LHB Antibody
-
中文名稱:LHB兔多克隆抗體
-
貨號:CSB-PA14659A0Rb
-
規格:¥440
-
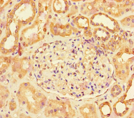
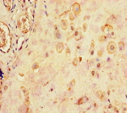
圖片:
-
其他:
產品詳情
-
產品名稱:Rabbit anti-Homo sapiens (Human) LHB Polyclonal antibody
-
Uniprot No.:
-
基因名:LHB
-
別名:CGB4 antibody; CHORIONIC GONADOTROPIN; BETA POLYPEPTIDE 4 antibody; hLHB antibody; Interstitial cell stimulating hormone beta chain antibody; Leutropin antibody; LH-B antibody; LHB antibody; LSH beta antibody; LSH-B antibody; LSH-beta antibody; LSHB antibody; LSHB_HUMAN antibody; Luteinizing hormone beta polypeptide antibody; Luteinizing hormone subunit beta antibody; Lutropin beta chain antibody; Lutropin subunit beta antibody
-
宿主:Rabbit
-
反應種屬:Human
-
免疫原:Recombinant Human Lutropin subunit beta protein (21-141AA)
-
免疫原種屬:Homo sapiens (Human)
-
標記方式:Non-conjugated
本頁面中的產品,LHB Antibody (CSB-PA14659A0Rb),的標記方式是Non-conjugated。對于LHB Antibody,我們還提供其他標記。見下表:
-
克隆類型:Polyclonal
-
抗體亞型:IgG
-
純化方式:>95%, Protein G purified
-
濃度:It differs from different batches. Please contact us to confirm it.
-
保存緩沖液:Preservative: 0.03% Proclin 300
Constituents: 50% Glycerol, 0.01M PBS, PH 7.4 -
產品提供形式:Liquid
-
應用范圍:ELISA, IHC
-
推薦稀釋比:
Application Recommended Dilution IHC 1:20-1:200 -
Protocols:
-
儲存條件:Upon receipt, store at -20°C or -80°C. Avoid repeated freeze.
-
貨期:Basically, we can dispatch the products out in 1-3 working days after receiving your orders. Delivery time maybe differs from different purchasing way or location, please kindly consult your local distributors for specific delivery time.
-
用途:For Research Use Only. Not for use in diagnostic or therapeutic procedures.
相關產品
靶點詳情
-
功能:Promotes spermatogenesis and ovulation by stimulating the testes and ovaries to synthesize steroids.
-
基因功能參考文獻:
- The rs34349826 and rs6521 loci of the LHB gene were not related to male infertility, which can be further confirmed by larger-sample studies. The GG genotype combination is a protective factor against male infertility. PMID: 30173455
- Homozygous nonsense mutation Trp28X in the LHB gene causes LH deficiency. PMID: 29476300
- A 20-year-old male from a consanguineous family had pubertal delay, hypogonadism and undetectable LH. A homozygous c.118_120del (p.Lys40del) mutation was identified in the patient and his brother, who subsequently had the same phenotype. PMID: 27656125
- In girls with central precocious puberty, increased body mass index (BMI) was associated with slightly lower peak stimulated luteinizing hormone (LH) levels at early pubertal stages (Tanner stages 2 and 3). PMID: 27215137
- LHbeta G1052A and LHCGR G935A genes polymorphisms are associated with increased risk of polycystic ovary syndrome in Egyptian women especially in obese cases. PMID: 26662070
- The Trp8Arg/Ile15Thr polymorphism within the LHB gene was not associated with endometriosis and infertility. PMID: 25935136
- This paper shows a conclusive contribution of Variant-Luteinizing hormone to the natural variance in male serum Luteinizing hormone levels PMID: 25820123
- the frequency of v-betaLH in Denmark is similar to a number of European countries PMID: 23725475
- LH, progesterone, and TSH can stimulate aldosterone. PMID: 24297486
- Data indicate a modulatory effect of luteinizing hormone beta-subunit (LHB) gene polymorphisms on hyperandrogenemia phenotype of Polycystic Ovary Syndrome (PCOS) was observed. PMID: 25111116
- No association was found between poor ovarian response to ovarian stimulation and variant-betaLH. PMID: 24625195
- Both estradiol and progesterone uniquely modulate basal and GnRH-stimulated gonadotropin promoters without affecting cell growth. PMID: 23160221
- FOXO1 transcription factor inhibits luteinizing hormone beta gene expression in pituitary gonadotrope cells PMID: 22865884
- Results suggested LH G1052A mutation might influence polycystic ovary syndrome susceptibility and phenotypes. PMID: 22546001
- Polymorphisms of Trp8Arg and Ile15Thr in the LH-beta subunit gene occur in infertile women. PMID: 22108961
- We identified seven SNPs in the LH beta gene; one SNP in exon 3 (rs#1056917) exhibited significant difference in the allele frequency between the PCOS cases and controls PMID: 22209983
- the presence of LHbeta G1502A and ERbeta G+1730A polymorphisms is associated with infertility and endometriosis associated infertility.When two polymorphisms are present it does not appear to increase the chance of developing endometriosis or infertility. PMID: 21764500
- Both normal-weight and overweight women with classic PCOS phenotypes present higher LH levels and LH-to-FSH ratios than women with similar BMI but the newer phenotypes. PMID: 21353371
- A dileucine determinant in the carboxyl terminal sequence of the luteinizing hormone beta subunit is implicated in the regulated secretion of lutropin PMID: 21458524
- Variant LH remains longer in circulation than wild type during GnRH receptor blockade in heterozygous women, in accord with its higher content of sialic acid. PMID: 19890021
- relationship between endometriosis and a variant of the beta-subunit of luteinizing hormone PMID: 12042273
- findings demonstrate that Gly(102)Ser mutation of the LHbeta gene does not affect receptor binding and bioactivity of the hormone, when tested in vitro PMID: 12356936
- Results suggest that a single nucleotide polymorphism alters the post-translational modification of luteinizing hormone beta and hence its structural phenotype. PMID: 12683946
- MIP-2A (MBP-1 interacting protein-2A) preferentially expresses in certain tissues, including the pituitary gland, and negatively regulates the LHbeta gene transcription PMID: 12700240
- genetically determined variation in LH function might affect susceptibility to prostate cancer via altered testosterone secretion. PMID: 12746844
- pituitary exit of LH and FSH occur via different secretion pathways, and are released spatially from the pituitary via different circulatory routes. PMID: 14585810
- LH modulates the processing of amyloid-beta precursor protein and amyloid-beta deposition PMID: 14871891
- LHbeta-null mice are viable but demonstrate postnatal defects in gonadal growth and function resulting in infertility. PMID: 15569941
- The tight linkage between the two missense substitutions in the coding region and the eight nucleotide substitutions in the promoter region of LHB appears to be common to various ethnic groups. PMID: 16410673
- homozygous mutation of a 5' splice site in LHB: IVS2+1G-->C disrupts the splicing of messenger RNA, generating a gross abnormality in the processing of the luteinizing hormone beta-subunit mRNA, which abrogates the secretion of luteinizing hormone PMID: 17761593
- GnRH stimulation of signaling pathway for annexin A5 mRNA expression is distinct from that of LHbeta mRNA and dependent more on MAPK. PMID: 18703851
- Progesterone feedback at the level of the pituitary gonadotrope is likely to play a key role in differential production of the gonadotropin genes. PMID: 19106225
- Inactivating mutations of luteinizing hormone beta-subunit or luteinizing hormone receptor cause oligo-amenorrhea and infertility in women. PMID: 19129711
- v-betaLH is more frequent in women with ovarian resistance to rhFSH. PMID: 19146763
顯示更多
收起更多
-
相關疾病:Hypogonadotropic hypogonadism 23 without anosmia (HH23)
-
亞細胞定位:Secreted.
-
蛋白家族:Glycoprotein hormones subunit beta family
-
組織特異性:Pituitary gland.
-
數據庫鏈接:
Most popular with customers
-
-
YWHAB Recombinant Monoclonal Antibody
Applications: ELISA, WB, IHC, IF, FC
Species Reactivity: Human, Mouse, Rat
-
Phospho-YAP1 (S127) Recombinant Monoclonal Antibody
Applications: ELISA, WB, IHC
Species Reactivity: Human
-
-
-
-
-















