MEIS1 Antibody
-
中文名稱:MEIS1兔多克隆抗體
-
貨號:CSB-PA013686HA01HU
-
規格:¥440
-
圖片:
-
Western Blot
Positive WB detected in: Jurkat whole cell lysate, K562 whole cell lysate, Mouse skeletal muscle tissue
All lanes: MEIS1 antibody at 2.8μg/ml
Secondary
Goat polyclonal to rabbit IgG at 1/50000 dilution
Predicted band size: 44, 51 kDa
Observed band size: 44 kDa -
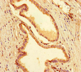
Immunohistochemistry of paraffin-embedded human prostate cancer using CSB-PA013686HA01HU at dilution of 1:100
-
Immunoprecipitating MEIS1 in K562 whole cell lysate
Lane 1: Rabbit control IgG (1μg) instead of CSB-PA013686HA01HU in K562 whole cell lysate. For western blotting, a HRP-conjugated Protein G antibody was used as the secondary antibody (1/50000)
Lane 2: CSB-PA013686HA01HU (4μg) + K562 whole cell lysate (500μg)
Lane 3: K562 whole cell lysate (20μg)
-
-
其他:
產品詳情
-
產品描述:
The CSB-PA013686HA01HU polyclonal antibody targeting MEIS1 was generated in rabbits through immunization with recombinant human Meis1 protein comprising amino acids 1-90. MEIS1 is a transcription factor with crucial roles in embryonic development and hematopoiesis, which is the process of blood cell formation. It controls gene expression, enabling the activation or repression of specific genes, and is essential for maintaining normal cellular processes such as differentiation, proliferation, and survival.
This MEIS1 antibody has been tested in ELISA, WB, IHC, and IP applications and is purified through protein G to achieve a purity level of up to 95%. It reacts with both human and mouse MEIS1 proteins.
-
產品名稱:Rabbit anti-Homo sapiens (Human) MEIS1 Polyclonal antibody
-
Uniprot No.:
-
基因名:
-
別名:Homeo box protein Meis1 antibody; Homeobox protein Meis1 antibody; Leukemogenic homolog protein antibody; MEIS 1 antibody; Meis homeo box 1 antibody; Meis homeobox 1 antibody; Meis1 antibody; Meis1 mouse homolog antibody; Meis1 myeloid ecotropic viral integration site 1 homolog antibody; Meis1 myeloid ecotropic viral integration site 1 homolog mouse antibody; MEIS1 protein antibody; MEIS1_HUMAN antibody; MGC43380 antibody; Myeloid ecotropic viral integration site 1 homolog antibody; WUGSC:H NH0444B04.1 antibody
-
宿主:Rabbit
-
反應種屬:Human, Mouse
-
免疫原:Recombinant Human Homeobox protein Meis1 protein (1-90AA)
-
免疫原種屬:Homo sapiens (Human)
-
標記方式:Non-conjugated
本頁面中的產品,MEIS1 Antibody (CSB-PA013686HA01HU),的標記方式是Non-conjugated。對于MEIS1 Antibody,我們還提供其他標記。見下表:
-
克隆類型:Polyclonal
-
抗體亞型:IgG
-
純化方式:>95%, Protein G purified
-
濃度:It differs from different batches. Please contact us to confirm it.
-
保存緩沖液:Preservative: 0.03% Proclin 300
Constituents: 50% Glycerol, 0.01M PBS, PH 7.4 -
產品提供形式:Liquid
-
應用范圍:ELISA, WB, IHC, IP
-
推薦稀釋比:
Application Recommended Dilution WB 1:2000-1:10000 IHC 1:20-1:200 IP 1:200-1:2000 -
Protocols:
-
儲存條件:Upon receipt, store at -20°C or -80°C. Avoid repeated freeze.
-
貨期:Basically, we can dispatch the products out in 1-3 working days after receiving your orders. Delivery time maybe differs from different purchasing way or location, please kindly consult your local distributors for specific delivery time.
-
用途:For Research Use Only. Not for use in diagnostic or therapeutic procedures.
相關產品
靶點詳情
-
功能:Acts as a transcriptional regulator of PAX6. Acts as a transcriptional activator of PF4 in complex with PBX1 or PBX2. Required for hematopoiesis, megakaryocyte lineage development and vascular patterning. May function as a cofactor for HOXA7 and HOXA9 in the induction of myeloid leukemias.
-
基因功能參考文獻:
- Our results showed that MEIS1 may have a negative role in regulation of MAML1expression during the esophageal squamous cell carcinoma progression. PMID: 28462489
- By investigating the role of MEIS1 in ccRCC cells' survival, proliferation, anchorage-independent growth, cell cycle progress, apoptosis and metastasis, in the present work, we propose that MEIS1 may play an important role in clear cell renal cell carcinoma (ccRCC) development. PMID: 28270206
- Conclusions MEIS1 variants were associated with an increased risk of RLS in migraine patients. It is possible that an imbalance in iron homeostasis and the dopaminergic system may represent a link between RLS incidence and migraines. PMID: 26643377
- We speculate that ACTR2 and MEIS1 might respectively play a role in the pathogenesis of the observed deafness and cardiomyopathy...the patient carrying a 2p14p15 deletion including OTX1 had normal kidneys and genitalia, thus confirming that OTX1 haploinsufficiency is not invariably associated with genitourinary defects. PMID: 28599093
- results reveal that MEIS1, through induction of SYTL1, promotes leukemogenesis and supports leukemic cell homing and engraftment, facilitating interactions between leukemic cells and bone marrow stroma. PMID: 27018596
- Meis1 regulates expression and activation of Syk in Hoxa9-driven leukemia. PMID: 28399410
- Here we present the result of a 4-stage genome-wide association study composed of 5,953 adolescent idiopathic scoliosis patients and 8,137 controls. Overall, we identified three novel susceptible loci including rs7593846 at 2p14 near MEIS1 , rs7633294 at 3p14.1 near MAGI1 and rs9810566 at 3q26.2 near TNIK PMID: 28334814
- Results show that Meis1 may have a positive feedback with Msi1 during the esophageal squamous cell carcinoma progression. PMID: 27142513
- Meis1 functions as an important regulator during the progression of acute myeloid leukemia. PMID: 28054140
- MEIS1 drivesMalignant peripheral nerve sheath tumors cell growth via the transcription factor ID1, thereby suppressing expression of the cell cycle inhibitor p27(Kip) and maintaining cell survival. PMID: 27333032
- it was observed that ER stimulated gene expression by interacting with MEIS1 and FOXP3, and ER inhibited gene expression by interacting with THRB and GRHL1. PMID: 27035558
- this is the first report on the MEIS1 gene in esophageal squamous cell carcinoma PMID: 26314854
- Infant patients with acute lymphoblastic leukemia expressing low levels of MEIS1 had a superior outcome over patients expressing high levels of the protein. PMID: 26681762
- Our findings confirm an association between the BTBD9, MEIS1, and MAP2K5/SKOR1 SNPs and periodic limb movements of sleep in an elderly cohort. PMID: 26498236
- It was observed that RE-IIBP induces MEIS1-mediated apoptosis, which was dependent on H2BK120 ubiquitination by RNF20. PMID: 26206755
- Studies implicate PBX3/MEIS1 interaction as a driver of cell transformation and leukemogenesis, and that this axis may play a critical role in the regulation of the core transcriptional programs activated in MLL-rearranged and HOX-overexpressing AML. PMID: 26747896
- The NK AML patients with NPM1 mutations exhibited elevated HOXA4 methylation and expression levels of HOXA5 and MEIS1 compared with the NPM1 wildtype patients. PMID: 25585874
- Pbx3 contributes to Hoxa9 leukemogenesis through stabilization of the Meis1 protein. PMID: 26130510
- HOXA9 and MEIS1 overexpression are inversely correlated with relapse and overall survival, so the genes could become useful predictive markers of the clinical course of pediatric acute leukemias. PMID: 26059450
- Data indicate that Meis homeobox 1 (MEIS1) knockdown by lentiviral-shRNA significantly inhibited the growth in leukemia cell lines. PMID: 25740828
- MEIS1 expression induces lineage commitment towards a megakaryocyte-erythroid progenitor cell fate in common myeloid progenitor cells through activation of genes that define a megakaryocyte-erythroid-specific gene expression program. PMID: 25107888
- Periodic leg movements during sleep are associated with polymorphisms in BTBD9, TOX3/BC034767, MEIS1, MAP2K5/SKOR1, and PTPRD PMID: 25142570
- MEIS1 is likely a key mediator between sex steroid and genes for uterine receptivity. Diminished endometrium MEIS1 expression may contribute to implantation failure in endometriosis. PMID: 24985084
- statistically significantly lower expression of miR-204 in all nephroblastomas investigated might point to an involvement of miR-204 in the regulation of MEIS1 in nephroblastomas PMID: 24617557
- data link MEIS1 loss of function to the etiopathology of RLS, highlight how combined sequencing and systematic functional annotation of rare variation at GWAS loci can detect risk burden PMID: 24995868
- BRAF p.V600E colon tumors showed significant MEIS1 promoter methylation, which was associated with decreased MEIS1 gene expression. PMID: 24244575
- MEIS1 in hematopoiesis and contributes to its aberrant expression in acute leukemia PMID: 24022755
- Hoxa7, Hoxa9 and Hox cofactor Meis1 were identified as AP-2alpha target genes, which are involved in myeloid leukemogenesis. PMID: 23660297
- [review] It is possible that Meis1 contributes to the quiescent state of adult cardiomyocytes by regulating redox homeostasis. PMID: 23868827
- Data indicate that dynamin 3 (DNM3) harbors MEIS1 binding sites and is associated with differences in mean platelet volume (MPV). PMID: 22972982
- up-regulation of MEIS1 is important for sustaining proliferation of leukemic cells and that down-regulation of MEIS1 PMID: 22185299
- findings show that HOXA9 and MEIS1 are direct targets of miRNA-196b, a microRNA located adjacent to and co-expressed with HOXA9, in MLL-rearranged leukaemic cells PMID: 22353710
- the cellular context in which HOX/MEIS1 is overexpressed appears to be very important, and other relevant genes are most likely required as well to maintain the expanding capacity of the CD34thorn NPMcthorn acute myeloid leukemia cells PMID: 21986840
- Data show that MEIS1D, a Meis1 isoform, is expressed in colon. PMID: 21858198
- Variants in MEIS1, BTBD9, and MAP2K5/SKOR1 confer a significant risk of restless legs syndrome in a United States population. PMID: 21925394
- In the German sample, variants in MEIS1 and BTBD9 were associated with Restless legs syndrome in end stage renal disease PMID: 21572129
- These findings indicate that Meis1 works as a transcription factor for mitochondrial genes in pancreatic cancer cells. PMID: 21703237
- A link is established between the restless legs syndrome-associated MEIS1 gene and iron metabolism. PMID: 21710629
- Several targets of MLL fusions, MEIS1, HOXA7, HOXA9, and HOXA10 are functionally related and have been implicated in leukemias. Each of the four genes was knocked down separately in the precursor B-cell leukemic line RS4;11 expressing MLL-AF4. PMID: 21518888
- Screening of the coding regions of MEIS1 in patients with RLS revealed 3 novel variants. PMID: 21422461
- ETS transcription factor ELF1 is an important positive regulator of MEIS1 expression PMID: 20600580
- GSK-3 maintains the MLL leukemia stem cell transcriptional program by promoting the conditional association of CREB and its coactivators TORC and CBP with homedomain protein MEIS1, which in turn facilitates HOX-mediated transcription and transformation. PMID: 20541704
- co-operation between TLX1 and MEIS proteins may have a significant role in T-cell leukemogenesis. PMID: 19559479
- Data demonstrated that overexpressed PBX1 and MEIS1 increased endogenous SOX3 protein expression in both uninduced and RA-induced NT2/D1 cells. PMID: 19799567
- these studies demonstrate that the homeodomain proteins, MEIS1, PBX1B, and PBX2, play an important role in megakaryocytic gene expression PMID: 12609849
- Hoxa9 and Hoxa7 as well as the Hox coregulators Meis1 and Pbx3 among the targets upregulated by MLL-ENL-ERtm in conditionally transformed cells PMID: 14701735
- Data report novel nucleoporin 98 fusions with homeobox (HOX)A10, HOXB3 and HOXB4, and describe the results of coexpression of these proteins with the Hox cofactor Meis1 in leukemic induction. PMID: 14966272
- found a constant downregulation of the Meis 1 gene mRNA in AML1-ETO acute myeloid leukemias and in those cases harboring in frame mutations in the bZIP domain of CEBPalpha PMID: 15103390
- suggest that MLL aberrations may regulate MEIS1 and HOXA9 gene expression in ALL-derived cell lines, while AML-derived cell lines express these genes independently of the MLL status PMID: 15160920
- advantage to Meis1-HoxA9 coexpressing cells in vivo, leading to leukemogenesis. PMID: 15479723
顯示更多
收起更多
-
相關疾病:Restless legs syndrome 7 (RLS7)
-
亞細胞定位:Nucleus.
-
蛋白家族:TALE/MEIS homeobox family
-
組織特異性:Expressed at low level in normal immunohepatopoietic tissues, including the fetal liver. Expressed in a subset of myeloid leukemia cell lines, with the highest expression seen in those with a megakaryocytic-erythroid phenotype. Also expressed at high leve
-
數據庫鏈接:
Most popular with customers
-
-
YWHAB Recombinant Monoclonal Antibody
Applications: ELISA, WB, IHC, IF, FC
Species Reactivity: Human, Mouse, Rat
-
Phospho-YAP1 (S127) Recombinant Monoclonal Antibody
Applications: ELISA, WB, IHC
Species Reactivity: Human
-
-
-
-
-















