KISS1R Antibody
-
中文名稱:KISS1R兔多克隆抗體
-
貨號:CSB-PA834141
-
規格:¥1100
-
圖片:
-
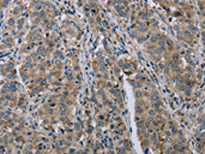
The image on the left is immunohistochemistry of paraffin-embedded Human ovarian cancer tissue using CSB-PA834141(KISS1R Antibody) at dilution 1/25, on the right is treated with synthetic peptide. (Original magnification: ×200)
-
The image on the left is immunohistochemistry of paraffin-embedded Human liver cancer tissue using CSB-PA834141(KISS1R Antibody) at dilution 1/25, on the right is treated with synthetic peptide. (Original magnification: ×200)
-
-
其他:
產品詳情
-
Uniprot No.:
-
基因名:
-
別名:KISS1R; AXOR12; GPR54; KiSS-1 receptor; KiSS-1R; G-protein coupled receptor 54; G-protein coupled receptor OT7T175; hOT7T175; Hypogonadotropin-1; Kisspeptins receptor; Metastin receptor
-
宿主:Rabbit
-
反應種屬:Human
-
免疫原:Synthetic peptide of Human KISS1R
-
免疫原種屬:Homo sapiens (Human)
-
標記方式:Non-conjugated
-
抗體亞型:IgG
-
純化方式:Antigen affinity purification
-
濃度:It differs from different batches. Please contact us to confirm it.
-
保存緩沖液:-20°C, pH7.4 PBS, 0.05% NaN3, 40% Glycerol
-
產品提供形式:Liquid
-
應用范圍:ELISA,IHC
-
推薦稀釋比:
Application Recommended Dilution ELISA 1:2000-1:5000 IHC 1:50-1:200 -
Protocols:
-
儲存條件:Upon receipt, store at -20°C or -80°C. Avoid repeated freeze.
-
貨期:Basically, we can dispatch the products out in 1-3 working days after receiving your orders. Delivery time maybe differs from different purchasing way or location, please kindly consult your local distributors for specific delivery time.
-
用途:For Research Use Only. Not for use in diagnostic or therapeutic procedures.
相關產品
靶點詳情
-
功能:Receptor for metastin (kisspeptin-54 or kp-54), a C-terminally amidated peptide of KiSS1. KiSS1 is a metastasis suppressor protein that suppresses metastases in malignant melanomas and in some breast carcinomas without affecting tumorigenicity. The metastasis suppressor properties may be mediated in part by cell cycle arrest and induction of apoptosis in malignant cells. The receptor is essential for normal gonadotropin-released hormone physiology and for puberty. The hypothalamic KiSS1/KISS1R system is a pivotal factor in central regulation of the gonadotropic axis at puberty and in adulthood. The receptor is also probably involved in the regulation and fine-tuning of trophoblast invasion generated by the trophoblast itself. Analysis of the transduction pathways activated by the receptor identifies coupling to phospholipase C and intracellular calcium release through pertussis toxin-insensitive G(q) proteins.
-
基因功能參考文獻:
- The study shows that KISS1R mutants are responsible for the normosmic congenital hypogonadotrophic hypogonadism phenotype in only a small minority of cases PMID: 27094476
- Kisspeptin-10 may contribute to accelerate the progression and instability of atheromatous plaques, leading to plaque rupture. The GPR54 antagonist may be useful for prevention and treatment of atherosclerosis. PMID: 28411243
- The missense variant (c.1091Tgt;A) was a nonsynonymous polymorphism that induces amino acid substitution of p.Leu364His. The haplotype CAGTGTC was detected more frequently in the central precocious puberty group. PMID: 27914139
- Metabolism and Energy Expenditure, But Not Feeding or Glucose Tolerance, Are Impaired in Young Kiss1r KO Female Mice PMID: 27649089
- Neuropeptide derivatives to regulate the reproductive axis: Kisspeptin receptor (KISS1R) ligands and neurokinin-3 receptor (NK3R) ligands. PMID: 27271543
- In human cumulus GCs, kiss1r mRNA levels were positively correlated with age but not with BMI. There was no expression of kiss1 mRNA in either cumulus or mural GCs PMID: 26879207
- KISS1R signaling induces invadopodia formation and activation of key invadopodia proteins, cortactin, cofilin and membrane type I matrix metalloproteases (MT1-MMP). PMID: 26721186
- KISS1R Low Expression Correlates with Colorectal Liver Metastasis. PMID: 26471489
- KiSS1 is a metastasis suppressor gene of pancreatic cancer, and this suppression is not dependent on the expression levels of GPR54. PMID: 26572251
- confirmed that mutations in KISS1 and KISS1R are not a common cause for ICPP PMID: 23950571
- Two novel heterozygous missense mutations in FGFR1 and one novel heterozygous missense mutation in KISS1R, were identified in in Chinese Kallmann Syndrome Males with Cleft Lip/Palate. PMID: 26199944
- The majority of human non-functioning pituitary tumors expressed KISS1R with lower rates of expression in other types of pituitary tumors. PMID: 24817066
- The promoter of GPR54 is unmethylated in normal endometrium PMID: 24908069
- Present data do not confirm the protective role of KiSS1/KiSS1R in breast cancer progression, but our results do support the hypothesis that KiSS1/KiSS1R system is activated even in primary breast cancer and sustained during invasion to local lymph nodes. PMID: 25535062
- Normosmic idiopathic hypogonadotropic hypogonadism due to a novel homozygous nonsense c.C969A (p.Y323X) mutation in the KISS1R gene in three unrelated families. PMID: 25262569
- A number of mutations in KISS1 KISS1R are associated with central precocious puberty and isolated hypogonadotropic hypogonadism. (Review) PMID: 26510589
- No KISS1R expression was detected in normal or malignant tissues or in liver metastases. PMID: 26010933
- Reduction of Kiss-1R expression is linked to poor prognosis for colorectal cancer patients. PMID: 25260785
- Decreased expression of KISS1R seems to attenuate signaling of the KISS1/KISS1R system, possibly leading to tumor growth PMID: 25667462
- data indicate that GPR54 and TACR3 gene mutations are not a frequent cause of ICPP. The identified A/G synonymous SNP (dbSNP ID: rs10407968) located in exon 1 of the gene is not likely to have a pathogenic role in exon splicing PMID: 24434351
- Kisspeptin, GPR54 and PIBF expressions in syncytiotrophoblasts and cytotrophoblasts were decreased in recurrent spontaneous abortion women as compared to controls PMID: 24225150
- Sustained calcium response to kisspeptin is dependent on the continued presence of extracellular ligand and is the result of dynamic KISS1R trafficking. PMID: 24295737
- High GPR54 expression is associated with breast cancer. PMID: 24596387
- The downregulation of Kiss-1 has been shown to correlate with decreased Kiss-1R expression, which is inversely associated with clinical stage and tumour grade. [Review] PMID: 23969598
- cumulative survival rate of patients with KISS1 or KISS1R expression was significantly higher compared to that without expression. KISS1 or KISS1R expression in non-small cell lung cancer can be used to indicate favorable prognosis for disease outcome. PMID: 23716269
- The additiona of a PRR repeat into a proline-arginine-rich motif can dramatically change the conformation of the intracellular domain of KISS1R and its probable interaction with partner proteins. PMID: 23608644
- Data show that that the expression of Kiss1 Kiss1R and MMP9 were higher in the placenta compared to the placental bed and decidua parietalis. PMID: 23696833
- mutations with confirmed association with idiopathic central precocious puberty were identified in kisspeptin and KISS1R. These observations underscore the role of KISS1R signaling for normal pubertal development. PMID: 23550005
- Structure, synthesis, and phylogeny of kisspeptin and its receptor. PMID: 23550000
- Both sets of neurons project to GnRH cell bodies, which contain Kiss1r, and the ARC kisspeptin population also projects to GnRH axons in the median eminence. PMID: 23550001
- Data suggest that the ERalpha status of mammary cells dictates whether KISS1R may be a novel clinical target for treating breast cancer metastasis. PMID: 23525242
- Data show that a loss-of-function mutation (p.Tyr313His) in the KISS1R gene can cause familial congenital hypogonadotropic hypogonadism (nCHH), revealing the crucial role of this amino acid in KISS1R function PMID: 23349759
- study suggests that negative expression of metastin receptor in clear cell RCC is significantly related to metastasis PMID: 23277422
- Negative fetal FSH/LH regulation in late pregnancy is associated with declined kisspeptin/KISS1R expression in the tuberal hypothalamus. PMID: 23015653
- KISS1R-expressing cells undergo sustained kisspeptin-induced signaling that is dependent upon an influx of extracellular Ca2+ PMID: 23070548
- The subnormal gonadal response to hCG in patients may implicate a direct role of KISS1R in gonadal function and fetal development of male external genitalia. PMID: 22619348
- Results suggest that findings of increased kisspeptin receptor (KISS1R) expression may represent a mechanism by which functional activity of kisspeptin (KISS1) is higher in pre-eclampsia (PE) than in normal pregnancy. PMID: 22526494
- NKB/NK(3)R and kisspeptin/KISS1R are present in female peripheral reproductive tissues with colocalization of both systems in some non-neuronal cell populations of the human female genital tract. PMID: 22424618
- Data suggest that the KISS1/KISS1R system may play a role in the pathophysiology of endometriosis only for a particular group of patients. PMID: 22210725
- Compared to Kiss-1 protein, GPR54 expression was mainly present in syncytiotrophoblasts and deciduas, but not in cytotrophoblasts of women with recurrent pregnancy loss. PMID: 21996032
- Kisspeptin and its receptor are expressed in the human, rat and mouse heart and kisspeptins possess potent positive inotropic activity. PMID: 22132116
- Studies indicate that KISS1R is degraded by the proteasome, as opposed to the classic lysosomal degradation described for most G protein-coupled receptors. PMID: 21912371
- KISS1 and KISS1R expression in the human and rat carotid body and superior cervical ganglion. PMID: 22193294
- Data show that endometrial cancer overall survival is improved with high expression of GPR54 and that GPR54 expression is associated with known prognostic factors. PMID: 21282360
- This chapter describes the kisspeptin-GPR54 complex physiology and its current role in human diseases. PMID: 20374724
- A novel loss-of-function mutation in the GPR54 gene is associated with familial normosmic idiopathic hypogonadotropic hypogonadism PMID: 21193544
- The Arg386Pro mutation does not affect the rate of KISS1R trafficking--instead, it prolongs responsiveness to kisspeptin by decreasing KISS1R degradation, resulting in the net increase on mutant receptor recycled back to the plasma membrane. PMID: 21285314
- Results provide primary evidence that KISS1 and KISS1R expression can be differentially lost in pituitary tumor subtypes. PMID: 21169415
- One novel homozygous KISS1R mutation was identified in two siblings with normosmic isolated hypogonadotropic hypogonadism. PMID: 20371656
- Inactivating mutations of the KISS1 receptor cause isolated hypogonadotropic hypogonadism. PMID: 20237166
顯示更多
收起更多
-
相關疾病:Hypogonadotropic hypogonadism 8 with or without anosmia (HH8); Precocious puberty, central 1 (CPPB1)
-
亞細胞定位:Cell membrane; Multi-pass membrane protein.
-
蛋白家族:G-protein coupled receptor 1 family
-
組織特異性:Most highly expressed in the pancreas, placenta and spinal cord, with lower-level of expression in peripheral blood leukocytes, kidney, lung, fetal liver, stomach, small intestine, testes, spleen, thymus, adrenal glands and lymph nodes. In the adult brain
-
數據庫鏈接:
Most popular with customers
-
YWHAB Recombinant Monoclonal Antibody
Applications: ELISA, WB, IHC, IF, FC
Species Reactivity: Human, Mouse, Rat
-
Phospho-YAP1 (S127) Recombinant Monoclonal Antibody
Applications: ELISA, WB, IHC
Species Reactivity: Human
-
-
-
-
-
-















