MPC2 Antibody
-
中文名稱:MPC2兔多克隆抗體
-
貨號:CSB-PA002816LA01HU
-
規格:¥440
-
圖片:
-
Western Blot
Positive WB detected in: Mouse kidney tissue
All lanes: MPC2 antibody at 3.4μg/ml
Secondary
Goat polyclonal to rabbit IgG at 1/50000 dilution
Predicted band size: 15 kDa
Observed band size: 15 kDa -
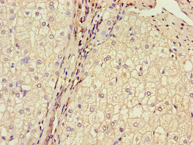
Immunohistochemistry of paraffin-embedded human liver cancer using CSB-PA002816LA01HU at dilution of 1:100
-
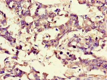
Immunohistochemistry of paraffin-embedded human gastric cancer using CSB-PA002816LA01HU at dilution of 1:100
-
-
其他:
產品詳情
-
產品名稱:Rabbit anti-Homo sapiens (Human) MPC2 Polyclonal antibody
-
Uniprot No.:
-
基因名:MPC2
-
別名:MPC2; BRP44; Mitochondrial pyruvate carrier 2; Brain protein 44
-
宿主:Rabbit
-
反應種屬:Human, Mouse
-
免疫原:Recombinant Human Mitochondrial pyruvate carrier 2 protein (1-40AA)
-
免疫原種屬:Homo sapiens (Human)
-
標記方式:Non-conjugated
本頁面中的產品,MPC2 Antibody (CSB-PA002816LA01HU),的標記方式是Non-conjugated。對于MPC2 Antibody,我們還提供其他標記。見下表:
-
克隆類型:Polyclonal
-
抗體亞型:IgG
-
純化方式:>95%, Protein G purified
-
濃度:It differs from different batches. Please contact us to confirm it.
-
保存緩沖液:Preservative: 0.03% Proclin 300
Constituents: 50% Glycerol, 0.01M PBS, PH 7.4 -
產品提供形式:Liquid
-
應用范圍:ELISA, WB, IHC
-
推薦稀釋比:
Application Recommended Dilution WB 1:1000-1:5000 IHC 1:20-1:200 -
Protocols:
-
儲存條件:Upon receipt, store at -20°C or -80°C. Avoid repeated freeze.
-
貨期:Basically, we can dispatch the products out in 1-3 working days after receiving your orders. Delivery time maybe differs from different purchasing way or location, please kindly consult your local distributors for specific delivery time.
-
用途:For Research Use Only. Not for use in diagnostic or therapeutic procedures.
相關產品
靶點詳情
-
功能:Mediates the uptake of pyruvate into mitochondria.
-
基因功能參考文獻:
- Hypoxia induces lactate secretion and glycolytic efflux by downregulating MPC1/MPC2 levels in HUVEC cells. PMID: 29845198
- Our study indicates that MPC1 and MPC2 expressions are of prognostic values in PCAs and that positive expression of MPC1 or MPC2 is a predictor of favorable outcome. PMID: 27852261
- a significant association between MPC2 variant rs10489202 and Schizophrenia susceptibility in Han Chinese (Meta-Analysis) PMID: 27460766
- Results indicate mitochondrial pyruvate transporter (MPC) to be the key regulatory junction perturbed by virulent strains of Mycobacterium tuberculosis leading to alteration of mitochondrial metabolic flux and regulation of acetyl-CoA formation. PMID: 28263840
- Tumor cells expressing MPC1 and MPC2 display increased mitochondrial pyruvate oxidation, with no changes in cell growth in adherent culture. PMID: 25458841
- found no significant difference (P > 0.05) in either allele or genotype frequency in the SNPs between patients and controls. PMID: 23933155
- characterization of the rat ortholog PMID: 3022128
顯示更多
收起更多
-
亞細胞定位:Mitochondrion inner membrane; Multi-pass membrane protein.
-
蛋白家族:Mitochondrial pyruvate carrier (MPC) (TC 2.A.105) family
-
數據庫鏈接:
Most popular with customers
-
-
YWHAB Recombinant Monoclonal Antibody
Applications: ELISA, WB, IHC, IF, FC
Species Reactivity: Human, Mouse, Rat
-
Phospho-YAP1 (S127) Recombinant Monoclonal Antibody
Applications: ELISA, WB, IHC
Species Reactivity: Human
-
-
-
-
-















