NCK2 Antibody
-
中文名稱:NCK2兔多克隆抗體
-
貨號:CSB-PA015531ESR1HU
-
規格:¥440
-
圖片:
-
Western blot
All lanes: NCK2 antibody at 10μg/ml
Lane 1: Mouse spleen tissue
Lane 2: Mouse brain tissue
Lane 3: Mouse kidney tissue
Secondary
Goat polyclonal to rabbit IgG at 1/10000 dilution
Predicted band size: 43 kDa
Observed band size: 43 kDa -
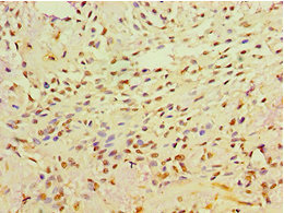
Immunohistochemistry of paraffin-embedded human breast cancer using CSB-PA015531ESR1HU at dilution of 1:100
-
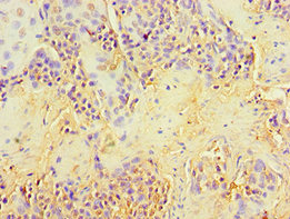
Immunohistochemistry of paraffin-embedded human tonsil tissue using CSB-PA015531ESR1HU at dilution of 1:100
-
-
其他:
產品詳情
-
產品名稱:Rabbit anti-Homo sapiens (Human) NCK2 Polyclonal antibody
-
Uniprot No.:
-
基因名:
-
別名:Cytoplasmic protein NCK2 antibody; GRB4 antibody; Growth factor receptor bound protein 4 antibody; NCK adaptor protein 2 antibody; Nck-2 antibody; NCK2 antibody; NCK2_HUMAN antibody; NCKbeta antibody; Non-catalytic region of tyrosine kinase adaptor protein 2 antibody; Noncatalytic region of tyrosine kinase beta antibody; SH2/SH3 adaptor protein NCK-beta antibody
-
宿主:Rabbit
-
反應種屬:Human, Mouse
-
免疫原:Recombinant Human Cytoplasmic protein NCK2 protein (1-380AA)
-
免疫原種屬:Homo sapiens (Human)
-
標記方式:Non-conjugated
-
克隆類型:Polyclonal
-
抗體亞型:IgG
-
純化方式:Antigen Affinity Purified
-
濃度:It differs from different batches. Please contact us to confirm it.
-
保存緩沖液:PBS with 0.02% sodium azide, 50% glycerol, pH7.3.
-
產品提供形式:Liquid
-
應用范圍:ELISA, WB, IHC
-
推薦稀釋比:
Application Recommended Dilution WB 1:500-1:2000 IHC 1:20-1:200 -
Protocols:
-
儲存條件:Upon receipt, store at -20°C or -80°C. Avoid repeated freeze.
-
貨期:Basically, we can dispatch the products out in 1-3 working days after receiving your orders. Delivery time maybe differs from different purchasing way or location, please kindly consult your local distributors for specific delivery time.
-
用途:For Research Use Only. Not for use in diagnostic or therapeutic procedures.
相關產品
靶點詳情
-
功能:Adapter protein which associates with tyrosine-phosphorylated growth factor receptors or their cellular substrates. Maintains low levels of EIF2S1 phosphorylation by promoting its dephosphorylation by PP1. Plays a role in ELK1-dependent transcriptional activation in response to activated Ras signaling.
-
基因功能參考文獻:
- This study provides evidence of a possible role of NCK2 as biomarker of ovarian cancer progression. PMID: 29218693
- There was no difference in the Nck2 mRNA expression between the SLE patients and the healthy subjects. PMID: 29911835
- Nck1 and Nck2 Interact with WTIP. Nck1/2 integrates nephrin with the Hippo kinase cascade through association with the adaptor protein WTIP. PMID: 27033705
- Data suggest that PINCH1 and Nck2 critically participate in the regulation of cellular radiosensitivity and EGFR function and downstream signaling in a cellular model of human squamous cell carcinoma. PMID: 26004008
- Tir-Intimin interaction recruits the Nck adaptor to a Tir tyrosine phosphorylated residue where it activates neural Wiskott-Aldrich syndrome protein (N-WASP). PMID: 25482634
- Proteasomal degradation of Nck1 but not Nck2 regulates RhoA activation and actin dynamics. PMID: 24287595
- NCK2 is involved in the susceptibility to opiates addiction. PMID: 23533358
- The hNck2 SH3 domain also exhibited pH dependent monomer-dimer transition. PMID: 23524290
- Data show that both HK2 and NCK2 are expressed in the retinal ganglion cell layer. PMID: 23349798
- Nck2 effectively influences human melanoma phenotype progression. PMID: 21992144
- p21-Activated kinase 3 (PAK3) protein regulates synaptic transmission through its interaction with the Nck2/Grb4 protein adaptor. PMID: 21949127
- Nck2 is an adaptor protein composed of 3N-SH3 domains followed by a unique Cterminal SH2 domain. It interacts with PINCH in integrin signal transduction, cell migratio and survival. Review. PMID: 21880263
- biophysical analysis of Nck2 SH3 domain PMID: 19956763
- Nck-2 interacts with focal adhesion kinase and modulates cell motility. Using a mutational strategy, the formation of the Nck-2-FAK complex is mediated by interactions involving multiple SH2 and SH3 domains of Nck-2. PMID: 11950595
- Recruitment of Nck by CD3 epsilon reveals a ligand-induced conformational change essential for T cell receptor signaling and synapse formation. PMID: 12110186
- analysis of binding between the Tyr-phosphorylated human ephrinB2 and Nck2 SH2 domain PMID: 15764601
- Molecular model of the first SRC homology 3 domain of Nck2. PMID: 16604428
- Nck1 (Nckalpha) and Nck2 (Nckbeta and Grb4): binding specificities of both SH2 domains are essentially indistinguishable PMID: 16636066
- determined the NMR structures and dynamic properties of the hNck2 SH3 domains and to define their ligand binding preferences with nine proline-rich peptides derived from Wire, CAP-1, CAP-2, Prk, Wrch1, Wrch2, and Nogo PMID: 16752908
- Data show that Nck (isoforms 1 and 2) as a component of the CReP/PP1c holophosphatase complex contributes to maintain eIF2alpha in a hypophosphorylated state, and modulates translation and eIF2alpha signaling in response to ER stress. PMID: 16835242
- Demonstrate connection between septins/SOCS7/NCK signaling and the DNA damage response. PMID: 17803907
- the adaptors Nck and ShcA influenced adherence of S. Typhimurium to non-phagocytic cells. PMID: 17906149
- Data show that Nck forms a complex with an atypical PxxDY motif of the CD3epsilon tail, which encompasses Tyr166 within the activation motif and a T-cell receptor endocytosis signal. PMID: 18555270
- Results point to NCK2 as a disease candidate gene and further supports the GLC1B locus as an important genomic region that is associated with the genetic predisposition to glaucoma. PMID: 18723748
- independent roles and mechanisms of action of Nckalpha and Nckbeta in dermal fibroblast migration, which is critical for wound healing. PMID: 19242519
顯示更多
收起更多
-
亞細胞定位:Cytoplasm. Endoplasmic reticulum.
-
組織特異性:Ubiquitous.
-
數據庫鏈接:
Most popular with customers
-
-
YWHAB Recombinant Monoclonal Antibody
Applications: ELISA, WB, IHC, IF, FC
Species Reactivity: Human, Mouse, Rat
-
Phospho-YAP1 (S127) Recombinant Monoclonal Antibody
Applications: ELISA, WB, IHC
Species Reactivity: Human
-
-
-
-
-















