MUC15 Antibody
-
中文名稱:MUC15兔多克隆抗體
-
貨號:CSB-PA113113
-
規格:¥1100
-
圖片:
-
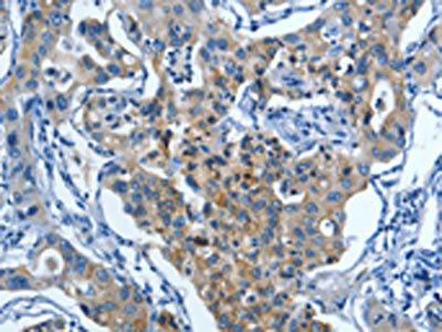
The image on the left is immunohistochemistry of paraffin-embedded Human thyroid cancer tissue using CSB-PA113113(MUC15 Antibody) at dilution 1/50, on the right is treated with fusion protein. (Original magnification: ×200)
-
The image on the left is immunohistochemistry of paraffin-embedded Human lung cancer tissue using CSB-PA113113(MUC15 Antibody) at dilution 1/50, on the right is treated with fusion protein. (Original magnification: ×200)
-
-
其他:
產品詳情
-
Uniprot No.:
-
基因名:MUC15
-
別名:Component II antibody; Glycoprotein 4 antibody; Glycoprotein C antibody; MUC 15 antibody; MUC-15 antibody; Muc15 antibody; MUC15_HUMAN antibody; Mucin 15 antibody; Mucin 15 cell surface associated antibody; Mucin-15 antibody; PAS3 antibody; PASIII antibody
-
宿主:Rabbit
-
反應種屬:Human
-
免疫原:Fusion protein of Human MUC15
-
免疫原種屬:Homo sapiens (Human)
-
標記方式:Non-conjugated
-
抗體亞型:IgG
-
純化方式:Antigen affinity purification
-
濃度:It differs from different batches. Please contact us to confirm it.
-
保存緩沖液:-20°C, pH7.4 PBS, 0.05% NaN3, 40% Glycerol
-
產品提供形式:Liquid
-
應用范圍:ELISA,IHC
-
推薦稀釋比:
Application Recommended Dilution ELISA 1:2000-1:5000 IHC 1:25-1:100 -
Protocols:
-
儲存條件:Upon receipt, store at -20°C or -80°C. Avoid repeated freeze.
-
貨期:Basically, we can dispatch the products out in 1-3 working days after receiving your orders. Delivery time maybe differs from different purchasing way or location, please kindly consult your local distributors for specific delivery time.
-
用途:For Research Use Only. Not for use in diagnostic or therapeutic procedures.
相關產品
靶點詳情
-
功能:May play a role in the cell adhesion to the extracellular matrix.
-
基因功能參考文獻:
- Frameshift mutations of MUC15 gene is associated with gastric and colorectal cancers. PMID: 25573589
- Multivariate analysis suggested that MUC15 overexpression was an independent factor for prognosis (hazard risk: 3.216; P=0.009). It was concluded that MUC15 is overexpressed in glioma tissues. PMID: 24710941
- MUC15 inhibits dimerization of EGFR and PI3K-AKT signaling and is associated with aggressive hepatocellular carcinomas in patients. PMID: 23933603
- MUC15 is a strong candidate for eczema. PMID: 22657408
- MUC4 and MUC15 were overexpressed in papillary thyroid carcinoma, and high MUC15 expression was associated with high malignant potential. PMID: 21615302
- MUC15 was expressed most highly in human placenta. MUC15 mRNA & protein increased with gestational age (P < 0.05, 1st versus 3rd trimester). Differential expression of MUC15 in human placentas may play critical role in regulation of trophoblast invasion. PMID: 17720698
- Overexpression of MUC15 activates extracellular signal-regulated kinase 1/2 and promotes the oncogenic potential of colon cancer cells. PMID: 19520792
顯示更多
收起更多
-
亞細胞定位:[Isoform 1]: Cell membrane; Single-pass type I membrane protein.; [Isoform 2]: Secreted.
-
組織特異性:Expressed in spleen, thymus, prostate, testis, ovary, small intestine, colon, peripheral blood leukocyte, bone marrow, lymph node and lung.
-
數據庫鏈接:
Most popular with customers
-
-
YWHAB Recombinant Monoclonal Antibody
Applications: ELISA, WB, IHC, IF, FC
Species Reactivity: Human, Mouse, Rat
-
-
-
-
-
-















