MTNR1A Antibody
-
中文名稱:MTNR1A兔多克隆抗體
-
貨號:CSB-PA241726
-
規格:¥1100
-
圖片:
-
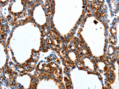
The image on the left is immunohistochemistry of paraffin-embedded Human thyroid cancer tissue using CSB-PA241726(MTNR1A Antibody) at dilution 1/40, on the right is treated with synthetic peptide. (Original magnification: ×200)
-
Gel: 10%SDS-PAGE, Lysate: 30 μg, Lane: Mouse brain tissue, Primary antibody: CSB-PA241726(MTNR1A Antibody) at dilution 1/650, Secondary antibody: Goat anti rabbit IgG at 1/8000 dilution, Exposure time: 1 minute
-
-
其他:
產品詳情
-
Uniprot No.:
-
基因名:
-
別名:MTNR1A; Melatonin receptor type 1A; Mel-1A-R; Mel1a receptor
-
宿主:Rabbit
-
反應種屬:Human,Mouse,Rat
-
免疫原:Synthetic peptide of Human MTNR1A
-
免疫原種屬:Homo sapiens (Human)
-
標記方式:Non-conjugated
-
抗體亞型:IgG
-
純化方式:Antigen affinity purification
-
濃度:It differs from different batches. Please contact us to confirm it.
-
保存緩沖液:-20°C, pH7.4 PBS, 0.05% NaN3, 40% Glycerol
-
產品提供形式:Liquid
-
應用范圍:ELISA,WB,IHC
-
推薦稀釋比:
Application Recommended Dilution ELISA 1:2000-1:20000 WB 1:500-1:2000 IHC 1:50-1:300 -
Protocols:
-
儲存條件:Upon receipt, store at -20°C or -80°C. Avoid repeated freeze.
-
貨期:Basically, we can dispatch the products out in 1-3 working days after receiving your orders. Delivery time maybe differs from different purchasing way or location, please kindly consult your local distributors for specific delivery time.
-
用途:For Research Use Only. Not for use in diagnostic or therapeutic procedures.
相關產品
靶點詳情
-
功能:High affinity receptor for melatonin. Likely to mediate the reproductive and circadian actions of melatonin. The activity of this receptor is mediated by pertussis toxin sensitive G proteins that inhibit adenylate cyclase activity.
-
基因功能參考文獻:
- we provide evidence that decreased expression of MTNR1A (MT1 ) in the liver of diabetic individuals is associated with poorly controlled diabetes PMID: 29247541
- polymorphic genotypes of rs6553010 of MTNR1A might contribute to the ability to predict aggressive phenotypes of UCC. This is the first study to provide insights into risk factors associated with intronic MTNR1A variants in the clinicopathologic development of UCC in Taiwan. PMID: 29104467
- There were no statistically significant differences in the distribution of MTNR1A rs2119882 and MTNR1B rs4753426 genotypes and alleles between women with gestational diabetes and healthy pregnant women. PMID: 28084098
- One single nucleotide polymorphism (SNP), rs713224, located near the brain-expressed melatonin receptor (MTNR1A) gene, was associated with the somatic complaints domain of depression symptoms. [Meta-Analysis] PMID: 26997408
- findings suggest that a variant near MTNR1A may be associated with job-related exhaustion in shift workers PMID: 28364478
- By integrating genetic and epigenetic data, we identified that a differentially methylated CpG site within the melatonin receptor 1A (MTNR1A) gene mediates the effect of a paternally transmitted genetic variant on the comorbidity of asthma and AR. This study provides a novel insight into the role of epigenetic mechanisms in patients with allergic respiratory diseases. PMID: 27038909
- MT1 is part of the presynaptic protein network and negatively regulates Cav 2.2 activity, providing a first hint for potential synaptic functions of MT1. PMID: 26514267
- rs2119882 polymorphism was associated with polycystic ovary syndrome in Han Chinese. A significant difference in transmission of allele C of rs2119882 was found between obese and non-obese women with PCOS. PMID: 26519818
- results support gene-environment interactions of MTNR1A polymorphisms with smoking and betel quid-chewing habits possibly altering oral-cancer susceptibility and metastasis PMID: 25806809
- Sections from paraffin-embedded normal tissue from 42 individuals, representing the different parts of the GI tract (n=39) and pancreas (n=3) were studied with immunohistochemistry using antibodies for melatonin, MT1 and MT2 receptors and serotonin. PMID: 25822611
- There were no significant differences between the expression of MT1 and histological type, staging, grading, presence of residual disease, or overall survival time. PMID: 25514412
- Suggest that physiological regulation of the melatonin receptors may result from complex and subtle mechanisms, a small difference in affinity between the active and inactive states of the receptor, and spontaneous coupling to G-proteins. PMID: 24117008
- genetic polymorphisms rs2119882 in melatonin receptor 1A (MTNR1A) and rs10830963 in melatonin receptor 1B (MTNR1B) are associated with an increased risk of developing gestational diabetes mellitus and insulin resistance in Han Chinese women PMID: 24157813
- this study provides a detailed delineation of the melatonin-mediated activation of ERK1/2 in HEK293 cells that are transfected with melatonin receptor MT1. PMID: 24724723
- MR-1A placental expression is elevated in all types of hypertensive syndromes in pregnancy PMID: 23725077
- Genetic inactivation of both transgenic MT1 and MT2 receptors produces an increase of wakefulness, likely as a result of reduced NREMS due to the lack of MT2 transgene receptors, and reduced REMS induced by the lack of MT1 transgene receptors. PMID: 23333399
- MT1 negative TNBC in all cases regardless of race showed a significantly higher hazard ratio for disease progression, shorter progression free survival, and disease-related death, and shorter OS. PMID: 23250547
- MT1 and MT2 expression is significantly reduced in preeclamptic compared with normotensive pregnancy placentas. PMID: 22686298
- intracytoplasmic positivity for the MTNR1A receptor in the excretory ducts of human major and minor salivary glands and Warthin's tumor was found PMID: 23155241
- Description of the constitutive activity of cloned human melatonin receptors hMT(1) and hMT(2) and discovery of inverse agonists. PMID: 22017484
- Data indicate that melatonin receptors MT1 and MT2 expression levels decreased in both early and advanced stages of tumors in males. PMID: 21809392
- Results suggest that common genetic variation in the MTNR1a and 1b genes may contribute to breast cancer susceptibility, and that associations may vary by menopausal status. PMID: 22138747
- Single nucleotide polymorphisms in the melatonin receptor 1A gene is associated with calcium nephrolithiasis. PMID: 21652546
- Data found a splice site mutation in ASMT (IVS5+2T>C) and one stop mutation in MTNR1A (Y170X) - detected exclusively in patients with ADHD - for which biochemical analyses indicated that they abolish the activity of ASMT and MTNR1A. PMID: 21615493
- The finding suggests a synergism effect between the unfavourable genotype (CT) of the MELIA receptor SNP and the vascular disease in this subgroup of patients. PMID: 21635358
- Results suggest that MTNR1A may be a susceptibility gene for schizophrenia and may be associated with insomnia symptoms exhibited in schizophrenia patients. PMID: 21526376
- The single nucleotide polymorphism rs2119882 is associated with polycystic ovary syndrome PMID: 21474908
- the decreased expression of MT1 in human colorectal cancer could point to a role of melatonin in this disease. PMID: 22217986
- This study delineated a pathologic process whereby mutant htt-induced loss of the mitochondrial MT1 receptor enhances neuronal vulnerability and potentially accelerates the neurodegenerative process. PMID: 21994366
- piRNA_015520 negatively regulates MTNR1A gene expression by binding to its genomic region PMID: 21818375
- Melatonin protects human spermatozoa from apoptosis via melatonin receptor- and extracellular signal-regulated kinase-mediated pathways. PMID: 21497337
- Melatonin has a modulating effect on dopaminergic neurotransmission in the brain. PMID: 20726823
- Study identified six non-synonymous mutations for MTNR1A and ten for MTNR1B in autism spectrum disorders patients . The majority of these variations altered receptor function. PMID: 20657642
- Immunohistochemical analysis revealed that during tooth development Mel1aR was expressed in secretory ameloblasts, the cells of the stratum intermedium and stellate reticulum, external dental epithelial cells, odontoblasts, and dental sac cells. PMID: 20372918
- The results demonstrate a down-regulation of melatonin receptors in regions affected by Parkinson disease, suggesting their possible involvement in the disease process. PMID: 20110911
- MT1 receptor is a major transducer of melatonin's actions in the breast, suppressing mammary gland development and mediating the anticancer actions of melatonin through multiple pathways. PMID: 20050373
- Increased melatonin 1a-receptor immunoreactivity in the hippocampus of Alzheimer's disease patients. PMID: 11841602
- Monitoring of ligand-independent dimerization and ligand-induced conformational changes of melatonin receptors in living cells by bioluminescence resonance energy transfer (melatonin receptor 2) PMID: 11940583
- Melatonin inhibited ERalpha mRNA expression & enhanced induction of pancreatic spasmolytic polypeptide in MT(1)-transfected breast cancer cells, suggesting a role for the MT(1) receptor in melatonin-regulated growth-suppression & gene-modulation. PMID: 12088876
- Expression in cultured skin cells. PMID: 12767050
- Identification of variants in the human melatonin receptor could provide a useful tool for testing the gene in the predisposition to various other melatonin-related disorders and for clarifying the role of melatonin in adolescent idiopathic scoliosis. PMID: 12973153
- the first evidence for the presence of MT1 receptor in human gallbladder epithelia; might be involved in the regulation of gallbladder function PMID: 14675129
- The colocalization of MT1 and CRH suggests that melatonin might directly modulate the hypothalamus-pituitary-adrenal axis in the PVN, which may have implications for stress conditions such as depression PMID: 17072839
- Human osteoblasts expressed melatonin 1a receptor and its expression levels decreased gradually with the age of the hosts. PMID: 17349020
- on the abundant expression of MT1-mRNA in human bone tumors and osteosarcoma cells lines suggest an important role for MT1 in bone pathology PMID: 17645699
- Luzindole also stimulates downregulation of the MT1 receptor protein, interfering with the synthesis and/or degradation of the receptor PMID: 17803522
- Truncation of the C-terminal tail of both receptors (MT(1)Y7.64 and MT(2)Y7.64) inhibited internalization as well as the cAMP response, suggesting the importance of the C-terminal tail in these receptor functions. PMID: 18341518
- MUPP1 binds to the G protein-coupled MT(1) melatonin receptor and directly regulates its G(i)-dependent signal transduction PMID: 18378672
- MTNR1A is the most likely target for epigenetic silencing at 4q35 and to play a pivotal role during oral carcinogenesis. PMID: 18452558
- Promoter polymorphism of the MTNR1A gene was not associated with the occurrence or curve severity of adolescent idiopathic scoliosis. PMID: 18794763
顯示更多
收起更多
-
亞細胞定位:Cell membrane; Multi-pass membrane protein.
-
蛋白家族:G-protein coupled receptor 1 family
-
組織特異性:Expressed in hypophyseal pars tuberalis and hypothalamic suprachiasmatic nuclei (SCN). Hippocampus.
-
數據庫鏈接:
Most popular with customers
-
-
YWHAB Recombinant Monoclonal Antibody
Applications: ELISA, WB, IHC, IF, FC
Species Reactivity: Human, Mouse, Rat
-
Phospho-YAP1 (S127) Recombinant Monoclonal Antibody
Applications: ELISA, WB, IHC
Species Reactivity: Human
-
-
-
-
-















