MMP9 Antibody
-
中文名稱:MMP9兔多克隆抗體
-
貨號:CSB-PA255651
-
規格:¥1100
-
圖片:
-
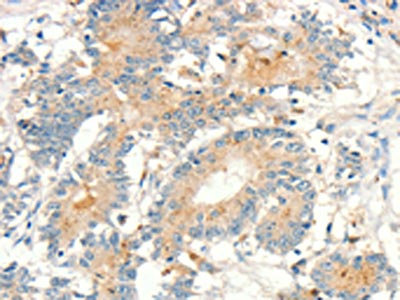
The image on the left is immunohistochemistry of paraffin-embedded Human colon cancer tissue using CSB-PA255651(MMP9 Antibody) at dilution 1/20, on the right is treated with fusion protein. (Original magnification: ×200)
-
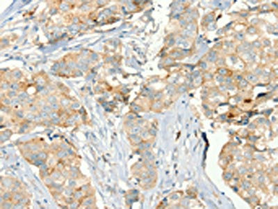
The image on the left is immunohistochemistry of paraffin-embedded Human breast cancer tissue using CSB-PA255651(MMP9 Antibody) at dilution 1/20, on the right is treated with fusion protein. (Original magnification: ×200)
-
-
其他:
產品詳情
-
Uniprot No.:
-
基因名:
-
別名:82 kDa matrix metalloproteinase-9 antibody; 92 kDa gelatinase antibody; 92 kDa type IV collagenase antibody; CLG 4B antibody; CLG4B antibody; Collagenase Type 4 beta antibody; Collagenase type IV 92 KD antibody; EC 3.4.24.35 antibody; Gelatinase 92 KD antibody; Gelatinase B antibody; Gelatinase beta antibody; GelatinaseB antibody; GELB antibody; Macrophage gelatinase antibody; MANDP2 antibody; Matrix metallopeptidase 9 (gelatinase B, 92kDa gelatinase, 92kDa type IV collagenase) antibody; Matrix Metalloproteinase 9 antibody; MMP 9 antibody; MMP-9 antibody; MMP9 antibody; MMP9_HUMAN antibody; Type V collagenase antibody
-
宿主:Rabbit
-
反應種屬:Human
-
免疫原:Fusion protein of Human MMP9
-
免疫原種屬:Homo sapiens (Human)
-
標記方式:Non-conjugated
-
抗體亞型:IgG
-
純化方式:Antigen affinity purification
-
濃度:It differs from different batches. Please contact us to confirm it.
-
保存緩沖液:-20°C, pH7.4 PBS, 0.05% NaN3, 40% Glycerol
-
產品提供形式:Liquid
-
應用范圍:ELISA,IHC
-
推薦稀釋比:
Application Recommended Dilution ELISA 1:1000-1:2000 IHC 1:25-1:100 -
Protocols:
-
儲存條件:Upon receipt, store at -20°C or -80°C. Avoid repeated freeze.
-
貨期:Basically, we can dispatch the products out in 1-3 working days after receiving your orders. Delivery time maybe differs from different purchasing way or location, please kindly consult your local distributors for specific delivery time.
-
用途:For Research Use Only. Not for use in diagnostic or therapeutic procedures.
相關產品
靶點詳情
-
功能:Matrix metalloproteinase that plays an essential role in local proteolysis of the extracellular matrix and in leukocyte migration. Could play a role in bone osteoclastic resorption. Cleaves KiSS1 at a Gly-|-Leu bond. Cleaves NINJ1 to generate the Secreted ninjurin-1 form. Cleaves type IV and type V collagen into large C-terminal three quarter fragments and shorter N-terminal one quarter fragments. Degrades fibronectin but not laminin or Pz-peptide.
-
基因功能參考文獻:
- Cyclic peptides 1, 2, 46 also displayed potential interaction with active residues of MMP9; thus, these cyclic peptides can serve as potential drug candidates to block MMP9 activity and future studies are warranted to confirm their efficacy. PMID: 30226602
- Our findings indicate that monitoring serum MMP-9 and detection of histological MMP-9 could help identify TNBC patients who will respond to NAC and will display varying risks of disease relapse. MMP-9 may serve as a predictive and prognostic biomarker for tailoring and modifying the NAC strategy for TNBC. PMID: 30241470
- significantly increased in the serum of type 2 diabetes mellitus patients with diabetic retinopathy PMID: 29752166
- Study evaluated for the first time the plasma levels and the diagnostic usefulness of VEGF, MMP-9, and TIMP-1 in cervical cancer (CC), not only independently but especially in combination with established cervical tumor markers. All tested parameters showed statistical significance when compared their concentrations in patients with CC to healthy women. PMID: 30037277
- In monocytes, incubation with psoriasis' sera increased the production of MMP-9 and TIMP-1 in comparison with both baseline and monocytes incubated with non-psoriatic sera PMID: 29979898
- High mmp9 expression is associated with Endometrial adenocarcinoma. PMID: 30139240
- There was studied the level of matrix metalloproteinase-9 (MMP-9) in plasma of bone marrow aspirates in 87 patients: 39 with acute myeloid leukemia (AML) and 48 myelodysplastic syndrome (MDS). It has been found out an association of the level of MMP-9 in plasma of bone marrow aspirates in patients with AML and MDS with a volume of leukemic mass. PMID: 30444586
- This study provides the first evidence for the involvement of polymorphisms within MMP9 and the severity of childhood trauma in antipsychotic treatment response PMID: 29448178
- HOXD-AS1 was upregulated in non-small cell lung carcinoma tissues and cell lines and promoted NSCLC cell proliferation, migration invasion via sponging miR-133b and regulating MMP9. PMID: 29958139
- rs3918241, rs2250889, rs17576 and rs17577 polymorphisms of MMP-9 are not associated with altered risk of urinary cancer. PMID: 30249503
- PARP-1, via manipulating the binding of NF-kB/AP-1 at the MMP-9 promoter, regulates MMP-9 expression, which helps maintain mitochondrial homeostasis. PMID: 28478229
- The results suggest that the MMP9 gene may affect genetic predisposition to tick-borne encephalitis in a Russian population. PMID: 29496490
- MMP-9 was targeted by hsa-miR-494, which inhibited OS. PMID: 29068478
- In placenta, a significant positive correlation between MMP-9 and gestational age was noted in the first trimester. When gestational age was controlled for, partial correlation revealed a significant positive correlation between TNF-alpha and MMP-9 only in the second trimester. PMID: 28820024
- Melatonin inhibits epithelialtomesenchymal transition in gastric cancer cells via attenuation of IL1beta/NFkappaB/MMP2/MMP9 signaling. PMID: 30066836
- Data indicate that CD147 promotes breast cancer cell proliferation, metastasis, and invasion by modulating matrix metalloproteinase 9 (MMP-9) and vascular endothelial growth factor (VEGF) expression. PMID: 29901696
- immune system process is indispensable in the progression of disease in colon, and identifies that IL-8 and MMP-9 play potential critical roles for the progression. PMID: 30074183
- The demethylation of the MMP-9 gene promoter region may be involved in the occurrence and development of diabetic nephropathy by regulating the expression of MMP-9 protein in serum. PMID: 29952417
- Patients carrying the variant T allele of the MMP9 rs3918242 polymorphism exhibited significantly higher infarct volumes than those with the major CC genotype. PMID: 30257242
- Increased matrix metalloproteinase-9/tissue inhibitor of metalloproteinase-1 ratio in smokers with airway hyperresponsiveness is associated with accelerated lung function decline. PMID: 29692608
- MMP-9 and TIMP-1 levels are correlated with age, pathological grade, tumor size and lymph node metastasis of breast cancer patients. PMID: 30010105
- When ANXA5 expression increased, cell proliferation was inhibited by regulating the expression of bcl-2 and bax while cell metastasis was suppressed by regulating E-cadherin and MMP-9 expression. PMID: 30010106
- IL-33 can regulate deposition of ECM and promote the process of pulmonary fibrosis by inducing the imbalance between MMP-9 and TIMP-1. PMID: 29417309
- Results show that MMP9 specifically binds to H3K27me1 nucleosomes allowing the cleavage of H3N-terminal tail. PMID: 29807539
- Study shows that rs1056629 polymorphism in the 3'UTR of MMP9 disrupts its binding to miR-491 in pressure ulcer (PU)patients after hip fracture. mRNA and protein expression levels are high in PU specimens. PMID: 29620239
- No association between the carriage of studied MMP9 polymorphisms and the predisposition to preeclampsia was found. PMID: 29670668
- the logistic regression analysis, none of the genes was associated with AOB (anterior open bite). In conclusion, the polymorphism rs17576 (glutamine for arginine substitution) in MMP9 was a protective factor for AOB PMID: 29297546
- Results provide evidence that MMP9 plays critical roles in mesenchymal stem cells high suppressive potency, which also involves the capacity to induce and integrated multiple immunoregulatory mechanisms. PMID: 28408751
- piperine reduced the expression of pAkt, MMP9 and pmTOR. Together, these data indicated that piperine may serve as a promising novel therapeutic agent to better overcome prostate cancer metastasis. PMID: 29488612
- Our study demonstrated that both positive expression status in tumor tissue and expression levels of MMP-9 are significantly elevated in BC patients and correlate with disease progression. Thus, MMP-9 can serve as a biomarker to determine the degree of BC malignancy. PMID: 29578150
- Our findings indicate that overexpression of MMP-9 rescued insulin survival signaling in vitro and in early stages in the 5XFAD model of AD. PMID: 28386117
- Review/Meta-analysis: Matrix metalloproteinase-9 has high predictive value for hemorrhagic transformation after acute ischemic stroke. PMID: 29598905
- The expression of MMP-9 is associated with clinical outcome in chondrosarcoma. PMID: 29316907
- MMP-9 levels in the tumor tissue extracts had also increased significantly PMID: 29520667
- MMP-9 -1562 C/T polymorphism might be related to the digestive cancer susceptibility [meta-analysis] PMID: 29890308
- MMP-9 protein overexpression was found in prostate cancers, low expression in any of the normal tissues or in benign prostatic tissue PMID: 27355218
- Hypoxia promotes retinoblastoma cell line HXO-RB44 invasion by activating HIF-1alpha/MMP9 signaling pathway. PMID: 29243776
- Authors conclude that ADAM8 promotes early metastatic processes such as transendothelial migration by upregulation of MMP-9 and shedding of PSGL-1 from breast cancer cells. PMID: 28986926
- High expression of MMP-9 and TLR4 in patients with COPD may promote inflammatory cell infiltration, induce proliferation of smooth muscle cells, degrade extracellular matrix, and play an important role in lung revascularization. PMID: 28537664
- The data obtained from this study show that mild hypothermia therapy down regulated the expression of MMP-9 mRNA, the MMP-9 protein level and increased the FOUR score and GCS in high-risk TBI patients within 72 h. PMID: 28966304
- High MMP9 expression is associated with cervical cancer. PMID: 30052166
- MMP-9 overexpression and activation are important events occurring during oral squamous cell carcinoma progression/invasion and that this overexpression/activation is regulated by c-Myc, active MMP-2 and inactive GSK3beta mediated pathways. PMID: 29134466
- Plasma concentration of MMP9 demonstrated no associations with stroke occurrence in a West African cohort. PMID: 29074065
- High mmp9 expression is associated with ovarian cancer cell migration and invasion. PMID: 28677781
- no significant difference was detected in the expression level of individual MMP9 and TIMP1 genes in SCZ patients versus healthy controls either in total numbers of subject or in sex based subgroups PMID: 28578515
- Data suggest that MIR129 or MIR335 overexpression in keratinocytes inhibits MMP9 promoter activity and protein expression by targeting SP1; inhibition of these microRNAs has the opposite effect. These mechanisms may be involved in regulation of wound healing. (MIR = microRNA; MMP9 = matrix metalloproteinase-9; SP1 = transcription factor-SP1) PMID: 29748291
- Significant association observed for MMP-9 (-1562C/T) (OR 1.27; 95% CI 1.06 to 1.53) gene polymorphism and risk of ischemic stroke. [meta-analysis] PMID: 29906531
- MMP-9 activity increases postpartum. Women experiencing uncomplicated vaginal delivery demonstrate higher postpartum MMP-9 activity and are more likely to have recovered their vaginal angle. PMID: 29155140
- Results show that MMP9 degrades MMRN2 allowing endothelial cells migration and sprouting angiogenesis. PMID: 28435016
- The findings suggest that AEG-1 promotes gastric cancer metastasis through upregulation of eIF4E-mediated MMP-9 and Twist. PMID: 28661037
顯示更多
收起更多
-
相關疾病:Intervertebral disc disease (IDD); Metaphyseal anadysplasia 2 (MANDP2)
-
亞細胞定位:Secreted, extracellular space, extracellular matrix.
-
蛋白家族:Peptidase M10A family
-
組織特異性:Detected in neutrophils (at protein level). Produced by normal alveolar macrophages and granulocytes.
-
數據庫鏈接:
Most popular with customers
-
-
YWHAB Recombinant Monoclonal Antibody
Applications: ELISA, WB, IHC, IF, FC
Species Reactivity: Human, Mouse, Rat
-
Phospho-YAP1 (S127) Recombinant Monoclonal Antibody
Applications: ELISA, WB, IHC
Species Reactivity: Human
-
-
-
-
-















