-
中文名稱:Lcn2兔多克隆抗體
-
貨號:CSB-PA012816LA01RA
-
規格:¥440
-
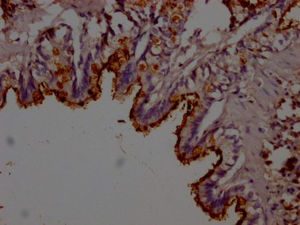
圖片:
-
IHC image of CSB-PA012816LA01RA diluted at 1:200 and staining in paraffin-embedded rat lung tissue performed on a Leica BondTM system. After dewaxing and hydration, antigen retrieval was mediated by high pressure in a citrate buffer (pH 6.0). Section was blocked with 10% normal goat serum 30min at RT. Then primary antibody (1% BSA) was incubated at 4°C overnight. The primary is detected by a Goat anti-rabbit polymer IgG labeled by HRP and visualized using 0.05% DAB.
-
-
其他:
產品詳情
-
產品名稱:Rabbit anti-Rattus norvegicus (Rat) Lcn2 Polyclonal antibody
-
Uniprot No.:
-
基因名:
-
別名:Lcn2 antibody; Neutrophil gelatinase-associated lipocalin antibody; NGAL antibody; Alpha-2-microglobulin-related protein antibody; Alpha-2U globulin-related protein antibody; Lipocalin 24p3 antibody; Lipocalin-2 antibody; Siderocalin LCN2 antibody; p25 antibody
-
宿主:Rabbit
-
反應種屬:Rat
-
免疫原:Recombinant Rat Lcn2 protein (1-198AA)
-
免疫原種屬:Rattus norvegicus (Rat)
-
標記方式:Non-conjugated
本頁面中的產品,Lcn2 Antibody (CSB-PA012816LA01RA),的標記方式是Non-conjugated。對于Lcn2 Antibody,我們還提供其他標記。見下表:
-
克隆類型:Polyclonal
-
抗體亞型:IgG
-
純化方式:Antigen Affinity Purified
-
濃度:It differs from different batches. Please contact us to confirm it.
-
保存緩沖液:Preservative: 0.03% Proclin 300
Constituents: 50% Glycerol, 0.01M PBS, PH 7.4 -
產品提供形式:Liquid
-
應用范圍:ELISA, IHC
-
推薦稀釋比:
Application Recommended Dilution IHC 1:100-1:500 -
Protocols:
-
儲存條件:Upon receipt, store at -20°C or -80°C. Avoid repeated freeze.
-
貨期:Basically, we can dispatch the products out in 1-3 working days after receiving your orders. Delivery time maybe differs from different purchasing way or location, please kindly consult your local distributors for specific delivery time.
-
用途:For Research Use Only. Not for use in diagnostic or therapeutic procedures.
相關產品
靶點詳情
-
功能:Iron-trafficking protein involved in multiple processes such as apoptosis, innate immunity and renal development. Binds iron through association with 2,3-dihydroxybenzoic acid (2,3-DHBA), a siderophore that shares structural similarities with bacterial enterobactin, and delivers or removes iron from the cell, depending on the context. Iron-bound form (holo-24p3) is internalized following binding to the SLC22A17 (24p3R) receptor, leading to release of iron and subsequent increase of intracellular iron concentration. In contrast, association of the iron-free form (apo-24p3) with the SLC22A17 (24p3R) receptor is followed by association with an intracellular siderophore, iron chelation and iron transfer to the extracellular medium, thereby reducing intracellular iron concentration. Involved in apoptosis due to interleukin-3 (IL3) deprivation: iron-loaded form increases intracellular iron concentration without promoting apoptosis, while iron-free form decreases intracellular iron levels, inducing expression of the proapoptotic protein BCL2L11/BIM, resulting in apoptosis. Involved in innate immunity; limits bacterial proliferation by sequestering iron bound to microbial siderophores, such as enterobactin. Can also bind siderophores from M.tuberculosis.
-
基因功能參考文獻:
- NGAL might be related to attenuated tubular epithelial cell damage via adjusting autophagy. PMID: 29367586
- The results showed that remote limb preconditioning could decrease the expression of LCN2 protein, but having no obvious effects on its receptor except the time point of 72h after cerebral ischemia. PMID: 29122651
- High LCN2 expression is associated with stress-induced mitochondrial dysfunction and heart failure. PMID: 29378951
- This study is to investigate the level of Neutrophil gelatinase-associated lipocalin (NGAL) and autophagy status during renal Ischemia/reperfusion injury. PMID: 29704511
- This study demonstrated that Neutrophil gelatinase-associated lipocalin and microglial activity are associated with distinct postoperative behavioral changes in rats. PMID: 27865916
- LCN-2 protein levels were markedly increased in the ipsilateral cortex and hippocampus after traumatic brain injury. Most LCN-2-positive cells appeared to be astrocytes. PMID: 26463963
- Nitric oxide level affects LCN-2 expression via regulation of LCN-2 protein stability under inflammatory condition and LCN-2 may reduce beta-cell viability by promoting apoptosis. PMID: 27233602
- The NGAL molecule showed upregulation in the degeneration process after nerve injury, so it may play an important role in nerve repair PMID: 27087673
- The LCN2 may be a potentially useful biomarker for lung hypoplasia in a rat and human Congenital diaphragmatic hernia (CDH). PMID: 27592368
- Hypertension and hyperglycemia synergize to cause incipient renal tubular alterations resulting in increased NGAL urinary excretion.NGAL urinary excretion is also increased in hypertensive-diabetic rats. PMID: 25148248
- This is the first report on Pla2g4c gene-deficient rats and their low susceptibility to mammary carcinogenesis by enhancing NF-kappaB/Lcn2-induced apoptosis. PMID: 26013918
- Epidural anesthesia was associated with an increase in the expression lipocalin-2 and a decrease in the expression of E coli DNA at pseudosurgical sites in sick but not healthy rats. PMID: 25782996
- Repeated administration of gentamicin to male SD rats for 1, 3, or 7 days resulted in a dose- and time-dependent increase in the expression of KIM-1 and NGAL. PMID: 25087119
- dietary fructose leads to an overexpression of lipocalin-2 in rat fatty liver PMID: 24587658
- Lcn2 is an important regulator in small-for-size fatty liver graft injury and targeting Lcn2 may be feasible for preventing marginal graft failure in LDLT. PMID: 24374540
- NGF-treated tissue showed increased expression of LCN2 which was inhibited by the presence of Ro 08-2750 in intervertebral disk cells. PMID: 25062286
- lipocalin-2 is released by injured neurons as a help me distress signal that activates microglia and astrocytes into potentially prorecovery phenotypes. PMID: 24916903
- r24p3-R/hNGAL-R may represent a high-affinity multi-ligand receptor for apical internalization and transcytosis of intact proteins/peptides by the lower intestine. PMID: 23940770
- Urinary KIM-1, NGAL and NAG were compared against serum creatinine and renal histological score in the initiation, maintenance, and recovery phases of cisplatin (CP)-induced acute kidney injury. PMID: 23360846
- We studied Lcn2 gene expression during liver regeneration after partial hepatectomy(PH). Lcn2 gene expression showed upward curves from 4 to 72 h after PH in both 70% and 40% PH rats and peaked at 12 h (8 times vs 0 h). PMID: 23481292
- The expression of NGAL significantly increases in renal interstitial fibrosis, and is closely correlated with MMP-9, TNF-alpha and TGF-beta1. PMID: 23158800
- lcn2 is induced in activated astrocytes in response to neurodegeneration, but its induction is independent of TDP-43 or FUS expression in astrocytes PMID: 23431168
- High NGAL is associated with proteinuria. PMID: 21551085
- Acute myocardial infarct in the chronic kidney disease setting is associated with accelerated renal fibrosis and long-term elevated urine Ngal values. PMID: 22889806
- Exposure of Wistar rats to methyl tertiary-butyl ether in drinking water resulted in limited renal changes in male rats suggestive of alpha(2u)-globulin nephropathy. PMID: 22833177
- Adoptive transfer of IL-10 macrophages to ischemic kidneys blunts acute kidney injury through induction of lipocalin-2. PMID: 22278021
- LIPOCALIN-2 is a major acute-phase protein in a rat and mouse model of sterile abscess PMID: 22249220
- Lcn2-induced cardiomyocyte apoptosis is of physiological significance and occurs via a mechanism involving elevated intracellular iron levels and Bax translocation. PMID: 22117066
- An evaluation of the SIP24 and MPO distribution and levels of expression in the rat uterus is consistent with the hypothesis that SIP24 modulates the neutrophil population by activities such as inducing their apoptosis. PMID: 16546827
- SMC-produced NGAL interacts with MMP-9, a mechanism by which NGAL may modulate MMP-9 proteolytic activity in the vascular repair process.[Neutrophil gelatinase-associated lipocalin, NGAL] PMID: 17148685
- LCN2 expression shows clear correlation to liver damage and resulting inflammatory responses, rather than to the degree of liver fibrosis, which in fact may imply a distinct diagnostic value as an early biomarker of liver inflammation. PMID: 21457438
- Cardiomyocytes, vascular wall cells and fibroblasts in myocarditis strongly express Lcn2/NGAL via proinflammatory cytokines PMID: 20057160
- Acute phase response to acute endotoxemia involves induction of Lcn2 in both the lung and liver. PMID: 17490638
顯示更多
收起更多
-
亞細胞定位:Secreted. Cytoplasmic granule lumen. Cytoplasmic vesicle lumen.
-
蛋白家族:Calycin superfamily, Lipocalin family
-
組織特異性:Detected in the ureteric bud in embryonic kidney (at protein level).
-
數據庫鏈接:
Most popular with customers
-
-
YWHAB Recombinant Monoclonal Antibody
Applications: ELISA, WB, IHC, IF, FC
Species Reactivity: Human, Mouse, Rat
-
Phospho-YAP1 (S127) Recombinant Monoclonal Antibody
Applications: ELISA, WB, IHC
Species Reactivity: Human
-
-
-
-
-















