NAPSA Antibody
-
中文名稱:NAPSA兔多克隆抗體
-
貨號:CSB-PA11529A0Rb
-
規格:¥440
-
圖片:
-
Western blot
All lanes: NAPSA antibody at 2µg/ml + Mouse kidney tissue
Secondary
Goat polyclonal to rabbit IgG at 1/10000 dilution
Predicted band size: 46 kDa
Observed band size: 46 kDa -
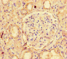
Immunohistochemistry of paraffin-embedded human kidney tissue using CSB-PA11529A0Rb at dilution of 1:100
-
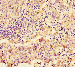
Immunohistochemistry of paraffin-embedded human lung cancer using CSB-PA11529A0Rb at dilution of 1:100
-
-
其他:
產品詳情
-
產品名稱:Rabbit anti-Homo sapiens (Human) NAPSA Polyclonal antibody
-
Uniprot No.:
-
基因名:NAPSA
-
別名:Asp 4 antibody; ASP4 antibody; Aspartyl protease 4 antibody; KAP antibody; Kdap antibody; Kidney derived aspartic protease like protein antibody; NAP1 antibody; NAPA antibody; Napsa antibody; NAPSA_HUMAN antibody; Napsin 1 antibody; napsin A aspartic peptidase antibody; Napsin A precursor antibody; Napsin-1 antibody; Napsin-A antibody; Pronapsin A antibody; SNAPA antibody; TA01/TA02 antibody
-
宿主:Rabbit
-
反應種屬:Human, Mouse
-
免疫原:Recombinant Human Napsin-A protein (64-420AA)
-
免疫原種屬:Homo sapiens (Human)
-
標記方式:Non-conjugated
本頁面中的產品,NAPSA Antibody (CSB-PA11529A0Rb),的標記方式是Non-conjugated。對于NAPSA Antibody,我們還提供其他標記。見下表:
-
克隆類型:Polyclonal
-
抗體亞型:IgG
-
純化方式:>95%, Protein G purified
-
濃度:It differs from different batches. Please contact us to confirm it.
-
保存緩沖液:Preservative: 0.03% Proclin 300
Constituents: 50% Glycerol, 0.01M PBS, PH 7.4 -
產品提供形式:Liquid
-
應用范圍:ELISA, WB, IHC
-
推薦稀釋比:
Application Recommended Dilution WB 1:1000-1:5000 IHC 1:20-1:200 -
Protocols:
-
儲存條件:Upon receipt, store at -20°C or -80°C. Avoid repeated freeze.
-
貨期:Basically, we can dispatch the products out in 1-3 working days after receiving your orders. Delivery time maybe differs from different purchasing way or location, please kindly consult your local distributors for specific delivery time.
-
用途:For Research Use Only. Not for use in diagnostic or therapeutic procedures.
相關產品
靶點詳情
-
功能:May be involved in processing of pneumocyte surfactant precursors.
-
基因功能參考文獻:
- These data indicated that napsin A expression may inhibit TGFbetalinduced EMT and was negatively associated with EMTmediated erlotinib resistance, suggesting that napsin A expression may improve the sensitivity of lung cancer cells to EGFRTKI through the inhibition of EMT. PMID: 29845258
- Although napsin A is infrequently expressed in endometrial carcinomas, positive results of napsin A immunostaining in endometrial neoplasms might support the diagnosis of clear cell carcinoma when the pathologic differential diagnosis includes other histologic subtypes PMID: 26945446
- it may be useful to combine NAPA and TTF-1 for increased sensitivity in lung cancer diagnostics. There is no substantial difference between monoclonal and polyclonal p40 and between different NAPA clones, whereas there is a difference between the TTF-1 clones 8G7G3/1 and SPT24 PMID: 26447895
- To the best of our knowledge, expression of monoclonal Napsin A in lymphomas has never been reported. ALK-DLBCL should be considered in the differential diagnosis when evaluating a Napsin A-positive tumor of poorly differentiated morphology and of unknown primary PMID: 26808134
- It is important for pathologists to be aware that breast carcinomas with apocrine features can express napsin A. PMID: 26842346
- High Napsin A expression is associated with adenocarcinoma in non-small cell lung carcinoma. PMID: 27412420
- Napsin-A, and Desmocollin-3 were sensitive and specific markers for the diagnosis of AC and SCC, respectively. Both markers allowed classification of 54/60 cases into either AC or SCC. PMID: 26710975
- napsin A is aberrantly expressed in a subset of lymphomas PMID: 26400099
- CK7, TTF-1 and napsin A are predominantly expressed in primary lung adenocarcinoma patients, with CDX-2 being inconsistently expressed. PMID: 26469326
- Combining HNF-1beta and napsin A may distinguish clear cell carcinoma from high-grade serous carcinoma, endometrioid adenocarcinoma and metastatic Krukenberg tumors. PMID: 26339401
- napsin A is another sensitive and specific marker for distinguishing ovarian clear cell tumors (especially adenocarcinomas) from other ovarian tumors PMID: 24721826
- Napsin A is expressed in a broad spectrum of renal neoplasms. PMID: 25889632
- Low expression levels of NAPSA is associated with lung adenocarcinoma. PMID: 25982999
- In diagnosis of ovarian clear cell carcinoma, Napsin A is specific but of intermediate sensitivity. PMID: 25551297
- Napsin A is frequently expressed in ovarian and endometrial clear cell carcinomas. PMID: 25971546
- Data indicate that polyclonal but not monoclonal napsin A antibody has a virtually universal nonspecific labeling in mucinous adenocarcinomas of various sites. PMID: 25521803
- These data suggest that napsin A may be a useful marker for identifying metastatic adenocarcinomas of pulmonary origin PMID: 24479710
- Our study showed that napsin A is an extremely sensitive (100%) marker of ovarian clear cell carcinomas PMID: 25389337
- Napsin A as a marker of clear cell ovarian carcinoma. PMID: 24191930
- PAX2 and napsin A have high specificity but low sensitivity and only have limited value in the differential diagnosis of mesotheliomas and renal cell carcinomas PMID: 23503645
- TTF-1 is more sensitive than napsin for detection of lung sarcomatoid carcinoma, and no cases were positive for napsin but negative for TTF-1 PMID: 24331839
- Napsin A is a sensitive and specific biomarker of the clear cell histotype in endometrial carcinomas and accordingly may have diagnostic utility in their histotyping. PMID: 24145649
- 24 cases each of pulmonary and esophageal adenocarcinoma were stained with TTF-1, napsin A, CDX2, 34betaE12, N-cadherin, and IMP3 in an attempt to find an optimal panel for differentiation. IMP3, CDX2, and N-cadherin are superior to either TTF-1 or napsin A. PMID: 23899066
- Napsin-A seems to be a useful marker in classifying primary pulmonary neoplasm as adenocarcinomas. PMID: 22914608
- A minority of anaplastic and poorly differentiated micropapillary pattern thyroid carcinomas are napsin A positive. PMID: 23681073
- Napsin B was duplicated from napsin A during the early stages of primate evolution, and the subsequent loss of napsin B function during primate evolution reflected ongoing human-specific napsin B pseudogenization PMID: 23333608
- Mucin-producing neoplasms of the lung infrequently express napsin A, suggesting that immunohistochemical assessment of napsin A may have limited diagnostic usefulness for distinguishing primary and metastatic mucinous adenocarcinomas involving the lung. PMID: 23355200
- investigation of expression of NAPSA (a potential diagnostic marker) in lungs/respiratory mucosa of subjects with pulmonary sclerosing hemangioma PMID: 23194051
- a useful immunohistochemical marker for differentiation of lung squamous cell carcinoma and adenocarcinoma from other subtypes PMID: 22495379
- absence of napsin A was an independent prognostic factor for reduced survival time in lung adenocarcinoma PMID: 22418245
- Nap-A was more specific than thyroid transcription factor 1 for primary lung adenocarcinoma versus all tumors, excluding kidney, independent of tumor type PMID: 22288963
- None of the 90 squamous cell carcinomas of the lung exhibited napsin A positivity in the neoplastic cells; however, strong napsin A reactivity was observed in hyperplastic type II pneumocytes and in intra-alveolar macrophages entrapped within the tumor. PMID: 22198009
- napsin A is a useful marker that can assist in the diagnosis of both lung adenocarcinomas and renal cell carcinomas[review] PMID: 22156835
- in combination with thyroid transcription factor-1-positive immunostaining helps in differentiating primary lung adenocarcinoma from metastatic carcinoma in the lung PMID: 21464700
- Although TTF-1 had a higher sensitivity, napsin-A was useful as a surrogate marker when encountering a poorly differentiated lung adenocarcinoma. PMID: 20830690
- Pronapsin A gene expression in normal and malignant human lung and mononuclear blood cells PMID: 12151090
- Napsin is a promising marker for the diagnosis of primary lung adenocarcinoma. PMID: 12698189
- role in the N- and C-terminal processing of pro-surfactant protein-B in type-II pneumocytes PMID: 13129928
- NAPSA suppresses tumor growth independent of its catalytic activity. PMID: 18195689
- A general defect in napsin A or cathepsin H expression or activity was not the specific cause for abnormal surfactant accumulation in juvenile pulmonary alveolar proteinosis PMID: 18216060
- The combined use of napsin A and thyroid transcription factor-1 results in improved sensitivity and specificity for identifying pulmonary adenocarcinoma in primary lung tumors and in a metastatic setting. PMID: 19740516
顯示更多
收起更多
-
亞細胞定位:Secreted.
-
蛋白家族:Peptidase A1 family
-
組織特異性:Expressed predominantly in adult lung (type II pneumocytes) and kidney and in fetal lung. Low levels in adult spleen and very low levels in peripheral blood leukocytes.
-
數據庫鏈接:
Most popular with customers
-
-
YWHAB Recombinant Monoclonal Antibody
Applications: ELISA, WB, IHC, IF, FC
Species Reactivity: Human, Mouse, Rat
-
Phospho-YAP1 (S127) Recombinant Monoclonal Antibody
Applications: ELISA, WB, IHC
Species Reactivity: Human
-
-
-
-
-















