Mmp13 Antibody
-
中文名稱:Mmp13兔多克隆抗體
-
貨號:CSB-PA17739A0Rb
-
規格:¥440
-
圖片:
-
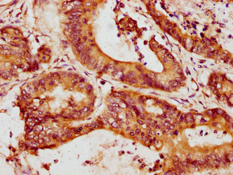
IHC image of CSB-PA17739A0Rb diluted at 1:200 and staining in paraffin-embedded human colon cancer performed on a Leica BondTM system. After dewaxing and hydration, antigen retrieval was mediated by high pressure in a citrate buffer (pH 6.0). Section was blocked with 10% normal goat serum 30min at RT. Then primary antibody (1% BSA) was incubated at 4°C overnight. The primary is detected by a biotinylated secondary antibody and visualized using an HRP conjugated SP system.
-
-
其他:
產品詳情
-
產品名稱:Rabbit anti-Mus musculus (Mouse) Mmp13 Polyclonal antibody
-
Uniprot No.:
-
基因名:
-
別名:Mmp13 antibody; Collagenase 3 antibody; EC 3.4.24.- antibody; Matrix metalloproteinase-13 antibody; MMP-13 antibody
-
宿主:Rabbit
-
反應種屬:Mouse
-
免疫原:Recombinant Mouse Collagenase 3 protein (105-472AA)
-
免疫原種屬:Mus musculus (Mouse)
-
標記方式:Non-conjugated
本頁面中的產品,Mmp13 Antibody (CSB-PA17739A0Rb),的標記方式是Non-conjugated。對于Mmp13 Antibody,我們還提供其他標記。見下表:
-
克隆類型:Polyclonal
-
抗體亞型:IgG
-
純化方式:>95%, Protein G purified
-
濃度:It differs from different batches. Please contact us to confirm it.
-
保存緩沖液:Preservative: 0.03% Proclin 300
Constituents: 50% Glycerol, 0.01M PBS, PH 7.4 -
產品提供形式:Liquid
-
應用范圍:ELISA, IHC
-
推薦稀釋比:
Application Recommended Dilution IHC 1:200-1:500 -
Protocols:
-
儲存條件:Upon receipt, store at -20°C or -80°C. Avoid repeated freeze.
-
貨期:Basically, we can dispatch the products out in 1-3 working days after receiving your orders. Delivery time maybe differs from different purchasing way or location, please kindly consult your local distributors for specific delivery time.
-
用途:For Research Use Only. Not for use in diagnostic or therapeutic procedures.
相關產品
靶點詳情
-
功能:Plays a role in the degradation of extracellular matrix proteins including fibrillar collagen, fibronectin, TNC and ACAN. Cleaves triple helical collagens, including type I, type II and type III collagen, but has the highest activity with soluble type II collagen. Can also degrade collagen type IV, type XIV and type X. May also function by activating or degrading key regulatory proteins, such as TGFB1 and CCN2. Plays a role in wound healing, tissue remodeling, cartilage degradation, bone development, bone mineralization and ossification. Required for normal embryonic bone development and ossification. Plays a role in the healing of bone fractures via endochondral ossification. Plays a role in wound healing, probably by a mechanism that involves proteolytic activation of TGFB1 and degradation of CCN2. Plays a role in keratinocyte migration during wound healing. May play a role in cell migration and in tumor cell invasion.
-
基因功能參考文獻:
- Overexpression of Dlx2 enhances early chondrocyte differentiation by increasing accumulation of Col2alpha1, type II collagen and aggrecan, but interferes later stages of chondrocyte differentiation through inhibiting MMP13 expression. PMID: 29787757
- Malignant extracellular vesicles carrying MMP1 mRNA facilitate peritoneal dissemination in ovarian cancer. PMID: 28262727
- Estrogen-related receptor gamma (ERRgamma) overexpression in chondrocytes directly upregulates matrix metalloproteinase (MMP)-3 and MMP13, which are known to play crucial roles in cartilage destruction in osteoarthritis (OA). PMID: 29247173
- MMP-2 promoted and MMP-13 disrupted vasculogenic mimicry formation in large cell lung cancer by cleaving laminin-5 to influence EGFR signal activation. PMID: 28766880
- The data demonstrate that MMP13 and CTGF play a crucial role in modulation of fibrogenic mediators while promoting hepatic fibrogenesis. PMID: 28782260
- CXCL10 has strong inhibitory effects on neovascularization, whereas MMP13 is required for neovascularization in C. albicans-infected corneas. PMID: 28623423
- that MMP-13 is a central protease in infarct development and cortical remodeling during post-stroke neurorepair PMID: 27001146
- the phenotype seen in the Hdac4(-/-) mice is partially derived from elevation in MMP-13 and may be due to a bone remodeling disorder caused by overexpression of this enzyme. PMID: 27320207
- data reveal a novel involvement of MMP-13 in regulating dendritic cell (DC) immunobiology through moderating MHC-I surface presentation, endocytosis and cytokine/chemokine secretion; furthermore, the reduced MHC-I surface presentation by DCs resulted in a poor CD8(+) T-cell response in vitro; MMP-13 might be a promising target for therapeutic intervention in inflammatory diseases PMID: 26921214
- The progressive process of articular cartilage degeneration was significantly delayed in the knee joints of Ddr2-deficient mice in comparison to their control littermates. Articular cartilage damage in the knee joints of the mice was associated with increased expression profiles of both Ddr2 and matrix metalloproteinase 13. PMID: 27640147
- Postnatal chondrocyte-specific deletion of Hdac3 with an inducible Col2a1-Cre caused premature production of pErk1/2 and Mmp13 in the growth plate. PMID: 27662443
- Mmp13 is selectively regulated of by 1,25-Dihydroxyvitamin D3, PTH, and Osterix through distal enhancers. PMID: 26348136
- Our study contributes to the understanding of the role of HIF1alpha in OA and highlights the HIF1alpha-beta-catenin interaction, thus providing new insights into the impact of hypoxia in articular cartilage. PMID: 27122313
- Matrix metalloproteinases (MMP) are effectors of hippocampal neuroplasticity in the adult central nervous system and that the MMP-1/protease-activated receptor-1 axis may play a role in neurogenesis following physiological and/or pathological stimuli. PMID: 26783471
- We reveal a novel role of AP-2epsilon in the regulation of gene expression in articular chondrocytes, as well as in osteoarthritis development, through modulation of Mmp13 expression and activity. PMID: 25964075
- B-16 melanoma cells with up-regulated MMP-13 expression promoted invasion of tumor cells through Matrigel compared with control cells transfected with empty vector. Knocked-down MMP-13 expression also decreased invading cell numbers. PMID: 25749207
- Data indicate that tamoxifen decreased collage type II COL2A1 by activating matrix metallopeptidases MMP-2/13 expression. PMID: 25703139
- This study demonstrates that stromal as well as tumor derived MMP13 contribute to tumor cell extravasation and establishment of metastases in the liver microenvironment. PMID: 25880591
- Elevated MMP13 activity may contribute to Pseudomonas aeruginosa keratitis through basement membrane degradation. PMID: 25589337
- Mmp13 gene is regulated via at least three specific distal enhancers that display independent activities yet are able to integrate response from multiple signaling pathways in a model of activation and suppression. PMID: 25773540
- SIRT1 activation inhibits PTH stimulation of Mmp13 expression, and this regulation is mediated by SIRT1 association with c-Jun at the AP-1 site of the Mmp13 promoter. PMID: 25631045
- Mmp13 is critical for Osteoarthritis progression PMID: 23298463
- the concomitant inhibition of MMP-9 and MMP-13 altered the immunogenic properties of melanoma, stimulated the lymphocytic infiltration of tumor nodules, and decreased the expression of oncomicroRNA miR-21 and miR-let-7b. PMID: 25868368
- there is a strong link between lower estrogen levels in old female mice, an elevated MMP-13 level, which results in a more effective MMP-13 inhibitor treatment in fibroblasts and SCC cells in vitro and in vivo PMID: 24676718
- MMP-13 deficiency acts to suppress the local inflammatory responses. Therefore, MMP-13 has a role in the pathogenesis of arthritis PMID: 24369907
- Knee loading reduces MMP13 activity and suppresses cartilage destruction. PMID: 24180431
- MMP-13 prevails over MMP-8 in collagen degradation in atheromata. PMID: 24723558
- Stromal matrix metalloprotease-13 knockout alters Collagen I structure at the tumor-host interface and increases lung metastasis of C57BL/6 syngeneic E0771 mammary tumor cells. PMID: 24010522
- ANKRD1, in association with factors such as nucleolin, represses MMP13 transcription. Ankrd1 deletion additionally relieved MMP10 transcriptional repression PMID: 24515436
- Relaxin and estrogen caused greater induction of MMP13 vs. MMP9 in temporomandibular joint. PMID: 24640575
- presence of MMP-13 seems to limit the overall extent of ECM deposition in lung fibrosis PMID: 24023851
- epithelial expression of MMP-1 inhibits mitochondrial function, increases HIF-1alpha expression, decreases reactive oxygen species production, and contributes to a proliferative, migratory, and anti-apoptotic AEC phenotype. PMID: 23902766
- Mmp13-dependent intestinal Tumor Necrosis Factor activation results in mucus depletion, increased intestinal inflammation, systemic inflammation and organ damage. PMID: 23723167
- MMP-13 has a primary role in myoblast migration that leads to secondary effects on differentiation, and is a new contributor to skeletal muscle regeneration. PMID: 23761625
- Noncanonical MMP-1-PAR1 signaling resulted in the opposite effect and led to a dedifferentiated phenotype via a different G protein pathway. MMP-1-PAR1 significantly stimulated hyperplasia and migration of SMCs. PMID: 23814055
- GPR64 expression in ES maintains an immature phenotype that is less sensitive to TRAIL-induced apoptosis and via its up-regulation of PGF and MMP1 orchestrates and promotes invasiveness and metastatic spread in Ewing sarcoma. PMID: 23338946
- Matrix metalloproteinase 13 (MMP13) is a direct target of osteoblast-specific transcription factor osterix (Osx) in osteoblasts. PMID: 23185634
- regulation of a11b1-dependent matrix remodeling, involving MMP-13 , might also occur in other types of fibroblasts and be an important regulatory mechanism for coordinated extracellular and intracellular collagen turnover in tissue homeostasis PMID: 23065814
- The findings of the present study reveal an important role of MMP-1 in OS primary tumor and metastasis formation to the lung, the major organ of osteosarcoma metastasis. PMID: 23195950
- microRNA miR-199a-5p down-regulation switches on wound angiogenesis by derepressing the v-ets erythroblastosis virus E26 oncogene homolog 1-matrix metalloproteinase-1 pathway PMID: 23060436
- Suture compression elevated the MMP-1 and 13 expressions, activated osteoclasts, reduced bone density, and induced bone resorption adjacent to the suture. It suggests that suture compression can be used for bone volume reduction PMID: 22819631
- These results provide evidence for an important role for MMP-13 in wound healing by coordinating cellular activities important in the growth and maturation of granulation tissue. PMID: 22880047
- Osteocyte perilacunar remodeling of mid-cortical bone matrix requires MMP-13 and is essential for the maintenance of bone quality. PMID: 22549931
- Osterix regulates calcification and degradation of chondrogenic matrices through matrix metalloproteinase 13 (MMP13) expression in association with transcription factor Runx2 during endochondral ossification PMID: 22869368
- demonstrate that beta-adrenergic receptor stimulation leads to MMP-13 transactivation of protease-activated receptor 1 in both cardiac fibroblasts and cardiomyocytes PMID: 22610965
- MMP-1, -3 and -9 genes are upregulated by West Nile virus infection in the blood-brain barrier. PMID: 22398316
- findings show that C/EBPbeta and RUNX2, with MMP-13 as the target and HIF-2alpha as the inducer, control cartilage degradation PMID: 22095691
- certain proteases, such as Mmp1, play a pivotal role in certain proteases, such as MT1-MMP, play a pivotal role in PO-induced matrix remodeling and fibrosis-induced matrix remodeling and fibrosis PMID: 22287584
- a novel role for ELF3 as a procatabolic factor that may contribute to cartilage remodeling and degradation by regulating MMP13 gene transcription. PMID: 22158614
- Wnt5a-Ror2 signaling might also be required for expression of MMP-13 gene during the development of the cartilaginous tissue. PMID: 22128168
顯示更多
收起更多
-
亞細胞定位:Secreted, extracellular space, extracellular matrix. Secreted.
-
蛋白家族:Peptidase M10A family
-
組織特異性:Detected in epidermal cells and stromal fibroblasts in wounded skin, but not in normal skin (at protein level). Detected in embryonic hypertrophic chondrocytes and newly recruited bone cells at primary ossification centers. After adult bone fracture, dete
-
數據庫鏈接:
Most popular with customers
-
-
YWHAB Recombinant Monoclonal Antibody
Applications: ELISA, WB, IHC, IF, FC
Species Reactivity: Human, Mouse, Rat
-
Phospho-YAP1 (S127) Recombinant Monoclonal Antibody
Applications: ELISA, WB, IHC
Species Reactivity: Human
-
-
-
-
-















