LY6K Antibody
-
中文名稱:LY6K兔多克隆抗體
-
貨號:CSB-PA621061LA01HU
-
規格:¥440
-
圖片:
-
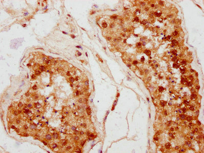
IHC image of CSB-PA621061LA01HU diluted at 1:400 and staining in paraffin-embedded human testis tissue performed on a Leica BondTM system. After dewaxing and hydration, antigen retrieval was mediated by high pressure in a citrate buffer (pH 6.0). Section was blocked with 10% normal goat serum 30min at RT. Then primary antibody (1% BSA) was incubated at 4°C overnight. The primary is detected by a biotinylated secondary antibody and visualized using an HRP conjugated SP system.
-
-
其他:
產品詳情
-
產品名稱:Rabbit anti-Homo sapiens (Human) LY6K Polyclonal antibody
-
Uniprot No.:
-
基因名:LY6K
-
別名:LY6K antibody; CO16 antibody; Lymphocyte antigen 6K antibody; Ly-6K antibody
-
宿主:Rabbit
-
反應種屬:Human
-
免疫原:Recombinant Human Lymphocyte antigen 6K protein (18-138AA)
-
免疫原種屬:Homo sapiens (Human)
-
標記方式:Non-conjugated
本頁面中的產品,LY6K Antibody (CSB-PA621061LA01HU),的標記方式是Non-conjugated。對于LY6K Antibody,我們還提供其他標記。見下表:
-
克隆類型:Polyclonal
-
抗體亞型:IgG
-
純化方式:>95%, Protein G purified
-
濃度:It differs from different batches. Please contact us to confirm it.
-
保存緩沖液:Preservative: 0.03% Proclin 300
Constituents: 50% Glycerol, 0.01M PBS, pH 7.4 -
產品提供形式:Liquid
-
應用范圍:ELISA, IHC
-
推薦稀釋比:
Application Recommended Dilution IHC 1:200-1:500 -
Protocols:
-
儲存條件:Upon receipt, store at -20°C or -80°C. Avoid repeated freeze.
-
貨期:Basically, we can dispatch the products out in 1-3 working days after receiving your orders. Delivery time maybe differs from different purchasing way or location, please kindly consult your local distributors for specific delivery time.
-
用途:For Research Use Only. Not for use in diagnostic or therapeutic procedures.
相關產品
靶點詳情
-
功能:Required for sperm migration into the oviduct and male fertility by controlling binding of sperm to zona pellucida. May play a role in cell growth.
-
基因功能參考文獻:
- breast cancer risk and metastasis were significantly associated with not only LY6K expression, but also methylation of CGI shore which induced by SNP242 mutation. PMID: 27494879
- miR-192-5p, induced by LY6K, downregulates ERalpha directly and induced tamoxifen resistance in ERalpha-positive breast cancer cells; re-expression of ERalpha in ERalpha-negative breast cancer cells increased miR-500a-3p expression and directly inhibits LY6K expression PMID: 27304060
- LY6K overexpression is associated with Breast Cancer Progression, Immune Escape, and Drug Resistance. PMID: 27197181
- Data show that TTK protein kinase, lymphocyte antigen 6 complex locus K and insulin-like growth factor (IGF)-II mRNA binding protein 3 are tumor-associated antigens recognized by cytotoxic T lymphocytes and HLA-A24-restricted epitope peptides. PMID: 17784873
- AP-1 activation has an important role in promoting LY6K gene expression that regulates cell mobility of breast cancer cells PMID: 22988241
- it appears that LY6K is constitutively overexpressed either by copy number changes, or by yet unknown mechanisms in gingivobuccal squamous cell carcinoma PMID: 22072328
- Useful as a tumor biomarker and probably as a target for the development of new molecular therapies for cancer treatment. PMID: 18089789
顯示更多
收起更多
-
亞細胞定位:Secreted. Cytoplasm. Cell membrane; Lipid-anchor, GPI-anchor. Cytoplasmic vesicle, secretory vesicle, acrosome. Membrane raft.
-
組織特異性:Specifically expressed in testis (at protein level).
-
數據庫鏈接:
Most popular with customers
-
-
YWHAB Recombinant Monoclonal Antibody
Applications: ELISA, WB, IHC, IF, FC
Species Reactivity: Human, Mouse, Rat
-
Phospho-YAP1 (S127) Recombinant Monoclonal Antibody
Applications: ELISA, WB, IHC
Species Reactivity: Human
-
-
-
-
-















