-
中文名稱:MAPK3兔多克隆抗體
-
貨號:CSB-PA013456LA01HU
-
規格:¥440
-
圖片:
-
Western Blot
Positive WB detected in: Rat brain tissue, Mouse brain tissue
All lanes: MAPK3 antibody at 3µg/ml
Secondary
Goat polyclonal to rabbit IgG at 1/50000 dilution
Predicted band size: 44, 39, 41 kDa
Observed band size: 44 kDa -
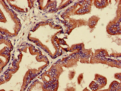
IHC image of CSB-PA013456LA01HU diluted at 1:600 and staining in paraffin-embedded human prostate cancer performed on a Leica BondTM system. After dewaxing and hydration, antigen retrieval was mediated by high pressure in a citrate buffer (pH 6.0). Section was blocked with 10% normal goat serum 30min at RT. Then primary antibody (1% BSA) was incubated at 4°C overnight. The primary is detected by a biotinylated secondary antibody and visualized using an HRP conjugated SP system.
-
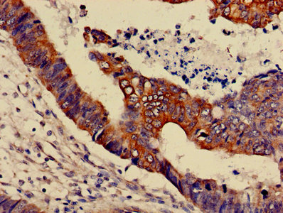
IHC image of CSB-PA013456LA01HU diluted at 1:600 and staining in paraffin-embedded human colon cancer performed on a Leica BondTM system. After dewaxing and hydration, antigen retrieval was mediated by high pressure in a citrate buffer (pH 6.0). Section was blocked with 10% normal goat serum 30min at RT. Then primary antibody (1% BSA) was incubated at 4°C overnight. The primary is detected by a biotinylated secondary antibody and visualized using an HRP conjugated SP system.
-
Immunofluorescence staining of HepG2 cells with CSB-PA013456LA01HU at 1:200, counter-stained with DAPI. The cells were fixed in 4% formaldehyde, permeabilized using 0.2% Triton X-100 and blocked in 10% normal Goat Serum. The cells were then incubated with the antibody overnight at 4°C. The secondary antibody was Alexa Fluor 488-congugated AffiniPure Goat Anti-Rabbit IgG(H+L).
-
-
其他:
產品詳情
-
產品名稱:Rabbit anti-Homo sapiens (Human) MAPK3 Polyclonal antibody
-
Uniprot No.:
-
基因名:
-
別名:ERK 1 antibody; ERK-1 antibody; ERK1 antibody; ERT 2 antibody; ERT2 antibody; Extracellular Signal Regulated Kinase 1 antibody; Extracellular signal related kinase 1 antibody; Extracellular signal-regulated kinase 1 antibody; HGNC6877 antibody; HS44KDAP antibody; HUMKER1A antibody; Insulin Stimulated MAP2 Kinase antibody; Insulin-stimulated MAP2 kinase antibody; MAP kinase 1 antibody; MAP kinase 3 antibody; MAP Kinase antibody; MAP kinase isoform p44 antibody; MAPK 1 antibody; MAPK 3 antibody; MAPK antibody; MAPK1 antibody; Mapk3 antibody; MGC20180 antibody; Microtubule Associated Protein 2 Kinase antibody; Microtubule-associated protein 2 kinase antibody; Mitogen Activated Protein Kinase 3 antibody; Mitogen-activated protein kinase 1 antibody; Mitogen-activated protein kinase 3 antibody; MK03_HUMAN antibody; OTTHUMP00000174538 antibody; OTTHUMP00000174541 antibody; p44 ERK1 antibody; p44 MAPK antibody; p44-ERK1 antibody; p44-MAPK antibody; P44ERK1 antibody; P44MAPK antibody; PRKM 3 antibody; PRKM3 antibody; Protein Kinase Mitogen Activated 3 antibody
-
宿主:Rabbit
-
反應種屬:Human, Mouse, Rat
-
免疫原:Recombinant Human Mitogen-activated protein kinase 3 protein (11-379AA)
-
免疫原種屬:Homo sapiens (Human)
-
標記方式:Non-conjugated
本頁面中的產品,MAPK3 Antibody (CSB-PA013456LA01HU),的標記方式是Non-conjugated。對于MAPK3 Antibody,我們還提供其他標記。見下表:
-
克隆類型:Polyclonal
-
抗體亞型:IgG
-
純化方式:>95%, Protein G purified
-
濃度:It differs from different batches. Please contact us to confirm it.
-
保存緩沖液:Preservative: 0.03% Proclin 300
Constituents: 50% Glycerol, 0.01M PBS, PH 7.4 -
產品提供形式:Liquid
-
應用范圍:ELISA, WB, IHC, IF
-
推薦稀釋比:
Application Recommended Dilution WB 1:500-1:5000 IHC 1:500-1:1000 IF 1:200-1:500 -
Protocols:
-
儲存條件:Upon receipt, store at -20°C or -80°C. Avoid repeated freeze.
-
貨期:Basically, we can dispatch the products out in 1-3 working days after receiving your orders. Delivery time maybe differs from different purchasing way or location, please kindly consult your local distributors for specific delivery time.
-
用途:For Research Use Only. Not for use in diagnostic or therapeutic procedures.
引用文獻
- The IL-6/p-BTK/p-ERK signaling mediates the calcium phosphate?induced pruritus Keshari S, et al,Faseb Journal,2019
相關產品
靶點詳情
-
功能:Serine/threonine kinase which acts as an essential component of the MAP kinase signal transduction pathway. MAPK1/ERK2 and MAPK3/ERK1 are the 2 MAPKs which play an important role in the MAPK/ERK cascade. They participate also in a signaling cascade initiated by activated KIT and KITLG/SCF. Depending on the cellular context, the MAPK/ERK cascade mediates diverse biological functions such as cell growth, adhesion, survival and differentiation through the regulation of transcription, translation, cytoskeletal rearrangements. The MAPK/ERK cascade plays also a role in initiation and regulation of meiosis, mitosis, and postmitotic functions in differentiated cells by phosphorylating a number of transcription factors. About 160 substrates have already been discovered for ERKs. Many of these substrates are localized in the nucleus, and seem to participate in the regulation of transcription upon stimulation. However, other substrates are found in the cytosol as well as in other cellular organelles, and those are responsible for processes such as translation, mitosis and apoptosis. Moreover, the MAPK/ERK cascade is also involved in the regulation of the endosomal dynamics, including lysosome processing and endosome cycling through the perinuclear recycling compartment (PNRC); as well as in the fragmentation of the Golgi apparatus during mitosis. The substrates include transcription factors (such as ATF2, BCL6, ELK1, ERF, FOS, HSF4 or SPZ1), cytoskeletal elements (such as CANX, CTTN, GJA1, MAP2, MAPT, PXN, SORBS3 or STMN1), regulators of apoptosis (such as BAD, BTG2, CASP9, DAPK1, IER3, MCL1 or PPARG), regulators of translation (such as EIF4EBP1) and a variety of other signaling-related molecules (like ARHGEF2, FRS2 or GRB10). Protein kinases (such as RAF1, RPS6KA1/RSK1, RPS6KA3/RSK2, RPS6KA2/RSK3, RPS6KA6/RSK4, SYK, MKNK1/MNK1, MKNK2/MNK2, RPS6KA5/MSK1, RPS6KA4/MSK2, MAPKAPK3 or MAPKAPK5) and phosphatases (such as DUSP1, DUSP4, DUSP6 or DUSP16) are other substrates which enable the propagation the MAPK/ERK signal to additional cytosolic and nuclear targets, thereby extending the specificity of the cascade.
-
基因功能參考文獻:
- Data suggest that Thr264 in TRPV3 is key ERK1 phosphorylation site mediating EGFR-induced sensitization of TRPV3 to stimulate signaling pathways involved in regulating skin homeostasis. (TRPV3 = transient receptor potential cation channel subfamily V member-3; ERK1 = extracellular signal-regulated kinase-1; EGFR = epidermal growth factor receptor) PMID: 29084846
- RASSF7 promotes cell proliferation through activating MEK1/MEK2-ERK1/ERK2 signaling pathway in hepatocellular carcinoma. PMID: 29729697
- ERK1 Directly Interacts With JNK1 Leading to Regulation of JNK1/c-Jun Activity and Cell Transformation. PMID: 28106280
- the D domain of LRRC4 anchors ERK1/2 in the cytoplasm and competitively inhibits MEK/ERK activation in glioma cells. PMID: 27884160
- High ERK1 expression is associated with castration-resistant prostate cancer. PMID: 28844715
- The antitumor activity of scopoletin may be due to its strong anti-angiogenic effect, which may be mediated by its effective inhibition of ERK1, VEGF-A, and FGF-2. PMID: 27133199
- High ERK1 expression is associated with melanoma. PMID: 28193911
- findings uncover a role of ERK1 in the regulation of furin activity by supporting a self-sustaining loop for high TGF-beta activity in glioma-initiating cells. PMID: 28484053
- ERK1 phosphorylation is mediated by Src and Csk. PMID: 26234813
- Integrin beta1 appears to serve as a partner of Stathmin induction of ERK and Akt signaling by inhibiting apoptosis in the cholangiocarcinoma cell. PMID: 28178656
- High ERK1 expression is associated with gastric cancer. PMID: 27601158
- Data indicate three biomarkers mitogen-activated protein kinase 3 (MAPK3), BCL2 apoptosis regulator (BCL2) and proto-oncogene c-Akt (AKT1) as potential predictors of neurological outcome following cardiac arrest (CA). PMID: 28147324
- Inhibiting miR-21 attenuates hepatic fibrosis by suppressing both the ERK1 in hepatic stellate cells and epithelial-mesenchymal transition of hepatocyte. PMID: 27226339
- High ERK1 expression is associated with paclitaxel resistance in cervical cancer. PMID: 26810068
- High ERK1 expression is Associated with Nucleus Pulposus Cells' Degeneration. PMID: 27635110
- Low expression of ERK is associated with resistance to sorafenib in liver cancer. PMID: 26711788
- Increased ERK1 expression is associated with drug resistance in neoplasms. PMID: 26715278
- The activation of ERK1 by MEK1, subsequent slower phosphorylation of the flanking sites results in inhibition of the kinase. Because the T207 and Y210 phosphosites of ERK1 are highly conserved within the eukaryotic protein kinase family, hyperphosphorylation within the kinase activation T-loop may serve as a general mechanism for protein kinase down-regulation after initial activation by their upstream kinases. PMID: 26823016
- Over-expressed TWIST associates with markers of epithelial mesenchymal transition and predicts poor prognosis in breast cancers via ERK and AKT activation. PMID: 26295469
- p44/42, a known apoptosis-promoting regulator and caspase 3 activator, was increased in brain tumor cells treated with violacein PMID: 25816226
- miR-155 plays an important role in regulating the pathological network involving EMT process and ERK1 pathway during hepatic stellate cell activation. PMID: 25142507
- This study identified and confirmed MAPK3 protein changes within the postsynaptic density in schizophrenia PMID: 25048004
- Sphingosine-1-phosphate promotes extravillous trophoblast cell invasion by activating MEK/ERK/MMP-2 signaling pathways via S1P/S1PR1 axis activation. PMID: 25188412
- Results show that miR-483-5p expression level is up-regulated in polycystic ovary syndrome patients and inversely correlated with notch3 and MAPk3 levels and that Notch3 and MAPK3 are the direct targets of MIR483. PMID: 25622783
- SKLB-M8 inhibited HUVEC proliferation, migration, invasion, and tube formation in vitro with the inhibition of phosphorylated ERK1/2. PMID: 25341684
- Therefore, the positivity of p-ERK1/2 expression may serve as a vital biomarker in the development of non-small cell lung cancer PMID: 25596700
- Low ERK1 expression is associated with hormone resistance in breast cancer. PMID: 25085753
- Therefore, our study demonstrates that MAPK members (ERK1/2 and JNK) play a key role in CCR7 regulating SCCHN metastasis PMID: 25270024
- High phosphorylated ERK1 is associated with low response to chemotherapy in nonsmall-cell lung carcinoma. PMID: 25449334
- These results therefore indicate that p53-mediated up-regulation of MKP-3 contributes to the establishment of the senescent cellular phenotype through dephosphorylating ERK1/2 PMID: 25414256
- ERK1/2 signal induced MNK catalytic activity enabled enterovirus type 1 internal ribosomal entry site-mediated translation/host cell cytotoxicity through negative regulation of the Ser/Arg (SR)-rich protein kinase (SRPK). PMID: 25187541
- ERK, AKT, and GSK-3beta have roles in boldine-induced cell cycle arrest and apoptosis in T24 human bladder cancer cell line PMID: 24239461
- Insulin-induced apoptotic commitment depended on the down-regulation of Erk-1, insulin growth factor-1 receptor (IGF-1R), and fibroblast growth factor receptor-1 (FGFR-1)-mediated signaling. PMID: 24818995
- Enhanced t-ERK1 expression in infiltrating lymphoid cells was significantly associated with female gender, absence of vascular and perineural invasion, lymph node metastases and early depth of invasion as well as with longer disease-free survival times PMID: 24682903
- Expression of TMPRSS4 in gastric cancer is significantly associated with lymph node and distant metastasis, high Erk1 expression, and poor prognosis. PMID: 23922976
- ERK1 phosphorylates KIBRA at Ser(548) for cell proliferation and migratory activity PMID: 24269383
- We conclude that pERK1/2 is a sensitive marker of early colon cancer, which disappears at later stages of cancer development. PMID: 23357054
- In activated eosinophils ligation of Siglec-8 leads to ROS-dependent enhancement of IL-5-induced ERK phosphorylation, which results in a novel mode of biochemically regulated eosinophil cell death. PMID: 23684072
- ERK1 localized to the cytosol and translocated to the nucleus upon cell activation and kinase phosphorylation. PMID: 23651922
- Data indicate that tocilizumab enhanced the interferon-induced phosphorylation of STAT1 and inhibited SOCS3 expression and the phosphorylation of both STAT3 and ERK. PMID: 23274199
- Extracellular signal-regulated kinase and glycogen synthase kinase 3beta regulate gephyrin postsynaptic aggregation and GABAergic synaptic function in a calpain-dependent mechanism PMID: 23408424
- ERK1/2 signaling plays an important role in topoisomerase II poison-induced G2/M checkpoint activation. PMID: 23166842
- MRK is a novel RhoC effector that controls LPA-stimulated cell invasion at least in part by regulating myosin dynamics, ERK and p38 PMID: 23319595
- osteosarcoma patients whose tumors expressed pERK1 had a poorer clinical outcome than those whose tumors did not. PMID: 22935974
- Results showed significantly higher levels of ERK1 protein in smokers vs. non-smokers. Analysis revealed a significant relation among the number of cigarettes smoked daily, the Fagerstrom Test for Nicotine Dependence score and the mRNA expression of ERK1. PMID: 21070506
- constitutive activation of the ERK1 pathway in HER2/ERBB2-transformed cells prevents EGF deprivation-induced FLIPL upregulation and TRAIL resistance. PMID: 22722337
- Lead specifically induces dysregulation of iron response element (IRP)1 protein by activating the ERK1/2 signaling pathway, indicating a novel role for IRP1 and the ERK/MAPK pathway in vascular endothelial functions. PMID: 22502979
- CXCL12/CXCR4 protein signaling axis induces sonic hedgehog expression in pancreatic cancer cells via extracellular regulated kinase- and Akt kinase-mediated activation of nuclear factor kappaB PMID: 22995914
- Aortic endothelial cells stimulated with HLA class I antibodies did not promote any detectable change in intracellular Ca(2+) concentration but instead induced MLC phosphorylation and stress fiber assembly. PMID: 22914643
- The inhibition of Id-1 expression by MK615 is mediated via ERK1/2 activation. PMID: 22076920
顯示更多
收起更多
-
亞細胞定位:Cytoplasm. Nucleus. Membrane, caveola. Cell junction, focal adhesion.
-
蛋白家族:Protein kinase superfamily, CMGC Ser/Thr protein kinase family, MAP kinase subfamily
-
數據庫鏈接:
Most popular with customers
-
-
YWHAB Recombinant Monoclonal Antibody
Applications: ELISA, WB, IHC, IF, FC
Species Reactivity: Human, Mouse, Rat
-
Phospho-YAP1 (S127) Recombinant Monoclonal Antibody
Applications: ELISA, WB, IHC
Species Reactivity: Human
-
-
-
-
-















