LAMP2 Antibody
-
中文名稱:LAMP2兔多克隆抗體
-
貨號:CSB-PA995283
-
規格:¥1100
-
圖片:
-
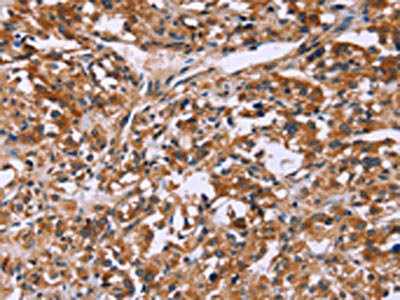
The image on the left is immunohistochemistry of paraffin-embedded Human liver cancer tissue using CSB-PA995283(LAMP2 Antibody) at dilution 1/30, on the right is treated with fusion protein. (Original magnification: ×200)
-
The image on the left is immunohistochemistry of paraffin-embedded Human thyroid cancer tissue using CSB-PA995283(LAMP2 Antibody) at dilution 1/30, on the right is treated with fusion protein. (Original magnification: ×200)
-
-
其他:
產品詳情
-
Uniprot No.:
-
基因名:
-
別名:LAMP2; Lysosome-associated membrane glycoprotein 2; LAMP-2; Lysosome-associated membrane protein 2; CD107 antigen-like family member B; LGP-96; CD antigen CD107b
-
宿主:Rabbit
-
反應種屬:Human
-
免疫原:Fusion protein of Human LAMP2
-
免疫原種屬:Homo sapiens (Human)
-
標記方式:Non-conjugated
-
抗體亞型:IgG
-
純化方式:Antigen affinity purification
-
濃度:It differs from different batches. Please contact us to confirm it.
-
保存緩沖液:-20°C, pH7.4 PBS, 0.05% NaN3, 40% Glycerol
-
產品提供形式:Liquid
-
應用范圍:ELISA,IHC
-
推薦稀釋比:
Application Recommended Dilution ELISA 1:2000-1:5000 IHC 1:50-1:200 -
Protocols:
-
儲存條件:Upon receipt, store at -20°C or -80°C. Avoid repeated freeze.
-
貨期:Basically, we can dispatch the products out in 1-3 working days after receiving your orders. Delivery time maybe differs from different purchasing way or location, please kindly consult your local distributors for specific delivery time.
-
用途:For Research Use Only. Not for use in diagnostic or therapeutic procedures.
相關產品
靶點詳情
-
功能:Plays an important role in chaperone-mediated autophagy, a process that mediates lysosomal degradation of proteins in response to various stresses and as part of the normal turnover of proteins with a long biological half-live. Functions by binding target proteins, such as GAPDH and MLLT11, and targeting them for lysosomal degradation. Plays a role in lysosomal protein degradation in response to starvation. Required for the fusion of autophagosomes with lysosomes during autophagy. Cells that lack LAMP2 express normal levels of VAMP8, but fail to accumulate STX17 on autophagosomes, which is the most likely explanation for the lack of fusion between autophagosomes and lysosomes. Required for normal degradation of the contents of autophagosomes. Required for efficient MHCII-mediated presentation of exogenous antigens via its function in lysosomal protein degradation; antigenic peptides generated by proteases in the endosomal/lysosomal compartment are captured by nascent MHCII subunits. Is not required for efficient MHCII-mediated presentation of endogenous antigens.; Modulates chaperone-mediated autophagy. Decreases presentation of endogenous antigens by MHCII. Does not play a role in the presentation of exogenous and membrane-derived antigens by MHCII.; (Microbial infection) Supports the FURIN-mediated cleavage of mumps virus fusion protein F by interacting with both FURIN and the unprocessed form but not the processed form of the viral protein F.
-
基因功能參考文獻:
- Knockdown of key autophagy proteins in combination with sunitinib showed similar effect as chloroquine. Sunitinib also induced lysosomal membrane permeabilization, which further increased in the presence of chloroquine or knockdown of lysosome-associated membrane protein (LAMP2). Both combinations led to cell death PMID: 28729403
- Results demonstrated that LAMP2 expression levels correlated with tumor histological differentiation and TNM stages. PMID: 28453465
- Since effective regimens are readily available timely psychiatric evaluation is warranted in all newly diagnosed subjects with LAMP2 mutations, regardless of whether they show the typical Danon disease medical (cardiac) symptoms or not. PMID: 28627787
- identified LAMP-2 as an endocytic receptor on monocyte-derived dendritic cells (MoDC) that routes cargo into unusual Ag processing pathways, which reduces surface expression of Ag-derived peptides while selectively enriching Ag within immunogenic exosome; this novel pathway has implications for the initiation of immune responses both locally and at distant sites PMID: 28607115
- The results provide a new insight that LAMP-2 contributes to the ROS clearance and cell death induced by Zn(2+) treatment, which would help us to get a better understanding of Zn(2+)-induced toxicity in respiratory system. PMID: 28483530
- overexpression assists neuroendocrine differentiation of prostate cancer cells induced by serum deprivation and facilitates autophagy activity PMID: 27627761
- Genetic analysis identified 2 novel LAMP2 gene mutations. In Family A, a G-A transition (c.962G > A) leading to a nonsense mutation at codon 321 (p.Trp321Ter), and in Family B, a one-nucleotide insertion (c.973insC) leading to a full frame-shift (p.Pro324+24X) was detected in exon 8 of the LAMP2 gene. PMID: 27179547
- intracellular Salmonella recruit the host proteins LAMP-2A and Hsc73, key components of the host protein turnover pathway known as chaperone-mediated autophagy involved in transport of cytosolic proteins to the lysosome for degradation. PMID: 27932462
- 3 novel nonsense mutations (p.Q240X, p.S250X, and p.G22X) were found in LAMP2 associated with early onset Danon disease with hypertrophic cardiomyopathy. LAMP2 expression was absent in both cardiac and skeletal muscle samples of the first proband and severely decreased LAMP2 expression in the skeletal muscle samples of the second proband. PMID: 27460667
- Collectively, the present study shows that impaired Lamp2a expression in hepatocellular carcinoma contributes to tumor cell viability and promotes tumor growth and recurrence. PMID: 27840904
- Increased expression of LAMP2 has been observed in peripheral blood mononuclear cells of coronary artery disease patients compared to the control group. PMID: 27923262
- Knockdown of LAMP2A, a CMA-related protein, and TSG101, an mA-related protein, significantly but only partially decreased the punctate accumulation of GAPDH-HT in AD293 cells and primary cultured rat cortical neurons. PMID: 27377049
- miR-487b-5p regulates temozolomide resistance of lung cancer cells through LAMP2-mediated autophagy. PMID: 27097129
- Up-regulation of LAMP2 is associated with carcinogenesis and progression of Salivary Adenoid Cystic Carcinoma. PMID: 26350055
- In our study of the EOG in Danon disease, we show for the first time to our knowledge that a LAMP2 mutation may cause a primary retinal pigment epitheliopathy. PMID: 26398689
- LAMP-2C serves as a natural inhibitor of chaperone-mediated autophagy that can selectively skew MHCII presentation of cytoplasmic antigens PMID: 26856698
- In the early stages of Parkinson's disease, with LAMP2A selectively reduced in association with increased alpha-synuclein, and decreased levels of heat shock cognate protein 70. PMID: 25594542
- This study showed that LAMP2 upregulation occurs in vitro and in vivo in neoplastic cells. PMID: 26658462
- Down-regulation of LAMP2A expression could inhibit cell proliferation in multiple myeloma cells PMID: 25940285
- Data show thart lysosome-associated membrane protein type 2a (LAMP-2A) forms a coiled coil helix trimer in n-dodecylphosphocholine micelle, and protein substrates interact with its cytosolic tail. PMID: 25342746
- LAMP2 has a role in differentiation of primary biliary cirrhosis PMID: 24007661
- Patient B harbored a frame-shift deletion mutation in exon 3 (c.396delA) leading to a truncated LAMP2 protein PMID: 24691104
- down-regulation of LAMP2A could reduce the resistance of breast cancer cells to paclitaxel PMID: 24721399
- LAMP2 is investigated as a marker of Epstein-Barr virus-mediated B lymphocyte transformation in lysosomal storage diseases. PMID: 24068328
- Autoantibodies to hLAMP-2 that bind native glomerular but not neutrophil hLAMP-2 are found in patients with ANCA-negative pauci-immune focal necrotizing glomerulonephritis. PMID: 24203998
- These data support a positive relationship between anti-LAMP-2 antibody and cutaneous vasculitis. PMID: 23704322
- Decreased levels of the chaperone-mediated autophagy proteins LAMP-2A and hsc70 (CMA) in Parkinson's disease brain samples suggests compromised alpha-synuclein degradation by CMA and may underpin the Lewy body pathology. PMID: 23492776
- indicate that monoclonal antibodies specific to CD107a (LAMP-1) or CD107b (LAMP-2) enhanced LPS-induced IL-8 secretion of THP-1 cells. PMID: 23603048
- expression of LAMP2A was observed in breast tumor tissues of all patients under investigation, suggesting a survival mechanism via chaperone-mediated autophagy and LAMP2A. PMID: 22874552
- Studies suggest that Hsc70 and lysosome-associated protein 2A (LAMP-2A) through chaperone-mediated autophagy (CMA) play a role in the clearance of Htt and suggest a novel strategy to target the degradation of mutant huntingtin (Htt). PMID: 23071649
- There is a progressive, age-related decrease of LAMP-2 gene expression in the peripheral leukocytes of healthy subjects, indicating a trend of decreasing autophagy activities with aging. PMID: 22732524
- variants within LAMP-2 gene promoter may be linked to Parkinson disease. PMID: 22867958
- findings indicated that patients with Danon disease caused by mutations in exon 1 - 8 manifested as a typically severe phenotype, while patients with mutations in exon 9 of the LAMP2B isoform presented with a relatively benign phenotype PMID: 22541782
- A novel LAMP2 mutation (c.940delG) in Danon disease patients, which results in a putatively truncated protein. PMID: 22365987
- decreased LAMP-2 gene expression and increased LC3 gene expression may contribute to the pathogenesis of sporadic Parkinson's disease PMID: 21514572
- Peripheral leukocyte LAMP-2 expression is significantly inceased in coronary artery disease. PMID: 21462217
- intrafamilial phenotypic variability in Danon disease is related to a novel LAMP-2 mutation PMID: 21161685
- gene deficient B cells exhibit altered MHC class II presentation of exogenous antigens PMID: 20518820
- Lysosome-associated membrane protein (LAMP2) cardiomyopathy is an X-linked and highly progressive myocardial storage disorder associated with diminished survival, which clinically resembles sarcomeric hypertrophic cardiomyopathy. PMID: 20920663
- The LAMP2 microdeletion mechanism appears to involve 1 Alu-mediated unequal recombination and 2 chromosomal breakage points involving TA-rich repeat sequences. PMID: 20173215
- Danon disease is caused by deficiency of lysosome-associated membrane protein-2 (LAMP-2). PMID: 20513107
- Data show that the BCG phagosome is relatively depleted in LAMP-2, NPC1, flotillin-1, vATPase, and syntaxin 3. PMID: 19815536
- This studu showed decreased LAMP2 expression in the sketal muscle in female patient with Danon disease. PMID: 14561493
- The glycogen-storage cardiomyopathy produced by LAMP2 or PRKAG2 mutations resembles hypertrophic cardiomyopathy but is distinguished by electrophysiological abnormalities PMID: 15673802
- role for the lysosomal Lamp-2a-hsc70 complex in promoting immunological recognition and antigen presentation PMID: 15894275
- LAMP2 mutations may account for significant proportion of cases of hypertrophic cardiomyopathy children, especially when skeletal myopathy and/or Wolff-Parkinson-White syndrome is present. Danon disease may be underrecognized in pediatric cardiology. PMID: 16144992
- Our report further expands the phenotype of Danon disease by describing retinopathy in 3 cases. A thorough clinical examination, including ophthalmic investigation, is needed in all cases of Danon disease. PMID: 17296900
- The biopsied muscle specimen stained for LAMP2 and confirmed the diagnosis of vacuolar myopathy with dilated cardiomyopathy. PMID: 17873513
- Analysis of the lysosome-associated membrane protein-2 (LAMP-2) gene detected a novel mutation, confirming a diagnosis of Danon disease. PMID: 17899313
- A new intronic mutation in the LAMP2 gene in French Candian family leading to out frame skppin of exon 7 in Dannon disease. PMID: 18004770
顯示更多
收起更多
-
相關疾病:Danon disease (DAND)
-
亞細胞定位:Cell membrane; Single-pass type I membrane protein. Endosome membrane; Single-pass type I membrane protein. Lysosome membrane; Single-pass type I membrane protein. Cytoplasmic vesicle, autophagosome membrane. Note=This protein shuttles between lysosomes, endosomes, and the plasma membrane.
-
蛋白家族:LAMP family
-
組織特異性:Isoform LAMP-2A is highly expressed in placenta, lung and liver, less in kidney and pancreas, low in brain and skeletal muscle. Isoform LAMP-2B is detected in spleen, thymus, prostate, testis, small intestine, colon, skeletal muscle, brain, placenta, lung
-
數據庫鏈接:
Most popular with customers
-
-
YWHAB Recombinant Monoclonal Antibody
Applications: ELISA, WB, IHC, IF, FC
Species Reactivity: Human, Mouse, Rat
-
Phospho-YAP1 (S127) Recombinant Monoclonal Antibody
Applications: ELISA, WB, IHC
Species Reactivity: Human
-
-
-
-
-















