constitutive activation of Orai1 in Stormorken syndrome mainly involves the CRAC-activating domain CAD/SOAR of STIM1, the exposure of which is regulated by the molecular interplay between three cytosolic STIM1 coiled-coil (CC) domains. PMID: 29483506
- Study proposes that BPIFA1 (SPLUNC1) is the epithelium-derived smooth muscle relaxing factor and it functions by internalizing Orai1. BPIFA1 deficiency in asthmatic airways promotes Orai1 hyperactivity, increased airway smooth muscle contraction and airway hyperresponsiveness. PMID: 28165446
- Each STIM1 protein monomer within the dimer interacts independently with single Orai1 subunits to mediate cross-linking between Orai1 channels. PMID: 29581306
- Results show that ORAI1 binding to STIM1 requires Y361 phosphorylation of STIM1 by PYK2. PMID: 28218251
- These data suggest that zinc may inhibit cell proliferation of esophageal cancer cells through Orai1-mediated intracellular Ca(2+) oscillations and reveal a possible molecular basis for zinc-induced cancer prevention and Orai1-SOCE signaling pathway in cancer cells. PMID: 28928244
- Hypoxia-induced upregulation of Orai1 drives colon cancer invasiveness and angiogenesis PMID: 29753044
- Subsequent studies showed that, like the CRAC channels, the ARC channels were also formed byOrai proteins but, whilst Orai1 formed the CRAC channel, the ARCchannel was a heteromeric assembly of Orai1 and Orai3 proteins PMID: 27847114
- the declined Orai1 expression, at least partly, contributes to the downregulated Ca(2+) entry during lymphocyte excitation, providing an important mechanism for T lymphocyte malfunction in diabetes. PMID: 29654766
- An Orai1 C-terminal STIM1-binding site, situated far from the N-terminal pore helix, alone provides the trigger that is necessary and sufficient for channel gating. PMID: 27929067
- Orai1 silencing also reduced cell viability, caused cell apoptosis and cell cycle arrest in Multiple myeloma cell lines. PMID: 30114708
- Studied the conformation and functional physiology of human calcium release-activated calcium modulator 1 (Orai1) in calcium channel gating. PMID: 29760086
- Study shows that STIM1 and ORAI1 promotes membrane ruffling by showing that phospho-STIM1 localizes at the leading edge of cells, and that both phospho-STIM1 and ORAI1 co-localize with cortactin. PMID: 28341841
- These results demonstrate that spontaneous and self-peptide major histocompatibility complex-dependent activation of Orai1 ensures random walk behavior in T cells to optimize immune surveillance. PMID: 29239723
- Store-operated calcium entry (SOCE), a unique plasma membrane Ca(2+) entry mechanism, is activated when ER-[Ca(2+)] is decreased. SOCE is mediated via the primary channel, Orai1, as well as others such as TRPC1. PMID: 29594865
- Orai1 and miR-93 significantly impact on the progression of TGF-beta1-mediated EMT and fibrogenesis in HK2 cells PMID: 29551286
- In patients with ORAI1 and STIM1 loss of function mutations, effector functions were preserved in polymorphonuclear neutrophils. PMID: 26670474
- A cluster of Orai1 mutations was identified. The cancer- and myopathy-related mutations trigger Ca(2+) permeation associated with gene transcription and provide a gating mechanism for Orai1. PMID: 29184031
- the functional coupling between SPCA1 and Orai1 increases cytosolic and intraluminal Ca(2+) levels, representing a novel mechanism of store-independent Ca(2+) entry that may be affected in Hailey-Hailey disease. PMID: 29555205
- results revealed a novel role of Orai1 as an inducer of aggression and angiogenesis under hypoxic conditions, and this suggests a novel mechanism of hypoxia-induced invasion. PMID: 29307746
- These results demonstrate a novel mechanistic model for ROS-mediated inhibition of Orai1 and identify a candidate residue for pharmaceutical intervention. PMID: 27624281
- Results show that Orai1 is activated through its binding to STIM1. the complex ORAI1-STIM1 regulates cholesterol. PMID: 27459950
- calmodulin (CaM) associates with the core region of STIM1 in a Ca2+-dependent manner. Consequently, calcium-bound CaM disrupts the STIM1-Orai1 complex and disassembles STIM1 oligomers, thereby inducing deactivation of the store-operated calcium entry. PMID: 29051492
- Here, we summarize the recent discoveries on the structure-function relationship of Orai1, as well as its interaction with the native channel opener STIM1 and chemical modulator 2-aminoethoxydiphenyl borate . PMID: 27753099
- Orai3 is associated with poor prognosis of lung adenocarcinoma, predicting metastasis and reduced survival. PMID: 27835593
- These results not only highlight the complex effect of cholesterol regulation on SOCE, but also indicate a direct regulatory effect on Orai1 localization and compartmentalization by this lipid. PMID: 28919480
- Data show that the G98S and V107M mutations generate constitutively permeable ORAI1 channels, whereas T184M alters the channel permeability only in the presence of STIM1. PMID: 28058752
- Data indicate that the inhibition of the Store Operated Calcium Entry (SOCE)-dependent colon cancer cell migration through SK3/TRPC1/Orai1 channel complex by the alkyl-lipid Ohmline may be a strategy to modulate Anti-EGFR mAb action in metastatic colorectal cancer (mCRC). PMID: 27102434
- Study identifies Orai1 as a novel molecular determinant for oral/oropharyngeal squamous cell carcinoma progression by enhancing cancer stemness. PMID: 27259269
- Healthy individuals and patients with urolithiasis in the Russian population who have the GG genotype and/or the G allele of the polymorphism of the ORAI1 gene (rs7135617) represent risk groups for the formation of calcium oxalate stones. PMID: 28845932
- Orai1 expression is a predictor of 5-Fluorouracil sensitivity for hepatocarcinoma treatment. PMID: 27878958
- Store-operated calcium entry via Orai1 in mesangial cells negatively regulates the TGF-beta1/Smad3 signaling pathway. PMID: 28637791
- F. vulgare fruits extract and its hexane fraction strongly blocked ORAI1 currents and tyrosinase activity and significantly inhibited UV-induced melanogenesis PMID: 27712859
- Aptamer Y1 binds to Orai1 and inhibits Ca2+ influx into antigen-activated mast cells PMID: 27390850
- Elevated Orai1 and STIM1 expressions upregulate MACC1 expression to promote tumor cell proliferation, metabolism, migration, and invasion in human gastric cancer. PMID: 27431311
- Orai1 expression was higher in colorectal cancer (CRC) tissues than adjacent non-cancerous tissues; increased expression of Orai1 was observed in invasive CRC cell lines and ectopic expression of Orai1 enhanced cell proliferation and inhibited apoptosis; the Akt/GSK3beta pathway contributed to Orai1 effects in CRC cells, and Orai1 was a direct target of miR-519 PMID: 26792278
- CRAC channel functions as a hexamer of Orai1 subunits PMID: 27806271
- A novel heterozygous c.290C>G (p.S97C) mutation in ORAI1 causing a mild- and late-onset tubular aggregate myopathy and congenital miosis via constitutive activation of the CRAC channel. PMID: 27882542
- The focus is on the activation of the STIM proteins, the subsequent coupling of STIM1 to Orai1, and the consequent structural rearrangements that gate the Orai channels into the open state to allow Ca(2+)permeation into the cell. [review] PMID: 26825122
- results argue strongly against a tetrameric configuration for Orai1 channels and indicate that the Orai1 channel functions as a hexamer. PMID: 27780862
- APP does not modulate Orai-dependent store-operated calcium entry following quantitative calcium store depletion. PMID: 27526994
- Orai1 regulates osteogenic differentiation through BMP signaling, and the Orai1-BMP signaling may be a possible therapeutic target for treating bone-related diseases. PMID: 27086849
- Orai1-mediated Ca(2+)-influx and SPCA2-mediated Ca(2+) uptake activity into the Golgi/secretory pathway might be coupled possibly in a microdomain. This channel/pump complex may efficiently transfer Ca(2+) into the secretory pathway, which might play a role in SPCA2-expressing secretory cells, such as mammary gland during lactation. PMID: 27692665
- This study may lay the foundation for finding novel lead compounds for clinical trials that could positively modulate the course of autoimmune disorders with ORAI1 as its specific target. PMID: 26895524
- Mutations in the STIM1 and ORAI1 genes cause calcium dyshomeostasis in tubular aggregate myopathy. (Review) PMID: 27879676
- Results revealed that Orai1-mediated store-operated Ca(2+) entry is critical for gastrointestinal stromal tumor cell proliferation via c-KIT and ERK signaling pathway activation. PMID: 28231736
- SARAF overexpression attenuated store operated Ca2+ entry and the STIM1-Orai1 interaction in cells endogenously expressing STIM1 and Orai1 while RNAi-mediated SARAF silencing induced opposite effects. PMID: 27068144
顯示更多
收起更多
-
相關疾病:Immunodeficiency 9 (IMD9); Myopathy, tubular aggregate, 2 (TAM2)
-
亞細胞定位:Cell membrane; Multi-pass membrane protein. Basolateral cell membrane; Multi-pass membrane protein.
-
蛋白家族:Orai family
-
組織特異性:Expressed in naive CD4 and CD8 T cells (at protein level). Expressed at similar levels in naive and effector T helper cells.
-
數據庫鏈接:
Most popular with customers
-
-
YWHAB Recombinant Monoclonal Antibody
Applications: ELISA, WB, IHC, IF, FC
Species Reactivity: Human, Mouse, Rat
-
Phospho-YAP1 (S127) Recombinant Monoclonal Antibody
Applications: ELISA, WB, IHC
Species Reactivity: Human
-
-
-
-
-















