-
中文名稱:MYO5A兔多克隆抗體
-
貨號:CSB-PA857430LA01HU
-
規格:¥440
-
圖片:
-
IHC image of CSB-PA857430LA01HU diluted at 1:370 and staining in paraffin-embedded human brain tissue performed on a Leica BondTM system. After dewaxing and hydration, antigen retrieval was mediated by high pressure in a citrate buffer (pH 6.0). Section was blocked with 10% normal goat serum 30min at RT. Then primary antibody (1% BSA) was incubated at 4°C overnight. The primary is detected by a Goat anti-rabbit polymer IgG labeled by HRP and visualized using 0.05% DAB. Secondary antibody only control: uses 1% BSA instead of primary antibody
-
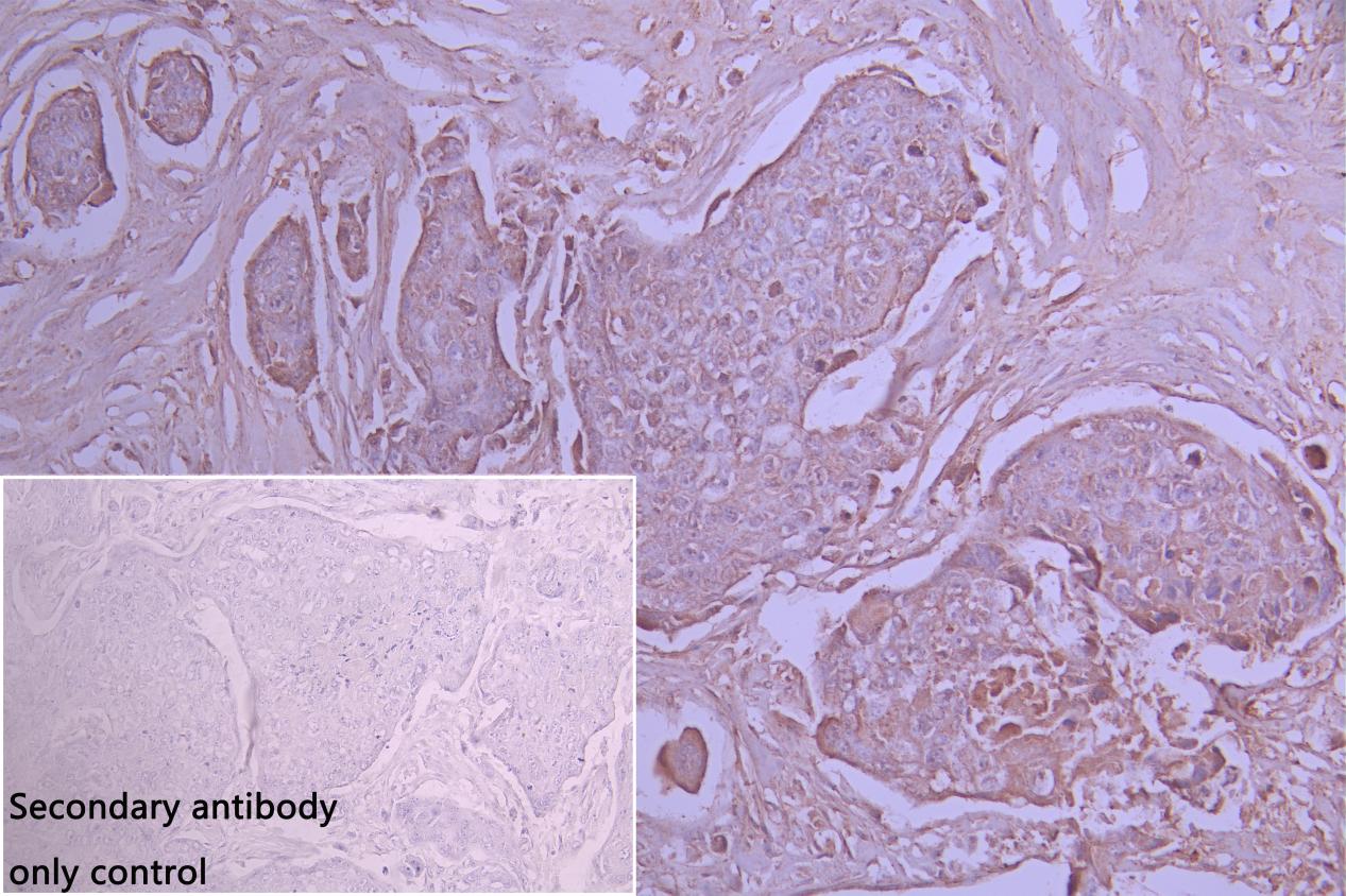
IHC image of CSB-PA857430LA01HU diluted at 1:370 and staining in paraffin-embedded human melanoma cancer performed on a Leica BondTM system. After dewaxing and hydration, antigen retrieval was mediated by high pressure in a citrate buffer (pH 6.0). Section was blocked with 10% normal goat serum 30min at RT. Then primary antibody (1% BSA) was incubated at 4°C overnight. The primary is detected by a Goat anti-rabbit polymer IgG labeled by HRP and visualized using 0.05% DAB. Secondary antibody only control: uses 1% BSA instead of primary antibody
-
-
其他:
產品詳情
-
產品描述:MYO5A polyclonal antibody CSB-PA857430LA01HU was produced in the rabbit immunized by using the Recombinant Human Unconventional myosin-Va protein (1087-1220AA) as the immunogen. The target protein MYO5A is processive actin-based motor that can move in large steps approximating the 36-nm pseudo-repeat of the actin filament. This protein is involved in melanosome transport. Also mediates the transport of vesicles to the plasma membrane, and may also be required for some polarization process involved in dendrite formation. Diseases associated with MYO5A include Griscelli Syndrome, Type 1 and Griscelli Syndrome, Type 3.
This Rabbit anti-Homo sapiens (Human) MYO5A Polyclonal antibody was tested in the ELISA, WB, IHC and IF applications. The non-conjugated IgG got purified by protein G and reached up to 95% in purity. It reacts with the MYO5A proteins of human or mouse-origin and may be used to detect the endogenous levels of MYO5A protein. -
產品名稱:Rabbit anti-Homo sapiens (Human) MYO5A Polyclonal antibody
-
Uniprot No.:
-
基因名:MYO5A
-
別名:non-muscle antibody; Dilute myosin heavy chain antibody; GS1 antibody; MYH12 antibody; MYO5 antibody; Myo5a antibody; MYO5A_HUMAN antibody; Myosin heavy chain 12 antibody; Myosin heavy polypeptide kinase antibody; Myosin V antibody; Myosin VA (heavy polypeptide 12 myoxin) antibody; Myosin VA (heavy polypeptide 12 myoxin) antibody; Myosin-12 antibody; Myoxin antibody; MYR12 antibody; Unconventional myosin-Va antibody
-
宿主:Rabbit
-
反應種屬:Human
-
免疫原:Recombinant Human Unconventional myosin-Va protein (1087-1220AA)
-
免疫原種屬:Homo sapiens (Human)
-
標記方式:Non-conjugated
本頁面中的產品,MYO5A Antibody (CSB-PA857430LA01HU),的標記方式是Non-conjugated。對于MYO5A Antibody,我們還提供其他標記。見下表:
-
克隆類型:Polyclonal
-
抗體亞型:IgG
-
純化方式:>95%, Protein G purified
-
濃度:It differs from different batches. Please contact us to confirm it.
-
保存緩沖液:Preservative: 0.03% Proclin 300
Constituents: 50% Glycerol, 0.01M PBS, pH 7.4 -
產品提供形式:Liquid
-
應用范圍:ELISA, IHC
-
推薦稀釋比:
Application Recommended Dilution IHC 1:100-1:500 -
Protocols:
-
儲存條件:Upon receipt, store at -20°C or -80°C. Avoid repeated freeze.
-
貨期:Basically, we can dispatch the products out in 1-3 working days after receiving your orders. Delivery time maybe differs from different purchasing way or location, please kindly consult your local distributors for specific delivery time.
-
用途:For Research Use Only. Not for use in diagnostic or therapeutic procedures.
引用文獻
- Zoledronate modulates intracellular vesicle trafficking in mast cells via disturbing the interaction of myosinVa/Rab3a and sytaxin4/VAMP7 Liu S.et al,Biochem Pharmacol,2018
相關產品
靶點詳情
-
功能:Processive actin-based motor that can move in large steps approximating the 36-nm pseudo-repeat of the actin filament. Involved in melanosome transport. Also mediates the transport of vesicles to the plasma membrane. May also be required for some polarization process involved in dendrite formation.
-
基因功能參考文獻:
- our studies revealed RPGRIP1L as a novel MyoVa-binding protein - the first to be demonstrated to interact with MyoVa at the centrosome - and uncover an unprecedented link between MyoVa and ciliogenesis, providing new perspectives for studies aiming to better understand why defects in MyoVa cause neurological disorders in Griscelli syndrome patients. PMID: 28266547
- MYO5A, having rare amino acid mutations p.R849Q and p.V1601G, was involved in the biological network of known MODY genes. PMID: 29670293
- the essential melanocyte-specific transcription factor MITF regulates expression of the MYO5A gene, which encodes the molecular motor myosin-Va. PMID: 27939378
- human cytomegalovirus capsids associate with nuclear myosin Va and F-actin and that antagonism of myosin Va impairs capsid localization toward the nuclear rim and nuclear egress. PMID: 29298889
- Mechanochemical cycle of myosin-V has been reported. PMID: 28193897
- Data suggest that membrane tethering mediated by endosomal RAB11A is drastically and selectively stimulated by its cognate Rab effectors, class V myosins (MYO5A and MYO5B), in a GTP-dependent manner. (RAB11A = ras-related GTPase Rab-11A; MYO5 = myosin class V) PMID: 28939769
- ETV6-NTRK3, MYO5A-NTRK3 and MYH9-NTRK3 fusions are identified in Spitz tumours and demonstrated that NTRK3 fusions constitutively activate the mitogen-activated protein kinase, phosphoinositide 3-kinase and phospholipase Cgamma1 pathways in melanocytes. PMID: 27477320
- the inhibited Myo5a is equilibrated between the folded state, in which the Mlph-binding site is buried, and the preactivated state, in which the Mlph-binding site is exposed, and that Mlph is able to bind to the Myo5a in preactivated state and activates its motor function. PMID: 27129208
- These findings reveal a new fast-acting energy conservation strategy halting growth by immobilizing myosin V in a newly described state on selectively stabilized actin cables. PMID: 25308080
- Structural insights into the globular tails of the human type v myosins Myo5a, Myo5b, And Myo5c. PMID: 24339992
- Data indicate that myosin Va interacted with multiple new Rab subfamilies including Rab6, Rab14 and Rab39B. PMID: 24006491
- several crystal structures of the myosin Va or the myosin Vb globular tail domain that gives insights into how the motor is linked to the recycling membrane compartments via Rab11 or the melanophilin adaptor that binds to Rab27a. PMID: 24248336
- the cargo-binding domain (CBD) structures of the three human MyoV paralogs (Va, Vb, and Vc), revealing subtle structural changes that drive functional differentiation and a novel redox mechanism controlling the CBD dimerization process PMID: 24097982
- myosin-Va promotes adhesion dynamics, anchorage-independent survival, migration, and invasion in vitro PMID: 23652798
- Myosin Va plays a role in the transport and turnover of mRNA. [Review] PMID: 23176491
- Calmodulin bound to the first IQ motif is responsible for calcium-dependent regulation of myosin 5a. PMID: 22437832
- A Rab27a/MyRIP/myosin Va complex is involved in linking von-Willebrand factor (Vwf) to the peripheral actin cytoskeleton of endothelial cells to allow full maturation and prevent premature secretion of vWF. PMID: 21740491
- Myo5a and Rab3A are direct binding partners and interact on synaptic vesicles and the Myo5a/Rab3A complex is involved in transport of neuronal vesicles PMID: 21349835
- Myosin Va is required for P body but not stress granule formation. PMID: 21245139
- Myo5a is activated in cells during HSV-1 infection to help transport virion- and glycoprotein-laden vesicles from the TGN, through the cortical actin, to the plasma membrane. PMID: 20631136
- MARCKS and related chaperones bind to unconventional myosin V isoforms in airway epithelial cells PMID: 20203291
- Myosin-Va has a role in restraining Na(+)/K(+)-ATPase-containing vesicles within intracellular pools. PMID: 19808891
- role of function in melanosome transport PMID: 11980908
- MYO5A mutations in Griscelli disease PMID: 12148598
- Interactions of human Myosin Va isoforms in human melanocytes are tightly regulated by the tail domain. Interaction with rab27a and melanophilin. Myosin Va medial tail domain provides the globular tail domain with organelle-interacting specificity. PMID: 12603861
- Griscelli syndrome restricted to hypopigmentation results from a melanophilin defect (GS3) or a MYO5A F-exon deletion (GS1). PMID: 12897212
- the endosome-associated protein hrs is a subunit of a protein complex containing actinin-4, BERP, and myosin V that is necessary for efficient TfR recycling but not for EGFR degradation PMID: 15772161
- MYO5A transports dense core secretory vesicles in pancreatic MIN6 beta-cells. PMID: 15788565
- exon B and its associated dynein light chain have a significant effect on the structure of parts of the coiled-coil tail domains and such a way could influence the regulation and cargo-binding function of myosin Va PMID: 17029413
- present a kinetic model for the walking of myosin V on actin PMID: 17487986
- Data suggest that myosin-V makes two brownian 90 degrees rotations per 36-nm step as it processively walks on actin filaments in a hand-over-hand fashion. PMID: 17891151
- MyoVa directly mediates stable attachment of secretory granules at the plasma membrane. PMID: 17898234
- Specific knockdown of MyoVa exon F isoforms resulted in transport inhibition of melanosomes to peripheral subcortical actin network in dendrite tips; perinuclear aggregation of melanosomes. May become innovative drug to treat hyperpigmentation. PMID: 18401430
- During primate spermiogenesis, dynein, myosin Va, MyRIP and Rab27b that compose microtubule-based and actin-based vesicle transport systems are actually present in the manchette and might possibly be involved in intramanchette transport. PMID: 18478159
- related Rab protein, Rab10, can interact with myosin Va, myosin Vb, and myosin Vc PMID: 19008234
- data demonstrate an essential role of myosin Va in cancer cell migration and metastasis, and suggest a novel target for Snail in its regulation of cancer progression PMID: 19521958
顯示更多
收起更多
-
相關疾病:Griscelli syndrome 1 (GS1); Griscelli syndrome 3 (GS3); Elejalde syndrome (ELEJAS)
-
蛋白家族:TRAFAC class myosin-kinesin ATPase superfamily, Myosin family
-
組織特異性:Detected in melanocytes.
-
數據庫鏈接:
Most popular with customers
-
-
YWHAB Recombinant Monoclonal Antibody
Applications: ELISA, WB, IHC, IF, FC
Species Reactivity: Human, Mouse, Rat
-
Phospho-YAP1 (S127) Recombinant Monoclonal Antibody
Applications: ELISA, WB, IHC
Species Reactivity: Human
-
-
-
-
-















