MTMR4 Antibody
-
中文名稱:MTMR4兔多克隆抗體
-
貨號:CSB-PA947266
-
規格:¥1100
-
圖片:
-
The image on the left is immunohistochemistry of paraffin-embedded Human thyroid cancer tissue using CSB-PA947266(MTMR4 Antibody) at dilution 1/15, on the right is treated with fusion protein. (Original magnification: ×200)
-
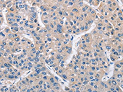
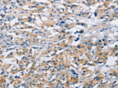
The image on the left is immunohistochemistry of paraffin-embedded Human liver cancer tissue using CSB-PA947266(MTMR4 Antibody) at dilution 1/15, on the right is treated with fusion protein. (Original magnification: ×200)
-
-
其他:
產品詳情
-
Uniprot No.:
-
基因名:
-
別名:FYVE domain containing dual specificity protein phosphatase 2 antibody; FYVE domain-containing dual specificity protein phosphatase 2 antibody; FYVE domain-containing dual specificity protein phosphatase FYVE DSP2 antibody; FYVE-DSP2 antibody; Mtmr4 antibody; MTMR4_HUMAN antibody; Myotubularin related protein 4 antibody; Myotubularin-related protein 4 antibody; ZFYVE11 antibody; zinc finger FYVE domain containing 11 antibody; Zinc finger FYVE domain containing protein 11 antibody; Zinc finger FYVE domain-containing protein 11 antibody
-
宿主:Rabbit
-
反應種屬:Human,Mouse,Rat
-
免疫原:Fusion protein of Human MTMR4
-
免疫原種屬:Homo sapiens (Human)
-
標記方式:Non-conjugated
-
抗體亞型:IgG
-
純化方式:Antigen affinity purification
-
濃度:It differs from different batches. Please contact us to confirm it.
-
保存緩沖液:-20°C, pH7.4 PBS, 0.05% NaN3, 40% Glycerol
-
產品提供形式:Liquid
-
應用范圍:ELISA,IHC
-
推薦稀釋比:
Application Recommended Dilution ELISA 1:1000-1:2000 IHC 1:15-1:50 -
Protocols:
-
儲存條件:Upon receipt, store at -20°C or -80°C. Avoid repeated freeze.
-
貨期:Basically, we can dispatch the products out in 1-3 working days after receiving your orders. Delivery time maybe differs from different purchasing way or location, please kindly consult your local distributors for specific delivery time.
-
用途:For Research Use Only. Not for use in diagnostic or therapeutic procedures.
相關產品
靶點詳情
-
功能:Dephosphorylates proteins phosphorylated on Ser, Thr, and Tyr residues and low molecular weight phosphatase substrate para-nitrophenylphosphate. Phosphorylates phosphatidylinositol 3,4,5-trisphosphate (PIP3).
-
基因功能參考文獻:
- Here the authors demonstrate that green fluorescent protein-tagged MTMR4 is recruited to the Salmonella-containing vacuole and infection of cells depleted of endogenous MTMR4 results in a decrease in viable intracellular Salmonella. PMID: 27625994
- the PH-GRAM domain of human MTMR4 was cloned, overexpressed in Escherichia coli, purified and crystallized by the vapour-diffusion method PMID: 25195910
- MTMR4 is a necessary negative modulator for the homeostasis of BMP/Dpp signaling PMID: 23150675
- MTMR4 localizes at the interface of early and recycling endosomes to regulate trafficking. PMID: 20736309
- MTMR4 belongs to the myotubularin family of phosphoinositides phosphatases PMID: 9736772
- MTMR4 plays an important role in preventing the overactivation of TGFbeta signaling by dephosphorylating activated R-Smads that have been trafficked to early endosomes PMID: 20061380
- Data found that hMTMR4 (human MTMR4) and Nedd4 co-immunoprecipitated and co-localized to late endosomes. PMID: 19125695
顯示更多
收起更多
-
亞細胞定位:Cytoplasm. Membrane; Peripheral membrane protein. Note=Localized to perinuclear region.
-
蛋白家族:Protein-tyrosine phosphatase family, Non-receptor class myotubularin subfamily
-
組織特異性:Expressed in brain, heart, kidney, spleen, liver, colon, testis, muscle, placenta, thyroid gland, pancreas, ovary, prostate, skin, peripheral blood, and bone marrow.
-
數據庫鏈接:
Most popular with customers
-
-
YWHAB Recombinant Monoclonal Antibody
Applications: ELISA, WB, IHC, IF, FC
Species Reactivity: Human, Mouse, Rat
-
Phospho-YAP1 (S127) Recombinant Monoclonal Antibody
Applications: ELISA, WB, IHC
Species Reactivity: Human
-
-
-
-
-















