LYN Antibody
-
中文名稱:LYN兔多克隆抗體
-
貨號:CSB-PA098019
-
規格:¥1100
-
圖片:
-
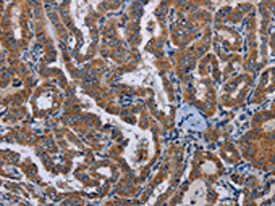
The image on the left is immunohistochemistry of paraffin-embedded Human thyroid cancer tissue using CSB-PA098019(LYN Antibody) at dilution 1/20, on the right is treated with fusion protein. (Original magnification: ×200)
-
The image on the left is immunohistochemistry of paraffin-embedded Human esophagus cancer tissue using CSB-PA098019(LYN Antibody) at dilution 1/20, on the right is treated with fusion protein. (Original magnification: ×200)
-
-
其他:
產品詳情
-
Uniprot No.:
-
基因名:
-
別名:AA407514 antibody; EC 2.7.10.2 antibody; FLJ26625 antibody; Hck 2 antibody; JTK 8 antibody; JTK8 antibody; Lck/Yes related novel protein tyrosine kinase antibody; LYN antibody; LYN proto oncogene, Src family tyrosine kinase antibody; LYN_HUMAN antibody; ONCOGENE LYN antibody; p53Lyn antibody; p56Lyn antibody; Tyrosine protein kinase LYN antibody; Tyrosine-protein kinase Lyn antibody; V yes 1 Yamaguchi sarcoma viral related oncogene homolog antibody; Yamaguchi sarcoma viral (v yes 1) related oncogene homolog antibody
-
宿主:Rabbit
-
反應種屬:Human,Mouse,Rat
-
免疫原:Fusion protein of Human LYN
-
免疫原種屬:Homo sapiens (Human)
-
標記方式:Non-conjugated
-
抗體亞型:IgG
-
純化方式:Antigen affinity purification
-
濃度:It differs from different batches. Please contact us to confirm it.
-
保存緩沖液:-20°C, pH7.4 PBS, 0.05% NaN3, 40% Glycerol
-
產品提供形式:Liquid
-
應用范圍:ELISA,IHC
-
推薦稀釋比:
Application Recommended Dilution ELISA 1:1000-1:2000 IHC 1:25-1:100 -
Protocols:
-
儲存條件:Upon receipt, store at -20°C or -80°C. Avoid repeated freeze.
-
貨期:Basically, we can dispatch the products out in 1-3 working days after receiving your orders. Delivery time maybe differs from different purchasing way or location, please kindly consult your local distributors for specific delivery time.
-
用途:For Research Use Only. Not for use in diagnostic or therapeutic procedures.
相關產品
靶點詳情
-
功能:Non-receptor tyrosine-protein kinase that transmits signals from cell surface receptors and plays an important role in the regulation of innate and adaptive immune responses, hematopoiesis, responses to growth factors and cytokines, integrin signaling, but also responses to DNA damage and genotoxic agents. Functions primarily as negative regulator, but can also function as activator, depending on the context. Required for the initiation of the B-cell response, but also for its down-regulation and termination. Plays an important role in the regulation of B-cell differentiation, proliferation, survival and apoptosis, and is important for immune self-tolerance. Acts downstream of several immune receptors, including the B-cell receptor, CD79A, CD79B, CD5, CD19, CD22, FCER1, FCGR2, FCGR1A, TLR2 and TLR4. Plays a role in the inflammatory response to bacterial lipopolysaccharide. Mediates the responses to cytokines and growth factors in hematopoietic progenitors, platelets, erythrocytes, and in mature myeloid cells, such as dendritic cells, neutrophils and eosinophils. Acts downstream of EPOR, KIT, MPL, the chemokine receptor CXCR4, as well as the receptors for IL3, IL5 and CSF2. Plays an important role in integrin signaling. Regulates cell proliferation, survival, differentiation, migration, adhesion, degranulation, and cytokine release. Down-regulates signaling pathways by phosphorylation of immunoreceptor tyrosine-based inhibitory motifs (ITIM), that then serve as binding sites for phosphatases, such as PTPN6/SHP-1, PTPN11/SHP-2 and INPP5D/SHIP-1, that modulate signaling by dephosphorylation of kinases and their substrates. Phosphorylates LIME1 in response to CD22 activation. Phosphorylates BTK, CBL, CD5, CD19, CD72, CD79A, CD79B, CSF2RB, DOK1, HCLS1, LILRB3/PIR-B, MS4A2/FCER1B, SYK and TEC. Promotes phosphorylation of SIRPA, PTPN6/SHP-1, PTPN11/SHP-2 and INPP5D/SHIP-1. Mediates phosphorylation of the BCR-ABL fusion protein. Required for rapid phosphorylation of FER in response to FCER1 activation. Mediates KIT phosphorylation. Acts as an effector of EPOR (erythropoietin receptor) in controlling KIT expression and may play a role in erythroid differentiation during the switch between proliferation and maturation. Depending on the context, activates or inhibits several signaling cascades. Regulates phosphatidylinositol 3-kinase activity and AKT1 activation. Regulates activation of the MAP kinase signaling cascade, including activation of MAP2K1/MEK1, MAPK1/ERK2, MAPK3/ERK1, MAPK8/JNK1 and MAPK9/JNK2. Mediates activation of STAT5A and/or STAT5B. Phosphorylates LPXN on 'Tyr-72'. Kinase activity facilitates TLR4-TLR6 heterodimerization and signal initiation. Phosphorylates SCIMP on 'Tyr-107'; this enhances binding of SCIMP to TLR4, promoting the phosphorylation of TLR4, and a selective cytokine response to lipopolysaccharide in macrophages. Phosphorylates CLNK.
-
基因功能參考文獻:
- Fyn and Lyn as important factors that promote Plasmacytoid dendritic cell responses. PMID: 28368000
- these findings demonstrated that Lyn overexpression ameliorated airway mucus hypersecretion by down-regulating STAT6 and its binding to the MUC5AC promoter. PMID: 28205598
- overexpression LYN promoted tumor growth, meanwhile knockdown LYN inhibited tumor growth. These results indicate that LYN tyrosine kinase is an oncogenic gene and can serve as a novel target for cervical cancer research and therapy. PMID: 27690342
- LYN is a useful prognostic marker and a selective target of dasatinib therapy in the lung adenocarcinoma subpopulation, especially in female non-smokers with lung adenocarcinoma. PMID: 27756880
- SHP-1 tyrosine 536 phosphorylation by Lyn activates the phosphatase promoting inhibitory signaling through the immunoreceptor. PMID: 28811476
- A novel pancancer mechanism of Lyn-dependent control of epithelial-mesenchymal transition and role of this kinase in tumor progression. PMID: 28288135
- Authors demonstrate that LYN kinase is essential for CLL progression. Lyn deficiency results in a significantly reduced CLL burden in vivo. PMID: 27728807
- Our studies indicate not only a concept of mucus hypersecretion in asthma that involves Lyn kinase but also an important therapeutic candidate for asthma. PMID: 28024734
- LPS tolerance interferes with TLR4 signaling by inhibiting Lyn and c-Src phosphorylation and their recruitment to TLR4, while increasing the phosphatase activity and expression of PP2A, PTPN22, PTP1B and MKP1. PMID: 26457672
- SYK, LYN and PTPN6 were markedly elevated in atherosclerotic plaques of carotid atherosclerosis patients. PMID: 26742467
- Our data suggests that nuclear Lyn is a potential therapeutic target for clear cell renal cell carcinoma and dasatinib affects cellular functions associated with cancer progression via a Src kinase independent mechanism. PMID: 26984511
- Authors discovered in this study that LYN was a critical gene. It was found to be the key nodule of several significant biological networks. PMID: 26708841
- Inhibition of Lyn activity using dasatinib in mantle cell lymphoma overcomes bortezomib resistance. PMID: 26517678
- positively regulates NF-kappaB transactivation through the phosphorylation of the p110 subunit of PI 3-kinase PMID: 26055819
- This study showed an interdependence between ROS generation and lipid rafts and Lyn relocation leading the cells to undergo the successive acrosome reaction. PMID: 26308013
- SRC, LYN and CKB expression or DNA methylation could be useful markers for predicting tumor progression. PMID: 26460485
- Suggest an interrelated kinase module involving c-Raf/PI3K/Lyn and perhaps Fgr functions in a nontraditional way during retinoic acid-induced maturation or during rescue of RA induction therapy using inhibitor co-treatment in RA-resistant leukemia cells. PMID: 25817574
- Diminished Lyn levels impair Claudin-2 expression in breast cancer cells. The Lyn-selective kinase inhibitor, Bafetinib (INNO-406), reduces Claudin-2 expression and suppresses breast cancer liver metastasis. PMID: 25823815
- Demonstrate role for CBL in the control of AXL/SYK/LYN network mediating resistance to nilotinib treatment in chronic myeloid leukemia cells. PMID: 25965880
- Fyn, but not Lyn, was required for complete Pyk2 phosphorylation by thrombin. PMID: 25967238
- interaction between LacCer and Lyn in the lipid rafts of neutrophil-like cells PMID: 25418321
- These results suggest that LYN mutations mediate escape from antiestrogens in a subset of ER(+) breast cancers. PMID: 25401474
- molecular or pharmacologic inhibition of the Lyn-PI3K/AKT pathway, markedly increased the sensitivity of the otherwise chemoresistant Cbl mutant-JMML cells to chemotherapeutic agents currently used in the treatment of JMML patients PMID: 24469048
- Lyn tyrosine kinase promotes silencing of ATM-dependent checkpoint signaling during recovery from DNA double-strand breaks. PMID: 25173936
- Cell detachment-induced Lyn activation through the change in the membrane distribution of Lyn plays an important role in survival of suspension cells. PMID: 25104351
- Lyn kinase activity is important for CD38-associated signaling that may drive all-trans retinoic acid-induced differentiation. PMID: 24686085
- An EphA4-Lyn pathway was identified that is essential for the metabolism of amyloid precursor protein. PMID: 24217950
- PSTPIP2 dysregulation contributes to aberrant terminal differentiation in GATA-1-deficient megakaryocytes by activating LYN. PMID: 24407241
- Our data suggest that the LYN/PTEN expression ratio may be a sensitive monitor of disease progression in unmutated CML patients under imatinib or nilotinib treatment. PMID: 24091144
- Lyn gene expression levels increase with primary glioma tumor grade and inversely correlate with patient survival. TWEAK protein promotes glioblastoma cell chemotaxis via Lyn activation. PMID: 23975833
- MBNL142-43 bind the Src-homology 3 domain of Src family kinases (SFKs) via their proline-rich motifs. PMID: 23949219
- in contrast to c-Src and Yes, which increase vascular permeability in response to stimuli, Lyn stabilizes endothelial junctions through phosphorylation of FAK. PMID: 24108461
- Associations between treatment response and Lyn, Syk, PLCgamma2 and ERK were not found. PMID: 23039362
- These data demonstrate a mechanism whereby Fyn and Lyn, redundantly mediate anticryptococcal killing by inducing the polarization of perforin-containing granules to the NK cell-cryptococcal synapse. PMID: 23918783
- Lyn, a Src family kinase, regulates activation of epidermal growth factor receptors in lung adenocarcinoma cells. PMID: 23866081
- These results reveal that elevated expression of miR-30a is responsible for the reduction in levels of Lyn in B cells from patients with systemic lupus erythematosus, suggesting that miR-30a plays an important role in B cell hyperactivity. PMID: 23450709
- results define a novel signaling pathway in basal breast cancer involving Lyn and SgK269 that offers clinical opportunities for therapeutic intervention PMID: 23378338
- these data suggest a novel role for Lyn in erythroid cell survival. PMID: 23583449
- Oridonin inhibiting activations of LYN (one of SRC family kinases) and ABL and their downstream Akt/mTOR, Raf/MEK/ERK and STAT5 pathways. PMID: 22895079
- The E613R allele of CD45 produces neither a pure hypomorphic nor a hypermorphic variant of the phosphatase; rather, it appears to alter CD45 substrate selectivity for specific Src-family kinases. PMID: 23396948
- our findings demonstrate that Yes and Lyn phosphorylate EGFR at Y1101, which influences EGFR nuclear translocation in this model of cetuximab resistance. PMID: 22430206
- The Dok-3/Grb2 protein signal module attenuates Lyn kinase-dependent activation of Syk kinase in B cell antigen receptor microclusters PMID: 23223229
- The interaction between Lyn and FcepsilonRIbeta is indispensable for FcepsilonRI-mediated human mast cell activation. PMID: 22845063
- Lyn is involved in CD24-induced ERK1/2 activation in colorectal cancer. PMID: 22731636
- findings show that Lyn mediates tumor progression of EGFRvIII-expressing head and neck squamous cell carcinomas PMID: 22490227
- Data show that a higher percentage of classical Hodgkin lymphoma cases expressing Lyn, Fyn and Syk compared with previous reports. PMID: 21749309
- the activation of Hck, Lyn and c-Src by Nef is highly conserved among all major clades of HIV-1 PMID: 22393415
- The role of the Src family kinase Lyn in the immunomodulatory activities of cathelicidin peptide LL-37 on monocytic cells PMID: 22246800
- In chorea acanthocytosis red blood cells, band 3 Tyr phosphorylation by Lyn was independent of the canonical Syk-mediated pathway. PMID: 21951684
- describe a Lyn-dependent mechanism for promoting localized integrin activation and establishing adhesion sites at the leading edge to allow neutrophils to move forward in the chemoattractant gradient. PMID: 21628423
顯示更多
收起更多
-
相關疾病:Constitutively phosphorylated and activated in cells from a number of chronic myelogenous leukemia (CML) and acute myeloid leukemia (AML) patients. Mediates phosphorylation of the BCR-ABL fusion protein. Abnormally elevated expression levels or activation of LYN signaling may play a role in survival and proliferation of some types of cancer cells.
-
亞細胞定位:Cell membrane. Nucleus. Cytoplasm. Cytoplasm, perinuclear region. Golgi apparatus. Membrane; Lipid-anchor. Note=Accumulates in the nucleus by inhibition of CRM1-mediated nuclear export. Nuclear accumulation is increased by inhibition of its kinase activity. The trafficking from the Golgi apparatus to the plasma membrane occurs in a kinase domain-dependent but kinase activity independent manner and is mediated by exocytic vesicular transport. Detected on plasma membrane lipid rafts.
-
蛋白家族:Protein kinase superfamily, Tyr protein kinase family, SRC subfamily
-
組織特異性:Detected in monocytes (at protein level). Detected in placenta, and in fetal brain, lung, liver and kidney. Widely expressed in a variety of organs, tissues, and cell types such as epidermoid, hematopoietic, and neuronal cells. Expressed in primary neurob
-
數據庫鏈接:
Most popular with customers
-
-
YWHAB Recombinant Monoclonal Antibody
Applications: ELISA, WB, IHC, IF, FC
Species Reactivity: Human, Mouse, Rat
-
Phospho-YAP1 (S127) Recombinant Monoclonal Antibody
Applications: ELISA, WB, IHC
Species Reactivity: Human
-
-
-
-
-















