OAS1 Antibody
-
中文名稱:OAS1兔多克隆抗體
-
貨號:CSB-PA640913LA01HU
-
規格:¥440
-
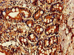
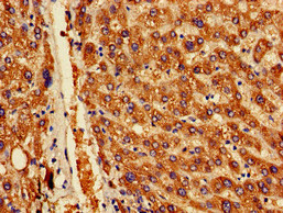
圖片:
-
其他:
產品詳情
-
產品名稱:Rabbit anti-Homo sapiens (Human) OAS1 Polyclonal antibody
-
Uniprot No.:
-
基因名:
-
別名:(2 5')oligo(A) synthetase 1 antibody; (2-5'')oligo(A) synthase 1 antibody; 2 5 Oligoadenylate Synthetase 1 antibody; 2 5' oligo A synthase 1 antibody; 2 5' oligo A synthetase 1 antibody; 2 5A synthase 1 antibody; 2 5A synthetase 1 antibody; 2' 5' oligo A synthetase 1 antibody; 2' 5' oligoadenylate synthetase 1 40/46kDa antibody; 2' 5' oligoadenylate synthetase 1 antibody; 2' 5' oligoisoadenylate synthetase 1 antibody; 2''-5''-oligoadenylate synthase 1 antibody; 2'5' oligo A synthetase 1 antibody; 2'5' oligoadenylate synthetase 1 antibody; 2'5' oligoisoadenylate synthetase 1 antibody; 2-5A synthase 1 antibody; E18/E16 antibody; IFI 4 antibody; IFI4 antibody; OAS 1 antibody; OAS1 antibody; OAS1_HUMAN antibody; OIAS antibody; OIASI antibody; p46/p42 OAS antibody
-
宿主:Rabbit
-
反應種屬:Human
-
免疫原:Recombinant Human 2'-5'-oligoadenylate synthase 1 protein (296-395AA)
-
免疫原種屬:Homo sapiens (Human)
-
標記方式:Non-conjugated
本頁面中的產品,OAS1 Antibody (CSB-PA640913LA01HU),的標記方式是Non-conjugated。對于OAS1 Antibody,我們還提供其他標記。見下表:
-
克隆類型:Polyclonal
-
抗體亞型:IgG
-
純化方式:>95%, Protein G purified
-
濃度:It differs from different batches. Please contact us to confirm it.
-
保存緩沖液:Preservative: 0.03% Proclin 300
Constituents: 50% Glycerol, 0.01M PBS, pH 7.4 -
產品提供形式:Liquid
-
應用范圍:ELISA, IHC
-
推薦稀釋比:
Application Recommended Dilution IHC 1:20-1:200 -
Protocols:
-
儲存條件:Upon receipt, store at -20°C or -80°C. Avoid repeated freeze.
-
貨期:Basically, we can dispatch the products out in 1-3 working days after receiving your orders. Delivery time maybe differs from different purchasing way or location, please kindly consult your local distributors for specific delivery time.
-
用途:For Research Use Only. Not for use in diagnostic or therapeutic procedures.
相關產品
靶點詳情
-
功能:Interferon-induced, dsRNA-activated antiviral enzyme which plays a critical role in cellular innate antiviral response. In addition, it may also play a role in other cellular processes such as apoptosis, cell growth, differentiation and gene regulation. Synthesizes higher oligomers of 2'-5'-oligoadenylates (2-5A) from ATP which then bind to the inactive monomeric form of ribonuclease L (RNase L) leading to its dimerization and subsequent activation. Activation of RNase L leads to degradation of cellular as well as viral RNA, resulting in the inhibition of protein synthesis, thus terminating viral replication. Can mediate the antiviral effect via the classical RNase L-dependent pathway or an alternative antiviral pathway independent of RNase L. The secreted form displays antiviral effect against vesicular stomatitis virus (VSV), herpes simplex virus type 2 (HSV-2), and encephalomyocarditis virus (EMCV) and stimulates the alternative antiviral pathway independent of RNase L.
-
基因功能參考文獻:
- two additional de novo heterozygous missense variations of OAS1 in two unrelated simplex individuals also manifesting infantile-onset Pulmonary alveolar proteinosis with hypogammaglobulinemia. PMID: 29455859
- OAS1 rs2057778) genotype was significantly related to severe necroinflammatory activity (NIA) grade of chronic hepatitis C patients. PMID: 28704535
- Our results establish OAS1 as a risk locus for Sjogren's syndrome and support a potential role for defective viral clearance due to altered IFN response as a genetic pathophysiological basis of this complex autoimmune disease PMID: 28640813
- we characterized the functional consequences of the Neandertal haplotype in the transcriptional regulation of OAS genes at baseline and infected conditions. We found that cells from people with the Neandertal-like haplotype express lower levels of OAS3 upon infection, as well as distinct isoforms of OAS1 and OAS2 PMID: 27899133
- In insulitic islets from living patients with recent-onset T1D, most of the overexpressed ISGs, including GBP1, TLR3, OAS1, EIF2AK2, HLA-E, IFI6, and STAT1, showed higher expression in the islet core compared with the peri-islet area containing the surrounding immune cells PMID: 27422384
- ELF-1 binds an important duplicated GGAA cis-acting element at the OAS1 promoter and in cooperation with RB1 and SP1 recruitment contributes to regulation in response to IFN stimulation. PMID: 26643049
- Knockdown of OAS1 rescues Lipopolysaccharide-induced cell death and thus may be a promising therapeutic strategy for orthopedic diseases. PMID: 26516113
- The multivariate analysis showed that the OAS1 GA and AA genotypes were independent factors associated with liver fibrosis progression (p = 0.009, odds ratio [OR] 3.467, 95% confidence interval [CI] 1.273-7.584). PMID: 26505957
- Preliminary study suggests that OAS gene cluster and CD209 gene polymorphisms influence the risk of developing clinical symptoms in Chikungunya virus-infected patients. PMID: 26398832
- While both OAS1-p42 and p46 showed antiviral activity against Dengue irus 2, only OAS1-p42 presented anti-Dengue irus 1 activity. PMID: 26063222
- No association is identified between OAS1 SNP and susceptibility to spontaneous preterm birth (SPTB) and preterm premature rupture of membranes (PPROM). PMID: 26412166
- along with TLR3, functions as a virus recognition receptor on mast cells activating the latent form of RNase L, leading to viral RNA degradation PMID: 25550087
- our research shows that the OAS1 rs10774671 SNP is associated with CA16 susceptibility and is correlated with mild and severe HFMD. PMID: 25059424
- The IFNs inhibit viral infections in part through the 2',5'-oligoadenylate (2-5A) synthetase (OAS)/RNase L pathway. PMID: 24905202
- The findings represent discovery of a novel signature for OAS1 activation, the 3'-single-stranded pyrimidine (3'-ssPy) motif, with potential functional implications for OAS1 activity in its antiviral and other anti-proliferative roles. PMID: 25477390
- The OAS1 p46 isoform localizes to the mitochondria. PMID: 25205466
- These results identify OAS1 single nucleotide polymorphism rs2660, rs10774671, and rs3741981 as genetic risk factors for chronic hepatitis C. PMID: 22710942
- Findings provide insights into the potential role of OAS1 polymorphisms in respiratory infection. PMID: 23220500
- The results suggest that OAS1-OAS3-OAS2 haplotypes are associated with differential susceptibility to clinical outcomes of dengue infection. PMID: 23337612
- Data show that oligoadenylate synthetase 1 (hOAS1) undergoes more than 20,000-fold activation upon double-stranded RNA (dsRNA) binding. PMID: 23319625
- among the members of the OAS family, OAS1 p46 and OAS3 p100 mediate the RNase L-dependent antiviral activity against HCV PMID: 23196181
- Data show that transfection of ORMDL3 in bronchial epithelial cells induced expression of MMP-9, ADAM-8, CCL-20, IL-8, CXCL-10, CXCL-11, oligoadenylate synthetases (OAS) genes, and selectively activated activating transcription factor 6 (ATF6). PMID: 23011799
- Taken together, these data suggest a plausible strategy whereby the adenovirus produces a single RNA transcript capable of inhibiting a variety of members of the innate immune response, including OAS1. PMID: 22709583
- The OAS1 SNP rs2660 AA genotype was associated significantly with prostate cancer, whereas the GG genotype protected against prostate cancer. PMID: 21638280
- A single SNP in OAS1 (OR 9.79, p = 0.003) was associated with increased risk for West Nile encephalitis and paralysis (WNE/P). PMID: 21935451
- Polymorphisms in OAS1 is associated with multiple sclerosis. PMID: 21735172
- The pronounced difference in gene regulation between the OAS1 gene agrees with a functional difference between these genes, which must exist as a consequence of the lack of the 2-5A synthetase activity of the OASL protein. PMID: 19203244
- Show a significant association between the functional SNP at exon 7 SAS of OAS1 gene and the viral response to interferon in chronic hepatitis c patients. PMID: 21182542
- The authors report that expression of human herpesvirus 5 ORF94 protein leads to decreased 2',5'-oligoadenylate synthetase (OAS) expression in transfected cells with and without interferon stimulation. PMID: 21450824
- A functional OAS1 single nucleotide polymorphism, AA genotype, confers susceptibility to MS and the GG genotype may protect against increased disease activity. PMID: 20679634
- association between gene haplotypes and rubella virus-specific cytokine secretion in children immunized with rubella vaccine PMID: 20079393
- 2'-5' oligoadenylate synthetase 1 gene polymorphism in associated with hepatitis B susceptibility. PMID: 17963609
- The expression levels of both MX1 and OAS1 in systemic lupus erythematosus patients are up-regulated, and he expression levels of OAS1 genes are associated with SLE disease activity. PMID: 19462904
- OAS1 data suggest that there may be a weak association with type I diabetes for two OAS1 polymorphisms, rs3741981 and rs10774671, in populations of European descent. PMID: 19956105
- role in interferon-gamma inhibition of respiratory syncytial virus infection of human epithelial cells PMID: 11980899
- identification of the substrate-binding sites PMID: 11986302
- sequence motifs in OAS1 regulate polyadenylation PMID: 12082089
- Polymorphisms in the OSA1 gene is associated with outcome of hepatitis C virus infection PMID: 12944978
- This genetic polymorphism makes OAS1 an excellent candidate for a human gene that influences host susceptibility to viral infection. PMID: 15732009
- polymorphisms of two interferon-inducible genes OAS-1 and myxovirus resistance-A might affect susceptibility to the disease and progression of severe acute respiratory syndrome at each level PMID: 15766558
- OAS1 single nucleotide polymorphisms were significantly increased in diabetic compared with healthy siblings. PMID: 15855350
- Naturally mutated residues Lys404, Pro500 and Ser471 of E17 isozyme of 2',5'-oligoadenylate synthetase from a transgenic mouse serve an essential function in maintaining the enzyme activity of the protein. PMID: 15865429
- single nucleotide polymorphisms (SNPs) identified in OAS exons in hospitalized patients with West Nile Virus infection PMID: 16235172
- No evidence of association with either type 1 diabetic affcted or unaffected siblings in terms of relative risk. PMID: 16644715
- Polymorphisms within the OAS1 gene are associated with susceptibility to severe acute respiratory syndrome. PMID: 16824203
- findings indicate that the OAS1 gene polymorphisms may confer susceptibility to multiple sclerosis or serve as markers of functional variants and suggest that OAS1 activity is involved in the etiology of the disease PMID: 17092260
- Data identifies OAS1 single nucleotide polymorphism rs10774671 as a host genetic risk factor for initial infection with West Nile Virus in humans. PMID: 19247438
- The SNP of OAS-1 at the exon 3 of its coding sequence was associated with progression of disease in Japanese patients with HCV infection. PMID: 19515215
- Data show that the hepatitis C virus core protein specifically and effectively activates the 2'-5'oligoadenylate synthetase gene promoter. PMID: 19575500
- mechanism of 2'-5'-oligoadenylate synthetase activation by double stranded RNA was studied. PMID: 19665006
顯示更多
收起更多
-
亞細胞定位:Cytoplasm. Mitochondrion. Nucleus. Microsome. Endoplasmic reticulum. Secreted.
-
蛋白家族:2-5A synthase family
-
數據庫鏈接:
Most popular with customers
-
-
YWHAB Recombinant Monoclonal Antibody
Applications: ELISA, WB, IHC, IF, FC
Species Reactivity: Human, Mouse, Rat
-
Phospho-YAP1 (S127) Recombinant Monoclonal Antibody
Applications: ELISA, WB, IHC
Species Reactivity: Human
-
-
-
-
-















