NOS2 Antibody
-
中文名稱:NOS2兔多克隆抗體
-
貨號:CSB-PA545107
-
規格:¥1100
-
圖片:
-
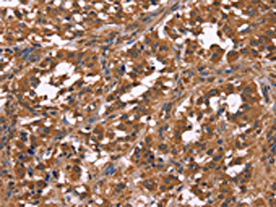
The image on the left is immunohistochemistry of paraffin-embedded Human gastic cancer tissue using CSB-PA545107(NOS2 Antibody) at dilution 1/40, on the right is treated with fusion protein. (Original magnification: ×200)
-
The image on the left is immunohistochemistry of paraffin-embedded Human liver cancer tissue using CSB-PA545107(NOS2 Antibody) at dilution 1/40, on the right is treated with fusion protein. (Original magnification: ×200)
-
-
其他:
產品詳情
-
Uniprot No.:
-
基因名:
-
別名:HEP-NOS antibody; Hepatocyte NOS antibody; HEPNOS antibody; inducible antibody; Inducible nitric oxide synthase antibody; Inducible NO synthase antibody; Inducible NOS antibody; iNOS antibody; MAC NOS antibody; Macrophage NOS antibody; Nitric oxide synthase 2 inducible antibody; Nitric oxide synthase 2 inducible macrophage antibody; nitric oxide synthase 2A (inducible, hepatocytes) antibody; Nitric oxide synthase antibody; Nitric oxide synthase inducible antibody; nitric oxide synthase, macrophage antibody; NOS 2 antibody; NOS antibody; Nos II antibody; NOS type II antibody; nos2 antibody; NOS2_HUMAN antibody; NOS2A antibody; NOS2A, Inducible, Hepatocyte antibody; Peptidyl-cysteine S-nitrosylase NOS2 antibody
-
宿主:Rabbit
-
反應種屬:Human
-
免疫原:Fusion protein of Human NOS2
-
免疫原種屬:Homo sapiens (Human)
-
標記方式:Non-conjugated
-
抗體亞型:IgG
-
純化方式:Antigen affinity purification
-
濃度:It differs from different batches. Please contact us to confirm it.
-
保存緩沖液:-20°C, pH7.4 PBS, 0.05% NaN3, 40% Glycerol
-
產品提供形式:Liquid
-
應用范圍:ELISA,IHC
-
推薦稀釋比:
Application Recommended Dilution ELISA 1:2000-1:10000 IHC 1:100-1:300 -
Protocols:
-
儲存條件:Upon receipt, store at -20°C or -80°C. Avoid repeated freeze.
-
貨期:Basically, we can dispatch the products out in 1-3 working days after receiving your orders. Delivery time maybe differs from different purchasing way or location, please kindly consult your local distributors for specific delivery time.
-
用途:For Research Use Only. Not for use in diagnostic or therapeutic procedures.
相關產品
靶點詳情
-
功能:Produces nitric oxide (NO) which is a messenger molecule with diverse functions throughout the body. In macrophages, NO mediates tumoricidal and bactericidal actions. Also has nitrosylase activity and mediates cysteine S-nitrosylation of cytoplasmic target proteins such PTGS2/COX2. As component of the iNOS-S100A8/9 transnitrosylase complex involved in the selective inflammatory stimulus-dependent S-nitrosylation of GAPDH on 'Cys-247' implicated in regulation of the GAIT complex activity and probably multiple targets including ANXA5, EZR, MSN and VIM. Involved in inflammation, enhances the synthesis of proinflammatory mediators such as IL6 and IL8.
-
基因功能參考文獻:
- These findings link iNOS to Notch1 signaling in CD24(+)CD133(+) LCSCs through the activation of TACE/ADAM17. PMID: 30297396
- the present findings were the first to show that KLF5 expression and nitration by iNOS-mediated peroxynitrite are necessary for the induction of TNF-alpha and IL-1beta expression in VSMCs of diabetic vascular tissues. PMID: 28711598
- iNOS microsatellite polymorphism may contribute to the genetic background of atrial fibrillation in Chinese-Taiwanese patients. PMID: 28205526
- High expression of iNOS and STAT3 in cells transfected with miR-34a mimic further validated it. PMID: 30021364
- ur findings endorse polymorphic regulation of iNOS expression, altered oxidant-antioxidant components and evidences of risk association as the hallmark of malaria pathogenesis. iNOS/NO may serve as potential diagnostic marker in assessing clinical malaria. PMID: 29268202
- NOS2A_ (CCTTT)n gene variations may influence inflammatory bowel disease susceptibility in the Moroccan population. PMID: 29307990
- The results indicated that the expression levels of interleukin6 and inducible nitric oxide synthase (iNOS) were decreased, whereas collagen expression and deposition were increased in ketaminetreated SMCs. Conversely, treatment with CTX restored the expression of iNOS, which may prevent or limit oxidative damage PMID: 29207018
- The present study demonstrated that iNOS C150T polymorphism did not show significant association with metabolic syndrome. PMID: 29637536
- KLF4 activated the transcription activity of iNOS promoter in MH7A cells stimulated by TNF-alpha. This study indicates that KLF4 is important for regulating the expression of iNOS by TNF-alpha in human synoviocytes. PMID: 28744810
- Coexpression of NOS2 and COX2 accelerates tumor growth and reduces survival in estrogen receptor-negative breast cancer. PMID: 29087320
- NOS2 T allele of rs2297514 significantly increased the risk of a non-union during the fracture healing process by 38% compared to the C allele. Further stratification analyses conducted for this SNP using data from subgroups classified by different sites of fracture indicated that significance could only be observed in the tibial diaphysis subgroup. PMID: 29518099
- NOS2 polymorphisms in prediction of benefit from first-line chemotherapy in metastatic colorectal cancer patients PMID: 29522543
- PEDF protects human glomerular mesangial cells from diabetes-derived oxidative stress via NOXO1- iNOS suppression. PMID: 28944893
- The studies established a potential link between leptin and adipocyte insulin responsiveness in an NOS2 dependent manner. PMID: 28739528
- Collectively, our results demonstrated sanggenon C induced apoptosis of colon cancer cells by increased reactive oxygen species generation and decreased nitric oxide production, which is associated with inhibition of inducible nitric oxide synthase expression(iNOS) and activation of mitochondrial apoptosis pathway. PMID: 28849234
- Data show that infecting unencapsulated E. faecalis cps2 is a stronger stimulator for toll like receptor 2 (TLR2) and interleukin-1beta (IL-1beta) mRNAs, but not for inducible nitric oxide synthase (iNOS) mRNA. PMID: 28800779
- Results show that NOS2A CpG(+5099) was associated with increased FeNO and that the magnitude of association between black carbon exposure and demethylation of NOS2A CpG(+5099) measured 5 days later appeared to be greater among seroatopic children, especially those sensitized to cockroach allergens. PMID: 28588744
- Results support that iNOS polymorphisms not only are associated with Henoch-Schonlein purpura (HSP) risk but also strongly contribute to the genetic basis of individual differences in the progression of HSP to nephritis among Chinese Han children. PMID: 28593405
- This study investigates whether the -1026(A>C)(rs2779249) and +2087(A>G)(2297518) polymorphisms in the NOS2 gene are associated with chronic periodontitis (CP). The analysis demonstrated, after correction for multiple comparisons, that only the female gender was significantly associated with CP. PMID: 28617311
- The study summarizes and discuss NOS2 expression in tumor-associated leukocytes and elucidate nitric oxide signaling during tumor initiation, tumor progression. [review] PMID: 27397579
- Studies show that majority of patients with gastrointestinal cancer have elevated expression of NOS2. Furthermore, NOS/NO levels are often associated with increased metastasis, leading to poor patient prognosis. The association of elevated NOS2 expression with cancers arising due to bacterial, viral, and fungal infections suggests an important relationship of tumor immune response and chronic inflammation. [review] PMID: 27494631
- Results show that overexpression of iNOS is associated with aggressive phenotype and poor survival outcome in ovarian cancer patients, and indicates that iNOS/NO play a dual role of in tumor glycolysis and progression PMID: 28380434
- Positive rates of iNOS in cervical tissues were 72.1%, 28.2%, and 3.1% in the -HPV-positive patients with cervical cancer (CC group), HR-HPV group, and controls, respectively (P < 0.05). Levels of TLR3, TLR4, TLR7, TLR8, NF-kappaB p65, and iNOS in cervical epithelial cells were higher in CC group than in other groups. PMID: 28626766
- Studies show that NOS2 is highly expressed in ovarian and prostate tumors and provide evidence for its role in the development of aggressive ovarian cancer and progression of prostate cancer. [review] PMID: 28326819
- Studies elucidate the nitric oxide-driven pathways which implicate NOS2 as a key driver of breast cancer disease progression. [review] PMID: 27464521
- Although haplotype analysis revealed that no NOS2 haplotype was associated with leprosy susceptibility/resistance with statistical significance, GTG haplotype was noted to be more frequent in healthy controls. PMID: 28315742
- The results shed light on the potential relevance of NOS2 as a prognostic factor for glioma malignancy and recurrence. PMID: 28424427
- These data revealed that human endogenous retrovirus W env might contribute to increase nitric oxide production and microglial migration ability in neuropsychological disorders by regulating the expression of inducible nitric oxide synthase. PMID: 28656540
- Since RP11-19P22.6-001 acts in cis to regulate nitric oxide synthase 2 (NOS2), we also analyzed NOS2 expression and its correlation with gastric cancer. The combined use of lncRNAs and their target genes may be a promising method to increase the diagnostic value of lncRNAs in cancer. PMID: 28128738
- expression elevated in preeclampsia placentas PMID: 27030287
- Inducible nitric oxide synthase is able to regulate many cytokines in mast cells involved in the development of irritable bowel syndrome. PMID: 26940641
- Role of a conserved tyrosine residue in the FMN-Heme interdomain electron transfer in inducible nitric oxide synthase. PMID: 27633182
- expression highly associated with hallmarks of psoriasis such as hypogranulosis and neutrophils, but negatively associated with eosinophils and spongiosis which are characteristics of eczema PMID: 27193975
- Bone marrow mesenchymal stromal cells induce the rapid differentiation of CD11b+ myeloid cells from bone marrow progenitors, and such an activity requires the expression of nitric oxide synthase-2. PMID: 28183849
- Studied iNOS(inducible nitric oxide synthase) activation thru mPGES-1 (microsomal prostaglandin E synthase-1) signaling driven by EGFR (EGF receptor) in cancer progression models. PMID: 28257996
- Higher expression of inducible nitric oxide synthase (NOS2) is associated with poor survival in patients with pancreatic ductal adenocarcinoma (PDAC). PMID: 27367029
- The Oncogenic Properties Of The Redox Inflammatory Protein Inducible Nitric Oxide Synthase In ER(-) Breast Cancer. PMID: 28162269
- Exploration into the mechanisms of the cGMP-mediated protection identified a role for the iNOS/NO/cGMP pathway in the activation of ADAM17 (TACE), which is a sheddase that cleaves a number of cell surface receptors including TNF receptor type 1 (TNFR1). PMID: 28162283
- results suggest that NOS2 polymorphisms may influence the risk of aggressive prostate cancer and that these polymorphisms could have an impact on disease pathogenesis, possibly by affecting intracellular nitric oxide levels. PMID: 28162285
- no significant difference in frequency of NOS2-1659C/T polymorphism was observed between patients and controls. None of the studied SNPs were associated with erosive disease, seropositivity or extra-articular manifestations. The -277A/G and -1026 G/T promoter polymorphisms in iNOS may confer susceptibility to rheumatoid arthritis (RA). in South Indian Tamils. PMID: 28374504
- This is the first reported evidence for NO-enhanced bystander aggressiveness in the context of PDT. In the clinical setting, such effects could be averted through pharmacologic use of iNOS inhibitors as non-ionizing photodynamic therapy adjuvants PMID: 27884704
- This increase was inhibited in the presence of the nonspecific iNOS inhibitor aminoguanidine (AG). PMID: 27247425
- our study shows that the expression of iNOS is increased in both central airways and the alveolar parenchyma, but not in BAL cells, in uncontrolled asthmatics as compared to controlled asthmatics and healthy controls. PMID: 27647044
- We found that lowering the glucose concentration increased expression of genes coding for inducible nitric oxide syntheas, NOS2 and NOS2A resulting in enhanced production of nitric oxide PMID: 28157664
- Downregulation of inducible NO synthetase (iNOS) resulted in downregulation of heme oxygenase 1 (HO-1), and, conversely, upregulation of iNOS enhanced HO-1 activity. PMID: 27752990
- expression in synovial subintima was significantly higher in early than in advanced osteoarthritis PMID: 27958655
- ATM-reactive oxygen species-iNOS axis regulates nitric oxide mediated cellular senescence. PMID: 27845209
- The risk of developing chronic pancreatitis is not increased by the presence of the iNOS-2087A>G polymorphism. PMID: 28125406
- NOS2 rs2779248, NOS2 rs1137933, and NOS3 rs3918188 genetic polymorphisms are potentially related to the susceptibility to type 2 diabetes mellitus (T2DM), and the rs1800783 polymorphism might be considered as genetic risk factors for diabetic nephropathy. PMID: 27192959
- Patients with Marfan syndrome showed elevated NOS2 and decreased ADAMTS1 protein levels in the aorta. PMID: 28067899
顯示更多
收起更多
-
亞細胞定位:Cytoplasm, cytosol.
-
蛋白家族:NOS family
-
組織特異性:Expressed in the liver, retina, bone cells and airway epithelial cells of the lung. Not expressed in the platelets.
-
數據庫鏈接:
Most popular with customers
-
-
YWHAB Recombinant Monoclonal Antibody
Applications: ELISA, WB, IHC, IF, FC
Species Reactivity: Human, Mouse, Rat
-
Phospho-YAP1 (S127) Recombinant Monoclonal Antibody
Applications: ELISA, WB, IHC
Species Reactivity: Human
-
-
-
-
-















