NR4A2 Antibody
-
中文名稱:NR4A2兔多克隆抗體
-
貨號:CSB-PA449475
-
規格:¥1100
-
圖片:
-
The image on the left is immunohistochemistry of paraffin-embedded Human gastic cancer tissue using CSB-PA449475(NR4A2 Antibody) at dilution 1/20, on the right is treated with fusion protein. (Original magnification: ×200)
-
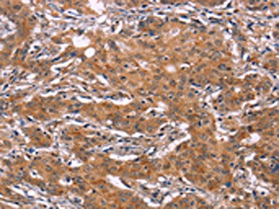
The image on the left is immunohistochemistry of paraffin-embedded Human liver cancer tissue using CSB-PA449475(NR4A2 Antibody) at dilution 1/20, on the right is treated with fusion protein. (Original magnification: ×200)
-
-
其他:
產品詳情
-
Uniprot No.:
-
基因名:NR4A2
-
別名:HZF 3 antibody; HZF3 antibody; Immediate-early response protein NOT antibody; Intermediate early receptor protein antibody; NGFI B/nur77 beta type transcription factor homolog antibody; NOT antibody; Nr4a2 antibody; NR4A2_HUMAN antibody; nuclear receptor of T cells antibody; nuclear receptor related 1 antibody; Nuclear receptor subfamily 4 group A member 2 antibody; Nur related protein 1 homolog antibody; nur related protein-1; human homolog of antibody; Nurr 1 antibody; Orphan nuclear receptor NR4A2 antibody; Orphan nuclear receptor NURR1 antibody; RNR 1 antibody; RNR1 antibody; T cell nuclear receptor NOT antibody; T-cell nuclear receptor NOT antibody; TINUR antibody; Transcriptionally inducible nuclear receptor antibody; Transcriptionally inducible nuclear receptor related antibody; Transcriptionally inducible nuclear receptor related 1 antibody; Transcriptionally-inducible nuclear receptor antibody
-
宿主:Rabbit
-
反應種屬:Human,Mouse,Rat
-
免疫原:Fusion protein of Human NR4A2
-
免疫原種屬:Homo sapiens (Human)
-
標記方式:Non-conjugated
-
抗體亞型:IgG
-
純化方式:Antigen affinity purification
-
濃度:It differs from different batches. Please contact us to confirm it.
-
保存緩沖液:-20°C, pH7.4 PBS, 0.05% NaN3, 40% Glycerol
-
產品提供形式:Liquid
-
應用范圍:ELISA,IHC
-
推薦稀釋比:
Application Recommended Dilution ELISA 1:2000-1:5000 IHC 1:50-1:200 -
Protocols:
-
儲存條件:Upon receipt, store at -20°C or -80°C. Avoid repeated freeze.
-
貨期:Basically, we can dispatch the products out in 1-3 working days after receiving your orders. Delivery time maybe differs from different purchasing way or location, please kindly consult your local distributors for specific delivery time.
-
用途:For Research Use Only. Not for use in diagnostic or therapeutic procedures.
相關產品
靶點詳情
-
功能:Transcriptional regulator which is important for the differentiation and maintenance of meso-diencephalic dopaminergic (mdDA) neurons during development. It is crucial for expression of a set of genes such as SLC6A3, SLC18A2, TH and DRD2 which are essential for development of mdDA neurons.
-
基因功能參考文獻:
- PARP1 inhibitor also suppressed the aldosterone secretion in response to the angiotensin II. Together, these results suggest PARP1 is a prime coregulator for Nurr1. PMID: 29738496
- Data expand the understanding of the mechanism by which the NR4A2 nuclear receptor can facilitate DNA DSB repair. PMID: 28607006
- An association was identified in a Mexican population between genotype and mRNA expression levels of NR4A2 in patients with Parkinson's disease. PMID: 28716280
- miR-34 was identified as a direct negative regulator of NR4A2. A novel regulatory network linking p53, miR-34, and NR4A2 was revealed, in which p53 can overcome its inhibition by endogenous NR4A2 through upregulating miR-34. PMID: 27121375
- Nurr1 was induced during intestinal regeneration after I/R injury. Nurr1 promoted proliferation of intestinal epithelial cells after H/R injury. Nurr1 inhibited p21 expression in a p53-independent manner. Nurr1 inhibited p21 gene transcription by binding to p21 promoter directly. PMID: 27553040
- Our findings of a de novo deletion of NR4A2 in an individual with mild intellectual disability and prominent speech and language impairment provides further evidence for NR4A2 haploinsufficiency being causative for neurodevelopmental and particularly language phenotypes PMID: 28544326
- NR4A sub-family of nuclear orphan receptors (Nor-1, Nurr-1 and Nur-77) may have a role in trophoblastic cell differentiation. PMID: 28808448
- this study shows over-expression of NR4A2 mRNA in peripheral CD4+ T cells of Sjogren's syndrome patients PMID: 28621822
- NR4A2 and NR4A3 are components of a downstream transcriptional response to PKA activation in the neutrophil, and that they positively regulate neutrophil survival and homeostasis. PMID: 28637666
- Study found a marked down-regulated gene expression of the NR4A subfamily (NR4A1, NR4A2, and NR4A3) obtained from Parkinson's disease patients, but only a NR4A1 decrease in Alzheimer's disease patients compared to healthy controls. This study reports that the entire NR4A subfamily and not only NR4A2 could be systemically involved in Parkinson's disease. PMID: 27159982
- show that unsaturated fatty acids also interact with the Nurr1 LBD, and solution NMR spectroscopy reveals the binding epitope of DHA at its putative ligand-binding pocket PMID: 27128111
- NURR1 is an essential transcription factor for the differentiation, maturation, and maintenance of midbrain dopaminergic neurons. PMID: 26678495
- Nurr1 overexpression exerts neuroprotective and anti-inflammatory roles via down-regulating CCL2 in both in vivo and in vitro Parkinson's disease models, contributing to developing mechanism-based and neuroprotective strategies against PD PMID: 27940361
- In the PPI network, genes may be involved in Down syndrome (DS) by interacting with others, including nuclear receptor subfamily 4 group A member 2 (NR4A2)early growth response (EGR)2 and NR4A2EGR3. Therefore, RUNX1, NR4A2, EGR2, EGR3 and ID4 may be key genes associated with the pathogenesis of DS. PMID: 27667480
- Our results suggest that NLK inhibits transcriptional activation of Nurr1 gene by impeding CBP's role as a co-activator of NF-kappaB and CREB in prostate cancer. PMID: 27036119
- decreased expression levels of Nurr1 were associated with chronic inflammation and insulin resistance in patients with T2D. PMID: 26239742
- The immunohistochemical, qRT-PCR and western blot analyses revealed that Nurr1 expression was increased in gastric cancer tissues compared with normal gastric tissue. PMID: 26022133
- NR4A2 is a key factor in multiple diseases, such as inflammation, cancer and cardiovascular diseases. PMID: 25917081
- A2M is expressed in the vasculature and NR4A receptors modulate VSMC MMP2/9 activity by several mechanisms including the up-regulation of A2M. PMID: 25809189
- In this review, a concise overview of the current understanding of the important metabolic roles governed by NR4A members NR4A1, NR4A2 and NR4A3 including their participation in a number of diseases shall be provided PMID: 25089663
- Data show that some rexinoids display selective coactivator (CoA) recruitment by the retinoid X receptors (RXRs) homodimer and by the heterodimers nuclear receptor Nur77/RXR and Nurr1/RXR. PMID: 26148973
- Thus our data identify a previously unknown role for Nr4a2 in the regulation of macrophage polarization. PMID: 25953901
- The results failed to reveal significant link between NR4A2 polymorphism and schizophrenia risk. [META-ANALYSIS] PMID: 25982322
- Because the phosphorylation site mutants of NR4A2 cannot rescue the cell death-promoting activity, ASK1-p38 pathway-dependent phosphorylation and subsequent cytoplasmic translocation of NR4A2 may be required for oxidative stress-induced cell death. PMID: 25752609
- gestational diabetes mellitus, but not pre-existing maternal obesity, associated with increased placental expression PMID: 25199433
- NURR1 upregulation by tissue-type plasminogen activator during ischemic stroke is associated with endothelial dysfunction and inflammation. PMID: 25503547
- High cytoplasmic expression of NR4A2 is a potential unfavorable prognostic factor for patients with nasopharyngeal carcinoma. PMID: 23803035
- The AngII-NGFIB/NURR1 pathway controls HSD3B1 expression. PMID: 25092869
- our data demonstrate that key midbrain dopamine regulators (Nurr1, Pitx3, and Lmx1a) play overlapping as well as distinct roles during neurogenesis and neurotransmitter phenotype determination of mDA neurons PMID: 24172139
- The current review describes the role of two such factors, Nurr1 and engrailed, in differentiation, maturation, and in normal physiological functions including acquisition of neurotransmitter identity. PMID: 24685177
- Data indicate that expression of Nurr1 was significantly induced by 1,1-bis(3'-indolyl)-1-(p-chlorophenyl methane) (DIM-D). PMID: 23950896
- A novel role for the NR4A2 nuclear receptors as direct facilitators of nucleotide excision repair. PMID: 24223135
- The results of this study suggest a protective and anti-inflammatory role of NR4A2 and TNFAIP3, both being under-regulated in monocytes and CD4 + T cells of MS patients PMID: 24852325
- NR4A2 is regulated by gastrin and influences cellular responses of gastric adenocarcinoma cells. PMID: 24086717
- High NR4A2 expression in gastric cancer cells confers chemoresistance, attenuates 5-fluorouracil-induced apoptosis, and predicts an unfavorable survival, especially for those who received chemotherapy. PMID: 23821160
- Bioinformatic and deletion studies identified a 5' region of the TSP-1 promoter repressed by NR4A2 and proangiogenic transcription factors, including NF-kappaB and Ets1/2. PMID: 23933487
- Nurr1 overexpression significantly increased the SIRT1 occupancy of the consensus elements for Nurr1 binding hTH promoter region. PMID: 23977047
- NR4A nuclear receptors are involved in negative selection of thymocytes, Treg differentiation and the development of Ly6C monocytes. Nur77 and Nurr1 attenuate atherosclerosis in mice whereas NOR-1 aggravates vascular lesion formation. PMID: 24005216
- High nurr1 is associated with progression of prostate cancer PMID: 23679312
- in human melanoma HMV-II cells both CRF and Ucn1 regulate TRP1 gene expression via Nurr-1/Nur77 production, independent of pro-opiomelanocortin or alpha-melanocyte-stimulating hormone stimulation. PMID: 23416839
- High expression of NR4A2 in CRC cells confers chemo-resistance, attenuates chemotherapeutics-induced apoptosis, and predicts unfavorable prognosis of colon cancer patients. PMID: 23809767
- Recessive genotypes of rs1150143, rs1150144, rs834830, and rs707132 were associated with a worse sustained attention task performance in schizophrenic males, but not females. Males with the GGGTG haplotype had poorer performance. PMID: 22294735
- NURR1 function presents a dichotomy in breast cancer etiology, in which NURR1 expression is associated with normal breast epithelial differentiation and efficacy of systemic cancer therapy. PMID: 23517088
- PIASgamma fully represses Nurr1 transactivation through a direct interaction, independently of its E3-ligase activity PMID: 23358114
- Collectively, our results suggest that NR4A2 may be a susceptibility gene for Parkinson's disease in the Chinese population PMID: 22827504
- Nurr1 shuttling between the cytosol and nucleus is controlled by specific nuclear import and export signals PMID: 23283970
- Nur-related receptor 1 gene polymorphisms are implicated in alcohol dependence in Mexican Americans PMID: 23066323
- Data show altered adipose tissue expression of the NURR1 stress-responsive nuclear receptor in obesity, suggesting it may modulate pathogenic potential in humans. PMID: 22143616
- Pin1 enhances the transcriptional activity of all three NR4A nuclear receptors and increases protein stability of Nur77 through inhibition of its ubiquitination. PMID: 22789442
- analysis of Nurr1 gene expression in electrically-stimulated human MSCs and the induction of neurogenesis PMID: 22800541
顯示更多
收起更多
-
亞細胞定位:Cytoplasm. Nucleus. Note=Mostly nuclear; oxidative stress promotes cytoplasmic localization.
-
蛋白家族:Nuclear hormone receptor family, NR4 subfamily
-
組織特異性:Expressed in a number of cell lines of T-cell, B-cell and fibroblast origin. Strong expression in brain tissue.
-
數據庫鏈接:
Most popular with customers
-
YWHAB Recombinant Monoclonal Antibody
Applications: ELISA, WB, IHC, IF, FC
Species Reactivity: Human, Mouse, Rat
-
Phospho-YAP1 (S127) Recombinant Monoclonal Antibody
Applications: ELISA, WB, IHC
Species Reactivity: Human
-
-
-
-
-
-















