MAPK12 Antibody
-
中文名稱:MAPK12兔多克隆抗體
-
貨號:CSB-PA644665
-
規格:¥1100
-
圖片:
-
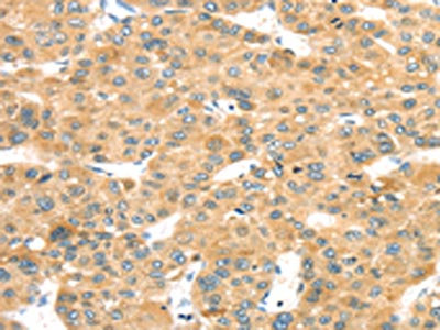
The image on the left is immunohistochemistry of paraffin-embedded Human liver cancer tissue using CSB-PA644665(MAPK12 Antibody) at dilution 1/25, on the right is treated with fusion protein. (Original magnification: ×200)
-
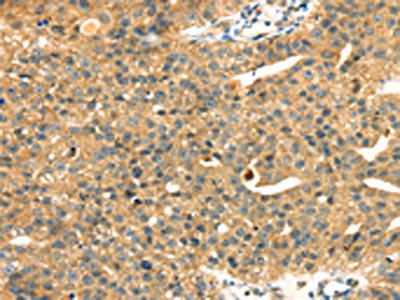
The image on the left is immunohistochemistry of paraffin-embedded Human breast cancer tissue using CSB-PA644665(MAPK12 Antibody) at dilution 1/25, on the right is treated with fusion protein. (Original magnification: ×200)
-
Gel: 8%SDS-PAGE, Lysate: 40 μg, Lane: Mouse liver tissue, Primary antibody: CSB-PA644665(MAPK12 Antibody) at dilution 1/350, Secondary antibody: Goat anti rabbit IgG at 1/8000 dilution, Exposure time: 5 seconds
-
-
其他:
產品詳情
-
Uniprot No.:
-
基因名:
-
別名:ERK 6 antibody; ERK-6 antibody; ERK6 antibody; Extracellular signal-regulated kinase 6 antibody; MAP kinase 12 antibody; MAP kinase p38 gamma antibody; MAPK 12 antibody; Mapk12 antibody; Mitogen Activated Protein Kinase 12 antibody; Mitogen activated protein kinase p38 gamma antibody; Mitogen-activated protein kinase 12 antibody; Mitogen-activated protein kinase p38 gamma antibody; MK12_HUMAN antibody; P38 GAMMA antibody; P38GAMMA antibody; PRKM12 antibody; SAPK 3 antibody; SAPK-3 antibody; SAPK3 antibody; Stress Activated Protein Kinase 3 antibody; Stress-activated protein kinase 3 antibody
-
宿主:Rabbit
-
反應種屬:Human,Mouse,Rat
-
免疫原:Fusion protein of Human MAPK12
-
免疫原種屬:Homo sapiens (Human)
-
標記方式:Non-conjugated
-
抗體亞型:IgG
-
純化方式:Antigen affinity purification
-
濃度:It differs from different batches. Please contact us to confirm it.
-
保存緩沖液:-20°C, pH7.4 PBS, 0.05% NaN3, 40% Glycerol
-
產品提供形式:Liquid
-
應用范圍:ELISA,WB,IHC
-
推薦稀釋比:
Application Recommended Dilution ELISA 1:2000-1:5000 WB 1:500-1:2000 IHC 1:25-1:100 -
Protocols:
-
儲存條件:Upon receipt, store at -20°C or -80°C. Avoid repeated freeze.
-
貨期:Basically, we can dispatch the products out in 1-3 working days after receiving your orders. Delivery time maybe differs from different purchasing way or location, please kindly consult your local distributors for specific delivery time.
-
用途:For Research Use Only. Not for use in diagnostic or therapeutic procedures.
相關產品
靶點詳情
-
功能:Serine/threonine kinase which acts as an essential component of the MAP kinase signal transduction pathway. MAPK12 is one of the four p38 MAPKs which play an important role in the cascades of cellular responses evoked by extracellular stimuli such as proinflammatory cytokines or physical stress leading to direct activation of transcription factors such as ELK1 and ATF2. Accordingly, p38 MAPKs phosphorylate a broad range of proteins and it has been estimated that they may have approximately 200 to 300 substrates each. Some of the targets are downstream kinases such as MAPKAPK2, which are activated through phosphorylation and further phosphorylate additional targets. Plays a role in myoblast differentiation and also in the down-regulation of cyclin D1 in response to hypoxia in adrenal cells suggesting MAPK12 may inhibit cell proliferation while promoting differentiation. Phosphorylates DLG1. Following osmotic shock, MAPK12 in the cell nucleus increases its association with nuclear DLG1, thereby causing dissociation of DLG1-SFPQ complexes. This function is independent of its catalytic activity and could affect mRNA processing and/or gene transcription to aid cell adaptation to osmolarity changes in the environment. Regulates UV-induced checkpoint signaling and repair of UV-induced DNA damage and G2 arrest after gamma-radiation exposure. MAPK12 is involved in the regulation of SLC2A1 expression and basal glucose uptake in L6 myotubes; and negatively regulates SLC2A4 expression and contraction-mediated glucose uptake in adult skeletal muscle. C-Jun (JUN) phosphorylation is stimulated by MAPK14 and inhibited by MAPK12, leading to a distinct AP-1 regulation. MAPK12 is required for the normal kinetochore localization of PLK1, prevents chromosomal instability and supports mitotic cell viability. MAPK12-signaling is also positively regulating the expansion of transient amplifying myogenic precursor cells during muscle growth and regeneration.
-
基因功能參考文獻:
- Study established an important role of p38gamma MAPK in epithelial-mesenchymal transition (EMT) and identified a novel signaling pathway for p38gamma MAPK-mediated tumor promotion. p38gamma MAPK regulated miR-200b through inhibiting GATA3 by inducing its ubiquitination, leading proteasome-dependent degradation. PMID: 30251680
- NMR Characterization of Information Flow and Allosteric Communities in the MAP Kinase p38gamma. PMID: 27353957
- study revealed a molecular pathway consisting of BMI1, miRNA let-7i, and ERK3, which controls the migration of head and neck cancer cells, and suggests that ERK3 kinase is a potential new therapeutic target in head and neck cancers, particularly those with BMI1 overexpression. PMID: 28079973
- There was significant association between p38gamma expression and esophageal squamous cell carcinoma clinical stage, lymph nodes metastases, and tumor volume. p38delta overexpression can promote tumorigenesis in nude mice model xenografted with Eca109 cells whose basal level of p38delta was stably over-expressed and p38gamma was stably knocked down. PMID: 26666822
- This study reveals a novel pathway that directly links ErbB4 and p38gamma to the transcriptional machinery of NKx2.5-GATA4 complex which is critical for cardiomyocyte formation during mammalian heart development. PMID: 26418945
- during interphase ERK3 is mainly resident in the nucleoplasm in association with ribonuclear proteins involved in early pre-mRNA splicing, it undergoes cell cycle-dependent redistribution and, during apoptosis PMID: 26708186
- Taken together our data suggest that as cells initiate adhesion to matrix increasing levels of ERK3 at the cell periphery are required to orchestrate cell morphology changes which can then drive migratory behavior. PMID: 26588708
- phosphorylation at Ser-118 is required for ER to bind both p38gamma and c-Jun, thereby promoting ER relocation from ERE to AP-1 promoter sites. PMID: 22399296
- p38gamma mitogen-activated protein kinase regulates breast cancer cell motility and metastasis, in part, by controlling expression of the metastasis-associated small GTPase RhoC. PMID: 21862636
- a new paradigm in which p38gamma actively regulates the drug-Topo IIalpha signal transduction, and this may be exploited to increase the therapeutic activity of Topo II drugs. PMID: 21878638
- demonstrates that p38gamma MAPK is a promising target for the design of targeted therapies for basal-like breast cancer with metastatic characteristics and for overcoming potential resistance against the PARP inhibitor PMID: 21532888
- The majority of p38gamma-depleted cells die at mitotic arrest or soon after abnormal exit from M-phase. PMID: 21172807
- In response to hyperosmotic stress, p38 also regulates formation of complexes between hDlg and PSF. PMID: 20605917
- PTPH1 plays a role in Ras-dependent malignant growth of colon cancer by a mechanism depending on its p38gamma-binding activity. PMID: 20332238
- Cardiac expression and subcellular localization PMID: 11991731
- IL-2 and polysaccharide K increased the expression of ERK3. PMID: 12536241
- CRM1 binds to ERK3and promotes the cytoplasmic relocalization of ERK3. Enforced localization of ERK3 in the nucleus or cytoplasm markedly attenuates the ability of the kinase to induce cell cycle arrest in fibroblasts. PMID: 12915405
- data suggest that p38gamma increases basal glucose uptake and decreases DNP- and contraction-stimulated glucose uptake, partially by affecting levels of glucose transporter expression in skeletal muscle PMID: 14592936
- SAPK3 phosphorylates mitochondrial protein Sab PMID: 15158451
- Data show that in response to radiation, MRK controls two independent pathways: the Chk2-Cdc25A pathway leading to cell cycle arrest and the p38gamma MAPK pathway. PMID: 15342622
- hyperactive variants of p38alpha induce, whereas hyperactive variants of p38gamma suppress, activating protein 1-mediated transcription PMID: 17088247
- Mapk14 antagonizes Mapk12 activity through c-jun-dependent ubiquitin-proteasome pathways in regulating Ras transformation and stress response. PMID: 17724032
- p38alpha and p38gamma are essential components of the signaling pathway that regulates the tumor-suppressing senescence response PMID: 19251701
顯示更多
收起更多
-
相關疾病:MAPK is overexpressed in highly metastatic breast cancer cell lines and its expression is preferentially associated with basal-like and metastatic phenotypes of breast tumor samples.
-
亞細胞定位:Cytoplasm. Nucleus. Mitochondrion.
-
蛋白家族:Protein kinase superfamily, CMGC Ser/Thr protein kinase family, MAP kinase subfamily
-
組織特異性:Highly expressed in skeletal muscle and heart.
-
數據庫鏈接:
Most popular with customers
-
YWHAB Recombinant Monoclonal Antibody
Applications: ELISA, WB, IHC, IF, FC
Species Reactivity: Human, Mouse, Rat
-
Phospho-YAP1 (S127) Recombinant Monoclonal Antibody
Applications: ELISA, WB, IHC
Species Reactivity: Human
-
-
-
-
-
VDAC1 Recombinant Monoclonal Antibody
Applications: ELISA, WB, IHC
Species Reactivity: Human, Mouse, Rat
-
VCP Recombinant Monoclonal Antibody
Applications: ELISA, WB, IHC, IF, IP
Species Reactivity: Human, Rat















