KRAS Antibody
-
中文名稱:KRAS兔多克隆抗體
-
貨號:CSB-PA13969A0Rb
-
規格:¥440
-
圖片:
-
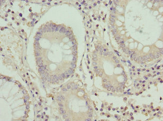
Immunohistochemistry of paraffin-embedded human colon cancer using CSB-PA13969A0Rb at dilution of 1:100
-
Western blot
All lanes: KRAS antibody at 2µg/ml
Lane 1: Mouse brain tissue
Lane 2: Mouse kidney tissue
Secondary
Goat polyclonal to rabbit IgG at 1/10000 dilution
Predicted band size: 22 kDa
Observed band size: 22 kDa -
Immunofluorescence staining of Hela cells with CSB-PA13969A0Rb at 1:133, counter-stained with DAPI. The cells were fixed in 4% formaldehyde, permeabilized using 0.2% Triton X-100 and blocked in 10% normal Goat Serum. The cells were then incubated with the antibody overnight at 4°C. The secondary antibody was Alexa Fluor 488-congugated AffiniPure Goat Anti-Rabbit IgG(H+L).
-
-
其他:
產品詳情
-
產品名稱:Rabbit anti-Homo sapiens (Human) KRAS Polyclonal antibody
-
Uniprot No.:
-
基因名:
-
別名:c Ki ras2 antibody; c Kirsten ras protein antibody; c-K-ras antibody; c-Ki-ras antibody; Cellular c Ki ras2 proto oncogene antibody; Cellular transforming proto oncogene antibody; CFC2 antibody; cK Ras antibody; GTPase KRas antibody; K RAS p21 protein antibody; K RAS2A antibody; K RAS2B antibody; K RAS4A antibody; K RAS4B antibody; K-Ras 2 antibody; KI RAS antibody; Ki-Ras antibody; KIRSTEN MURINE SARCOMA VIRUS 2 antibody; Kirsten rat sarcoma 2 viral (v Ki ras2) oncogene homolog antibody; Kirsten rat sarcoma viral oncogene homolog antibody; KRAS antibody; KRAS proto oncogene, GTPase antibody; KRAS1 antibody; KRAS2 antibody; N-terminally processed antibody; NS antibody; NS3 antibody; Oncogene KRAS2 antibody; p21ras antibody; PR310 c K ras oncogene antibody; PR310 cK ras oncogene antibody; RALD antibody; RASK_HUMAN antibody; RASK2 antibody; Transforming protein p21 antibody; v Ki ras2 Kirsten rat sarcoma 2 viral oncogene homolog antibody; v Ki ras2 Kirsten rat sarcoma viral oncogene homolog antibody
-
宿主:Rabbit
-
反應種屬:Human, Mouse
-
免疫原:Recombinant Human GTPase KRas protein (2-168AA)
-
免疫原種屬:Homo sapiens (Human)
-
標記方式:Non-conjugated
本頁面中的產品,KRAS Antibody (CSB-PA13969A0Rb),的標記方式是Non-conjugated。對于KRAS Antibody,我們還提供其他標記。見下表:
-
克隆類型:Polyclonal
-
抗體亞型:IgG
-
純化方式:>95%, Protein G purified
-
濃度:It differs from different batches. Please contact us to confirm it.
-
保存緩沖液:Preservative: 0.03% Proclin 300
Constituents: 50% Glycerol, 0.01M PBS, PH 7.4 -
產品提供形式:Liquid
-
應用范圍:ELISA, WB, IHC, IF
-
推薦稀釋比:
Application Recommended Dilution WB 1:1000-1:5000 IHC 1:20-1:200 IF 1:50-1:200 -
Protocols:
-
儲存條件:Upon receipt, store at -20°C or -80°C. Avoid repeated freeze.
-
貨期:Basically, we can dispatch the products out in 1-3 working days after receiving your orders. Delivery time maybe differs from different purchasing way or location, please kindly consult your local distributors for specific delivery time.
-
用途:For Research Use Only. Not for use in diagnostic or therapeutic procedures.
相關產品
靶點詳情
-
功能:Ras proteins bind GDP/GTP and possess intrinsic GTPase activity. Plays an important role in the regulation of cell proliferation. Plays a role in promoting oncogenic events by inducing transcriptional silencing of tumor suppressor genes (TSGs) in colorectal cancer (CRC) cells in a ZNF304-dependent manner.
-
基因功能參考文獻:
- Pesticide exposure may play a great role in malignant transformation of urinary bladder cells through mutation in the K-ras gene. PMID: 29644616
- deletion of the oncogenic KRAS allele resulted in enhanced STIM1 expression and greater Ca(2+) influx. PMID: 29748135
- PIP5K1A loss reduces oncogenic KRAS signaling. PMID: 30194290
- GATAD2B interacts with C-MYC to enhance KRAS driven tumor growth. PMID: 30013058
- the present study demonstrates that miR-422a may serve as a tumor suppressor in osteosarcoma via inhibiting BCL2L2 and KRAS translation both in vitro and in vivo Therefore, miR-422a could be developed as a novel therapeutic target in osteosarcoma. PMID: 29358307
- our studies demonstrate how KRAS inhibits the tumor suppressor RKIP, thus offering novel justification for targeting RKIP as a strategy to overcome KRAS-induced tumor metastasis and chemoresistance in PDAC. PMID: 29315556
- This study confirms the tumor suppressor roles of miR-193a-3p, its downstream target affinity to KRAS and clinical significance in patients with colorectal adenocarcinoma. PMID: 29104111
- in Stage I colorectal cancer presence of KRAS mutations, that of simultaneous mutations in PIK3CA gene, or that of multiple KRAS mutations was significantly associated with shorter cancer specific survival; PIK3CA or multiple KRAS mutations were associated with nodal micrometastases and poorly differentiated clusters G3 as well PMID: 30018674
- Inhibition of Wee1 by its specific inhibitor MK1775 in combination with sorafenib restored the KRAS mutated cells' response to the multi-target tyrosine kinase inhibitor. PMID: 29343688
- High FOS-like antigen 1 (FOSL1) expression with mutant KRAS protein lung and pancreatic cancer patients showed the worst survival outcome. PMID: 28220783
- primary resistance to cetuximab is dependent upon both KRAS mutational status and protein expression level, and acquired resistance is often associated with KRAS(Q61) mutations that function even when protein expression is low. PMID: 28593995
- The HSF1-BAG3-Mcl-1 signal axis is critical for protection of mutant KRAS colon cancer cells from AUY922-induced apoptosis. PMID: 29068469
- Study results indicate that pleural homed cancer cells harboring activating KRAS mutations are competent of malignant pleural effusion induction. This genotype-phenotype link is primarily mediated via mutant KRAS-dependent CCL2 signaling that results in the recruitment of CD11b+Gr1+ myeloid cells to the pleural space. PMID: 28508873
- Copy number gains were seen in EGFR (two of 23, 13.0%) and in one (4.3%) of each PIK3CA, KRAS, MET and STK11 PMID: 29489023
- Study reveals the novel function of NOX4 in reprogramming aerobic glycolysis initiated by activated Kras and inactivated p16 in pancreatic ductal adenocarcinoma. PMID: 28232723
- The role of KRAS oncogenic signaling in cancer cells.[review] PMID: 29263151
- High KRAS expression is associated with Bladder Cancer. PMID: 29321082
- Studies on the metabolic properties of mutant KRAS protein lung tumors have uncovered unique metabolic features that can potentially be exploited therapeutically [Review]. PMID: 28570035
- Plasma membrane polyphosphoinositides depletion caused rapid translocation of K-Ras4B but not H-Ras from the plasma membrane to the Golgi. PMID: 28939768
- we used hot-spot mutation sequencing to examine whether KRAS/NRAS mutations, a characteristic feature of mesonephric carcinoma,1 are also present in mesonephric hyperplasia. None of the mesonephric hyperplasia cases harboured a KRAS or NRAS mutation. PMID: 28703285
- KRAS mutations are associated with colorectal liver metastases. PMID: 29937183
- Our data provide evidence that blocking TfR could significantly inhibit lung adenocarcinoma (LAC) proliferation by targeting the oncogene KRAS; therefore, TfR may be a therapeutic target for LAC. In addition, our results suggest a new method for blocking the signal from the oncogene KRAS by targeting TfR in LAC. PMID: 29286585
- Results show mutation in Kras was associated with worse survival results in patients with pancreatic neoplasm. [review] PMID: 30227250
- CFTR exhibited an inhibitory role in the malignancy of lung adenocarcinoma A549 cells PMID: 29526175
- characteristics of the expression of epidermal growth factor receptor (EGFR), anaplastic lymphoma kinase (ALK), V-Ki-ras2 Kirsten rat sarcoma viral oncogene homologue (KRAS) in non-small cell lung cancer PMID: 30037374
- Despite the presence of histological findings indicating long-standing gastroesophageal reflux in 25%, as well as symptomatic gastroesophageal reflux in more than 40%, there was no detectable tissue expression of KRAS or BRAF mutations in adult patients treated for esophageal atresia in childhood. PMID: 28873491
- The high frequency of KRAS mutation in endometrial atypical hyperplasia with mucinous differentiation, endometrioid carcinoma with mucinous differentiation and mucinous carcinoma indicates that KRAS mutational activation is implicated in the pathogenesis of endometrial mucinous carcinoma. PMID: 30220122
- The frequency of KRAS mutations was significantly higher in Serrated Lesions subgroups with low and intermediate methylated epigenotype tumors and microsatellite stability. PMID: 29974407
- The rate of EGFR mutation was significantly higher in female and non-smoker patients. In TTF-1 positive cases EGFR mutation was more frequent. Age of the patients over 62-year old was correlated with KRAS mutations. The concordance between ALK IHC and FISH was 58.3%. The MET protein in the cases with MET amplification was 100% positive. PMID: 28756651
- the findings demonstrated that mutated K-ras promotes cathepsin L expression and plays a pivotal role in EMT of human lung cancer. The regulatory effect of IR-induced cathepsin L on lung cancer invasion and migration was partially attributed to the Cathepsin L /CUX1-mediated EMT signaling pathway PMID: 29246726
- These findings collectively suggest that the triple combination of survivin knockdown with ABT-263 and trametinib treatment, may be a potential strategy for the treatment of KRAS-mutant lung adenocarcinoma. Furthermore, our findings indicate that the welldifferentiated type of KRAS-mutant lung tumors depends, at least in part, on TTF1 for growth. PMID: 29658609
- Increased long noncoding RNA HomeoboxA transcript at the distal tip (HOTTIP) expression was associated with poor prognosis independent of KRAS mutation. PMID: 29329159
- Data show no patient positive for KRAS mutation and/or p53 mutation was found to have malignant transformation, suggesting detection of KRAS or p53 mutation in plasma is not an effective screening tool for pancreatic cancer because accumulation of multiple mutations is required for malignant transformation in the pancreas. PMID: 29303908
- BCL-XL has a role in modulating RAS signalling to favor breast cancer cell stemness PMID: 29066722
- KRAS is one of the most common mutations in Non-small cell lung cancer. [review] PMID: 29764594
- Combination of PCR HRM with either RFLP or direct DNA sequencing was useful to detect K-RAS exon 2 and extended RAS mutations, respectively. Frequency of all RAS mutations in stage IV Indonesian (41%) was similar among Asians (41-49%), which tend to be lower than western (55%) CRC. PMID: 28044264
- PPARgamma activator, pioglitazone, can activate p21, which is associated with decreased proliferation in 2 aerodigestive preneoplastic cell lines. In addition, the p21 gene may be a potential hypothesis-driven biomarker in translational studies of pioglitazone as a chemoprevention agent for aerodigestive cancer. PMID: 30047791
- show that mutant KRAS facilitates IKKalpha-mediated responsiveness of tumor cells to host IL-1beta, thereby establishing a host-to-tumor signaling circuit that culminates in inflammatory MPE development and drug resistance PMID: 29445180
- In a cohort of patients with pancreatic cysts, KRAS and GNAS mutations had no significant diagnostic benefit in comparison with conventional testing. PMID: 29796909
- Results reveal that KRAS 3'UTR is a target for miR-19a which overexpression suppresses KRAS expression thus inhibiting angiogenesis in colorectal cancer. PMID: 29207158
- observed that the trend is highly correlative of the rate of change in KRAS mutant DNA concentrations and the period of monitoring PMID: 28956302
- Mutation frequencies in KRAS exon 3 or 4, NRAS, BRAF, and PIK3CA were 5.5%, 2.7%, 8.3%, and 5.5%, respectively. PMID: 29908105
- Fluorescence cross-correlation data indicate no direct interaction between C6-ceramide and KRas4B, suggesting that KRas4B essentially recruits other lipids. A FRET-based binding assay reveals that the stability of KRas4B proteins inserted into the membrane containing C6-ceramide is reduced. PMID: 29357287
- Identification of KRAS/NRAS/BRAF mutation status is crucial to predict the therapeutic effect and determine individual therapeutic strategies for patients with colorectal cancer. PMID: 29335867
- KRAS mutation was significantly associated with tumor size PMID: 29103773
- Our finding of frequent KRAS mutation in urachal adenocarcinoma suggests its potential role in the oncogenesis of this neoplasm PMID: 28285720
- a low frequency of BRAF or KRAS mutation in Chinese patients with low-grade serous carcinoma of the ovary PMID: 29273082
- The authors report that one of the K-Ras splice variants, K-Ras4a, is subject to lysine fatty acylation, a previously under-studied protein post-translational modification. Sirtuin 2 (SIRT2), one of the mammalian nicotinamide adenine dinucleotide (NAD)-dependent lysine deacylases, catalyzes the removal of fatty acylation from K-Ras4a. PMID: 29239724
- Data indicate that absence of KRAS, TP53 and SMAD4 genetic alterations may identify a subset of pancreatic carcinomas with better outcome. PMID: 29103024
- Proteoforms with or without the Gly13Asp mutation (G13D) in the KRAS4b isoform were studied in isogenic KRAS colorectal cancer (CRC) cell lines and patient CRC tumors with matching KRAS genotypes. In 2 cellular models, a direct link between knockout of the mutant G13D allele and complete nitrosylation of cysteine 118 of the remaining WT KRAS4b was observed. Major differences in C-terminal carboxymethylation were seen. PMID: 29610327
顯示更多
收起更多
-
相關疾?。?/div>Leukemia, acute myelogenous (AML); Leukemia, juvenile myelomonocytic (JMML); Noonan syndrome 3 (NS3); Gastric cancer (GASC); Cardiofaciocutaneous syndrome 2 (CFC2)亞細胞定位:Cell membrane; Lipid-anchor; Cytoplasmic side. Cytoplasm, cytosol.; [Isoform 2B]: Cell membrane; Lipid-anchor.蛋白家族:Small GTPase superfamily, Ras family數據庫鏈接:
Most popular with customers
-
-
YWHAB Recombinant Monoclonal Antibody
Applications: ELISA, WB, IHC, IF, FC
Species Reactivity: Human, Mouse, Rat
-
Phospho-YAP1 (S127) Recombinant Monoclonal Antibody
Applications: ELISA, WB, IHC
Species Reactivity: Human
-
-
-
-
-















