NCR2 Antibody
-
中文名稱:NCR2兔多克隆抗體
-
貨號:CSB-PA551201
-
規格:¥1100
-
圖片:
-
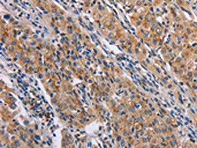
The image on the left is immunohistochemistry of paraffin-embedded Human liver cancer tissue using CSB-PA551201(NCR2 Antibody) at dilution 1/60, on the right is treated with synthetic peptide. (Original magnification: ×200)
-
The image on the left is immunohistochemistry of paraffin-embedded Human lung cancer tissue using CSB-PA551201(NCR2 Antibody) at dilution 1/60, on the right is treated with synthetic peptide. (Original magnification: ×200)
-
-
其他:
產品詳情
-
Uniprot No.:
-
基因名:
-
別名:NCR2; LY95; Natural cytotoxicity triggering receptor 2; Lymphocyte antigen 95 homolog; NK cell-activating receptor; Natural killer cell p44-related protein; NK-p44; NKp44; CD antigen CD336
-
宿主:Rabbit
-
反應種屬:Human
-
免疫原:Synthetic peptide of Human NCR2
-
免疫原種屬:Homo sapiens (Human)
-
標記方式:Non-conjugated
-
抗體亞型:IgG
-
純化方式:Antigen affinity purification
-
濃度:It differs from different batches. Please contact us to confirm it.
-
保存緩沖液:-20°C, pH7.4 PBS, 0.05% NaN3, 40% Glycerol
-
產品提供形式:Liquid
-
應用范圍:ELISA,IHC
-
推薦稀釋比:
Application Recommended Dilution ELISA 1:1000-1:5000 IHC 1:50-1:200 -
Protocols:
-
儲存條件:Upon receipt, store at -20°C or -80°C. Avoid repeated freeze.
-
貨期:Basically, we can dispatch the products out in 1-3 working days after receiving your orders. Delivery time maybe differs from different purchasing way or location, please kindly consult your local distributors for specific delivery time.
-
用途:For Research Use Only. Not for use in diagnostic or therapeutic procedures.
相關產品
靶點詳情
-
功能:Cytotoxicity-activating receptor that may contribute to the increased efficiency of activated natural killer (NK) cells to mediate tumor cell lysis.
-
基因功能參考文獻:
- Study identified a novel ligand for NKp44 on astrocytes. Expression of this novel ligand decreased with increasing HIV-3S peptide concentration and blocking this novel ligand decreased NK cell killing. NK cell killing of astrocytes was decreased when astrocytes were incubated with HIV-3S peptide. NKp44 has a protective effect on astrocytes from NK cell mediated killing during HIV infection and impact astrocyte's role. PMID: 29447242
- NKp44 and NKp30 splice variants profiles are tissue/condition specific and demonstrate similarity between placenta and cancerous tissues. PMID: 27765926
- NKp44-1 expression was significantly associated with poor survival of AML patients. Moreover, activation of PBMC from healthy controls showed co-dominant expression of NKp44-1 and NKp44-3, while primary NK clones show more diverse NKp44 splice variant profiles. PMID: 27102296
- On CD56(+) CD3(-) cells, NKp44 and NKp46 expressions were high in the acute hepatitis E patients, whereas NKp30, NKp44, NKp46 and NKG2D were high in the recovered individuals. PMID: 24824867
- demonstrated that the mitogen and iK562 exposure to peripheral blood mononuclear cells can significantly improve NK activity which is co-related to the higher expression of NKp44 and NKG2D PMID: 24154937
- NCR(+) ILC3 from skin and blood of psoriasis patients produced IL-22, which is regarded as a key driver of epidermal thickening, suggesting that NCR(+) ILC3 may participate in psoriasis pathology. PMID: 24658504
- Balance between activating NKG2D, DNAM-1, NKp44 and NKp46 and inhibitory CD94/NKG2A receptors determine natural killer degranulation towards rheumatoid arthritis synovial fibroblasts. PMID: 24673109
- NKp44+ ILC3 are expressed in human skin and blood and may have a role in psoriasis pathogenesis PMID: 24352038
- Expression of NKp44 ligand by normal articular chondrocytes is not involved in their killing by unstimulated NK cells; however, it is responsible for anti-chondrocyte cytotoxicity mediated by long-term activated NK cells. PMID: 24044960
- MLL5 is a cellular ligand for the natural cytotoxicity receptor NKp44. PMID: 23958951
- Natural killer cells in HIV controller patients express an activated effector phenotype and do not up-regulate NKp44 on IL-2 stimulation. PMID: 23818644
- Novel interaction between proliferating cell nuclear antigen and HLA I on the surface of tumor cells inhibits NK cell function through NKp44. PMID: 23527218
- triggering in RORgammat-positive innate lymphoid cells selectively activates a proinflammatory program PMID: 23791642
- While interaction of TLR2 with mycobacterial cell wall promotes activation of resting NK cells and IFN-gamma production, NKp44 interaction with its putative ligands could play a secondary role in maintaining cell activation PMID: 23578092
- Natural cytotoxicity receptors play a major role in the recognition by NK cells of cancer stem cells targets. PMID: 23345327
- These data show that the Kaposi's sarcoma-associated herpesvirus ORF54 product downregulates the NKp44 ligand and that the NKp44-NKp44 ligand signaling pathway contributes to antiviral immunity. PMID: 22674989
- a precise analysis of clinical data showed a correlation between decreased NCR expression and poor prognosis factors such as low haemoglobin level, high (>30x10(9) per litre) lymphocyte count or elevated C-reactive protein PMID: 22044312
- We demonstrate that PCNA promotes cancer survival by immune evasion through inhibition of NKp44-mediated NK cell attack. PMID: 22021614
- Data show that pDCs isolated from peripheral blood of systemic lupus erithematosus (SLE) patients express lower levels of LAIR-1 while displaying slight but consistent expression of NKp44. PMID: 21151495
- The balance of NKp44(+)/NKp46(+) NK cells is disrupted in intestinal mucosa of patients with Crohn's disease. PMID: 20638936
- crystallization and preliminary crystallographic characterization of the extracellular Ig-like domain of human natural killer cell activating receptor PMID: 12351833
- The human TREM gene cluster at 6p21.1 encodes both activating and inhibitory single IgV domain receptors and includes NKp44. PMID: 12645956
- homology of the gene on chromosome 6, close to MHC class I loci to the most common bacterium in postdiarrheal Reiter's syndrome may be significan PMID: 12653925
- Selective cross-talk among natural cytotoxicity receptors (NKp46, NKp30 and NKp44) in human natural killer cells. PMID: 12731048
- The 2.2 A crystal structure of NKp44 presented here shows that the NKp44 Ig domain forms a saddle-shaped dimer, where a charged surface groove protrudes from the core structure in each subunit. PMID: 12791260
- All activating properties and surface expression of NKp44 are mediated through its association with DNAX-activation protein 12 (DAP12) in NK cells, and the cytoplasmic inhibitory domain of NKp44 does not appear to attenuate activating function. PMID: 14707061
- NKG2D, NKp30, NKp44, and NKp46 acitvation affected by ligand-negative phenotype in bone marrow-derived progenitor cells, acquisition of cell-surface ligands during myeloid differentiation, defective expression of ligands on malignant transformation PMID: 15657183
- NKp44 is not only a triggering molecule essential for antitumor activity but is also a surface receptor involved in natural killer cell suicide. PMID: 15728472
- NKp44 is present on a subset of natural interferon-producing cells (IPCs) in tonsils. Crosslinking of NKp44 does not trigger IPC-mediated cytotoxicity but, paradoxically, inhibits IFN-alpha production by IPCs in response to CpG oligonucleotides. PMID: 15941912
- Freshly isolated natural killer (NK) cells are NKp44 negative; lysis of porcine endothelial cells mediated by activated human NK cells depends on both NKp44 and NKG2D PMID: 16210654
- Characterization of the recognition of tumor cells by NKP44 is reported. PMID: 17536787
- Determined expressions of NKp44 in decidual natural killer cells in patients having spontaneous abortions. PMID: 18023431
- Recombinant NKp44 recognizes H5-expressing cells and specifically interacts with soluble H5 hemagglutinin. PMID: 18077718
- Expression of NKp30 and NKp44 ligands was variable and did not correlate with the origin of the cell line. Expression of NKp30 and NKp44 ligand correlated with NKp30 and NKp44-mediated NK cell lysis of tumor cells, respectively PMID: 18092004
- Natural killer (NK)-activating receptor NKp44 is involved in virally mediated NK activation through direct interaction with the flavivirus envelope protein. PMID: 19635919
顯示更多
收起更多
-
亞細胞定位:Cell membrane; Single-pass type I membrane protein.
-
蛋白家族:Natural cytotoxicity receptor (NCR) family
-
組織特異性:Selectively expressed by activated NK cells and by in vitro cultured (i.e. activated) TCRg/d lymphoid cells.
-
數據庫鏈接:
Most popular with customers
-
-
YWHAB Recombinant Monoclonal Antibody
Applications: ELISA, WB, IHC, IF, FC
Species Reactivity: Human, Mouse, Rat
-
Phospho-YAP1 (S127) Recombinant Monoclonal Antibody
Applications: ELISA, WB, IHC
Species Reactivity: Human
-
-
-
-
-















