KIR2DL1 Antibody
-
中文名稱:KIR2DL1兔多克隆抗體
-
貨號:CSB-PA012352LA01HU
-
規格:¥440
-
圖片:
-
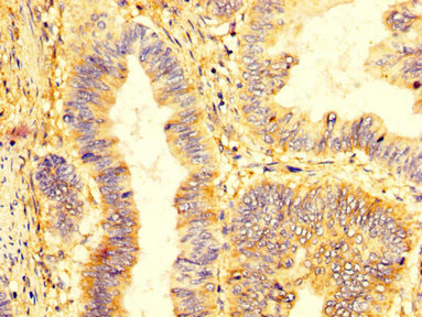
IHC image of CSB-PA012352LA01HU diluted at 1:400 and staining in paraffin-embedded human colon cancer performed on a Leica BondTM system. After dewaxing and hydration, antigen retrieval was mediated by high pressure in a citrate buffer (pH 6.0). Section was blocked with 10% normal goat serum 30min at RT. Then primary antibody (1% BSA) was incubated at 4°C overnight. The primary is detected by a biotinylated secondary antibody and visualized using an HRP conjugated SP system.
-
Immunofluorescence staining of HepG2 cells with CSB-PA012352LA01HU at 1:133, counter-stained with DAPI. The cells were fixed in 4% formaldehyde, permeabilized using 0.2% Triton X-100 and blocked in 10% normal Goat Serum. The cells were then incubated with the antibody overnight at 4°C. The secondary antibody was Alexa Fluor 488-congugated AffiniPure Goat Anti-Rabbit IgG(H+L).
-
-
其他:
產品詳情
-
產品名稱:Rabbit anti-Homo sapiens (Human) KIR2DL1 Polyclonal antibody
-
Uniprot No.:
-
基因名:
-
別名:KIR2DL1; CD158A; NKAT1; Killer cell immunoglobulin-like receptor 2DL1; CD158 antigen-like family member A; MHC class I NK cell receptor; Natural killer-associated transcript 1; NKAT-1; p58 natural killer cell receptor clones CL-42/47.11; p58 NK receptor CL-42/47.11; p58.1 MHC class-I-specific NK receptor; CD antigen CD158a
-
宿主:Rabbit
-
反應種屬:Human
-
免疫原:Recombinant Human Killer cell immunoglobulin-like receptor 2DL1 protein (162-267AA)
-
免疫原種屬:Homo sapiens (Human)
-
標記方式:Non-conjugated
本頁面中的產品,KIR2DL1 Antibody (CSB-PA012352LA01HU),的標記方式是Non-conjugated。對于KIR2DL1 Antibody,我們還提供其他標記。見下表:
-
克隆類型:Polyclonal
-
抗體亞型:IgG
-
純化方式:>95%, Protein G purified
-
濃度:It differs from different batches. Please contact us to confirm it.
-
保存緩沖液:Preservative: 0.03% Proclin 300
Constituents: 50% Glycerol, 0.01M PBS, pH 7.4 -
產品提供形式:Liquid
-
應用范圍:ELISA, IHC, IF
-
推薦稀釋比:
Application Recommended Dilution IHC 1:200-1:500 IF 1:50-1:200 -
Protocols:
-
儲存條件:Upon receipt, store at -20°C or -80°C. Avoid repeated freeze.
-
貨期:Basically, we can dispatch the products out in 1-3 working days after receiving your orders. Delivery time maybe differs from different purchasing way or location, please kindly consult your local distributors for specific delivery time.
-
用途:For Research Use Only. Not for use in diagnostic or therapeutic procedures.
相關產品
靶點詳情
-
功能:Receptor on natural killer (NK) cells for some HLA-C alleles such as w4 and w6. Inhibits the activity of NK cells thus preventing cell lysis.
-
基因功能參考文獻:
- KIR 2D (L1, L3, L4, S4) and KIR 3DL1 expression was correlated with poor prognosis in non-small cell lung carcinoma patients. PMID: 27893413
- A negative association between the KIR2DL1 polymorphism and susceptibility to type 1 diabetes mellitus was found. PMID: 29384924
- the surface organization of paired killer Ig-like receptors (KIR), KIR2DL1 and KIR2DS1, on human primary natural killer cells and cell lines, was examined. PMID: 27210755
- A significantly higher risk of chronic rejection after kidney transplantation was observed when recipient (r) and donor (d) pairs completely lacked the two functional rKIR-dHLA ligand combinations rKIR2DL1/dHLA-C2 and rKIR3DL1/dHLA-Bw4. PMID: 28686681
- CD16+ cells were significantly more frequent among Natural Killer (NK) cells negative for the inhibitory KIR (iKIR) KIR2DL1, KIR2DL3, and KIR3DL1 than those positive for any one of these iKIR to the exclusion of the others, making iKIR+ NK cells poorer antibody dependent cellular cytotoxicity effectors than iKIR- NK cells. PMID: 27732638
- Data indicate that a novel variant allele, KIR2DL1*031, was identified by cDNA cloning and haplotype sequencing of killer cell immunoglobulin-like receptor 2DL1 (KIR2DL1) gene. PMID: 27577226
- KIR2DL1-C2C2 is less frequent in type 1 diabetes in Saudi children PMID: 26542066
- Influence of Differently Licensed KIR2DL1-Positive Natural Killer Cells in Transplant Recipients with Acute Leukemia PMID: 26456260
- Educated natural killer cells expressing KIR2DL1 display functional advantage for anti-HIV-1 antibody-dependent activation. PMID: 26647083
- KIR2DL1*022 and 2DL1*026 evolved in the KhoeSan after their divergence from other modern human populations. PMID: 26292085
- Data suggest regulatory interactions between major histocompatibility antigen HLA-C and killer cell Ig-like receptor (KIR) might promote Graft-versus-Leukemia effects following transplantation. PMID: 26416275
- Coengagement of inhibitory receptors, either KIR2DL1 or CD94-NKG2A, did not inhibit phosphorylation of Stat5 but inhibited selectively phosphorylation of Akt and S6 ribosomal protein. PMID: 26453750
- genetic association studies in Chinese Han population: Data suggest that the frequency of KIR2DL1 gene is increased in women with pre-eclampsia when homozygous HLA-C2 allele appears in the fetus. PMID: 24951171
- Array CGH showed a 95 Kb de novo duplication on chromosome 19q13.4 encompassing four killer cell immunoglobulin-like receptor (KIR) genes. PMID: 23952617
- These results revealed that ITIM phosphorylation is controlled by self-association of KIR and that His-36 serves as a gatekeeper to prevent unregulated signaling through KIR2DL1. PMID: 25505289
- C2 of KIR2DL1 is a novel risk factor, and homozygosity for C1 is a protective factor for childhood B-ALL PMID: 25163702
- We investigated the association of HLA alleles and KIR ligands according to oligoclonal band status in multiple sclerosis patients. PMID: 25037176
- Our findings suggest KIR2DL1(+)-HLA-C2(+) genotype as heritable risk factor in oral squamous cell carcinoma (OSCC) predisposing to OSCC at a younger age. PMID: 24818561
- Normal NK CD158a expression is associated with successful IVF and pregnancy. PMID: 23951916
- Donor KIR2DL1 allelic polymorphism affects recipient outcomes after allogeneic hematopoietic stemm cell transplantation. PMID: 24043749
- Data indicate that positive linkage disequilibrium was observed between KIR3DL1, 2DL1, 2DL3 and 2DS4 which is consistent with the associations between the constituents of A haplotypes. PMID: 23354323
- NK cells were isolated from peripheral blood and the lysis of KG1A and K562 cells by the NK cells was analyzed to investigate whether KIR2DL1 expression on NK cells would affect the cytotoxicity. PMID: 23865361
- cytomegalovirus positive had lower proportions of NK-cells expressing inhibitory receptors (KLRG1 and CD158a) PMID: 21933704
- DNA-demethylating treatment with 5-azacytidine resulted in re-expression of kir2DL1 gene and increased expressions of kir2DL1, kir2DL2 and kir2DL3 genes in NK-92MI cells. PMID: 19549382
- Results demonstrate that receptor-ligand dimensions, NKG2D/MICA and KIR2DL1/HLA-C, are important in NK cell recognition. PMID: 21179506
- supervillin is a novel molecule that associates with KIR2DL1 receptor and regulates the inhibitory signaling in NK cells. PMID: 21070852
- Inhibitory receptor KIR2DL1 in combination with HLA-C2 ligand confers susceptibility to chronic hepatitis B (CHB), whereas inhibitory receptor KIR2DL3 or KIR2DL3 homozygote in the presence of HLA-C1C1 genotype shows protection against CHB. PMID: 20643584
- Results suggest a protective role of KIR2DL1/C2 in T1D. PMID: 20580654
- Eleven new KIR2DL1 alleles were identified by DNA sequencing of the coding region from amplified genomic DNA from 100 random African Americans PMID: 20210923
- The KIR2DL1 gene polymorphism and KIR/HLA-C gene compatibility are associated with type 1 diabetes. PMID: 20356536
- Data show that KIR activation and HLA expression density are critical determinants for the efficacy of rituximab treatment. PMID: 20056126
- study suggests that the activating KIR2DS4 may serve as CML susceptive gene to trigger leukemia development, while KIR2DS3 is possibly a protect gene of ALL PMID: 19450876
- Contrary to CD158a and CD158b killer immunoglobulin-like receptors (KIRs), there is a significant positive correlation of NKG2D and CD161 expression with NK cytotoxicity. PMID: 19711124
- interrupts TCR signaling, preventing dynamic membrane reorganization in CTL/tumor cell interaction PMID: 12351398
- The engagement of the activating isoforms of killer Ig-like receptor (KIR)(CD158a or CD158b) by their natural ligands, represented by soluble HLA-I molecules, induced programmed cell death of natural killer cells PMID: 12393468
- Positive linkage disequilibrium was seen between KRI2DL1 and KIR2DL3. PMID: 12559621
- The unique property of KIR2DL1 to become phosphorylated in the absence of adhesion and actin cytoskeleton rearrangement explains how KIRs can efficiently block early activation signals during NK-target cell contacts. PMID: 12794140
- Increased binding to influenza virus-infected cells is observed in the killer cell Ig-like receptor 2 domain long tail 1, binding that is functional and possibly results from generation of complexes of class I MHC proteins after influenza virus infection. PMID: 12847262
- A significant decrease in NK cell CD158a expression was demonstrated in recurrent spontaneous abortion women PMID: 15209394
- KIR2DS1 and KIR2DL1 share sensitivity to peptide sequence alterations. These results fit a model in which activating and inhibitory receptors recognize the same sets of self-MHC class I molecules, differing only in their binding affinities. PMID: 16141329
- Posttranslational modifications such as phosphorylation of a presented KIR2DL peptide alters the ability of natural killer (NK) cells to recognize MHC class I molecule HLA-Cw4, and results in improved NK cell killing. PMID: 16709835
- This is a new killer immunoglobulin-like receptor allele. PMID: 16774543
- alleles 2DL1*00302 and *002 were frequently observed in addition to two other known alleles and four new alleles, 2DL1*00402, 2DL1*007, 2DL1*008, and 2DL1*009 in three families and 77 bone marrow transplant patients and donors PMID: 17493149
- Data show that there was no correlation between CD15ab expression and disease activity in rheumatoid arthritis. PMID: 17497034
- CD158a and CD158b display a coactivatory function, involving the c-Jun NH2-terminal protein kinase signaling pathway, when expressed on malignant CD4+ T cells from a patient with Sezary syndrome PMID: 17522341
- KIR2DL1 may induce 2 opposite signaling outputs in CD4(+) T cells, depending on whether the KIR receptor is bound to its ligand. PMID: 18574028
- The role of this investigation has been to create a base of genetic information in relation to both KIR2DL1 and KIR2DS1 allele diversity. PMID: 18643963
- Findings provide novel insights into the molecular determinant of KIR2DL1 and conceivably a fundamental understanding of KIR2DL1 allelic polymorphism in human disease susceptibility, transplant outcome, and donor selection. PMID: 19828694
顯示更多
收起更多
-
亞細胞定位:Cell membrane; Single-pass type I membrane protein.
-
蛋白家族:Immunoglobulin superfamily
-
組織特異性:Expressed by NK cells.
-
數據庫鏈接:
Most popular with customers
-
-
YWHAB Recombinant Monoclonal Antibody
Applications: ELISA, WB, IHC, IF, FC
Species Reactivity: Human, Mouse, Rat
-
Phospho-YAP1 (S127) Recombinant Monoclonal Antibody
Applications: ELISA, WB, IHC
Species Reactivity: Human
-
-
-
-
-















