-
中文名稱:MFSD2A兔多克隆抗體
-
貨號:CSB-PA196650
-
規格:¥1100
-
圖片:
-
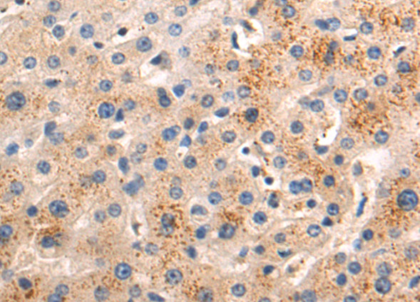
The image on the left is immunohistochemistry of paraffin-embedded Human liver cancer tissue using CSB-PA196650 (MFSD2A Antibody) at dilution 1/50, on the right is treated with synthetic peptide. (Original magnification: ×200)
-
Gel: 8%SDS-PAGE, Lysate: 40 μg, Lane: Human placenta tissue lysate, Primary antibody: CSB-PA196650 (MFSD2A Antibody) at dilution 1/500, Secondary antibody: D110058(HRP-conjugated Goat anti rabbit IgG) at 1/5000 dilution, Exposure time: 1 minute
-
-
其他:
產品詳情
-
Uniprot No.:
-
基因名:MFSD2A
-
別名:1700018O18Rik antibody; FLJ14490 antibody; FLJ35904 antibody; Major facilitator superfamily domain containing 2 antibody; Major facilitator superfamily domain containing 2A antibody; Major facilitator superfamily domain-containing protein 2A antibody; MFS2A_HUMAN antibody; MFSD2 antibody; MFSD2A antibody; RGD1310174 antibody; RP23-121J14.3 antibody
-
宿主:Rabbit
-
反應種屬:Human
-
免疫原:Synthetic peptide of Human MFSD2A
-
免疫原種屬:Homo sapiens (Human)
-
標記方式:Non-conjugated
-
抗體亞型:IgG
-
純化方式:Antigen affinity purification
-
濃度:It differs from different batches. Please contact us to confirm it.
-
保存緩沖液:-20°C, pH7.4 PBS, 0.05% NaN3, 40% Glycerol
-
產品提供形式:Liquid
-
應用范圍:ELISA, WB, IHC
-
推薦稀釋比:
Application Recommended Dilution ELISA 1:1000-1:2000 WB 1:500-1:2000 IHC 1:25-1:100 -
Protocols:
-
儲存條件:Upon receipt, store at -20°C or -80°C. Avoid repeated freeze.
-
貨期:Basically, we can dispatch the products out in 1-3 working days after receiving your orders. Delivery time maybe differs from different purchasing way or location, please kindly consult your local distributors for specific delivery time.
-
用途:For Research Use Only. Not for use in diagnostic or therapeutic procedures.
引用文獻
- Brain endothelial PTEN/AKT/NEDD4-2/MFSD2A axis regulates blood-brain barrier permeability Y Cui,Cell Reports,2021
相關產品
靶點詳情
-
功能:Sodium-dependent lysophosphatidylcholine (LPC) symporter, which plays an essential role for blood-brain barrier formation and function. Specifically expressed in endothelium of the blood-brain barrier of micro-vessels and transports LPC into the brain. Transport of LPC is essential because it constitutes the major mechanism by which docosahexaenoic acid (DHA), an omega-3 fatty acid that is essential for normal brain growth and cognitive function, enters the brain. Transports LPC carrying long-chain fatty acids such LPC oleate and LPC palmitate with a minimum acyl chain length of 14 carbons. Does not transport docosahexaenoic acid in unesterified fatty acid. Specifically required for blood-brain barrier formation and function, probably by mediating lipid transport. Not required for central nervous system vascular morphogenesis. Acts as a transporter for tunicamycin, an inhibitor of asparagine-linked glycosylation. In placenta, acts as a receptor for ERVFRD-1/syncytin-2 and is required for trophoblast fusion.
-
基因功能參考文獻:
- In offspring of women with gestational diabetes mellitus treated either with diet or insulin, higher fetal fat accretion and lower placental MFSD2a contribute to reduce docosahexaenoic acid availability. PMID: 26869380
- Levels of DHA-derived epoxides are lower in colon tissues from patients with ulcerative colitis than healthy and resolving mucosa. Production of these metabolites by gut endothelium requires MFSD2A; endothelial progenitor cells that overexpress MFSD2A reduce colitis in mice. PMID: 28827082
- The regulatory role of Mfsd2a deepens our knowledge of the function of the BBB, potentially contributing to the effective drug delivery in the treatments for neurodegenerative diseases, brain tumors, and life-threatening infections in the CNS PMID: 26747400
- MFSD2A transported structurally related acylcarnitines but not a lysolipid without a negative charge, demonstrating the necessity of a negatively charged headgroup interaction with Lys-436 for transport. PMID: 26945070
- A homozygous mutation affecting a highly conserved MFSD2A residue (p.Ser339Leu) is associated with a progressive microcephaly syndrome characterized by intellectual disability, spasticity and absent speech. PMID: 26005865
- MFSD2A mutations impair brain lipid transport activity. PMID: 26005868
- Several tagging SNPs and haplotypes in TRIT1, MYCL1 and MFSD2A region are significantly associated with risk and clinicopathological features of gastric cancer in a Chinese population. PMID: 23349019
- Importance of MFSD2a in trophoblast fusion and placenta development. PMID: 23177091
- SNP rs12072037 modulates MFSD2A promoter activity and thus might affect MFSD2A levels in normal lung and in lung tumors. PMID: 21736709
- MFSD2A is a putative Tunicamycin transporter at the plasma membrane. PMID: 21677192
- MFSD2A is a novel lung cancer tumor suppressor gene that regulates cell cycle progression and matrix attachment. PMID: 20236515
- three additional SNPs in the MFSD2 genes showed ethnic differences in allelic frequencies PMID: 17145094
- Results identify Mfsd2a (major facilitator superfamily domain-containing protein 2a) and an additional closely related protein Mfsd2b, and suggest that Mfsd2a plays a role in adaptive thermogenesis. PMID: 18694395
- MFSD2 is a placenta-specific receptor for the fusogenic, endogenous retrovirus-derived, human syncytin-2, and plays a role in placenta morphogenesis. PMID: 18988732
顯示更多
收起更多
-
相關疾病:Microcephaly 15, primary, autosomal recessive (MCPH15)
-
亞細胞定位:Cell membrane; Multi-pass membrane protein. Endoplasmic reticulum membrane; Multi-pass membrane protein.
-
蛋白家族:Major facilitator superfamily
-
組織特異性:In placenta, associated with trophoblast cells.
-
數據庫鏈接:
Most popular with customers
-
-
YWHAB Recombinant Monoclonal Antibody
Applications: ELISA, WB, IHC, IF, FC
Species Reactivity: Human, Mouse, Rat
-
-
-
-
-
-















