KLK5 Antibody
-
中文名稱:KLK5兔多克隆抗體
-
貨號:CSB-PA175566
-
規格:¥1100
-
圖片:
-
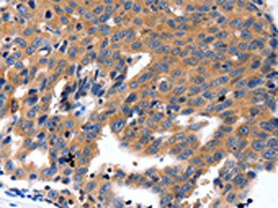
The image on the left is immunohistochemistry of paraffin-embedded Human ovarian cancer tissue using CSB-PA175566(KLK5 Antibody) at dilution 1/100, on the right is treated with synthetic peptide. (Original magnification: ×200)
-
Gel: 10+12%SDS-PAGE, Lysate: 40 μg, Lane: Mouse brain tissue, Primary antibody: CSB-PA175566(KLK5 Antibody) at dilution 1/1600, Secondary antibody: Goat anti rabbit IgG at 1/8000 dilution, Exposure time: 1 minute
-
-
其他:
產品詳情
-
Uniprot No.:
-
基因名:
-
別名:HK5 antibody; Kallikrein 5 antibody; Kallikrein L2 antibody; Kallikrein like 2 antibody; Kallikrein like protein 2 antibody; Kallikrein related peptidase 5 antibody; Kallikrein-5 antibody; Kallikrein-like protein 2 antibody; Kallikrein5 antibody; KLK 5 antibody; KLK L2 antibody; KLK-L2 antibody; KLK5 antibody; KLK5_HUMAN antibody; KLKL 2 antibody; KLKL2 antibody; SCTE antibody; Stratum corneum tryptic enzyme antibody; UNQ570/PRO1132 antibody
-
宿主:Rabbit
-
反應種屬:Human,Mouse
-
免疫原:Synthetic peptide of Human KLK5
-
免疫原種屬:Homo sapiens (Human)
-
標記方式:Non-conjugated
-
抗體亞型:IgG
-
純化方式:Antigen affinity purification
-
濃度:It differs from different batches. Please contact us to confirm it.
-
保存緩沖液:-20°C, pH7.4 PBS, 0.05% NaN3, 40% Glycerol
-
產品提供形式:Liquid
-
應用范圍:ELISA,WB,IHC
-
推薦稀釋比:
Application Recommended Dilution ELISA 1:2000-1:10000 WB 1:1000-1:5000 IHC 1:100-1:300 -
Protocols:
-
儲存條件:Upon receipt, store at -20°C or -80°C. Avoid repeated freeze.
-
貨期:Basically, we can dispatch the products out in 1-3 working days after receiving your orders. Delivery time maybe differs from different purchasing way or location, please kindly consult your local distributors for specific delivery time.
-
用途:For Research Use Only. Not for use in diagnostic or therapeutic procedures.
相關產品
靶點詳情
-
功能:May be involved in desquamation.
-
基因功能參考文獻:
- persistently upregulated KLK5 resulted in atopic dermatitis-like skin architecture and secretion of atopic dermatitis-related cytokines from keratinocytes in a PAR2 independent manner PMID: 28238749
- It may be considered that circulating kallikrein 5 is down-regulated in chronic spontaneous urticaria patients, however its potential role and the possible underlying mechanism are unknown. PMID: 28685545
- Thus, these findings point to the involvement of KLK5 in the proteolytic activation and spread of seasonal influenza viruses in humans. PMID: 28615200
- The results of the present study indicated that the mRNA and protein expression levels of KLK5 were significantly upregulated in CRC tissues and sera, and were associated with an advanced tumor stage. PMID: 27430713
- the expression level of hK5 in tumor stromal cells is a promising biomarker for poor prognosis in TNBC. PMID: 26345898
- This report demonstrates that concurrent loss of KLK5 and KLK7 associates with a poor clinical outcome in Oral Squamous-Cell Carcinoma and could therefore serve as prognostic marker in this disease. PMID: 26022646
- Low KLK5 expression is associated with breast cancer. PMID: 24158494
- KLK5 is an important contributor to the Netherton syndrome proteolytic cascade. PMID: 24534191
- Data indicate that the KLK5 SNP rs268908 was associated with an increased risk of prostate cancer. PMID: 21741862
- Kallikrein 5 and kallikrein 12 cleave human influenza hemagglutinins and activate thrombolytic zymogens. PMID: 23612974
- KLK5 is required for biochemical processing of profilaggrin in human skin. PMID: 23629652
- the inhibition and binding of different SPINK9 variants towards KLK5, KLK7, KLK8 and KLK14 PMID: 22505519
- Loss of KLK5 is associated with ovarian cancer. PMID: 22102857
- Increased serum and ascitic fluid KLK5 levels are associated with poor patient outcome, thus underlining the importance of KLK5 as a biomarker for early detection as well as for disease management in ovarian cancer. PMID: 21273346
- Significant co-expression of KLKs 5 and 7 was observed in the same cancer samples. Increased KLK5 expression was a statistically significant independent prognostic factor for DFS and OS of patients PMID: 21868565
- KLK5 may promote metastatic dissemination of OSCC by promoting loss of junctional integrity through cleavage of desmoglein 1. PMID: 21163944
- expression and activity of KLK are under fine control and can be distinctly influenced by variables such as differentiation, calcium, vitamin D, and retinoic acid PMID: 20090765
- expression in prostate cancer negatively correlated with cancer aggressiveness PMID: 11948967
- We found significantly lower expression of KLK5 in testicular tumors than in normal testicular tissue. PMID: 12385949
- High expression of KLK5 transcript with a short 5'-untranslated region is associated with ovarian cancer PMID: 12738725
- has trypsin-like substrate specificity and forms complexes with protease inhibitors in serum and ascites fluid from ovarian cancer patients PMID: 12890555
- scte induced degradation of three corneodesmosomal components: corneodesmosin, desmocollin 1 and desmoglein 1 PMID: 15140227
- may be part of a protease cascade in the stratum corneum, and that the observed pH effects may have physiological relevance PMID: 15654974
- hK5 may be implicated in tumor progression, particularly in invasion and angiogenesis PMID: 15713679
- variability in KLK5 and KLK7 gene expression might be involved in lung tumorigenesis PMID: 15766562
- hK5 is able to internally cleave insulin-like growth factor-binding proteins 1, 2, 3, 4, and 5, but not 6, suggesting that it might be involved in prostate cancer progression through growth factor regulation PMID: 16517595
- in majority of patients with Netherton syndrome, Dsg1 & Dsc1 were reduced in living layers of epidermis; SCTE-like & SCCE-like activities were increased, suggesting these proteases participate in premature degradation of corneodesmosomal cadherins PMID: 16628198
- KLK5 and KLK7 were shown to control activation of CAP18 and also influence further processing to smaller peptides with alternate biological activity; the balance of proteolytic activity at an epithelial interface will control innate immune defense PMID: 17012259
- KLK5 may participate in epidermal desquamation through cleavage of desmoglein 1 and regulation by lympho-epithelial Kazal-type-related inhibitor (LEKTI). PMID: 17158887
- A target of gene amplification, which may play a crucial role in promoting cancer-cell invasion in bladder tumor. PMID: 17459052
- KLK5 and KLK14, but neither KLK7 nor KLK8, induced PAR2 signalling. PMID: 17625593
- Dada shoe that the His96-99-57 triad is responsible for the Zn2+-mediated inhibition of hK5 catalysis. PMID: 17881000
- predominant localisation of KLK5 and KLK7 in acinar cells of the exocrine pancreas; KLK5 and KLK7 generate transcripts in pancreas variant from those in skin or ovary PMID: 18163887
- KLK4 and KLK5 activate pro-HGFA. PMID: 18221492
- the KLK region was subject to copy number imbalances or involved in unbalanced translocations and were associated with increased protein expression of KLKs 5, 6, 7, 8, 9, 10 and 11 in ovarian cancer cells PMID: 19383346
- Parallel underexpression of KLK5 and KLK7 mRNA in breast malignancies is reported. PMID: 19453546
- KLK5 is a potential new biomarker to be used in combination with other biomarkers for ovarian cancer detection. PMID: 19820362
顯示更多
收起更多
-
亞細胞定位:Secreted.
-
蛋白家族:Peptidase S1 family, Kallikrein subfamily
-
組織特異性:Expressed in skin, breast, brain and testis. Expressed at the stratum granulosum of palmar skin.
-
數據庫鏈接:
Most popular with customers
-
-
YWHAB Recombinant Monoclonal Antibody
Applications: ELISA, WB, IHC, IF, FC
Species Reactivity: Human, Mouse, Rat
-
Phospho-YAP1 (S127) Recombinant Monoclonal Antibody
Applications: ELISA, WB, IHC
Species Reactivity: Human
-
-
-
-
-















