OPN3 Antibody
-
中文名稱:OPN3兔多克隆抗體
-
貨號:CSB-PA872435LA01HU
-
規格:¥440
-
圖片:
-
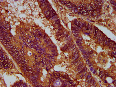
IHC image of CSB-PA872435LA01HU diluted at 1:300 and staining in paraffin-embedded human colon cancer performed on a Leica BondTM system. After dewaxing and hydration, antigen retrieval was mediated by high pressure in a citrate buffer (pH 6.0). Section was blocked with 10% normal goat serum 30min at RT. Then primary antibody (1% BSA) was incubated at 4°C overnight. The primary is detected by a biotinylated secondary antibody and visualized using an HRP conjugated SP system.
-
Immunofluorescence staining of A549 cells with CSB-PA872435LA01HU at 1:100, counter-stained with DAPI. The cells were fixed in 4% formaldehyde, permeabilized using 0.2% Triton X-100 and blocked in 10% normal Goat Serum. The cells were then incubated with the antibody overnight at 4°C. The secondary antibody was Alexa Fluor 488-congugated AffiniPure Goat Anti-Rabbit IgG(H+L).
-
-
其他:
產品詳情
-
產品名稱:Rabbit anti-Homo sapiens (Human) OPN3 Polyclonal antibody
-
Uniprot No.:
-
基因名:
-
別名:OPN3; ECPN; Opsin-3; Encephalopsin; Panopsin
-
宿主:Rabbit
-
反應種屬:Human
-
免疫原:Recombinant Human Opsin-3 protein (313-402AA)
-
免疫原種屬:Homo sapiens (Human)
-
標記方式:Non-conjugated
本頁面中的產品,OPN3 Antibody (CSB-PA872435LA01HU),的標記方式是Non-conjugated。對于OPN3 Antibody,我們還提供其他標記。見下表:
-
克隆類型:Polyclonal
-
抗體亞型:IgG
-
純化方式:>95%, Protein G purified
-
濃度:It differs from different batches. Please contact us to confirm it.
-
保存緩沖液:Preservative: 0.03% Proclin 300
Constituents: 50% Glycerol, 0.01M PBS, pH 7.4 -
產品提供形式:Liquid
-
應用范圍:ELISA, IHC, IF
-
推薦稀釋比:
Application Recommended Dilution IHC 1:200-1:500 IF 1:50-1:200 -
Protocols:
-
儲存條件:Upon receipt, store at -20°C or -80°C. Avoid repeated freeze.
-
貨期:Basically, we can dispatch the products out in 1-3 working days after receiving your orders. Delivery time maybe differs from different purchasing way or location, please kindly consult your local distributors for specific delivery time.
-
用途:For Research Use Only. Not for use in diagnostic or therapeutic procedures.
相關產品
靶點詳情
-
功能:G-protein coupled receptor which selectively activates G proteins via ultraviolet A (UVA) light-mediated activation in the skin. Binds both 11-cis retinal and all-trans retinal. Regulates melanogenesis in melanocytes via inhibition of alpha-MSH-induced MC1R-mediated cAMP signaling, modulation of calcium flux, regulation of CAMK2 phosphorylation, and subsequently phosphorylation of CREB, p38, ERK and MITF in response to blue light. Plays a role in melanocyte survival through regulation of intracellular calcium levels and subsequent BCL2/RAF1 signaling. Additionally regulates apoptosis via cytochrome c release and subsequent activation of the caspase cascade. Required for TYR and DCT blue light-induced complex formation in melanocytes. Involved in keratinocyte differentiation in response to blue-light. Required for the UVA-mediated induction of calcium and mitogen-activated protein kinase signaling resulting in the expression of MMP1, MMP2, MMP3, MMP9 and TIMP1 in dermal fibroblasts. Plays a role in light-mediated glucose uptake, mitochondrial respiration and fatty acid metabolism in brown adipocyte tissues. May be involved in photorelaxation of airway smooth muscle cells, via blue-light dependent GPCR signaling pathways.
-
基因功能參考文獻:
- Decreased OPN3 levels in Bel7402(5-FU) cells activated the anti-apoptotic pathway through increasing phospho-Akt and the Bcl2/Bax ratio, while overexpression of OPN3 inactivated this pathway. PMID: 22313545
- Assignment of panopsin (OPN3) to human chromosome band 1q43 PMID: 12063405
- Human OPN3 gene consists of six exons and expresses various splice variants. PMID: 12242008
- Polymorphisms in the OPN3 and CHML genes are associated with asthma and atopic asthma. PMID: 18344558
- Related persons with heterozygous germline deletions of 1q42.3, which includes EXO1, RGS7, KMO, CHML, and OPN3, showed no phenotypic abnormalities other than multiple leiomyomatosis. PMID: 14623461
顯示更多
收起更多
-
亞細胞定位:Cell membrane; Multi-pass membrane protein. Cytoplasm.
-
蛋白家族:G-protein coupled receptor 1 family, Opsin subfamily
-
組織特異性:Expressed in tracheal airway smooth muscle (at protein level). Expressed throughout the epidermis and dermis, predominantly in the basal layer on the facial and abdominal skin (at protein level). Expressed in dermal fibroblasts (at protein level). Express
-
數據庫鏈接:
Most popular with customers
-
YWHAB Recombinant Monoclonal Antibody
Applications: ELISA, WB, IHC, IF, FC
Species Reactivity: Human, Mouse, Rat
-
Phospho-YAP1 (S127) Recombinant Monoclonal Antibody
Applications: ELISA, WB, IHC
Species Reactivity: Human
-
-
-
-
-
-
VDAC1 Recombinant Monoclonal Antibody
Applications: ELISA, WB, IHC
Species Reactivity: Human, Mouse, Rat















