NCOA4 Antibody
-
中文名稱:NCOA4兔多克隆抗體
-
貨號:CSB-PA015542ESR1HU
-
規格:¥440
-
圖片:
-
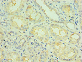
Immunohistochemistry of paraffin-embedded human kidney tissue using CSB-PA015542ESR1HU at dilution of 1:100
-
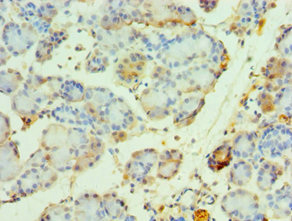
Immunohistochemistry of paraffin-embedded human pancreatic tissue using CSB-PA015542ESR1HU at dilution of 1:100
-
Immunofluorescent analysis of MCF-7 cells using CSB-PA015542ESR1HU at dilution of 1:100 and Alexa Fluor 488-congugated AffiniPure Goat Anti-Rabbit IgG(H+L)
-
-
其他:
產品詳情
-
產品名稱:Rabbit anti-Homo sapiens (Human) NCOA4 Polyclonal antibody
-
Uniprot No.:
-
基因名:
-
別名:70 kDa androgen receptor activator antibody; 70 kDa androgen receptor coactivator antibody; 70 kDa AR activator antibody; 70 kDa AR-activator antibody; Androgen receptor coactivator 70 kD antibody; Androgen receptor coactivator 70 kDa protein antibody; Androgen receptor-associated protein of 70 kDa antibody; ARA 70 antibody; ARA70 antibody; DKFZp762E1112 antibody; ELE 1 antibody; ELE1 antibody; ELE1/ret TK antibody; NCOA 4 antibody; NCoA-4 antibody; NCOA4 antibody; NCOA4_HUMAN antibody; Nuclear receptor coactivator 4 antibody; Papillary thyroid carcinoma 3 antibody; PTC 3 antibody; PTC3 antibody; RET activating gene ELE1 antibody; Ret activating protein ELE1 antibody; Ret-activating protein ELE1 antibody; RFG antibody
-
宿主:Rabbit
-
反應種屬:Human
-
免疫原:Recombinant Human Nuclear receptor coactivator 4 protein (1-280AA)
-
免疫原種屬:Homo sapiens (Human)
-
標記方式:Non-conjugated
-
克隆類型:Polyclonal
-
抗體亞型:IgG
-
純化方式:Antigen Affinity Purified
-
濃度:It differs from different batches. Please contact us to confirm it.
-
保存緩沖液:PBS with 0.02% sodium azide, 50% glycerol, pH7.3.
-
產品提供形式:Liquid
-
應用范圍:ELISA, IHC, IF
-
推薦稀釋比:
Application Recommended Dilution IHC 1:20-1:200 IF 1:50-1:200 -
Protocols:
-
儲存條件:Upon receipt, store at -20°C or -80°C. Avoid repeated freeze.
-
貨期:Basically, we can dispatch the products out in 1-3 working days after receiving your orders. Delivery time maybe differs from different purchasing way or location, please kindly consult your local distributors for specific delivery time.
-
用途:For Research Use Only. Not for use in diagnostic or therapeutic procedures.
相關產品
靶點詳情
-
功能:Enhances the androgen receptor transcriptional activity in prostate cancer cells. Ligand-independent coactivator of the peroxisome proliferator-activated receptor (PPAR) gamma.
-
基因功能參考文獻:
- Thyroid hormone receptor beta and NCOA4 regulate terminal erythrocyte differentiation. PMID: 28864529
- The H-ferritin could bind up to 24 NCOA4(383-522) fragments forming highly stable and insoluble complexes. The binding was partially inhibited only by Fe(II) among the various divalent metal ions analyzed. The iron-dependent, highly-specific formation of the remarkably stable H-ferritin-NCOA4 complex shown in this work may be important for the characterization of the mechanism of ferritinophagy. PMID: 28754384
- the ATG5-ATG7-NCOA4 autophagic pathway has a role in ferroptosis PMID: 27245739
- Ubiquitin-dependent NCOA4 turnover is promoted by excess iron and involves an iron-dependent interaction between NCOA4 and the HERC2 ubiquitin ligase. PMID: 26436293
- Studies indicate nuclear receptor coactivator 4 (NcoA4) as a coactivator for a variety of nuclear receptors. PMID: 22562579
- provide a new mechanism for selective autophagy of ferritin and reveal a previously unappreciated role for autophagy and NCOA4 in the control of iron homeostasis in vivo PMID: 25327288
- RET/PTC3 gene rearrangements are the most prevalent form of rearrangements in papillary thyroid carcinomas of Chennai population. PMID: 24957039
- NCOA4 acts as a regulator of DNA replication origins that helps prevent inappropriate DNA synthesis and replication stress. PMID: 24910095
- identification of NCOA4 as a selective cargo receptor for autophagic turnover of ferritin (ferritinophagy), which is critical for iron homeostasis, and provides a resource for further dissection of autophagosomal cargo-receptor connectivity PMID: 24695223
- mechanism dissection shows that KLK2 may cooperate with the AR coregulator, ARA70, to enhance AR transactivation that may result in alteration of prostate cancer formation PMID: 24122203
- Data indicate that the increase in prostate cancer (PC) risk associated with rs10993994:C>T is likely mediated by the variant's effect of MSMB-encoded protein PSP94 expression; however, this effect does not extend to NCOA4 in the data. PMID: 22887727
- Computational network analysis reveals that the MSMB gene is functionally connected to NCOA4 and the androgen receptor signaling pathway. The data provide an example of how GWAS-associated variants may have multiple genetic and epigenetic effects PMID: 22661295
- Suppression of MSMB expression or NCOA4 overexpression promotes anchorage-independent growth of prostate epithelial cells. PMID: 21085629
- ARA70alpha functions as a tumor suppressor gene PMID: 20167864
- Screening for BRAF, RET, KRAS, NRAS, and HRAS mutations, as well as RET-PTC1 and RET-PTC3 rearrangements, was performed on cases of Hashimoto thyroiditis with a dominant nodule PMID: 20012784
- Potent mitogenicity of the RET/PTC3 oncogene correlates with its prevalence in tall-cell variant of papillary thyroid carcinoma. PMID: 11786418
- Domain interactions between coregulator ARA(70) and the androgen receptor (AR); structure activity relationship PMID: 11818501
- ARA70 has a role in enhancing the androgen receptor during testicular development PMID: 12068007
- role in reducing agonist activity of antiandrogens PMID: 12649293
- causes increases in nuclear NF-kappaB activity and secretion of MCP-1 and GM-CSF; studies implicate oncogene-induced cytokine-signaling pathways in a new mechanism linking inflammation with cancer PMID: 12881713
- ARA70 was identifed as a coactivator of PPARalpha in the prostate cancer cell line DU145. In the adrenal cell line Y1, ARA70 behaved as a repressor of PPARalpha while still able to coactivate PPARgamma. PMID: 12897377
- The refolding and one-step purification of ARA70 from inclusion bodies over-expressed in Escherichia coli is reported. PMID: 15642480
- ARA70 is a coactivator for estrogen receptor alpha (ERalpha) and may represent a functional link between ERalpha/androgen receptor (AR) modulating their cross-talk in models of estrogen signaling in MCF-7 and HeLa cells PMID: 15772083
- Together, ARA54 and ARA70 modulate vitamin D receptor transactivation, and the competition for ARA70 mediates the suppressive affect of androgen-androgen receptor on vitamin D receptor transactivation. PMID: 15805579
- a functional interaction between NcoA4 and AhR that may alter AhR activity to affect disease development and progression is demonstrated PMID: 16762319
- Expression of androgen receptor co-regulators in the testes of men with azoospermia. PMID: 17919607
- in prostate cancer cell lines, ARA70beta localized to the cytosol, whereas ARA70alpha was found in the nucleus, supporting the notion of their dissimilar functions PMID: 18091327
- ARA70 beta is a regulator of tumor cell growth and metastasis by affecting gene expression PMID: 18156210
顯示更多
收起更多
-
相關疾病:A chromosomal aberration involving NCOA4 is found in papillary thyroid carcinomas (PTCs). Inversion inv(10)(q11.2;q11.2) generates the RET/NCOA4 (PTC3) oncogene.
-
組織特異性:Widely expressed. Also detected in adipose tissues and in different cell lines. Isoform Beta is only expressed in testis.
-
數據庫鏈接:
Most popular with customers
-
-
YWHAB Recombinant Monoclonal Antibody
Applications: ELISA, WB, IHC, IF, FC
Species Reactivity: Human, Mouse, Rat
-
Phospho-YAP1 (S127) Recombinant Monoclonal Antibody
Applications: ELISA, WB, IHC
Species Reactivity: Human
-
-
-
-
-















