LPCAT4 Antibody
-
中文名稱:LPCAT4兔多克隆抗體
-
貨號:CSB-PA933890
-
規格:¥1100
-
圖片:
-
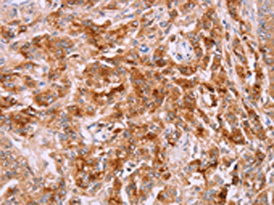
The image on the left is immunohistochemistry of paraffin-embedded Human prostate cancer tissue using CSB-PA933890(LPCAT4 Antibody) at dilution 1/15, on the right is treated with synthetic peptide. (Original magnification: ×200)
-
Gel: 8%SDS-PAGE, Lysate: 40 μg, Lane: Human testis tissue, Primary antibody: CSB-PA933890(LPCAT4 Antibody) at dilution 1/200, Secondary antibody: Goat anti rabbit IgG at 1/8000 dilution, Exposure time: 8 minutes
-
-
其他:
產品詳情
-
Uniprot No.:
-
基因名:LPCAT4
-
別名:LPCAT4; AGPAT7; AYTL3; LPEAT2; Lysophospholipid acyltransferase LPCAT4; 1-acylglycerol-3-phosphate O-acyltransferase 7; 1-AGP acyltransferase 7; 1-AGPAT 7; 1-acylglycerophosphocholine O-acyltransferase; 1-acylglycerophosphoserine O-acyltransferase; 1-alkenylglycerophosphoethanolamine O-acyltransferase; 1-alkylglycerophosphocholine O-acetyltransferase; Acyltransferase-like 3; Lysophosphatidylcholine acyltransferase 4; Lysophosphatidylethanolamine acyltransferase 2; Plasmalogen synthase
-
宿主:Rabbit
-
反應種屬:Human,Mouse
-
免疫原:Synthetic peptide of Human LPCAT4
-
免疫原種屬:Homo sapiens (Human)
-
標記方式:Non-conjugated
-
抗體亞型:IgG
-
純化方式:Antigen affinity purification
-
濃度:It differs from different batches. Please contact us to confirm it.
-
保存緩沖液:-20°C, pH7.4 PBS, 0.05% NaN3, 40% Glycerol
-
產品提供形式:Liquid
-
應用范圍:ELISA,WB,IHC
-
推薦稀釋比:
Application Recommended Dilution ELISA 1:2000-1:5000 WB 1:200-1:1000 IHC 1:25-1:100 -
Protocols:
-
儲存條件:Upon receipt, store at -20°C or -80°C. Avoid repeated freeze.
-
貨期:Basically, we can dispatch the products out in 1-3 working days after receiving your orders. Delivery time maybe differs from different purchasing way or location, please kindly consult your local distributors for specific delivery time.
-
用途:For Research Use Only. Not for use in diagnostic or therapeutic procedures.
相關產品
靶點詳情
-
功能:Displays acyl-CoA-dependent lysophospholipid acyltransferase activity with a subset of lysophospholipids as substrates; converts lysophosphatidylethanolamine to phosphatidylethanolamine, lysophosphatidylcholine to phosphatidycholine, 1-alkenyl-lysophatidylethanolamine to 1-alkenyl-phosphatidylethanolamine, lysophosphatidylglycerol and alkyl-lysophosphatidylcholine to phosphatidylglycerol and alkyl-phosphatidylcholine, respectively. In contrast, has no lysophosphatidylinositol, glycerol-3-phosphate, diacylglycerol or lysophosphatidic acid acyltransferase activity. Prefers long chain acyl-CoAs (C16, C18) as acyl donors.
-
基因功能參考文獻:
- LPCAT4 is overexpressed and involved in the deregulation of PC(16:0/16:1) in colorectal cancer. PMID: 23815430
- report the cloning and characterization of a novel human 1-acyl-sn-glycerol-3-phosphate acyltransferase member AGPAT7 (1-acyl-sn-glycerol-3-phosphate acyltransferase 7) gene, which was mapped to human chromosome 15q14 PMID: 16243729
- LPEAT2 as an important enzyme in the biosynthesis of ethanolamine-containing phospholipids, especially in brain. PMID: 18458083
-
亞細胞定位:Endoplasmic reticulum membrane; Multi-pass membrane protein.
-
蛋白家族:1-acyl-sn-glycerol-3-phosphate acyltransferase family
-
組織特異性:Widely expressed with predominant level in brain.
-
數據庫鏈接:
Most popular with customers
-
-
YWHAB Recombinant Monoclonal Antibody
Applications: ELISA, WB, IHC, IF, FC
Species Reactivity: Human, Mouse, Rat
-
Phospho-YAP1 (S127) Recombinant Monoclonal Antibody
Applications: ELISA, WB, IHC
Species Reactivity: Human
-
-
-
-
-















