MAP2 Antibody
-
中文名稱:MAP2兔多克隆抗體
-
貨號:CSB-PA584071
-
規格:¥1100
-
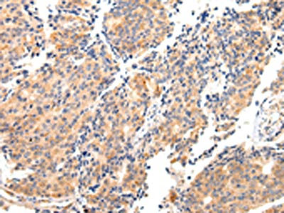
圖片:
-
The image on the left is immunohistochemistry of paraffin-embedded Human prostate cancer tissue using CSB-PA584071(MAP2 Antibody) at dilution 1/20, on the right is treated with fusion protein. (Original magnification: ×200)
-
The image on the left is immunohistochemistry of paraffin-embedded Human brain tissue using CSB-PA584071(MAP2 Antibody) at dilution 1/20, on the right is treated with fusion protein. (Original magnification: ×200)
-
-
其他:
產品詳情
-
Uniprot No.:
-
基因名:
-
別名:DKFZp686I2148 antibody; MAP 2 antibody; MAP dendrite specific antibody; MAP-2 antibody; MAP2 antibody; MAP2A antibody; MAP2B antibody; MAP2C antibody; Microtubule associated protein 2 antibody; Microtubule-associated protein 2 antibody; MTAP2_HUMAN antibody
-
宿主:Rabbit
-
反應種屬:Human,Mouse,Rat
-
免疫原:Fusion protein of Human MAP2
-
免疫原種屬:Homo sapiens (Human)
-
標記方式:Non-conjugated
-
抗體亞型:IgG
-
純化方式:Antigen affinity purification
-
濃度:It differs from different batches. Please contact us to confirm it.
-
保存緩沖液:-20°C, pH7.4 PBS, 0.05% NaN3, 40% Glycerol
-
產品提供形式:Liquid
-
應用范圍:ELISA,IHC
-
推薦稀釋比:
Application Recommended Dilution ELISA 1:2000-1:5000 IHC 1:25-1:100 -
Protocols:
-
儲存條件:Upon receipt, store at -20°C or -80°C. Avoid repeated freeze.
-
貨期:Basically, we can dispatch the products out in 1-3 working days after receiving your orders. Delivery time maybe differs from different purchasing way or location, please kindly consult your local distributors for specific delivery time.
-
用途:For Research Use Only. Not for use in diagnostic or therapeutic procedures.
相關產品
靶點詳情
-
功能:The exact function of MAP2 is unknown but MAPs may stabilize the microtubules against depolymerization. They also seem to have a stiffening effect on microtubules.
-
基因功能參考文獻:
- study suggests that miR-484 and MAP2 can be utilized as predictors for the clinical diagnosis and prognosis of glioma PMID: 29480405
- Results highlight the importance of splicing alteration in HD and suggest that MAP2 alteration contributes to dendritic atrophy. PMID: 27098187
- The expression of MAP2 and SYP proved most relevant to neurocognitive functioning in HIV-infected patients. PMID: 26637429
- In patients with HD, a panel using calretinin and peripherin with or without MAP-2 may be most helpful in identifying transition zones PMID: 26469323
- Transcriptional upregulation of microtubule-associated protein 2 is involved in the protein kinase A-induced decrease in the invasiveness of glioma cells. PMID: 26014048
- Study reveals the presence of two selected neuronal markers, MAP-2 and SYP mRNAs and protein expression, in eutopic endometrium and in endometriotic lesions. PMID: 26604067
- Findings demonstrate that microtubule-associated protein 2-immunoreactivity loss is closely linked to dendritic spine pathology in schizophrenia. PMID: 25818630
- This is the first report to analyze the correlation between ET-1-induced miRNA 133a overexpression in proteinuria resulting in MRP2 downregulation, which is a contributing factor for renal cytotoxicity. PMID: 25871823
- the difference of only two amino acids in tau and MAP2 sequences may determine their different fates in tauopathies PMID: 26134402
- MAP2 expression is affected by actomyosin contractility during nanotopography-directed neuronal differentiation of human embryonic stem cells PMID: 25682157
- Prolactin significantly increased the gene expression and protein levels of MAP2 in SK-N-SH neuroblastoma cells, while no significant changes were observed in U-87MG glioblastoma cells. PMID: 25629269
- SNCG, MAP2, SDF-1 and CXCR4 may play an important role in the carcinogenesis, progression, invasion and metastasis of gastric adenocarcinoma. PMID: 25400739
- MAP2 expression in ovarian teratomas does not appear to have a role in predictive the development of anti-NMDAR encephalitis. PMID: 25569473
- PP2A/striatin complex modulates microtubule dynamics by regulating MAP2 phosphorylation PMID: 25497017
- MAP 2 is a moderately sensitive marker of haemangioblastoma PMID: 24977729
- MAP2 may play a significant role in neurotoxicity in the Alzheimer's disease brain despite the absence of MAP2-aggregates. PMID: 24587039
- Study suggests that many of the morphological changes detected in children's brainstems regarding distributions of HIF-1alpha and MAP-2 could be due to age differences, but in some regions these distributions are more dependent on the hypoxic conditions PMID: 24780770
- Altered MAP2 and tau expression in mesial temporal lobe epilepsy (MTLE) and decreased tau expression in MTLE with psychosis were found. PMID: 24069608
- MAP-2 and nestin participate in the regulation of the development of gastric tissues in human embryos. PMID: 22985576
- Dysfunction of MAP2/tau family leads to disruption of microtubule structure and impairment of axonal transport, and eventually triggers apoptosis in neurons, which becomes an essential pathway for prion to induce the neuropathology. PMID: 22874672
- The protein phosphatase PP2A/Balpha binds to the microtubule-associated proteins Tau and MAP2 at a motif also recognized by the kinase Fyn. PMID: 22403409
- Data indicate that the decline of MAP2 is a common phenomenon in transmissible spongiform encephalopathies (TSEs), which seems to occur at an early stage of incubation period. PMID: 22272295
- Increased MAP2 expression in malignant melanoma cells significantly inhibits tumor cell growth and neoplasm invasiveness, and induces apoptosis and cell cycle arrest. PMID: 20100193
- The results of this study confirmed previous published data showing a schizophrenia-associated decrease in MAP2 in area 9 with no change in area 17 and no change in Huntington chorea. PMID: 20092829
- Hyperactivation of BRAF-MEK signaling activates MAP2 expression in melanoma cells by two independent mechanisms, promoter demethylation or down-regulation of neuronal transcription repressor HES1. PMID: 19880519
- MAP2 expression in astrocytomas is due predominantly to low molecular weight isoforms, evident in astrocytes as well as neurons; focal expression of hmw-MAP2 suggests that neuronal antigens may be expressed, particularly in high grade astrocytomas. PMID: 11922706
- role of small cluster of charged residues in controlling filament morphology PMID: 12023276
- beta-chains of tubulin and MAP-2 are expressed functionally in SCLC cell lines in association with the development of dendrite-like processes on PC-9 / ECM substrate PMID: 12079519
- These results provide strong evidence suggesting that MAP2c and tau stabilize microtubules by binding along individual protofilaments, possibly by bridging the tubulin interfaces. PMID: 12082079
- Immunoreactivity of MAP-2 has been demonstrated in most neuroendocrine and neuroectodermal related neoplasms such as small cell carcinoma, large cell neuroendocrine carcinoma, carcinoid tumor of the lung. PMID: 12605092
- binding of dehydroepiandrosterone to MAP2C involves specific hydrogen bonds that orient the steroid into the pocket PMID: 12775713
- The differential distribution of various epitopes suggests that the presence of the Phospho-Ser(262) epitope of tau either accelerates the transition form pre-tangle to tangle, or appears later than the other epitopes in the process of tangle formation. PMID: 12927759
- over-expression of microtubule-associated protein 2 is associated with oral squamous cell carcinoma PMID: 14604896
- These data point towards MAP2 as valuable diagnostic tool for pattern recognition and differential diagnosis of low-grade neuroepithelial tumors. PMID: 15146346
- Decreased spinophilin but unchanged MAP2 expression provides molecular evidence for a hippocampal dendritic pathology in schizophrenia that preferentially affects the spines PMID: 15465982
- determined that Fyn phosphorylated MAP-2c on tyrosine 67 PMID: 15536091
- MAP2 is involved in the association of endoplasmic reticulum membranes with microtubules. PMID: 15623521
- Independent of one another MAP-2c and Fyn are able to induce process outgrowth and in concert can initiate and enhance process outgrowth in an additive manner. PMID: 16145685
- MAP-2 is expressed in the cytoplasm of non-tumorous adenohypophysial cells as well as of various pituitary adenoma types. PMID: 16195780
- Tat action on MAP2 stability involved Tat-mediated translocation of the proteasome to the site of microtubule filaments. PMID: 16611822
- Notch signaling, which is implicated in melanoma progression, and Hairy and Enhancer of Split (HES1) play a role in MAP2 gene regulation during melanoma progression. PMID: 16916793
- Thus, our findings have not only identified a novel role of MAP2 in non-neuronal cells, but also provided the first implication of MAP2 in malignant oral cancer tissues. PMID: 18073143
- Data show that the Sudden infant death syndrome group and hypoxic/ischemic group exhibites a general reduction in the number of MAP2 reactive neurons in comparison with the non-hypoxic/ischemic injury group. PMID: 19009302
- MAP-2 immunoexpression in gliomatosis cerebri PMID: 19309409
- In contrast with the findings of previous studies, our data indicate that MAP-2 is a moderately positive predictor of the progression of superficial spreading melanomas. PMID: 19369632
- MAP-2 is a sensitive and specific marker of neuroblastoma, both in the primary tumor and bone marrow biopsy settings. PMID: 19701075
顯示更多
收起更多
-
亞細胞定位:Cytoplasm, cytoskeleton. Cell projection, dendrite.
-
數據庫鏈接:
Most popular with customers
-
-
YWHAB Recombinant Monoclonal Antibody
Applications: ELISA, WB, IHC, IF, FC
Species Reactivity: Human, Mouse, Rat
-
Phospho-YAP1 (S127) Recombinant Monoclonal Antibody
Applications: ELISA, WB, IHC
Species Reactivity: Human
-
-
-
-
-















