MTMR14 Antibody
-
中文名稱:MTMR14兔多克隆抗體
-
貨號:CSB-PA847682ESR1HU
-
規格:¥440
-
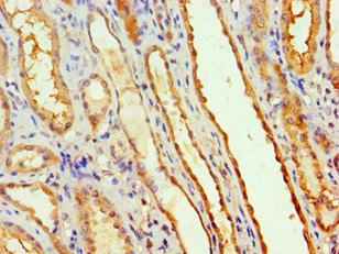
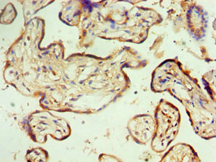
圖片:
-
其他:
產品詳情
-
產品名稱:Rabbit anti-Homo sapiens (Human) MTMR14 Polyclonal antibody
-
Uniprot No.:
-
基因名:
-
別名:C3orf29 antibody; Egg derived tyrosine phosphatase homolog antibody; FLJ11546 antibody; FLJ22405 antibody; FLJ46453 antibody; FLJ90311 antibody; HCV NS5A transactivated protein 4 splice variant A binding protein 1 antibody; HCV NS5A-transactivated protein 4 splice variant A-binding protein 1 antibody; hEDTP antibody; hJumpy antibody; jumpy antibody; MTMR 14 antibody; MTMR14 antibody; MTMRE_HUMAN antibody; Myotubularin related protein 14 antibody; Myotubularin-related protein 14 antibody; NS5ATP4ABP1 antibody
-
宿主:Rabbit
-
反應種屬:Human
-
免疫原:Recombinant Human Myotubularin-related protein 14 protein (1-280AA)
-
免疫原種屬:Homo sapiens (Human)
-
標記方式:Non-conjugated
-
克隆類型:Polyclonal
-
抗體亞型:IgG
-
純化方式:Antigen Affinity Purified
-
濃度:It differs from different batches. Please contact us to confirm it.
-
保存緩沖液:PBS with 0.02% sodium azide, 50% glycerol, pH7.3.
-
產品提供形式:Liquid
-
應用范圍:ELISA, IHC
-
推薦稀釋比:
Application Recommended Dilution IHC 1:20-1:200 -
Protocols:
-
儲存條件:Upon receipt, store at -20°C or -80°C. Avoid repeated freeze.
-
貨期:Basically, we can dispatch the products out in 1-3 working days after receiving your orders. Delivery time maybe differs from different purchasing way or location, please kindly consult your local distributors for specific delivery time.
-
用途:For Research Use Only. Not for use in diagnostic or therapeutic procedures.
相關產品
靶點詳情
-
功能:Lipid phosphatase which efficiently dephosphorylates phosphatidylinositol 3-phosphate (PtdIns3P) and PtdIns(3,5)P2; inactive toward PtdIns4P, PtdIns(3,4)P2, PtdIns(4,5)P2 and PtdIns(3,4,5)P3.
-
基因功能參考文獻:
- This study provides the first in vivo evidence for a role of myotubularins, and in particular MTMR14, in the regulation of autophagy. PMID: 20595810
- The authors uncovered a key negative regulatory role in autophagy of a phosphatidylinositol 3-phosphate (PI3P) phosphatase Jumpy (MTMR14). PMID: 19590496
- Study identified a novel phosphoinositide phosphatase, JUMPY in sporadic cases of centronuclear myopathy; two missense variants that affect the enzymatic function were found PMID: 17008356
- C3orf29 encodes hJUMPY, a phosphoinositide 3-phosphate phosphatase that acts on PtdIns3P and PtdIns(3,5)P2. A missense mutation disrupts the catalytic activity in a patient with centronuclear myopathy. PMID: 17008356
-
相關疾病:Myopathy, centronuclear, 1 (CNM1)
-
亞細胞定位:Cytoplasm. Note=Found in reticular structures and plasma membrane ruffles. Concentrated near the nucleus.
-
蛋白家族:Protein-tyrosine phosphatase family, Non-receptor class myotubularin subfamily
-
組織特異性:Expressed in various tissues, including heart, skeletal muscle, placenta, liver, lung, kidney and pancreas.
-
數據庫鏈接:
Most popular with customers
-
-
YWHAB Recombinant Monoclonal Antibody
Applications: ELISA, WB, IHC, IF, FC
Species Reactivity: Human, Mouse, Rat
-
Phospho-YAP1 (S127) Recombinant Monoclonal Antibody
Applications: ELISA, WB, IHC
Species Reactivity: Human
-
-
-
-
-















