MAP3K5 Antibody
-
中文名稱:MAP3K5兔多克隆抗體
-
貨號:CSB-PA246788
-
規格:¥1100
-
圖片:
-
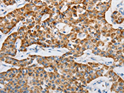
The image on the left is immunohistochemistry of paraffin-embedded Human colon cancer tissue using CSB-PA246788(MAP3K5 Antibody) at dilution 1/20, on the right is treated with synthetic peptide. (Original magnification: ×200)
-
The image on the left is immunohistochemistry of paraffin-embedded Human lung cancer tissue using CSB-PA246788(MAP3K5 Antibody) at dilution 1/20, on the right is treated with synthetic peptide. (Original magnification: ×200)
-
-
其他:
產品詳情
-
Uniprot No.:
-
基因名:
-
別名:Apoptosis signal regulating kinase 1 antibody; Apoptosis signal-regulating kinase 1 antibody; ASK 1 antibody; ASK-1 antibody; ASK1 antibody; M3K5 antibody; M3K5_HUMAN antibody; MAP/ERK kinase kinase 5 antibody; MAP3K5 antibody; MAPK/ERK kinase kinase 5 antibody; MAPKKK5 antibody; MEK kinase 5 antibody; MEKK 5 antibody; MEKK5 antibody; Mitogen activated protein kinase kinase kinase 5 antibody; Mitogen-activated protein kinase kinase kinase 5 antibody
-
宿主:Rabbit
-
反應種屬:Human,Mouse
-
免疫原:Synthetic peptide of Human MAP3K5
-
免疫原種屬:Homo sapiens (Human)
-
標記方式:Non-conjugated
-
抗體亞型:IgG
-
純化方式:Antigen affinity purification
-
濃度:It differs from different batches. Please contact us to confirm it.
-
保存緩沖液:-20°C, pH7.4 PBS, 0.05% NaN3, 40% Glycerol
-
產品提供形式:Liquid
-
應用范圍:ELISA,IHC
-
推薦稀釋比:
Application Recommended Dilution ELISA 1:1000-1:5000 IHC 1:25-1:100 -
Protocols:
-
儲存條件:Upon receipt, store at -20°C or -80°C. Avoid repeated freeze.
-
貨期:Basically, we can dispatch the products out in 1-3 working days after receiving your orders. Delivery time maybe differs from different purchasing way or location, please kindly consult your local distributors for specific delivery time.
-
用途:For Research Use Only. Not for use in diagnostic or therapeutic procedures.
相關產品
靶點詳情
-
功能:Serine/threonine kinase which acts as an essential component of the MAP kinase signal transduction pathway. Plays an important role in the cascades of cellular responses evoked by changes in the environment. Mediates signaling for determination of cell fate such as differentiation and survival. Plays a crucial role in the apoptosis signal transduction pathway through mitochondria-dependent caspase activation. MAP3K5/ASK1 is required for the innate immune response, which is essential for host defense against a wide range of pathogens. Mediates signal transduction of various stressors like oxidative stress as well as by receptor-mediated inflammatory signals, such as the tumor necrosis factor (TNF) or lipopolysaccharide (LPS). Once activated, acts as an upstream activator of the MKK/JNK signal transduction cascade and the p38 MAPK signal transduction cascade through the phosphorylation and activation of several MAP kinase kinases like MAP2K4/SEK1, MAP2K3/MKK3, MAP2K6/MKK6 and MAP2K7/MKK7. These MAP2Ks in turn activate p38 MAPKs and c-jun N-terminal kinases (JNKs). Both p38 MAPK and JNKs control the transcription factors activator protein-1 (AP-1).
-
基因功能參考文獻:
- Advanced glycation end products significantly activated ASK1, MKK3, and MKK6, which led to activation of p38 MAPK, resulting in upregulated fibrotic response in human coronary smooth muscle cells. PMID: 30305582
- ASK1 transcriptional upregulation molecularly defines a metabolically-detrimental obese sub-phenotype. PMID: 28702328
- Knockdown of miR-20a enhanced sensitivity of colorectal cancer cells to cisplatin through the ROS/ASK1/JNK pathway. PMID: 29940575
- Findings offer insight into positive regulation of Akt signaling through P2Y12 phosphorylation as well as MAPK signaling in platelets by ASK1. PMID: 28753204
- Cold stress-induced ferroptosis involves the ASK1-p38 pathway. PMID: 28887319
- TRIM48 Promotes ASK1 Activation and Cell Death through Ubiquitination-Dependent Degradation of the ASK1-Negative Regulator PRMT1 PMID: 29186683
- These findings indicate that chaetocin arrests the cell cycle and induces apoptosis by regulating the reactive oxygen species-mediated ASK-1/JNK signaling pathways. PMID: 28849240
- Findings provide evidence that ASK-1 expression is regulated by SLC35F2 which exerts its oncogenic effect on papillary thyroid carcinoma progression through activation of TGFBR-1 and ASK-1. PMID: 29274137
- Co-administration of acetaminophen and 5'-AMP significantly ameliorated APAP-induced hepatotoxicity in mice. This was triggered by attenuating apoptosis signal-regulated kinase 1(ASK1) methylation and increasing ubiquitination-mediated ASK1 protein degradation. PMID: 28031524
- The anti-cancer mechanism for the AgNPs may be involved in activating the ASK1-JNK/p38-Caspase-3 pathway. PMID: 29381295
- TRAF1 functions as a positive regulator of insulin resistance, inflammation, and hepatic steatosis dependent on the activation of ASK1-P38/JNK axis. PMID: 26860405
- LRRK2-induced apoptosis was suppressed by ASK1 inhibition in neuronal stem cells derived from patients with Parkinson's disease (PD). These results clearly indicate that LRRK2 acts as an upstream kinase in the ASK1 pathway and plays an important role in the pathogenesis of PD PMID: 28888991
- Apoptosis signal-regulating kinase 1 (ASK1) expression was dramatically suppressed and correlated with hepatocyte nuclear factor 4alpha (HNF4alpha) levels in hepatocellular carcinoma (HCC) tissues. PMID: 27050273
- ASK1 phosphorylated and stabilized TLX, which led induction of HIF-1alpha, and its downstream VEGF-A in an Akt dependent manner. PMID: 27890558
- CD40 activation resulted in down-regulation of Thioredoxin (Trx)-1 to permit ASK1 activation and apoptosis. Although soluble receptor agonist alone could not induce death, combinatorial treatment incorporating soluble CD40 agonist and pharmacological inhibition of Trx-1 was functionally equivalent to the signal triggered by mCD40L PMID: 27869172
- These results suggest that the platelet Ask1 plays an important role in regulation of hemostasis and thrombosis. PMID: 28028021
- from the two catalytic cysteines of TRX1 the residue C32 is responsible for the high-affinity binding of TRX1 to the ASK1-TRX-binding domain in reducing conditions PMID: 27588831
- Shotgun mass spectrometry and manual validation identified 12 distinct ASK1 phosphosites. Targeted parallel reaction monitoring assays were used to track the phosphorylation dynamics of each confirmed site in response to treatment. PMID: 27989136
- phosphorus NMR and time-resolved tryptophan fluorescence measurements suggest that 14-3-3zeta interacts with the kinase domain of ASK1 in close proximity to its active site, thus indicating this interaction might block its accessibility and/or affect its conformation. PMID: 27514745
- ASK1 MAP kinase signaling cascade is an important regulator of chondrocyte terminal differentiation. PMID: 26405834
- Pretreatment by IRE1 agonist tunicamycin or JNK agonist anisomycin attenuated the effect of psoralen on osteoporotic osteoblasts. Psoralen inhibited apoptosis of osteoporotic osteoblasts by regulating IRE1-ASK1-JNK pathway PMID: 28349059
- Our results thus suggest that GSK-3beta is a key factor involved in ASK1 activation and reactive oxygen species-induced cell death. PMID: 27221474
- the data show that miRNA-mediated down-regulation of ASK1 protects mesenchymal stem cells during post-transplantation, leading to an increase in the efficacy of MSC-based cell therapy. PMID: 27775615
- Cross-talk between arginine methylation and serine phosphorylation in ASK1.PRMT5 is an ASK1-binding protein.PRMT5 mediates arginine methylation of ASK1. PMID: 26912789
- results suggest that baicalein-mediated ASK1/JNK activation regulates the mitochondria-dependent apoptosis pathway through the up-regulation of TAp63 and down-regulation of NF-kappaB and CD74/CD44 in B-cell malignancies PMID: 26694167
- curcumin and ABT-737 on HCC cells was investigated for the first time, to the best of our knowledge. It was found that curcumin markedly enhanced the antitumor effects of ABT-737 on HepG2 cells and activate ROS-ASK1-c-Jun N-terminal kinase pathway . . PMID: 26707143
- ASK1 signalling regulates brown and beige adipocyte function. PMID: 27045525
- These results implicate the TNF/TRAF2/ASK1/p38 kinase pathway in modulating risk of pulmonary complications. PMID: 26165383
- The present findings thus support our notion that ROR1 sustains lung adenocarcinoma survival, at least in part, through direct physical interaction with ASK1 PMID: 26661061
- Together, we suggest that 4SC-202 activates ASK1-dependent mitochondrial apoptosis pathway to potently inhibit human HCC cells. PMID: 26773495
- Data show that the MAPKKK6 ASK2, a modulator of MAPKKK5 ASK1 signaling, was essential for ASK1-dependent apoptosis, but not for inducing interferon-beta (IFNB) expression. PMID: 26243192
- The expression of ASK1 is correlated with the level of claudin-6 in cervical carcinoma cells and tissues. PMID: 26191261
- ASK1 stabilizes APOBEC3G and binds HIV-1 Vif, disrupting assemble of the Vif-ubiquitin ligase complex, thus restoring the antiviral activity of APOBEC3g. PMID: 25901786
- Data indicates that ASK1 expression is regulated by MiR-19a by targeting specific sites in the 3' untranslated region of its mRNA. PMID: 25982447
- Findings suggest that methyl isocyanate inhibits angiogenesis by inducing mitogen-activated protein kinase kinase kinase 5 ASK1-JNK-dependent endothelial cell death. PMID: 25068797
- TNF-alpha-induced ASK1-p38/JNK pathway is an important mediator of cytokine synthesis and enhanced expression of adhesion molecules in rheumatoid arthritis and is inhibited by thymoquinone. PMID: 26134265
- Cyclophilin A regulates JNK/p38-MAPK signaling through its physical interaction with ASK1. PMID: 26095851
- Knockdown of IRE1alpha by siRNA dramatically abrogated CXC195-induced activation of TRAF2, ASK and JNK, formation of an IRE1alpha-TRAF2-ASK1 complex and caspase- and mitochondrial-dependent apoptosis in T24 cells PMID: 25797626
- Because the phosphorylation site mutants of NR4A2 cannot rescue the cell death-promoting activity, ASK1-p38 pathway-dependent phosphorylation and subsequent cytoplasmic translocation of NR4A2 may be required for oxidative stress-induced cell death. PMID: 25752609
- Collectively, these data reveal that activation of the PI3K/Akt pathway limits JNK-mediated apoptosis by phosphorylating and inactivating ASK1 during human enterovirus 71 infection. PMID: 25116390
- Siah1 is a substrate of ASK1 for activation of the GAPDH-Siah1 oxidative stress signaling cascade. PMID: 25391652
- TNF-signaling dependence of ASK1-mediated apoptosis in melanoma cells. PMID: 24574456
- Data show that ASK1 is critical for IFN gamma-induced DAPK1 via ATF6 recruitment. PMID: 25135476
- apoptosis signal-regulating kinase 1 has a role in chondrosarcoma cell apoptosis along with endoplasmic reticulum stress due to FPipTB PMID: 21594902
- data suggest that degradation of ASK1 mediated by Roquin-2 is an evolutionarily conserved mechanism required for the appropriate regulation of stress responses, including pathogen resistance and cell death PMID: 24448648
- It is activated in response to various stresses, such as reactive oxygen species (ROS)and endoplasmic reticulum (ER) stress, and plays pivotal roles in a wide variety of cellular responses, including cell death, differentiation and inflammation. (review) PMID: 24912301
- Data indicate that the ASK1-FoxO3a-TRADD-caspase 8 pathway is present in neural tube defects (NTDs)-affected tissues. PMID: 23982205
- MAP3K5 R256C mutation revealed attenuation of MKK4 activation through increased binding of the inhibitory protein thioredoxin (TXN/TRX-1/Trx), resulting in increased proliferation and anchorage-independent growth of melanoma cells. PMID: 24008424
- Identification of the domain through which HIV-1 Nef interacts with ASK1 and inhibits its function. PMID: 23799149
- In gastric epithelial cells, H. pylori activates ASK1 in a reactive oxygen species - and cag pathogenicity island-dependent manner, and ASK1 regulates sustained JNK activation and apoptosis induced by H. pylori. PMID: 24082073
顯示更多
收起更多
-
亞細胞定位:Cytoplasm. Endoplasmic reticulum. Note=Interaction with 14-3-3 proteins alters the distribution of MAP3K5/ASK1 and restricts it to the perinuclear endoplasmic reticulum region.
-
蛋白家族:Protein kinase superfamily, STE Ser/Thr protein kinase family, MAP kinase kinase kinase subfamily
-
組織特異性:Abundantly expressed in heart and pancreas.
-
數據庫鏈接:
Most popular with customers
-
-
YWHAB Recombinant Monoclonal Antibody
Applications: ELISA, WB, IHC, IF, FC
Species Reactivity: Human, Mouse, Rat
-
Phospho-YAP1 (S127) Recombinant Monoclonal Antibody
Applications: ELISA, WB, IHC
Species Reactivity: Human
-
-
-
-
-















