KCNK16 Antibody
-
中文名稱:KCNK16兔多克隆抗體
-
貨號:CSB-PA850434LA01HU
-
規格:¥440
-
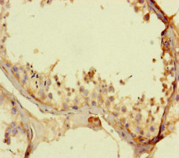
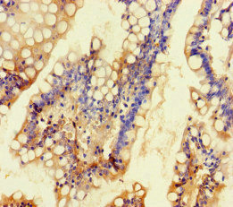
圖片:
-
其他:
產品詳情
-
產品名稱:Rabbit anti-Homo sapiens (Human) KCNK16 Polyclonal antibody
-
Uniprot No.:
-
基因名:KCNK16
-
別名:KCNK16; TALK1; Potassium channel subfamily K member 16; 2P domain potassium channel Talk-1; TWIK-related alkaline pH-activated K(+ channel 1; TALK-1
-
宿主:Rabbit
-
反應種屬:Human
-
免疫原:Recombinant Human Potassium channel subfamily K member 16 protein (259-309AA)
-
免疫原種屬:Homo sapiens (Human)
-
標記方式:Non-conjugated
本頁面中的產品,KCNK16 Antibody (CSB-PA850434LA01HU),的標記方式是Non-conjugated。對于KCNK16 Antibody,我們還提供其他標記。見下表:
-
克隆類型:Polyclonal
-
抗體亞型:IgG
-
純化方式:>95%, Protein G purified
-
濃度:It differs from different batches. Please contact us to confirm it.
-
保存緩沖液:Preservative: 0.03% Proclin 300
Constituents: 50% Glycerol, 0.01M PBS, PH 7.4 -
產品提供形式:Liquid
-
應用范圍:ELISA, IHC
-
推薦稀釋比:
Application Recommended Dilution IHC 1:20-1:200 -
Protocols:
-
儲存條件:Upon receipt, store at -20°C or -80°C. Avoid repeated freeze.
-
貨期:Basically, we can dispatch the products out in 1-3 working days after receiving your orders. Delivery time maybe differs from different purchasing way or location, please kindly consult your local distributors for specific delivery time.
-
用途:For Research Use Only. Not for use in diagnostic or therapeutic procedures.
相關產品
靶點詳情
-
功能:Outward rectifying potassium channel. Produces rapidly activating and non-inactivating outward rectifier K(+) currents.
-
基因功能參考文獻:
- data establish TALK-1 channels as key regulators of beta cell ER Ca(2+) and suggest that TALK-1 may be a therapeutic target to reduce ER Ca(2+) handling defects in beta cells during the pathogenesis of diabetes. PMID: 28928238
- The TALK-1/iOPN complex caused Vm hyperpolarization and reduced beta-cell glucose-stimulated Ca2+ influx, which is predicted to inhibit glucose stimulated insulin secretion. PMID: 28403169
- These findings reveal TALK-1 channels as important modulators of second-phase insulin secretion and suggest a clinically relevant mechanism for rs1535500, which may increase type 2 diabetes risk by limiting glucose-stimulated insulin secretion. PMID: 26239056
- at least two functional TALK-1 variants are present and may serve as background K+ currents in certain cells of the human pancreas. PMID: 12724142
-
亞細胞定位:Membrane; Multi-pass membrane protein.
-
蛋白家族:Two pore domain potassium channel (TC 1.A.1.8) family
-
組織特異性:Highly expressed in pancreas. Not detectable in the other tissues tested.
-
數據庫鏈接:
Most popular with customers
-
-
YWHAB Recombinant Monoclonal Antibody
Applications: ELISA, WB, IHC, IF, FC
Species Reactivity: Human, Mouse, Rat
-
Phospho-YAP1 (S127) Recombinant Monoclonal Antibody
Applications: ELISA, WB, IHC
Species Reactivity: Human
-
-
-
-
-















