LAMC1 Antibody
-
中文名稱:LAMC1兔多克隆抗體
-
貨號:CSB-PA11477A0Rb
-
規格:¥440
-
圖片:
-
Immunofluorescence staining of Hela cells with CSB-PA11477A0Rb at 1:66, counter-stained with DAPI. The cells were fixed in 4% formaldehyde, permeabilized using 0.2% Triton X-100 and blocked in 10% normal Goat Serum. The cells were then incubated with the antibody overnight at 4°C. The secondary antibody was Alexa Fluor 488-congugated AffiniPure Goat Anti-Rabbit IgG(H+L).
-
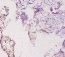
Immunohistochemistry of paraffin-embedded human placenta tissue using CSB-PA11477A0Rb at dilution of 1:20
-
-
其他:
產品詳情
-
產品名稱:Rabbit anti-Homo sapiens (Human) LAMC1 Polyclonal antibody
-
Uniprot No.:
-
基因名:
-
別名:LAMB2 antibody; lamc1 antibody; LAMC1_HUMAN antibody; Laminin B2 chain antibody; Laminin subunit gamma-1 antibody; Laminin, gamma 1 (formerly LAMB2) antibody; Laminin-1 subunit gamma antibody; Laminin-10 subunit gamma antibody; Laminin-11 subunit gamma antibody; Laminin-2 subunit gamma antibody; Laminin-3 subunit gamma antibody; Laminin-4 subunit gamma antibody; Laminin-6 subunit gamma antibody; Laminin-7 subunit gamma antibody; Laminin-8 subunit gamma antibody; Laminin-9 subunit gamma antibody; MGC87297 antibody; S-LAM gamma antibody; S-laminin subunit gamma antibody
-
宿主:Rabbit
-
反應種屬:Human
-
免疫原:Recombinant Human Laminin subunit gamma-1 protein (1333-1607AA)
-
免疫原種屬:Homo sapiens (Human)
-
標記方式:Non-conjugated
本頁面中的產品,LAMC1 Antibody (CSB-PA11477A0Rb),的標記方式是Non-conjugated。對于LAMC1 Antibody,我們還提供其他標記。見下表:
-
克隆類型:Polyclonal
-
抗體亞型:IgG
-
純化方式:>95%, Protein G purified
-
濃度:It differs from different batches. Please contact us to confirm it.
-
保存緩沖液:Preservative: 0.03% Proclin 300
Constituents: 50% Glycerol, 0.01M PBS, PH 7.4 -
產品提供形式:Liquid
-
應用范圍:ELISA, IHC, IF
-
推薦稀釋比:
Application Recommended Dilution IHC 1:20-1:200 IF 1:50-1:200 -
Protocols:
-
儲存條件:Upon receipt, store at -20°C or -80°C. Avoid repeated freeze.
-
貨期:Basically, we can dispatch the products out in 1-3 working days after receiving your orders. Delivery time maybe differs from different purchasing way or location, please kindly consult your local distributors for specific delivery time.
-
用途:For Research Use Only. Not for use in diagnostic or therapeutic procedures.
相關產品
靶點詳情
-
功能:Binding to cells via a high affinity receptor, laminin is thought to mediate the attachment, migration and organization of cells into tissues during embryonic development by interacting with other extracellular matrix components.
-
基因功能參考文獻:
- Polymorphism in the ERalpha gene is associated with an increased risk for advanced Pelvic Organ Prolapse. However, polymorphism in the LAMC1 gene does not seem to be associated with such risk. PMID: 29241914
- We conclude that LAMC1 mRNA acts as a trans regulator to stimulate CD151 expression by competing for miR-124 binding in hepatocellular carcinoma cells. PMID: 28524360
- Further gene expression analyses demonstrated significantly higher expression of LAMC1 gene in colorectal cancer (CRC) tumor tissues than that in adjacent non-cancerous tissues (P = 0.0004). These findings strongly suggest that the functional SNP located at TFBSs, rs6695837 might contribute to CRC susceptibility, and the exact biological mechanism awaits further research. PMID: 28039327
- The rs780094 [1.34 (1.21-1.49); p = 8.57 x 10(-8) ] on chr 2 at the glucokinase regulatory protein (GCKR) locus was similarly significantly associated, while the rs10911205 [1.29 (1.16-1.44); p = 3.52 x 10(-6) ] on chr1 at the laminin subunit gamma-1 (LAMC1) locus showed suggestive association with disease. PMID: 27599772
- Our results show that miR-181a is down-regulated in glioblastoma multiforme (GBM) patients. The three target genes, ANGPT2, ARHGAP18 and LAMC1, are negatively correlated with the expression of miR-181a. Moreover, high expression of ANGPT2 or LAMC1 together with large size of GBM is correlated with a shorter median overall survival PMID: 27176932
- miR-506 acts as a tumor suppressor and inhibits malignancy of colorectal cancer cells through directly targeting LAMC1. PMID: 27993882
- Case Report: Anti-laminin-gamma 1 pemphigoid in patient with generalized pustular psoriasis and psoriasis vulgaris. PMID: 26074471
- The identification of laminin gamma 1 (LAMC1) and myeloid cell leukemia 1 (MCL1) as direct targets of miR-22 and miR-29a, respectively, suggested a tumor-suppressive role of these miRNAs. PMID: 26052614
- LAMC1 may contribute to the development and progression of uterine carcinoma, likely through enhancing tumor cell motility and invasion. PMID: 26343160
- Case Report: occurrence of anti-laminin-gamma1 pemphigoid in a case of autosomal recessive congenital ichthyosis. PMID: 24733442
- Data showed that LAMC1 expression is directly regulated by miR-29s. PMID: 24820027
- These findings document a pathogenic potential of antibodies targeting the laminin gamma1 N-terminus. PMID: 24300951
- carbohydrate moiety (alpha-Gal) on laminin gamma-1 and collagen alpha-1 (VI) chain are possibly common IgE-reactive proteins in the Japanese patients with beef allergy PMID: 24180678
- results demonstrate that mutation in either NID1 or LAMC1 disrupts the interaction NID1-LAMC1 complex; findings implicate the extracellular matrix in the pathogenesis of Dandy-Walker spectrum disorders PMID: 23674478
- LAMC1 polymorphism could be a protective factor for SLE. PMID: 23039241
- Results suggest that laminin gamma1 expression is associated with meningioma grades and could play a role in enhancing tumor invasion. PMID: 23053286
- Genetic polymorphism of LAMC1 gene is associated in the pathogenesis of colorectal cancers. PMID: 23266556
- Letter: a small but distinct subgroup of both systemic and cutaneous lupus erythematosus patients has antibodies against the C-terminus of laminin gamma1. PMID: 22968451
- Autoantibodies in anti-p200 pemphigoid sera are pathogenic while pathogenicity is not mediated by autoantibodies against laminin gamma1. PMID: 22911854
- Overexpression of laminin gamma1 immunoreactivity and alteration of its staining pattern may serve as a useful biomarker in serous tubal intraepithelial carcinoma. PMID: 22892598
- Mutations in the coding sequence of LAMC1 and DLGH1 may not be associated with Mayer-Rokitansky-Kuster-Hauser Syndrome. PMID: 22377151
- Single-nucleotide polymorphisms (SNPs) representing 99% coverage of LAMC1 were genotyped. There was no association between SNP rs10911193 and advanced pelvic organ prolapse. There was a trend toward significance for SNPs rs1413390, rs20563, and rs20558. PMID: 22342894
- LAMC1 is significantly associated with premature ovarian failure, and specifically, possession of at least one HT1 was associated with susceptibility to premature ovarian failure. PMID: 22321639
- Laminin-5 gamma2 chain and SPARC may play roles in the progression of esophageal squamous cell carcinoma and their simultaneous expression is correlated with poorer prognosis. PMID: 21192846
- The nano-structure of the laminin gamma-1 short arm was determined. In solution, it adapts an extended conformation. PMID: 20688161
- Several LAMC1 single nucleotide polymorphisms exist with significant differences between African American and Caucasian women, but no association found between any LAMC1 variant and advanced pelvic organ prolapse. PMID: 20223449
- Enhanced and specialized expression patterns of alpha 1 and gamma 1 laminins distinctly associate these two laminins with the Alzheimer disease. PMID: 12111806
- The neurite outgrowth domain of gamma 1 laminin accumulates heavily in the floor plate region, in the notochord and in GFAP-immunoreactive glial fibers of the embryonic spinal cord. PMID: 12526023
- Basement membrane formation is inhibited by a nidogen-laminin gamma1-chain fragment in skin-organotypic cultures. PMID: 15159456
- Expression of LAMC1 in glioblastoma is inhibited by indomethacin. Indomethacin inhibits cyclooxygenases and is an NSAID drug. PMID: 15561105
- a polymorphism in the promoter of LAMC1 may increase the susceptibility to early-onset pelvic organ prolapse PMID: 17021862
- gamma1 laminin is selectively overexpressed in reactive astrocytes of the amyotrophic lateral sclerosis spinal cord PMID: 17554784
- In embryonic stem cells deficient in laminins, due to lamc1 (laminin gamma1) deletion, vascular development and organization were largely unaffected. PMID: 18073332
- Laminin isoforms containing the gamma3 chain are unable to bind to integrins due to the absence of the glutamic acid residue conserved in the C-terminal regions of the gamma1 and gamma2 chains PMID: 18697739
顯示更多
收起更多
-
亞細胞定位:Secreted, extracellular space, extracellular matrix, basement membrane.
-
組織特異性:Found in the basement membranes (major component).
-
數據庫鏈接:
Most popular with customers
-
-
YWHAB Recombinant Monoclonal Antibody
Applications: ELISA, WB, IHC, IF, FC
Species Reactivity: Human, Mouse, Rat
-
Phospho-YAP1 (S127) Recombinant Monoclonal Antibody
Applications: ELISA, WB, IHC
Species Reactivity: Human
-
-
-
-
-















