LPAR1 Antibody
-
中文名稱:LPAR1兔多克隆抗體
-
貨號:CSB-PA559394
-
規格:¥1100
-
圖片:
-
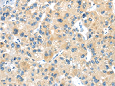
The image on the left is immunohistochemistry of paraffin-embedded Human liver cancer tissue using CSB-PA559394(LPAR1 Antibody) at dilution 1/20, on the right is treated with synthetic peptide. (Original magnification: ×200)
-
Gel: 12%SDS-PAGE,Lysate: 40 μg,,Primary antibody: CSB-PA559394(LPAR1 Antibody) at dilution 1/200 dilution,Secondary antibody: Goat anti rabbit IgG at 1/8000 dilution,Exposure time: 2 minutes
-
-
其他:
產品詳情
-
Uniprot No.:
-
基因名:
-
別名:LPAR1; EDG2; LPA1; Lysophosphatidic acid receptor 1; LPA receptor 1; LPA-1; Lysophosphatidic acid receptor Edg-2
-
宿主:Rabbit
-
反應種屬:Human,Mouse,Rat
-
免疫原:Synthetic peptide of Human LPAR1
-
免疫原種屬:Homo sapiens (Human)
-
標記方式:Non-conjugated
-
抗體亞型:IgG
-
純化方式:Antigen affinity purification
-
濃度:It differs from different batches. Please contact us to confirm it.
-
保存緩沖液:-20°C, pH7.4 PBS, 0.05% NaN3, 40% Glycerol
-
產品提供形式:Liquid
-
應用范圍:ELISA,WB,IHC
-
推薦稀釋比:
Application Recommended Dilution ELISA 1:1000-1:2000 WB 1:200-1:1000 IHC 1:25-1:100 -
Protocols:
-
儲存條件:Upon receipt, store at -20°C or -80°C. Avoid repeated freeze.
-
貨期:Basically, we can dispatch the products out in 1-3 working days after receiving your orders. Delivery time maybe differs from different purchasing way or location, please kindly consult your local distributors for specific delivery time.
-
用途:For Research Use Only. Not for use in diagnostic or therapeutic procedures.
相關產品
靶點詳情
-
功能:Receptor for lysophosphatidic acid (LPA). Plays a role in the reorganization of the actin cytoskeleton, cell migration, differentiation and proliferation, and thereby contributes to the responses to tissue damage and infectious agents. Activates downstream signaling cascades via the G(i)/G(o), G(12)/G(13), and G(q) families of heteromeric G proteins. Signaling inhibits adenylyl cyclase activity and decreases cellular cAMP levels. Signaling triggers an increase of cytoplasmic Ca(2+) levels. Activates RALA; this leads to the activation of phospholipase C (PLC) and the formation of inositol 1,4,5-trisphosphate. Signaling mediates activation of down-stream MAP kinases. Contributes to the regulation of cell shape. Promotes Rho-dependent reorganization of the actin cytoskeleton in neuronal cells and neurite retraction. Promotes the activation of Rho and the formation of actin stress fibers. Promotes formation of lamellipodia at the leading edge of migrating cells via activation of RAC1. Through its function as lysophosphatidic acid receptor, plays a role in chemotaxis and cell migration, including responses to injury and wounding. Plays a role in triggering inflammation in response to bacterial lipopolysaccharide (LPS) via its interaction with CD14. Promotes cell proliferation in response to lysophosphatidic acid. Required for normal skeleton development. May play a role in osteoblast differentiation. Required for normal brain development. Required for normal proliferation, survival and maturation of newly formed neurons in the adult dentate gyrus. Plays a role in pain perception and in the initiation of neuropathic pain.
-
基因功能參考文獻:
- ATX-LPA axis facilitates estrogen-induced endometrial cancer cell proliferation via MAPK/ERK signaling pathway. PMID: 29328374
- DLD-C-F cells formed large-sized colonies, but not DLD-F-C cells, correlating with LPAR1 and LPAR6 gene expression levels. These results suggest that LPA1 and LPA6 may regulate the colony formation activity in DLD1 cells treated with anticancer drugs. PMID: 29369010
- endogenous LPA1 receptor signaling and regulation PMID: 28943105
- The increased expression of LPA and LPAR1 is associated with the fibrosis and hypertrophy of the ligamentum flavum in patients with Lumbar Spinal Stenosis. PMID: 28323698
- myeloma cells stimulate mesenchymal stem cells (MSCs to produce autotaxin, an indispensable enzyme for the biosynthesis of lysophosphatidic acid, and LPA receptor 1 (LPA1) and 3 (LPA3) transduce opposite signals to MSCs to determine the fate of MSCs. PMID: 27641212
- LPA1 plays a critical role in EGF responses and that FFA4 agonists inhibit proliferation by suppressing positive cross-talk between LPA1 and the EGF receptor PMID: 27474750
- ADAMTS7 and LPA single nucleotide polymorphisms are related to a 24-h ambulatory systolic-diastolic pressure regression index. PMID: 28092973
- Polymorphism rs7023923 located near LPAR1 gene: the association of rs7023923 with monocytosis was confirmed among healthy blood donors (p = 0.0156) but not among patients admitted for elective coronarography (p = 0.61). PMID: 25563464
- These results suggest that autotaxin-LPA-LPA receptor 1-AKT1 signaling axis is critical for maintaining Cancer stem cells(CSC) characteristics through an autocrine loop and provide a novel therapeutic target for ovarian CSCs PMID: 26800320
- LPA-type agonist, via Carbonyl-oxygen/Lys39 interaction facilitates the formation of a hypothetical N-terminal cap tightly packed over the LPA1 heptahelical bundle. PMID: 26268898
- Data show high expression levels of LPAR2 and LPAR1 in endometrial cancer tissue with positive correlations with FIGO stage suggesting them as potential biomarkers for endometrial cancer progression. PMID: 26327335
- Data suggest LPA (lysophosphatidic acid; acting via LPAR1) and endothelin activate Cdc42, concurrent with biphasic decrease in Rac1 activity, differential effects on RhoA; LPA/endothelin stim. leads to remodeling of invadosomes in melanoma cells. PMID: 26740622
- we show that LPAR1 is a novel susceptibility gene for human essential hypertension and that stress, such as shortage of sleep, increases the susceptibility of patients with risk allele to essential hypertension. PMID: 26123684
- Study presents three crystal structures of LPA1 in complex with antagonist tool compounds selected and designed through structural and stability analyses. PMID: 26091040
- Results indicate that lysophosphatidic acid-lysophosphatidic acid receptor 1 (LPA-LPA1) signaling contributes to the activation of rheumatoid arthritis fibroblast-like synoviocytes (FLSs). PMID: 25273676
- Lysophosphatidylethanolamine utilizes LPA(1) and CD97 in a breast cancer cell line. PMID: 23838008
- LPA1 and LPA2 are major LPA receptor subtypes compared with low-expressed LPA3 in PANC-1 tumor cells. PMID: 24061591
- Lysophosphatidic acid (LPA) increased hepatocellular carcinoma cells cell invasion, which was LPA-receptor dependent. PMID: 23569130
- This review aims to characterize gintonin as an LPA receptor ligand and lists the advantages of LPA-ginseng protein complexes over free LPAs. PMID: 23017203
- study identified a novel role of TGFbeta in the control of LPA1 expression and LPA1-coupled biological functions, adding LPA1 to the list of TGFbeta-repressed target genes PMID: 22824789
- CD97 expression in human thyroid cancers correlated with LPA receptor and markers of aggressiveness including Ki67 and pAKT. PMID: 22797060
- a crosslink between Egr-1 and periostin in cancer cells PMID: 22659570
- The ability of LPA-LPA(1) signaling to promote epithelial cell apoptosis and fibroblast resistance to apoptosis may therefore contribute to the capacity of this signaling pathway to regulate the development of pulmonary fibrosis after lung injury. PMID: 22021336
- CD97 functioned to mediate invasion in prostate cancer cells, by associating with lysophosphatidic acid receptor 1 (LPAR1), leading to enhanced LPA-dependent RHO and extracellular signal-regulated kinase activation. PMID: 21978933
- the ATX-LPA-LPAR axis is a critical regulator of embryonic vascular development that is conserved in vertebrates PMID: 21971049
- This work shows for the first time that key components of the LPA pathway are modulated following traumatic brain injuries in humans. PMID: 21234797
- Mutation in LPA1 gene indicate that alteration in LPA receptor gene may play some role in the pathogenesis in human osteosarcoma cells. PMID: 21116120
- LPA1 receptor has a role in angiogenesis in tumor cells and xenografts PMID: 20708100
- Data show that CLL cells express LPA receptors LPA(1-5) and VEGF receptors, and the plasma levels of VEGF are elevated in CLL patients. PMID: 19860625
- show that human microglia express LPA receptor subtypes LPA(1), LPA(2), and LPA(3) on mRNA and protein level. LPA activation of C13NJ cells induced Rho and extracellular signal-regulated kinase activation and enhanced cellular ATP production. PMID: 19899077
- LP(A1) and myelin basic protein colocalized in brain, but oligodendrocyte soma showed stronger signals for LP(A1) than myelinated fibers, whereas the reverse was true for myelin basic protein so LP(A1) may be involved in myelin formation or maintenance. PMID: 11948806
- demonstrate that two biological fluids, blood plasma and seminal plasma, differentially activate LPA receptors PMID: 12123830
- Data suggest that LPA(1) receptors couple to a G(i)-phosphoinositide 3-kinase-Tiam1 pathway to activate Rac, with consequent suppression of RhoA activity, and thereby stimulate cell spreading and motility. PMID: 12393875
- lysophosphatidic acid-coupled LPA1/EDG-2 receptors are endocytosed via a dynamin2- and Rab5-dependent pathway PMID: 12668728
- LPA acts as a potent stimulator of colon cancer progression, although the binding to LPA1 and LPA2 induces slightly different responses. PMID: 12670925
- LPA stimulation promotes the interaction of the LPA(2) receptor with a focal adhesion molecule, TRIP6 PMID: 14688263
- EDG-2 expression was increased in low-grade adenoma compared with that in normal mucosa (P < 0.001). EDG-2 expression was significantly greater in adenomas with larger diameters (P < 0.001). PMID: 14696401
- Amyloid beta-protein stimulated in monocytes the gene expression for sphingosine-1-phosphate receptor 2, which is amyloid beta-protein-induced migration. PMID: 15208267
- data suggest that endothelial differentiation gene EDG-7 and EDG-2 lysophosphatidic acid receptors play a diverse role in mesangial cell proliferation PMID: 15292052
- formation of the LPA receptor/PDZ domain-containing RhoGEF complex plays a pivotal role in LPA-induced RhoA activation PMID: 15755723
- We show that in addition to promoting LPA(1) signaling, membrane cholesterol is essential for the association of LPA(1) with beta-arrestin, which leads to signal attenuation and clathrin-dependent endocytosis of LPA(1). PMID: 16263766
- These findings demonstrate that trafficking of LPA1 to the nucleus is influenced by cell-matrix interactions and that nuclear LPA1 may be involved in regulating intranuclear protein phosphorylation and signalling. PMID: 16716145
- LPA(1) transduces Galphai-dependent signals to promote nuclear localization of androgen receptor and cell proliferation PMID: 16809448
- EDG2 and EDG4 cooperate to promote LPA-stimulated chemotaxis in breast tumor cell lines. PMID: 17496233
- expression of LPA-induced inflammatory response genes is mediated by LPA1 and LPA3 PMID: 17923111
- Lysophosphatidic acid receptor 1 may contribute to the pathogenesis of rheumatoid arthritis through the modulation of fibroblast-like synoviocyte migration and cytokine production. PMID: 18006645
- distinct molecular mechanisms regulate agonist-dependent and PMA-dependent internalization of the LPA 1 receptor. PMID: 18089565
- Down-regulation of EDG2 is functionally important to suppression of tumor metastasis in breast neoplasms. PMID: 18089805
- Through the stepwise association study, an SNP located in the promoter region of EDG2 (-2,820G/A; rs10980705) showed significant association with knee osteoarthritis in two independent populations. PMID: 18325907
- LPA may play a role in angiogenesis of endometrium and placenta through induction of IL-8 in endometrial stromal cells during pregnancy. PMID: 18617617
顯示更多
收起更多
-
亞細胞定位:Cell surface. Cell membrane; Multi-pass membrane protein. Endosome.
-
蛋白家族:G-protein coupled receptor 1 family
-
組織特異性:Expressed in many adult organs, including brain, heart, colon, small intestine, placenta, prostate, ovary, pancreas, testes, spleen, skeletal muscle, and kidney. Little or no expression in liver, lung, thymus, or peripheral blood leukocytes. Detected in l
-
數據庫鏈接:
Most popular with customers
-
-
YWHAB Recombinant Monoclonal Antibody
Applications: ELISA, WB, IHC, IF, FC
Species Reactivity: Human, Mouse, Rat
-
Phospho-YAP1 (S127) Recombinant Monoclonal Antibody
Applications: ELISA, WB, IHC
Species Reactivity: Human
-
-
-
-
-















