MYC Antibody
-
中文名稱:MYC兔多克隆抗體
-
貨號:CSB-PA407491
-
規格:¥1100
-
圖片:
-
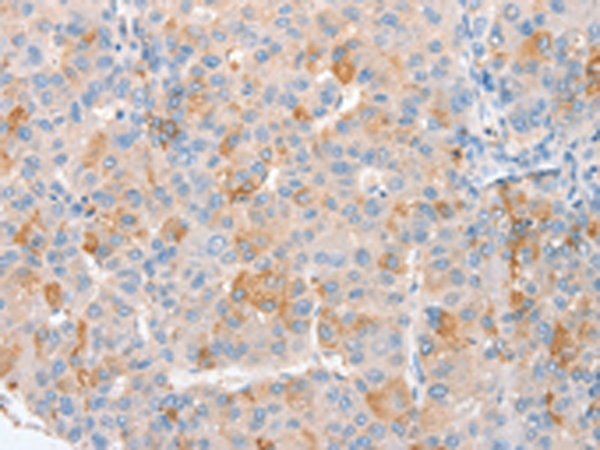
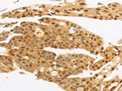
The image on the left is immunohistochemistry of paraffin-embedded Human liver cancer tissue using CSB-PA407491(c-Myc Tag Antibody) at dilution 1/10, on the right is treated with synthetic peptide. (Original magnification: ×200)
-
The image on the left is immunohistochemistry of paraffin-embedded Human gastic cancer tissue using CSB-PA407491(c-Myc Tag Antibody) at dilution 1/10, on the right is treated with synthetic peptide. (Original magnification: ×200)
-
Gel: 10%SDS-PAGE, Lysate: 2 μg, Lane: Recombinant HA tagged protein, Primary antibody: CSB-PA407491(c-Myc Tag Antibody) at dilution 1/1000, Secondary antibody: Goat anti rabbit IgG at 1/8000 dilution, Exposure time: 1 second
-
-
其他:
產品詳情
-
Uniprot No.:
-
基因名:
-
別名:AU016757 antibody; Avian myelocytomatosis viral oncogene homolog antibody; bHLHe39 antibody; c Myc antibody; Cellular myelocytomatosis oncogene antibody; Class E basic helix-loop-helix protein 39 antibody; MGC105490 antibody; MRTL antibody; Myc antibody; Myc protein antibody; Myc proto oncogene protein antibody; Myc proto-oncogene protein antibody; myc-related translation/localization regulatory factor antibody; MYC_HUMAN antibody; Myc2 antibody; myca antibody; MYCC antibody; Myelocytomatosis oncogene a antibody; Myelocytomatosis oncogene antibody; Niard antibody; Nird antibody; oncogene c-Myc antibody; Oncogene Myc antibody; OTTHUMP00000158589 antibody; OTTHUMP00000227763 antibody; Proto-oncogene c-Myc antibody; Protooncogene homologous to myelocytomatosis virus antibody; RNCMYC antibody; Transcription factor p64 antibody; Transcriptional regulator Myc-A antibody; V-Myc avian myelocytomatosis viral oncogene homolog antibody; v-myc myelocytomatosis viral oncogene homolog (avian) antibody; zc-myc antibody
-
宿主:Rabbit
-
反應種屬:Human,Rat
-
免疫原:Synthetic peptide: C-EQKLISEEDL conjugated with KLH.
-
免疫原種屬:Homo sapiens (Human)
-
標記方式:Non-conjugated
-
抗體亞型:IgG
-
純化方式:Antigen affinity purification
-
濃度:It differs from different batches. Please contact us to confirm it.
-
保存緩沖液:-20°C, pH7.4 PBS, 0.05% NaN3, 40% Glycerol
-
產品提供形式:Liquid
-
應用范圍:ELISA,WB,IHC
-
推薦稀釋比:
Application Recommended Dilution ELISA 1:1000-1:10000 WB 1:1000-1:5000 IHC 1:15-1:50 -
Protocols:
-
儲存條件:Upon receipt, store at -20°C or -80°C. Avoid repeated freeze.
-
貨期:Basically, we can dispatch the products out in 1-3 working days after receiving your orders. Delivery time maybe differs from different purchasing way or location, please kindly consult your local distributors for specific delivery time.
-
用途:For Research Use Only. Not for use in diagnostic or therapeutic procedures.
相關產品
靶點詳情
-
功能:Transcription factor that binds DNA in a non-specific manner, yet also specifically recognizes the core sequence 5'-CAC[GA]TG-3'. Activates the transcription of growth-related genes. Binds to the VEGFA promoter, promoting VEGFA production and subsequent sprouting angiogenesis. Regulator of somatic reprogramming, controls self-renewal of embryonic stem cells. Functions with TAF6L to activate target gene expression through RNA polymerase II pause release.
-
基因功能參考文獻:
- the findings of this study demonstrate that hsamiR24 suppresses metastasis in nasopharyngeal carcinoma by regulating the cMyc/EMT axis, suggesting that hsamiR24 may be used as a prognostic factor and as a novel target for the prevention of nasopharyngeal carcinoma metastasis. PMID: 30226609
- lncRNA THOR is up-regulated in retinoblastoma, and its over-expression significantly enhances the malignant phenotype transformation of retinoblastoma cells by up-regulating c-myc and TGF2BP1 expression. PMID: 30119193
- we demonstrate that neither MYC IHC nor MYC FISH alone is a sufficient screening mechanism for identification of the clinically relevant entities of HGBLwR or DEL PMID: 28868942
- Because RPL23 is encoded by a target gene of c-Myc, the RPL23/Miz-1/c-Myc regulatory circuit provides a feedback loop that links efficient RPL23 expression with c-Myc's function to suppress Miz-1-induced Cdk inhibitors and thereby leads to apoptotic resistance in higher-risk myelodysplastic syndrome patients. PMID: 28539603
- GATAD2B interacts with C-MYC to enhance KRAS driven tumor growth. PMID: 30013058
- low expression of c-Myc protein predicts poor outcomes in patients with HCC with hepatectomy. PMID: 29690860
- Combined, these findings suggest that c-Myc could transcriptionally regulate TCRP1 in cell lines and clinical samples and identified the c-Myc-TCRP1 axis as a negative biomarker of prognosis in tongue and lung cancers. PMID: 28623290
- Kazakh and Han patients with esophageal squamous cell carcinoma with Glut1 c-myc co-expression had poorer prognosis. PMID: 29629851
- MYC activation in papillary clear cell renal cell carcinoma leads to a worse prognosis. PMID: 28593993
- could not find any relationship between Bcl-2, c-Myc and EBER-ISH positivity and the low/high IPS groups in classical Hodgkin lymphoma PMID: 29708579
- Fluorescence in situ hybridization studies (histologic sections) confirmed translocations of MYC (8q24), BCL2 (18q21) and BCL6 (3q27) in all patients. PMID: 30043475
- topical mevastatin accelerates wound closure by promoting epithelialization via multiple mechanisms: modulation of GR ligands and induction of the long noncoding RNA Gas5, leading to c-Myc inhibition. PMID: 29158265
- CCND1 , C-MYC , and FGFR1 amplifications were observed in 34.28%, 28.57%, and 17.14% of the 35 samples (invasive ductal breast carcinoma). PMID: 30119151
- Data suggest that MYC induction of REV-ERBalpha is both persistent and recurrent across many inducible MYC model systems. PMID: 28332504
- HUWE1 overexpression could functionally suppress prostate carcinoma development both in vitro and in vivo, possibly by inverse regulation of c-Myc. PMID: 29966975
- Menin functions as an oncogenic regulatory factor that is critical for MYC-mediated gene transcription. PMID: 28474697
- High c-myc expression is associated with colorectal cancer. PMID: 30015962
- Melatonin disturbs SUMOylation-mediated crosstalk between c-Myc and nestin via MT1 activation and promotes the sensitivity of paclitaxel in brain cancer stem cells. PMID: 29654697
- FBP1 modulates the sensitivity of pancreatic cancer cells to BET inhibitors by decreasing the expression of c-Myc. These findings highlight FBP1 could be used as a therapeutic niche for patient-tailored therapies PMID: 30201002
- miR135a directly bound to UCA1 and the 3' untranslated region of cmyc, and UCA1 competed with cmyc for miR135a binding. PMID: 30015867
- MYC directly regulates DANCR and plays important role in cancer cell proliferation. PMID: 29180471
- In this review, we provide support to the hypothesis that the cooperation of c-Myc with transcriptional cofactors mediates c-Myc-induced cellular functions. We produce evidence that recently identified cofactors are involved in c-Myc control of survival mechanisms of cancer cells PMID: 30261904
- 4-chlorobenzoyl berbamine (CBBM) inhibits the JAK2/STAT3 pathway, leading to reduced c-Myc transcription. Collectively, these findings suggest that CBBM could be a promising lead compound for treatment of c-Myc-driven diffuse large B cell lymphoma. PMID: 30099568
- Results revealed that C-MYC protein is highly expressed in colon cancer tissues, mainly in the cell nucleus and was identified as a direct target for mir-184. C-MYC appeared to participate in cell cycle regulation and malignant transformation to colon cancer. PMID: 28782841
- MACC1 and c-Myc are highly expressed in serum and tumor tissues of EC patients. Both are correlated with TNM stage, primary infiltration, and lymph node or distal metastasis. PMID: 29984790
- study provides an interesting example using chemical biological approaches for determining distinct biological consequences from inhibiting vs. activating an E3 ubiquitin ligase and suggests a potential broad therapeutic strategy for targeting c-MYC in cancer treatment by pharmacologically modulating cIAP1 E3 ligase activity. PMID: 30181285
- The data demonstrated that 10058F4, a cMyc inhibitor, increased the growth inhibition, G0/G1 phase arrest and apoptosis of the NALM6 and CEM cells as induced by dexamethasone (DXM), a type of GC. PMID: 29749488
- c-MYC/BCL2 protein co-expression is associated with non-germinal center B-cell in Diffuse Large B-Cell Lymphoma PMID: 29801406
- c-Myc was capable of upregulating HP1gamma by directly binding to the E-box element in the first intron of HP1gamma gene, and the upregulated HP1gamma, in turn, repressed the expression of miR-451a by enhancing H3K9 methylation at the promoter region of miR-451a. PMID: 28967902
- A subset of pancreatic acinar cell carcinomas shows c-MYC alterations including gene amplification and chromosome 8 polysomy. PMID: 29721608
- Expression and Clinical Significance of LC-3 and P62 in Non-small Cell Lung Cancer PMID: 29945702
- The findings of the current study demonstrate presence of the IDH1 R132H mutation in primary human glioblastoma cell lines with upregulated HIF-1alpha expression, downregulating c-MYC activity and resulting in a consequential decrease in miR-20a, which is responsible for cell proliferation and resistance to standard temozolomide treatment. PMID: 29625108
- a novel signal circuit of Stat3/Oct-4/c-Myc was identified for regulating stemness-mediated Doxorubicin resistance in triple-negative breast cancer PMID: 29750424
- MYC amplification and MYC overexpression occurred almost exclusively in secondary cutaneous angiosarcoma in our series. PMID: 29135507
- High c-myc expression is associated with the development of prostate cancer. PMID: 29554906
- Circular RNA hsa_circRNA_103809 promotes lung cancer progression via facilitating ZNF121-dependent MYC expression by sequestering miR-4302. PMID: 29698681
- Authors conclude that quantitative measurements of intratumor heterogeneity by multiplex FISH, detection of MYC amplification and TP53 mutation could augment prognostication in breast cancer patients. PMID: 29181861
- PCYT1A was upregulated by MYC, which resulted in the induction of aberrant choline metabolism and the inhibition of B-lymphoma cell necroptosis. PMID: 28686226
- Cryptic t(3;8)(q27;q24) and/or MYC-BCL6 linkage associated with MYC expression by immunohistochemistry is frequent in multiple-hit B-cell lymphomas. PMID: 28665415
- CD30+ diffuse large B-cell lymphoma has characteristic clinicopathological features mutually exclusive with MYC gene rearrangement and negatively associated with BCL2 protein expression. PMID: 29666157
- High MYC amplification is associated with HER2 positive breast cancers in African American women. PMID: 29523126
- These data suggest that MYC acts as a master coordinator that inversely modulates the impact of cell cycle and circadian clock on gene expression via its interaction with MIZ1. PMID: 27339797
- In our study, the c-myc oncogene was amplified in 11.1% of BPH samples. Bivariate analysis failed to reveal any significant association between oncogene amplification and the clinicopathologic variables examined. PMID: 29234244
- Genetic variation at the 8q24.21 renal cancer susceptibility locus affects HIF1A and HIF1B binding to a MYC enhancer. PMID: 27774982
- Data indicate that miR-34a enhanced the sensitivity to cisplatin by upregulation of c-Myc and Bim pathway. PMID: 29060932
- Luciferase reporter assay showed that c-Myc, an oncogene that regulating cell survival, angiogenesis and metastasis, was a direct target of miR-376a. Over-expression of miR-376a decreased the mRNA and protein levels of c-Myc in A549 cells. PMID: 28741879
- The present findings show that expression of c-MYC has prognostic value in squamous cell carcinoma of the tongue, and could be useful in choice of therapy. PMID: 28393404
- Multivariable analysis indicated that IPI (P = 0.002), chemotherapy regimens (P = 0.017), and MYC gene rearrangements (P = 0.004) were independent adverse prognostic factors for all diffuse large B cell Lymphoma(DLBCL) patients in this study. Results demonstrated that the poor survival of DLBCL patients with HBV infection was closely involved in chemotherapy regimens, IPI, and MYC gene rearrangements PMID: 29209623
- MYC extra copy in diffuse large B-cell lymphoma is an independent poor prognostic factor PMID: 28776574
- The c-Myc/miR-200b/PRDX2 loop regulates colorectal cancer (CRC) progression and its disruption enhances tumor metastasis and chemotherapeutic resistance in CRC. PMID: 29258530
顯示更多
收起更多
-
相關疾病:Burkitt lymphoma (BL)
-
亞細胞定位:Nucleus, nucleoplasm. Nucleus, nucleolus.
-
數據庫鏈接:
Most popular with customers
-
-
YWHAB Recombinant Monoclonal Antibody
Applications: ELISA, WB, IHC, IF, FC
Species Reactivity: Human, Mouse, Rat
-
-
-
-
-
-















